Citrate synthase Mouse mAb (一抗) - WB,IHC-P,IHC-F,IF,ICC/IF | Bioss

2026-05-01~2026-06-30,AB2605
Citrate synthase Mouse mAb (一抗) - WB,IHC-P,IHC-F,IF,ICC/IF | Bioss
货号:bsm-60753M
产品详情
相关标记
相关产品
相关文献
常见问题

概述

产品编号
bsm-60753M
英文名称
Citrate synthase Mouse mAb
中文名称
柠檬酸合成酶CISY单克隆抗体
英文别名
2610511A05Rik; 9030605P22Rik; Ahl4; Cis; wu:fb58e04; zgc:55507; CISY_BOVIN; CS; Citrate (Si)-synthase; 2.3.3.1; CISY_HUMAN; CISY_MOUSE; CISY_PIG; CISY_RAT; CISY_DANRE; citrate synthase
抗体来源
Mouse
免疫原
KLH conjugated synthetic peptide derived from human citrate synthase
亚型
IgG
性状
Liquid
纯化方法
affinity purified by Protein A
克隆类型
Monoclonal
克隆号
C9H4
理论分子量
52 kDa
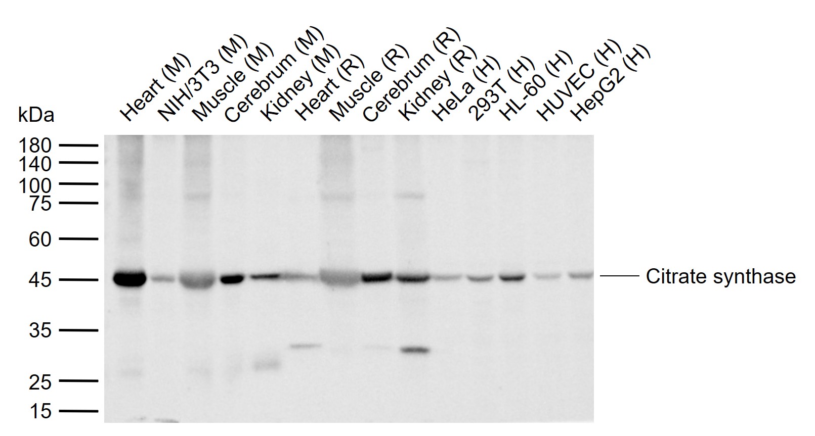
检测分子量
45 kDa
浓度
1mg/ml
储存液
PBS, Glycerol, BSA.
SWISS
Gene ID
保存条件
Shipped at 4℃. Store at -20℃ for one year. Avoid repeated freeze/thaw cycles.
注意事项
This product as supplied is intended for research use only, not for use in human, therapeutic or diagnostic applications.
背景资料
The protein encoded by this gene is a Krebs tricarboxylic acid cycle enzyme that catalyzes the synthesis of citrate from oxaloacetate and acetyl coenzyme A. The enzyme is found in nearly all cells capable of oxidative metablism. This protein is nuclear encoded and transported into the mitochondrial matrix, where the mature form is found. [provided by RefSeq, Jul 2008]
柠檬酸合成酶CISY单克隆抗体-bsm-60753M

产品应用

应用已检合格种属预测种属推荐稀释比例
WBHuman, Mouse, Rat1:500-1000
IHC-PHuman, Mouse, Rat1:50-200
IHC-FHuman, Mouse, Rat1:50-200
IFHuman, Mouse, Rat1:50-200
ICC/IFHuman, Mouse, Rat1:50-200

交叉反应

交叉反应: Human, Mouse, Rat

相关产品

暂无相关产品

靶标

基因名
CS
蛋白名
Citrate synthase, mitochondrial
亚细胞定位
Mitochondrion matrix.
相似性
Belongs to the citrate synthase family.

同靶标产品

相关文献

提示: 发表研究结果有使用 bsm-60753M 时请让我们知道,以便我们可以引用参考文章。作为回馈,资料提供者将获得我们送上的小礼品。

常见问题