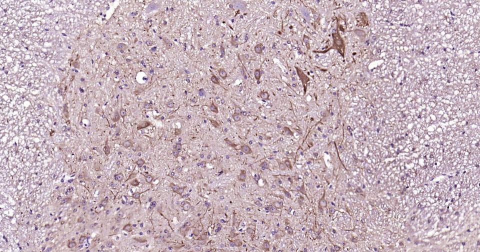
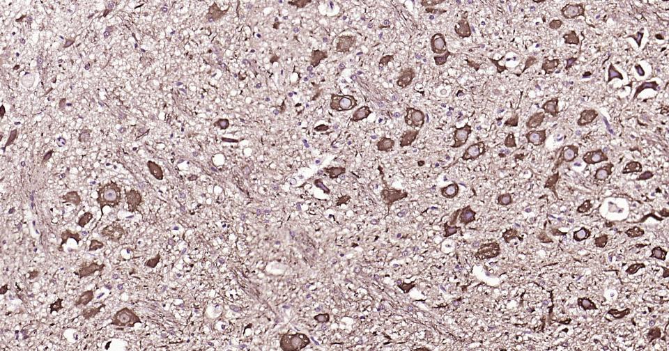
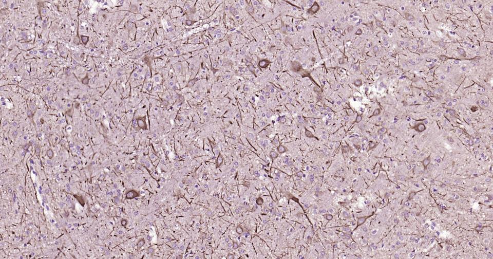
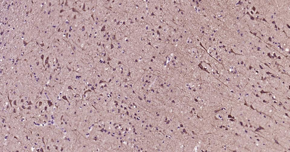
Neuroscience > Cell Adhesion Proteins > Cytoskeletal Proteins > Intermediate Filaments
Neuroscience > Cell Type Marker > Neuron marker > Axon marker
Neuroscience > Neurology process > Neurodegenerative disease
Neuroscience > Neurology process > Neurodegenerative disease > Alzheimer's disease
Signal Transduction > Cytoskeleton / ECM > Cytoskeleton > Intermediate Filaments > Class IV > Neurofilaments












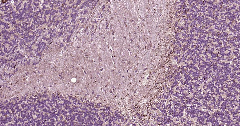
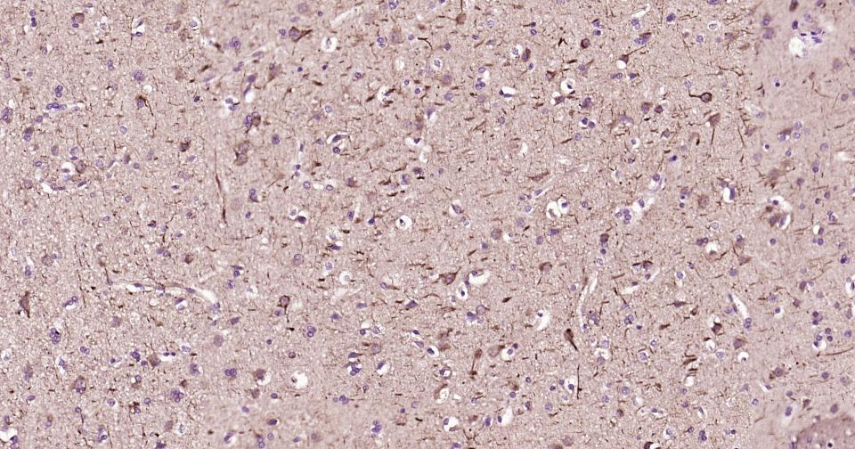
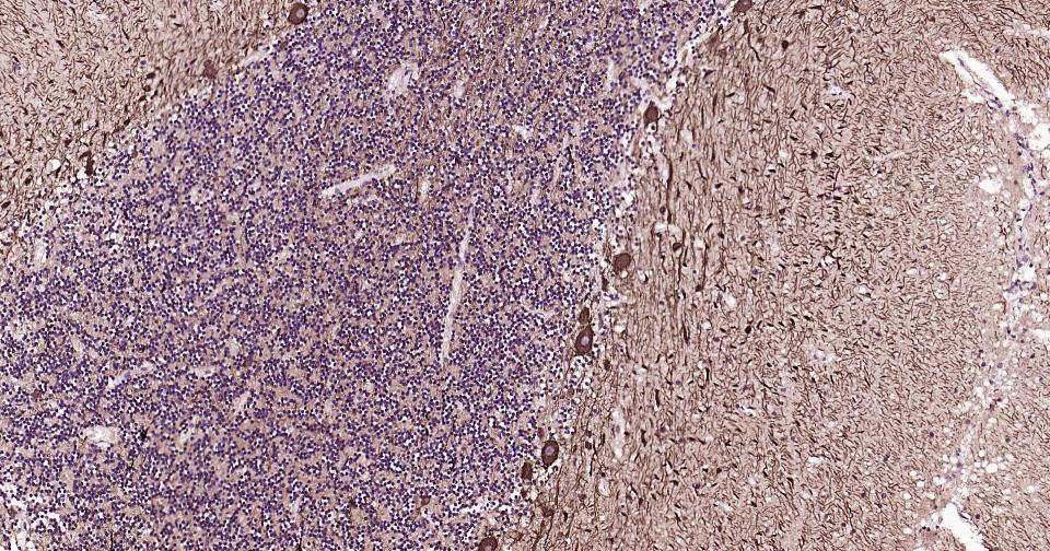
| 应用 | 已检合格种属 | 预测种属 | 推荐稀释比例 |
|---|---|---|---|
| WB | Rat | Human, Mouse | 1:500-2000 |
| IHC-P | Human, Mouse, Rat | 1:100-500 | |
| IHC-F | Human, Mouse, Rat | 1:100-500 | |
| IF | Human, Mouse, Rat | 1:100-500 |
交叉反应: Human, Mouse, Rat
暂无相关产品
暂无标记数据
暂无同靶标产品
暂无相关文献
暂无常见问题