乙醛脱氢酶1型重组兔单抗

Rrmab?兔单抗
2026-03-02~2026-04-30,KXJ26032026-03-02~2026-04-30,促销赠品
乙醛脱氢酶1型重组兔单抗
货号:bsm-60321R
产品详情
相关标记
相关产品
相关文献
常见问题

概述

产品编号
bsm-60321R
产品类型
重组兔单抗
英文名称
ALDH1A1 Recombinant Rabbit mAb
中文名称
乙醛脱氢酶1型重组兔单抗
英文别名
ALDC; ALDH-E1; ALDH1; ALDH11; HEL-9; HEL-S-53e; HEL12; PUMB1; RALDH1; ALHDII; Ahd-2; Ahd2; Aldh1a2; E1; Aldh2; AL1A1_HUMAN; ALDH1A1; 3-deoxyglucosone dehydrogenase; Aldehyde dehydrogenase family 1 member A1; Aldehyde dehydrogenase, cytosolic; Retinal dehydrogenase 1 (RALDH 1 | RalDH1); 1.2.1.19; 1.2.1.28; 1.2.1.3; 1.2.1.36; AL1A1_MOUSE; AL1A1_RAT; Aldh; AL1A1_SHEEP;
抗体来源
Rabbit
免疫原
KLH conjugated synthetic peptide derived from human ALDH1A1
亚型
IgG
性状
Liquid
纯化方法
affinity purified by Protein A
克隆类型
Recombinant
克隆号
AH12
理论分子量
55 kDa
浓度
1mg/ml
储存液
0.01M TBS (pH7.4) with 1% BSA, 0.02% Proclin300 and 50% Glycerol.
SWISS
Gene ID
保存条件
Shipped at 4℃. Store at -20℃ for one year. Avoid repeated freeze/thaw cycles.
注意事项
This product as supplied is intended for research use only, not for use in human, therapeutic or diagnostic applications.
背景资料
The protein encoded by this gene belongs to the aldehyde dehydrogenase family. Aldehyde dehydrogenase is the next enzyme after alcohol dehydrogenase in the major pathway of alcohol metabolism. There are two major aldehyde dehydrogenase isozymes in the liver, cytosolic and mitochondrial, which are encoded by distinct genes, and can be distinguished by their electrophoretic mobility, kinetic properties, and subcellular localization. This gene encodes the cytosolic isozyme. Studies in mice show that through its role in retinol metabolism, this gene may also be involved in the regulation of the metabolic responses to high-fat diet. [provided by RefSeq, Mar 2011].
乙醛脱氢酶1型重组兔单抗乙醛脱氢酶1型重组兔单抗乙醛脱氢酶1型重组兔单抗乙醛脱氢酶1型重组兔单抗乙醛脱氢酶1型重组兔单抗乙醛脱氢酶1型重组兔单抗

产品应用

应用已检合格种属预测种属推荐稀释比例
WBMouseHuman1:500-2000
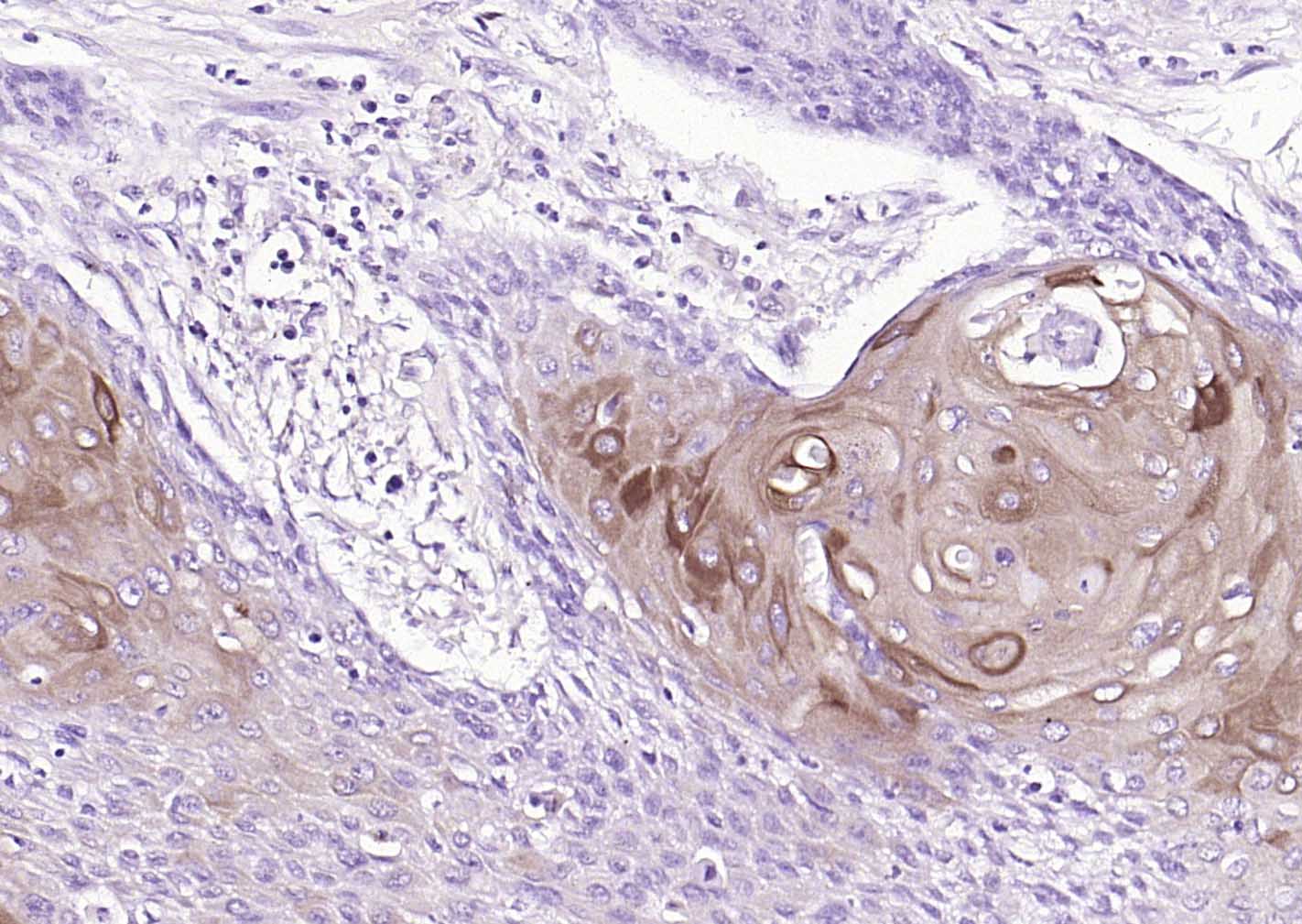
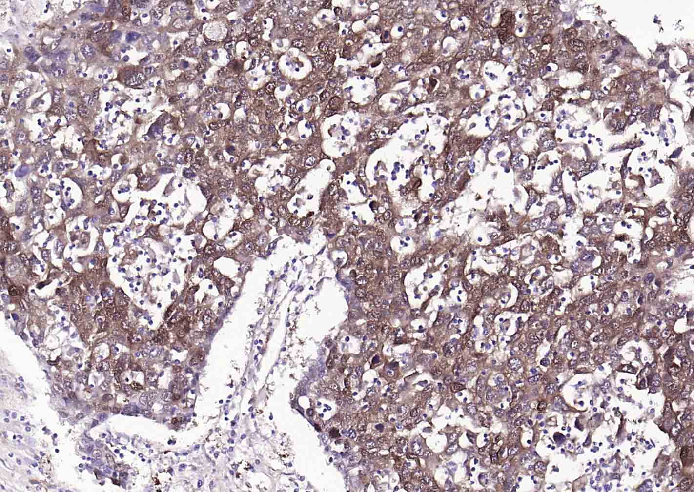
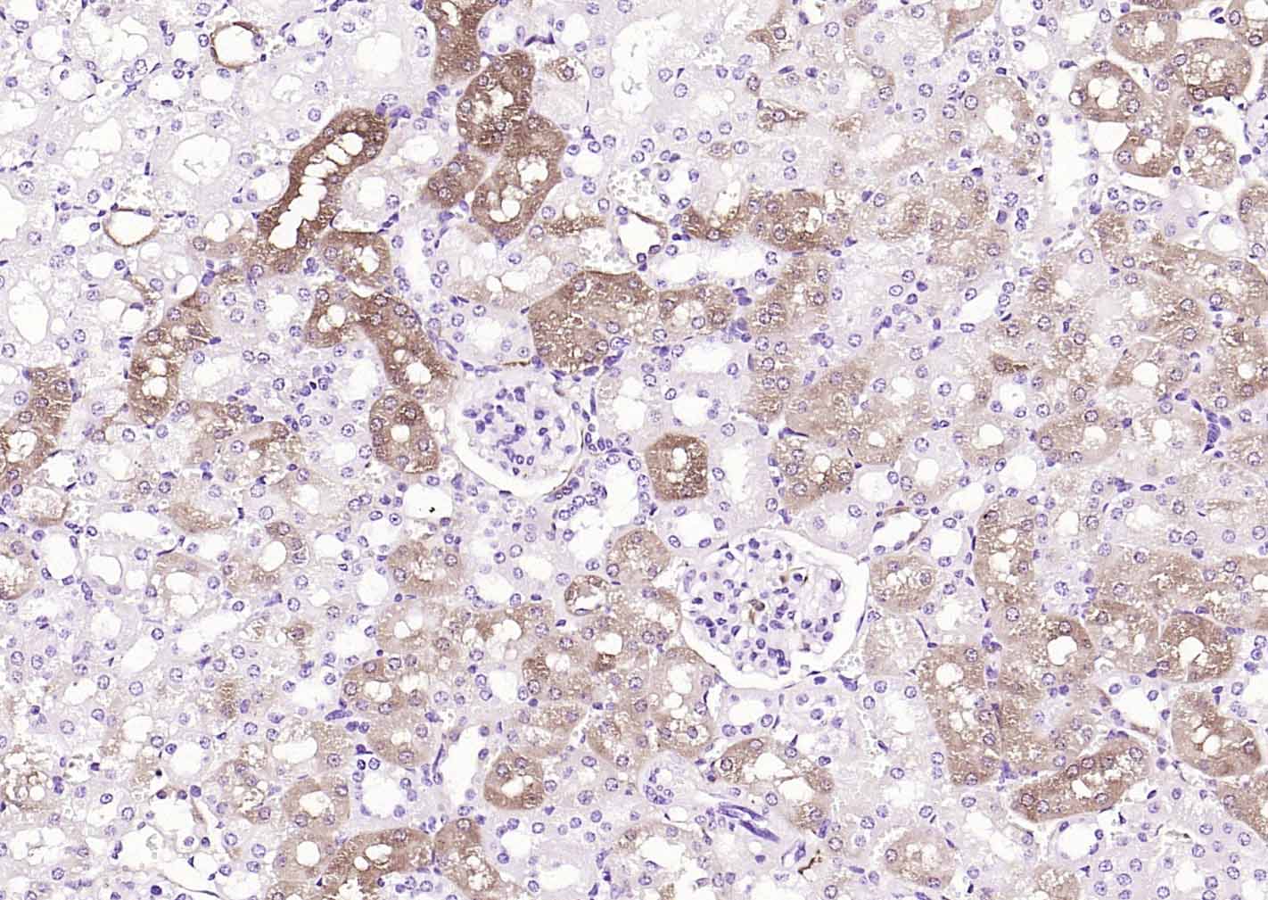
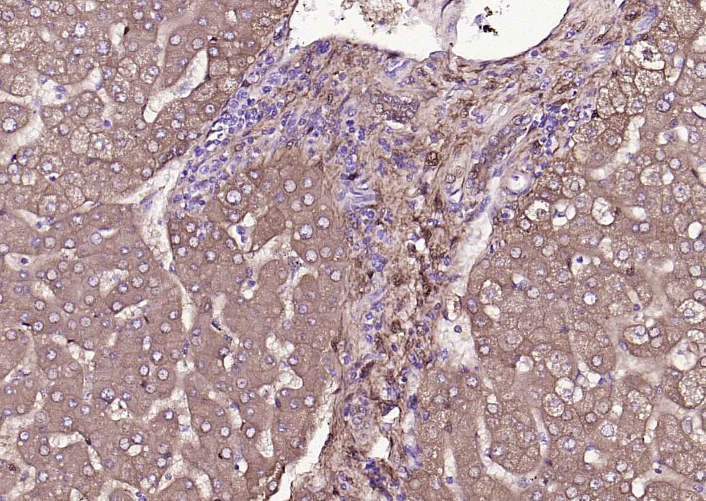
IHC-PHuman, Mouse1:100-500
IHC-FHuman, Mouse1:400-800
IFHuman, Mouse1:100-500

交叉反应

交叉反应: Human, Mouse

相关产品

暂无相关产品

靶标

基因名
ALDH1A1
蛋白名
Retinal dehydrogenase 1
亚基
Homodimer.
亚细胞定位
Cytoplasm.
组织特异性
Expressed in the liver, lung, and testis. Apparently not expressed at detectable levels in kidney, stomach, ovary, heart, and brain.
相似性
Belongs to the aldehyde dehydrogenase family.
功能
Binds free retinal and cellular retinol-binding protein-bound retinal. Can convert/oxidize retinaldehyde to retinoic acid.

标记抗体

暂无标记数据

同靶标产品

暂无同靶标产品

相关文献

提示: 发表研究结果有使用 bsm-60321R 时请让我们知道,以便我们可以引用参考文章。作为回馈,资料提供者将获得我们送上的小礼品。

暂无相关文献

常见问题

暂无常见问题