整合素β1(CD29)重组兔单抗

Rrmab?兔单抗
2026-03-02~2026-04-30,KXJ26032026-03-02~2026-04-30,促销赠品
整合素β1(CD29)重组兔单抗
货号:bsm-52266R
产品详情
相关标记
相关产品
相关文献
常见问题

概述

产品编号
bsm-52266R
产品类型
重组兔单抗、mIHC精品抗体
英文名称
Integrin beta 1 Recombinant Rabbit mAb
中文名称
整合素β1(CD29)重组兔单抗
英文别名
CD29; FNRB; GPIIA; MDF2; MSK12; VLA-BETA; VLAB; 4633401G24Rik; Gm9863; ITB1_HUMAN; ITGB1; Fibronectin receptor subunit beta; Glycoprotein IIa (GPIIA); VLA-4 subunit beta; ITB1_MOUSE; ITB1_RAT; Beta oligodendroglia (Beta OL);
抗体来源
Rabbit
免疫原
A synthesized peptide derived from human Integrin beta 1: 70-100
亚型
IgG
性状
Liquid
纯化方法
affinity purified by Protein A
克隆类型
Recombinant
克隆号
2A5
理论分子量
88 kDa
浓度
1mg/ml
储存液
0.01M TBS (pH7.4) with 1% BSA, 0.02% Proclin300 and 50% Glycerol.
SWISS
Gene ID
保存条件
Shipped at 4℃. Store at -20℃ for one year. Avoid repeated freeze/thaw cycles.
注意事项
This product as supplied is intended for research use only, not for use in human, therapeutic or diagnostic applications.
背景资料
Integrins alpha-1/beta-1, alpha-2/beta-1, alpha-10/beta-1 and alpha-11/beta-1 are receptors for collagen. Integrins alpha-1/beta-1 and alpha-2/beta-2 recognize the proline-hydroxylated sequence G-F-P-G-E-R in collagen. Integrins alpha-2/beta-1, alpha-3/beta-1, alpha-4/beta-1, alpha-5/beta-1, alpha-8/beta-1, alpha-10/beta-1, alpha-11/beta-1 and alpha-V/beta-1 are receptors for fibronectin. Alpha-4/beta-1 recognizes one or more domains within the alternatively spliced CS-1 and CS-5 regions of fibronectin. Integrin alpha-5/beta-1 is a receptor for fibrinogen. Integrin alpha-1/beta-1, alpha-2/beta-1, alpha-6/beta-1 and alpha-7/beta-1 are receptors for lamimin. Integrin alpha-4/beta-1 is a receptor for VCAM1. It recognizes the sequence Q-I-D-S in VCAM1. Integrin alpha-9/beta-1 is a receptor for VCAM1, cytotactin and osteopontin. It recognizes the sequence A-E-I-D-G-I-E-L in cytotactin. Integrin alpha-3/beta-1 is a receptor for epiligrin, thrombospondin and CSPG4. Alpha-3/beta-1 may mediate with LGALS3 the stimulation by CSPG4 of endothelial cells migration. Integrin alpha-V/beta-1 is a receptor for vitronectin. Beta-1 integrins recognize the sequence R-G-D in a wide array of ligands. Isoform beta-1B interferes with isoform beta-1A resulting in a dominant negative effect on cell adhesion and migration (in vitro). In case of HIV-1 infection, the interaction with extracellular viral Tat protein seems to enhance angiogenesis in Kaposi's sarcoma lesions.
整合素β1(CD29)重组兔单抗整合素β1(CD29)重组兔单抗整合素β1(CD29)重组兔单抗整合素β1(CD29)重组兔单抗整合素β1(CD29)重组兔单抗整合素β1(CD29)重组兔单抗整合素β1(CD29)重组兔单抗

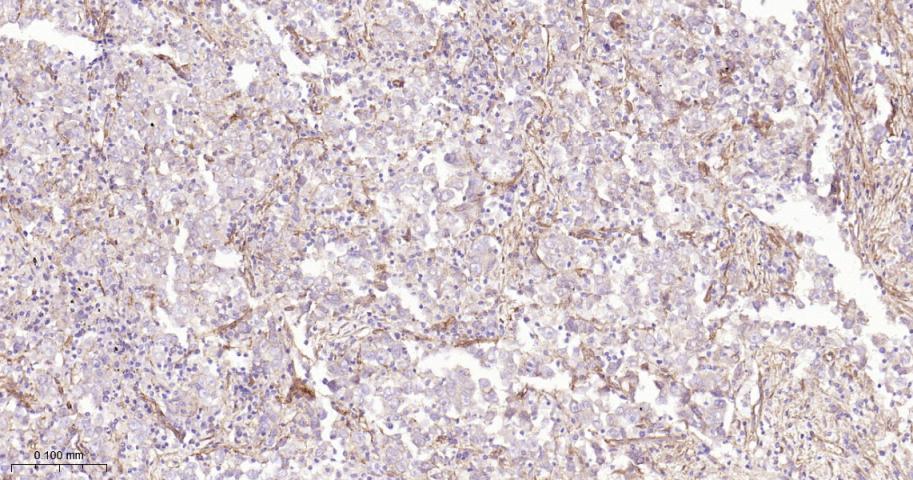
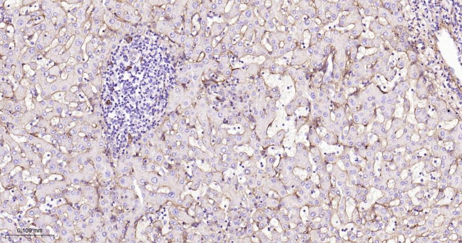
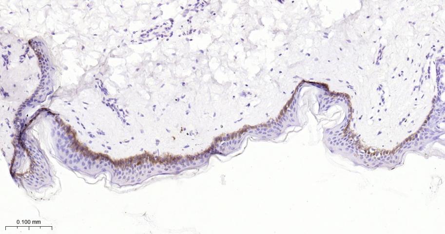
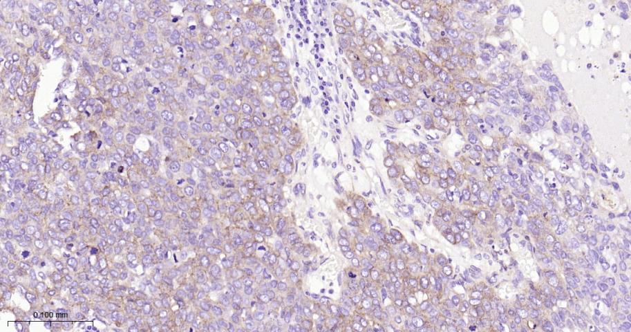
产品应用

应用已检合格种属预测种属推荐稀释比例
WBHuman1:500-2000
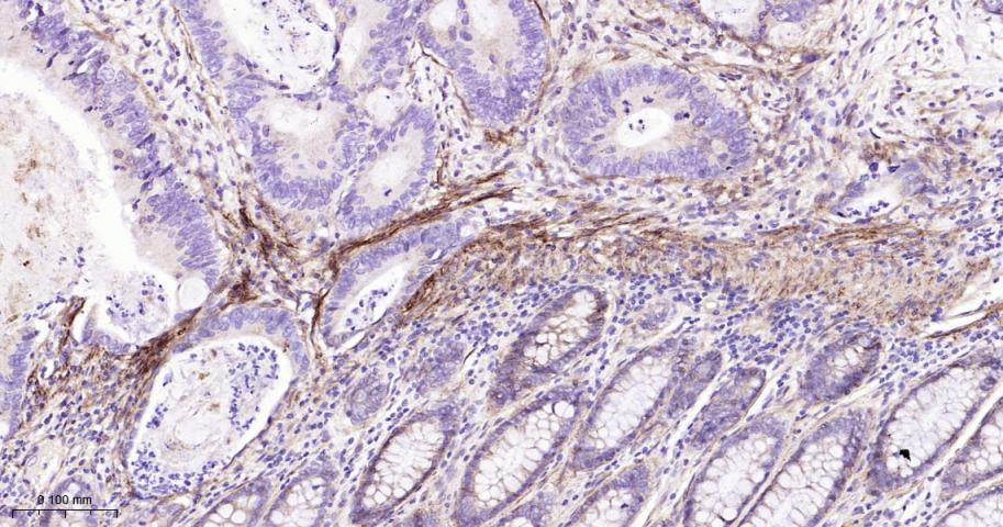
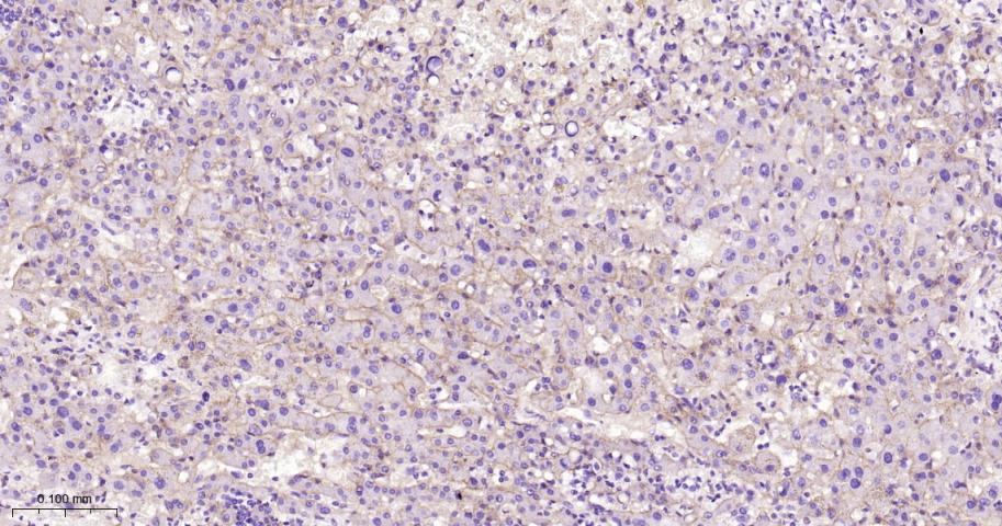
IHC-PHuman1:50-200
IHC-FHuman1:50-200
IFHuman1:50-200

交叉反应

交叉反应: Human

相关产品

暂无相关产品

靶标

基因名
ITGB1
蛋白名
Integrin beta-1
亚基
Heterodimer of an alpha and a beta subunit. Beta-1 associates with either alpha-1, alpha-2, alpha-3, alpha-4, alpha-5, alpha-6, alpha-7, alpha-8, alpha-9, alpha-10, alpha-11 or alpha-V. Binds LGALS3BP and ITGB1BP3, when associated with alpha-7, but not with alpha-5. Interacts with FLNA, FLNB and RANBP9. Isoform Beta-1D interacts with ACE2. Isoform Beta-1A interacts with the C-terminal region of FLNC. Interacts with KRT1 in the presence of GNB2L1 and SRC. Interacts with HIV-1 Tat. Binds to human echoviruses 1 and 8 capsid proteins and acts as a receptor for these viruses. Interacts with RAB21. Interacts (via the cytoplasmic region) with RAB25 (via the hypervariable C-terminal region). Interacts with FGR and HCK (By similarity). Interacts with MYO10.
亚细胞定位
Cell membrane; Single-pass type I membrane protein. Melanosome. Cleavage furrow. Note=Isoform beta-1B does not localize to focal adhesions. Highly enriched in stage I melanosomes. Located on plasma membrane of neuroblastoma NMB7 cells. In a lung cancer cell line, in prometaphase and metaphase, localizes diffusely at the membrane and in afew intracellular vesicles. In early telophase, detected mainly on the matrix-facing side of the cells. By mid-telophase, concentrated to the ingressing cleavage furrow, mainly to the basal side of the furrow. In late telophase, concentrated to the extending protrusions formed at the opposite ends of the spreading daughter cells, in vesicles at the base of the lamellipodia formed by the separating daughter cells.
组织特异性
Isoform beta-1A is widely expressed, other isoforms are generally coexpressed with a more restricted distribution. Isoform beta-1B is expressed in skin, liver, skeletal muscle, cardiac muscle, placenta, umbilical vein endothelial cells, neuroblastoma cells, lymphoma cells, hepatoma cells and astrocytoma cells. Isoform beta-1C and isoform beta-1C-2 are expressed in muscle, kidney, liver, placenta, cervical epithelium, umbilical vein endothelial cells, fibroblast cells, embryonal kidney cells, platelets and several blood cell lines. Isoform beta-C-2, rather than isoform beta-1C, is selectively expressed in peripheral T-cells. Isoform beta-1C is expressed in non-proliferating and differentiated prostate gland epithelial cells and in platelets, on the surface of erythroleukemia cells and in various hematopoietic cell lines. Isoform beta-1D is expressed specifically in striated muscle (skeletal and cardiac muscle).
翻译后修饰
The cysteine residues are involved in intrachain disulfide bonds.
相似性
Belongs to the integrin beta chain family.
Contains 1 VWFA domain.
功能
Integrins alpha-1/beta-1, alpha-2/beta-1, alpha-10/beta-1 and alpha-11/beta-1 are receptors for collagen. Integrins alpha-1/beta-1 and alpha-2/beta-2 recognize the proline-hydroxylated sequence G-F-P-G-E-R in collagen. Integrins alpha-2/beta-1, alpha-3/beta-1, alpha-4/beta-1, alpha-5/beta-1, alpha-8/beta-1, alpha-10/beta-1, alpha-11/beta-1 and alpha-V/beta-1 are receptors for fibronectin. Alpha-4/beta-1 recognizes one or more domains within the alternatively spliced CS-1 and CS-5 regions of fibronectin. Integrin alpha-5/beta-1 is a receptor for fibrinogen. Integrin alpha-1/beta-1, alpha-2/beta-1, alpha-6/beta-1 and alpha-7/beta-1 are receptors for lamimin. Integrin alpha-4/beta-1 is a receptor for VCAM1. It recognizes the sequence Q-I-D-S in VCAM1. Integrin alpha-9/beta-1 is a receptor for VCAM1, cytotactin and osteopontin. It recognizes the sequence A-E-I-D-G-I-E-L in cytotactin. Integrin alpha-3/beta-1 is a receptor for epiligrin, thrombospondin and CSPG4. Alpha-3/beta-1 may mediate with LGALS3 the stimulation by CSPG4 of endothelial cells migration. Integrin alpha-V/beta-1 is a receptor for vitronectin. Beta-1 integrins recognize the sequence R-G-D in a wide array of ligands. Isoform beta-1B interferes with isoform beta-1A resulting in a dominant negative effect on cell adhesion and migration (in vitro). In case of HIV-1 infection, the interaction with extracellular viral Tat protein seems to enhance angiogenesis in Kaposi's sarcoma lesions.

标记抗体

暂无标记数据

同靶标产品

暂无同靶标产品

相关文献

提示: 发表研究结果有使用 bsm-52266R 时请让我们知道,以便我们可以引用参考文章。作为回馈,资料提供者将获得我们送上的小礼品。

暂无相关文献

常见问题

暂无常见问题