张力蛋白4重组兔单抗

Rrmab?兔单抗
2026-03-02~2026-04-30,KXJ26032026-03-02~2026-04-30,促销赠品
张力蛋白4重组兔单抗
货号:bsm-60276R
产品详情
相关标记
相关产品
相关文献
常见问题

概述

产品编号
bsm-60276R
产品类型
重组兔单抗
英文名称
TNS4 Recombinant Rabbit mAb
中文名称
张力蛋白4重组兔单抗
英文别名
CTEN; PP14434; 9930017A07Rik; TENS4_HUMAN; TNS4; C-terminal tensin-like protein; TENS4_MOUSE;
抗体来源
Rabbit
免疫原
KLH conjugated synthetic peptide derived from human TNS4
亚型
IgG
性状
Liquid
纯化方法
affinity purified by Protein A
克隆类型
Recombinant
克隆号
C5F6
理论分子量
75 kDa
浓度
1mg/ml
储存液
0.01M TBS (pH7.4) with 1% BSA, 0.02% Proclin300 and 50% Glycerol.
SWISS
Gene ID
保存条件
Shipped at 4℃. Store at -20℃ for one year. Avoid repeated freeze/thaw cycles.
注意事项
This product as supplied is intended for research use only, not for use in human, therapeutic or diagnostic applications.
背景资料
Predicted to enable actin binding activity. Involved in protein localization. Located in focal adhesion. [provided by Alliance of Genome Resources, Nov 2021]
张力蛋白4重组兔单抗张力蛋白4重组兔单抗张力蛋白4重组兔单抗张力蛋白4重组兔单抗张力蛋白4重组兔单抗张力蛋白4重组兔单抗张力蛋白4重组兔单抗张力蛋白4重组兔单抗

产品应用

应用已检合格种属预测种属推荐稀释比例
WBMouseHuman, Rat1:500-2000
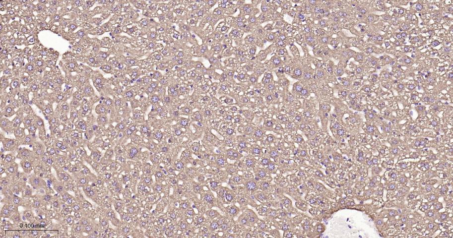
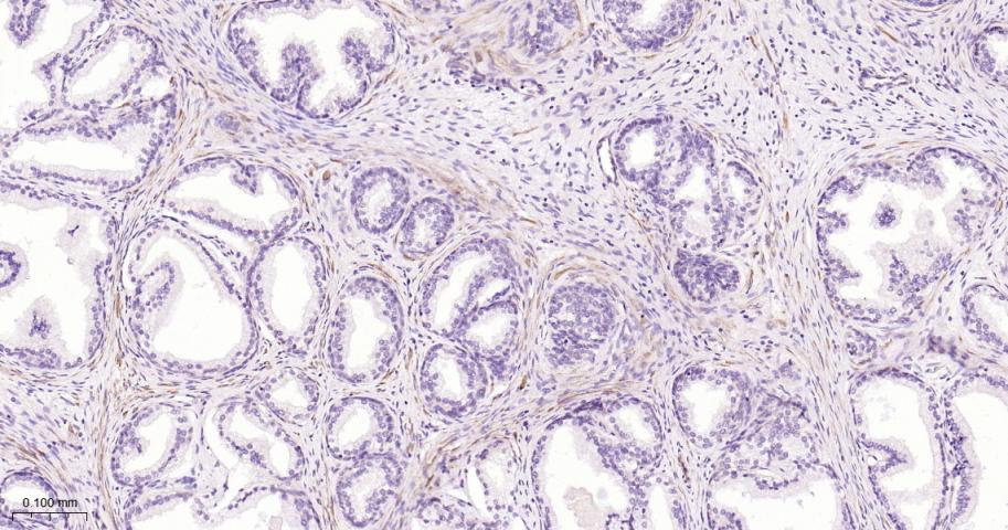
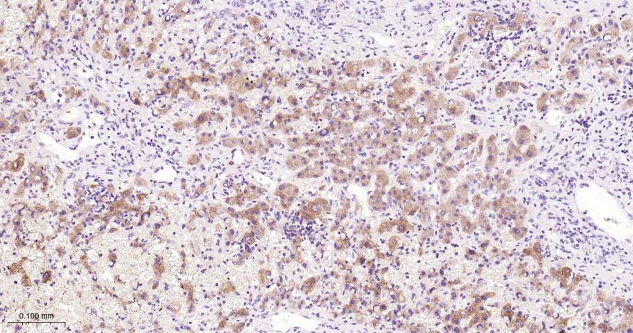
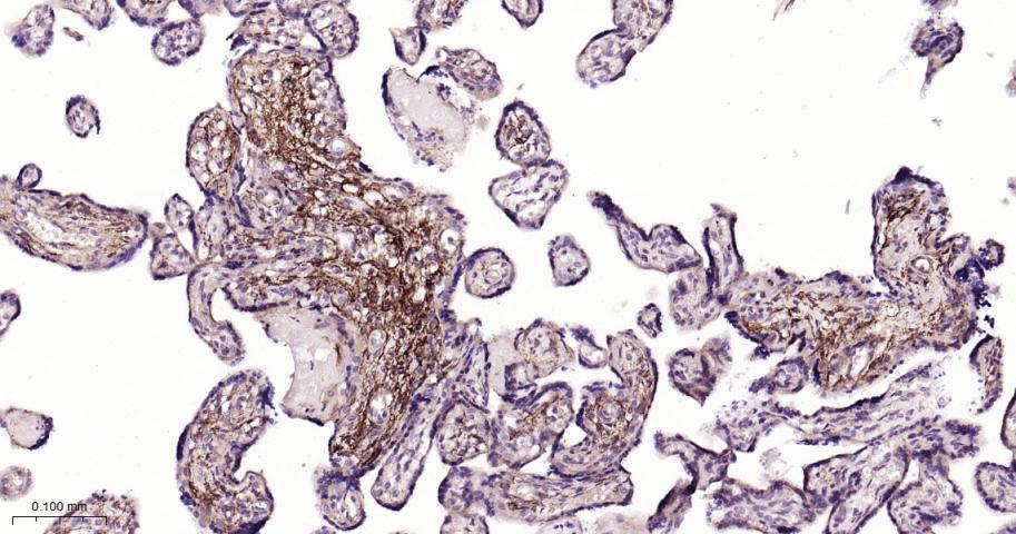
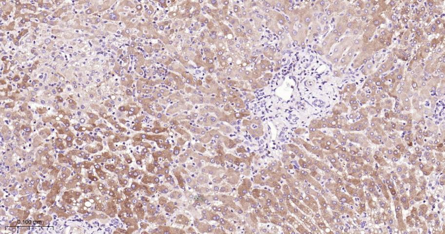
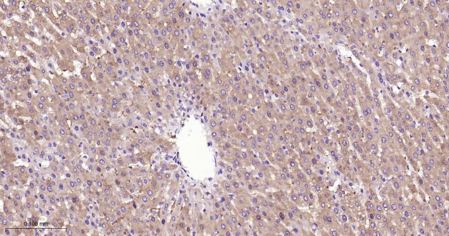
IHC-PHuman, Mouse, Rat1:100-500
IHC-FHuman, Mouse, Rat1:100-500
IFHuman, Mouse, Rat1:100-500
ICC/IFHuman, Mouse, Rat1:50-200

交叉反应

交叉反应: Human, Mouse, Rat

相关产品

暂无相关产品

靶标

基因名
TNS4
蛋白名
Tensin-4
亚细胞定位
Cell junction > focal adhesion. Cytoplasm > cytoskeleton.
组织特异性
Prostate and placenta. Down regulated in prostate cancer.
翻译后修饰
Proteolytically cleaved by caspase-3 during apoptosis.
相似性
Contains 1 phosphatase tensin-type domain.
Contains 1 SH2 domain.
功能
May be involved in cell migration, cartilage development and in linking signal transduction pathways to the cytoskeleton (By similarity). May promote apoptosis, via its cleavage by caspase-3.

标记抗体

暂无标记数据

同靶标产品

暂无同靶标产品

相关文献

提示: 发表研究结果有使用 bsm-60276R 时请让我们知道,以便我们可以引用参考文章。作为回馈,资料提供者将获得我们送上的小礼品。

暂无相关文献

常见问题

暂无常见问题