Hsp27 Recombinant Rabbit mAb (一抗) - WB,IHC-P,IHC-F,IF,Flow-Cyt,ICC/IF | Bioss

Rrmab?兔单抗
2026-05-01~2026-06-30,AB26052026-05-01~2026-06-30,WB精选(促销赠品)
Hsp27 Recombinant Rabbit mAb (一抗) - WB,IHC-P,IHC-F,IF,Flow-Cyt,ICC/IF | Bioss
货号:bsm-52757R
产品详情
相关标记
相关产品
相关文献
常见问题

概述

产品编号
bsm-52757R
产品类型
重组兔单抗、mIHC精品抗体
英文名称
Hsp27 Recombinant Rabbit mAb
中文名称
热休克蛋白27重组兔单抗
英文别名
CMT2F; HEL-S-102; HMN2B; HMND3; HS.76067; HSP27; HSP28; Hsp25; SRP27; 27kDa; HSPB1_CANLF; HSPB1; Heat shock 27 kDa protein (HSP 27); HSPB1_HUMAN; 28 kDa heat shock protein; Estrogen-regulated 24 kDa protein; Heat shock protein family B member 1; Stress-responsive protein 27 (SRP27); HSPB1_MOUSE; Growth-related 25 kDa protein; Heat shock 25 kDa protein (HSP 25); p25; HSPB1_RAT;
抗体来源
Rabbit
免疫原
A synthesized peptide derived from human Hsp27: 120-170
亚型
IgG
性状
Liquid
纯化方法
affinity purified by Protein A
克隆类型
Recombinant
克隆号
7C4
理论分子量
23 kDa
检测分子量
27 kDa
浓度
1mg/ml
储存液
0.01M TBS (pH7.4) with 1% BSA, 0.02% Proclin300 and 50% Glycerol.
SWISS
Gene ID
保存条件
Shipped at 4℃. Store at -20℃ for one year. Avoid repeated freeze/thaw cycles.
注意事项
This product as supplied is intended for research use only, not for use in human, therapeutic or diagnostic applications.
产品介绍
信号传导(Signaling Intermediates)
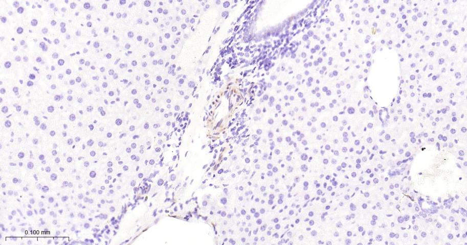
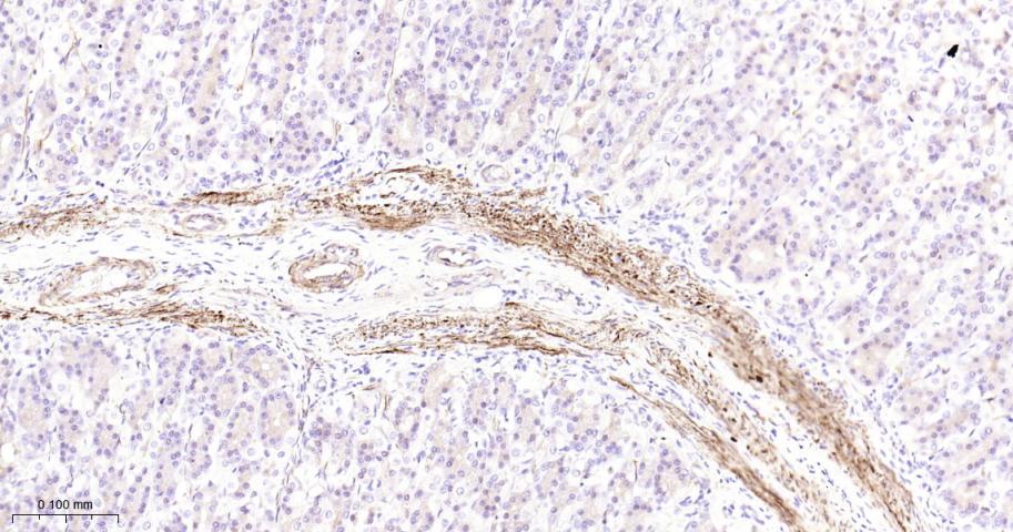
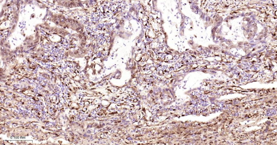
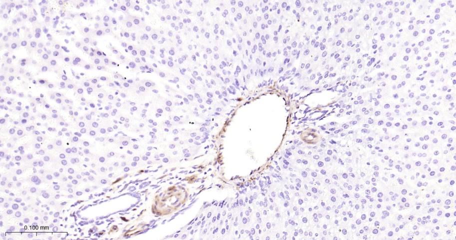
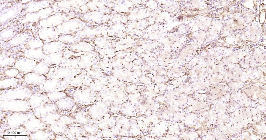
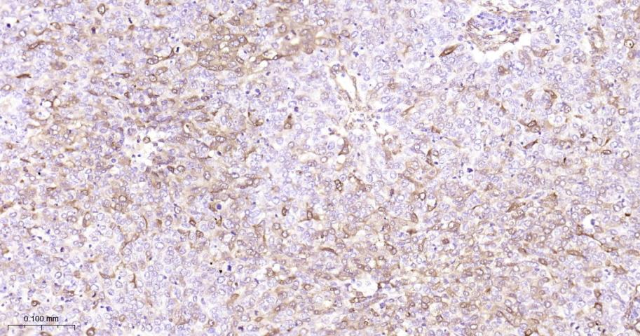
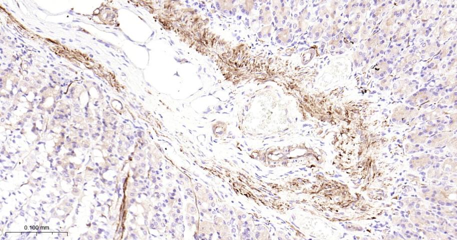
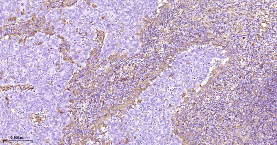
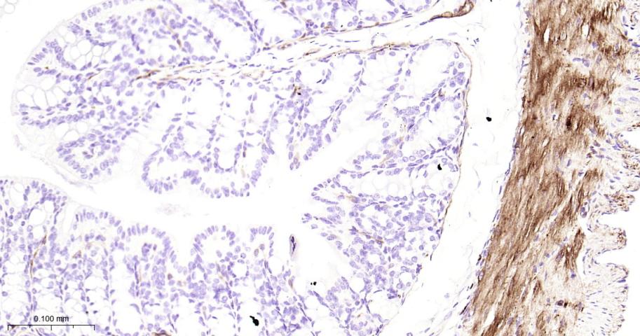
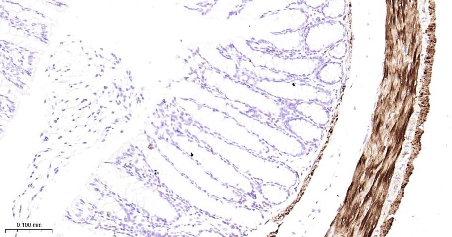
适用组织:石蜡切片 细胞定位:胞浆和部分胞核
HSPs是细胞受应激原刺激后诱导产生的一组应激蛋白,与肿瘤发生、 增殖及分化有关。按其分子量不同可分为3种类型,每组的HSPs的分布及功能有所不同。 热休克蛋白27是人体中最常见而又最小的热休克蛋白。HSP27和其它HSPs可能与肿瘤耐药和肿瘤的分化程度以及病人的预后有关。
背景资料
The protein encoded by this gene is induced by environmental stress and developmental changes. The encoded protein is involved in stress resistance and actin organization and translocates from the cytoplasm to the nucleus upon stress induction. Defects in this gene are a cause of Charcot-Marie-Tooth disease type 2F (CMT2F) and distal hereditary motor neuropathy (dHMN). [provided by RefSeq, Oct 2008]
热休克蛋白27重组兔单抗-bsm-52757R热休克蛋白27重组兔单抗-bsm-52757R热休克蛋白27重组兔单抗-bsm-52757R热休克蛋白27重组兔单抗-bsm-52757R热休克蛋白27重组兔单抗-bsm-52757R热休克蛋白27重组兔单抗-bsm-52757R热休克蛋白27重组兔单抗-bsm-52757R热休克蛋白27重组兔单抗-bsm-52757R热休克蛋白27重组兔单抗-bsm-52757R热休克蛋白27重组兔单抗-bsm-52757R热休克蛋白27重组兔单抗-bsm-52757R热休克蛋白27重组兔单抗-bsm-52757R热休克蛋白27重组兔单抗-bsm-52757R热休克蛋白27重组兔单抗-bsm-52757R热休克蛋白27重组兔单抗-bsm-52757R热休克蛋白27重组兔单抗-bsm-52757R热休克蛋白27重组兔单抗-bsm-52757R热休克蛋白27重组兔单抗-bsm-52757R

产品应用

应用已检合格种属预测种属推荐稀释比例
WBHumanMouse, Rat1:500-2000
IHC-PHuman, Mouse, Rat1:100-500
IHC-FHuman, Mouse, Rat1:100-500
IFHuman, Mouse, Rat1:100-500
Flow-CytHuman, Mouse, Rat1:50-100
ICC/IFHuman, Mouse, Rat1:50-200

交叉反应

交叉反应: Human, Mouse, Rat

相关产品

暂无相关产品

靶标

基因名
HSPB1
蛋白名
Heat shock protein beta-1
亚基
Interacts with TGFB1I1. Associates with alpha- and beta-tubulin, microtubules and CRYAB. Interacts with HSPB8 and HSPBAP1.
亚细胞定位
Cytoplasm. Nucleus. Cytoplasm, cytoskeleton, spindle. Note=Cytoplasmic in interphase cells. Colocalizes with mitotic spindles in mitotic cells. Translocates to the nucleus during heat shock and resides in sub-nuclear structures known as SC35 speckles or nuclear splicing speckles. Tissue Specificity : Detected in all tissues tested: skeletal muscle, heart, aorta, large intestine, small intestine, stomach, esophagus, bladder, adrenal gland, thyroid, pancreas, testis, adipose tissue, kidney, liver, spleen, cerebral cortex, blood serum and cerebrospinal fluid. Highest levels are found in the heart and in tissues composed of striated and smooth muscle.
组织特异性
Detected in all tissues tested: skeletal muscle, heart, aorta, large intestine, small intestine, stomach, esophagus, bladder, adrenal gland, thyroid, pancreas, testis, adipose tissue, kidney, liver, spleen, cerebral cortex, blood serum and cerebrospinal fluid. Highest levels are found in the heart and in tissues composed of striated and smooth muscle.
翻译后修饰
Phosphorylated in MCF-7 cells on exposure to protein kinase C activators and heat shock.
Phosphorylation by MAPKAPK2 and MAPKAPK3 in response to stress leads to dissociate HSP27/HSPB1 from large small heat-shock protein (sHsps) oligomers and impair its chaperone activity and ability to protect against oxidative stress effectively. Phosphorylation by MAPKAPK5 in response to PKA stimulation induces F-actin rearrangement.
疾病
Defects in HSPB1 are the cause of Charcot-Marie-Tooth disease type 2F (CMT2F) [MIM:606595]. CMT2F is a form of Charcot-Marie-Tooth disease, the most common inherited disorder of the peripheral nervous system. Charcot-Marie-Tooth disease is classified in two main groups on the basis of electrophysiologic properties and histopathology: primary peripheral demyelinating neuropathy or CMT1, and primary peripheral axonal neuropathy or CMT2. Neuropathies of the CMT2 group are characterized by signs of axonal regeneration in the absence of obvious myelin alterations, normal or slightly reduced nerve conduction velocities, and progressive distal muscle weakness and atrophy. Nerve conduction velocities are normal or slightly reduced. CMT2F onset is between 15 and 25 years with muscle weakness and atrophy usually beginning in feet and legs (peroneal distribution). Upper limb involvement occurs later. CMT2F inheritance is autosomal dominant.
Defects in HSPB1 are a cause of distal hereditary motor neuronopathy type 2B (HMN2B) [MIM:608634]. Distal hereditary motor neuronopathies constitute a heterogeneous group of neuromuscular disorders caused by selective impairment of motor neurons in the anterior horn of the spinal cord, without sensory deficit in the posterior horn. The overall clinical picture consists of a classical distal muscular atrophy syndrome in the legs without clinical sensory loss. The disease starts with weakness and wasting of distal muscles of the anterior tibial and peroneal compartments of the legs. Later on, weakness and atrophy may expand to the proximal muscles of the lower limbs and/or to the distal upper limbs.
相似性
Belongs to the small heat shock protein (HSP20) family.
功能
Involved in stress resistance and actin organization.

同靶标产品

相关文献

提示: 发表研究结果有使用 bsm-52757R 时请让我们知道,以便我们可以引用参考文章。作为回馈,资料提供者将获得我们送上的小礼品。

常见问题