CD21 Recombinant Rabbit mAb (一抗) - WB,IHC-P,IHC-F,IF,Flow-Cyt,ICC/IF | Bioss

Rrmab?兔单抗
2026-03-02~2026-04-30,KXJ26032026-03-02~2026-04-30,促销赠品
CD21 Recombinant Rabbit mAb (一抗) - WB,IHC-P,IHC-F,IF,Flow-Cyt,ICC/IF | Bioss
货号:bsm-60246R
产品详情
相关标记
相关产品
相关文献
常见问题

概述

产品编号
bsm-60246R
产品类型
重组兔单抗、病理级抗体、mIHC精品抗体
英文名称
CD21 Recombinant Rabbit mAb
中文名称
CR2重组兔单抗
英文别名
C3DR; CD21; CR; CVID7; SLEB9; CR2_HUMAN; CR2; Complement C3d receptor; Epstein-Barr virus receptor (EBV receptor);
抗体来源
Rabbit
免疫原
A synthesized peptide derived from human CD21: 1000-1033/1033
亚型
IgG
性状
Liquid
纯化方法
affinity purified by Protein A
克隆类型
Recombinant
克隆号
C12B9
理论分子量
111 kDa
检测分子量
150 kDa
浓度
1mg/ml
储存液
0.01M TBS (pH7.4) with 1% BSA, 0.02% Proclin300 and 50% Glycerol.
SWISS
Gene ID
保存条件
Shipped at 4℃. Store at -20℃ for one year. Avoid repeated freeze/thaw cycles.
注意事项
This product as supplied is intended for research use only, not for use in human, therapeutic or diagnostic applications.
背景资料
This gene encodes a membrane protein, which functions as a receptor for Epstein-Barr virus (EBV) binding on B and T lymphocytes. Genetic variations in this gene are associated with susceptibility to systemic lupus erythematosus type 9 (SLEB9). Alternatively spliced transcript variants encoding different isoforms have been found for this gene.[provided by RefSeq, Sep 2009]
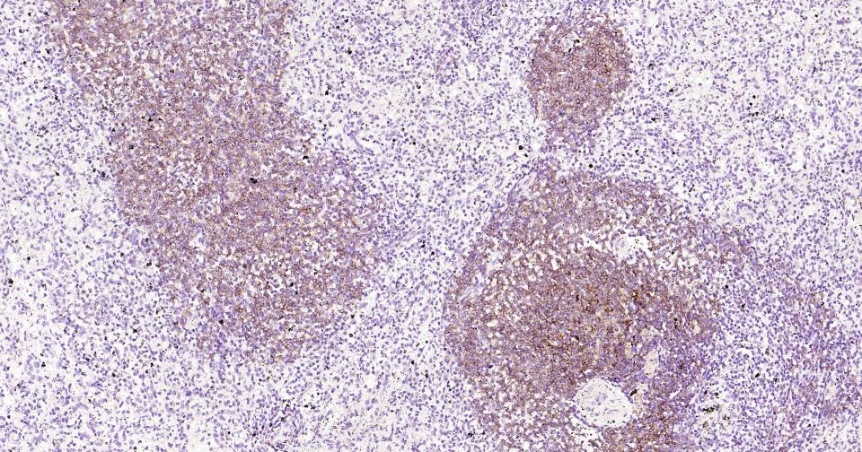
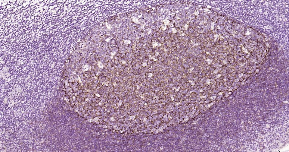
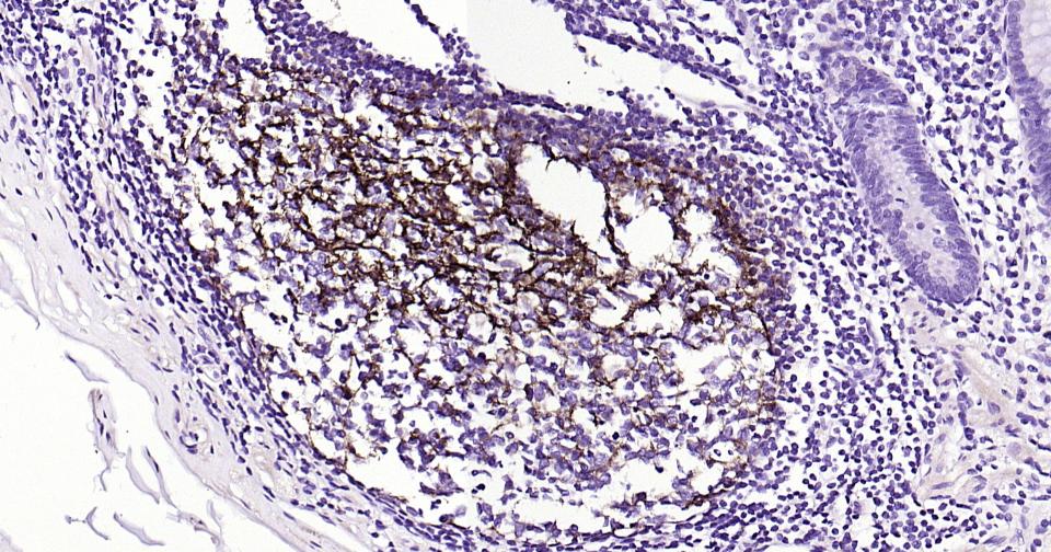
CR2重组兔单抗-bsm-60246RCR2重组兔单抗-bsm-60246RCR2重组兔单抗-bsm-60246RCR2重组兔单抗-bsm-60246RCR2重组兔单抗-bsm-60246RCR2重组兔单抗-bsm-60246RCR2重组兔单抗-bsm-60246RCR2重组兔单抗-bsm-60246R

产品应用

应用已检合格种属预测种属推荐稀释比例
WBHuman1:500-2000
IHC-PHuman1:100-500
IHC-FHuman1:100-500
IFHuman1:100-500
Flow-CytHuman1μg/Test
ICC/IFHuman1:100-500

交叉反应

交叉反应: Human

相关产品

暂无相关产品

靶标

基因名
CR2
蛋白名
Complement receptor type 2
亚基
Interacts (via Sushi domain 1 and 2) with C3dg.
亚细胞定位
Membrane; Single-pass type I membrane protein.
组织特异性
Mature B-lymphocytes, T-lymphocytes, pharyngeal epithelial cells, astrocytes and follicular dendritic cells of the spleen.
疾病
Genetic variations in CR2 are associated with susceptibility to systemic lupus erythematosus type 9 (SLEB9) [MIM:610927]. Systemic lupus erythematosus (SLE) is a chronic autoimmune disease with a complex genetic basis. SLE is an inflammatory, and often febrile multisystemic disorder of connective tissue characterized principally by involvement of the skin, joints, kidneys, and serosal membranes. It is thought to represent a failure of the regulatory mechanisms of the autoimmune system. Defects in CR2 are the cause of immunodeficiency, common variable, type 7 (CVID7) [MIM:614699]. A primary immunodeficiency characterized by antibody deficiency, hypogammaglobulinemia, recurrent bacterial infections and an inability to mount an antibody response to antigen. The defect results from a failure of B-cell differentiation and impaired secretion of immunoglobulins; the numbers of circulating B cells is usually in the normal range, but can be low.
相似性
Belongs to the receptors of complement activation (RCA) family.
功能
Receptor for complement C3Dd, for the Epstein-Barr virus on human B-cells and T-cells and for HNRPU. Participates in B lymphocytes activation.

同靶标产品

相关文献

提示: 发表研究结果有使用 bsm-60246R 时请让我们知道,以便我们可以引用参考文章。作为回馈,资料提供者将获得我们送上的小礼品。
具体参考文献:bsm-60246R 被引用于1文献中

常见问题