









| 应用 | 已检合格种属 | 预测种属 | 推荐稀释比例 |
|---|---|---|---|
| WB | Human, Mouse, Rat | 1:500-2000 | |
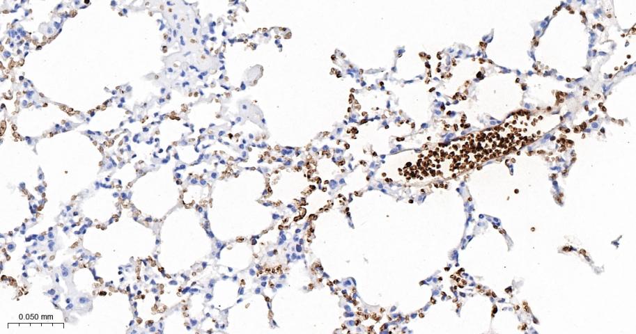
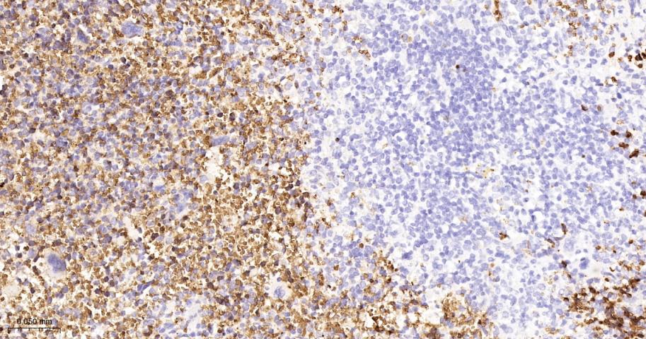
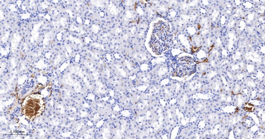
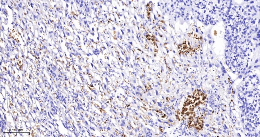
| IHC-P | Mouse, Rat | Human | 1:50-200 |
| IHC-F | Mouse, Rat | Human | 1:50-200 |
| IF | Mouse, Rat | Human | 1:50-200 |
| Flow-Cyt | Human, Mouse, Rat | 1:50-100 | |
| IP | Human, Mouse, Rat | 1:50-100 |
交叉反应: Mouse, Rat (predicted: Human)
暂无相关产品