Cancer > Cell Death > Autophagy > APG gene products
Cancer > Cell Death > Autophagy > Signal Transduction
Cancer > Oncoproteins/suppressors > Tumor suppressors
Cancer > Signal transduction > Autophagy
Cardiovascular > Heart > Autophagy > APG gene products
Cell Biology > Proteolysis / Ubiquitin > Proteasome / Ubiquitin > Ub-like Proteins
Metabolism > Pathways and Processes > Metabolism processes > Autophagy and mitophagy
Metabolism > Pathways and Processes > Metabolism processes > Autophagy and mitophagy > APG gene products
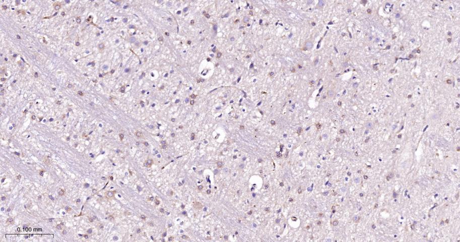
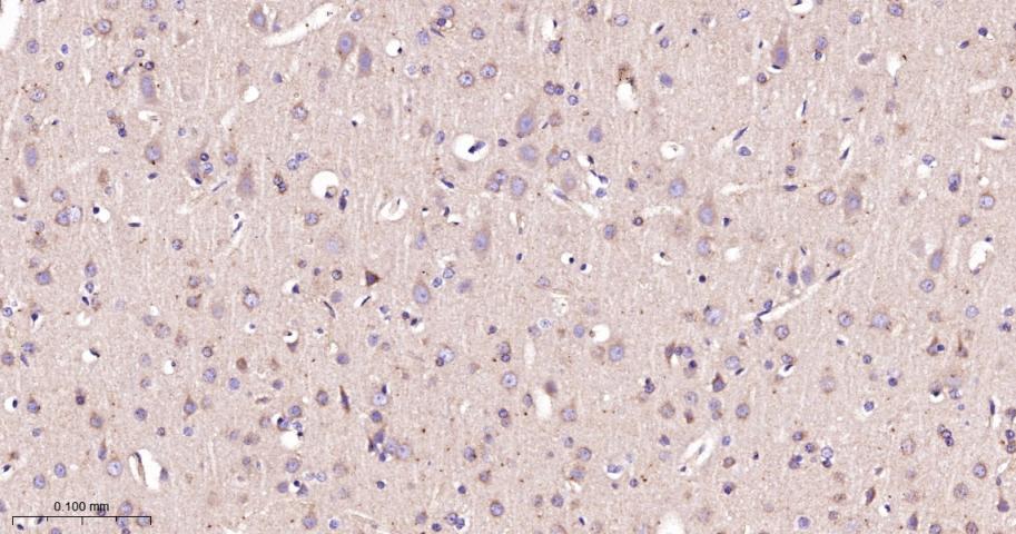
Neuroscience > Neurology process > Neurodegenerative disease



| 应用 | 已检合格种属 | 预测种属 | 推荐稀释比例 |
|---|---|---|---|
| WB | Human, Mouse, Rat | 1:500-2000 | |
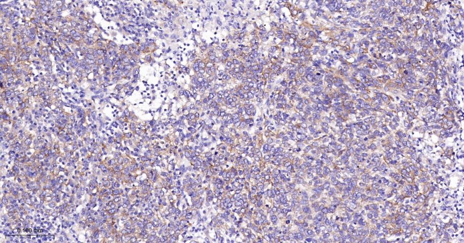
| IHC-P | Human, Rat | Mouse | 1:50-200 |
| IHC-F | Human, Rat | Mouse | 1:50-200 |
| IF | Human, Rat | Mouse | 1:50-200 |
| ICC/IF | Human, Mouse, Rat | 1:50-200 |
交叉反应: Human, Rat (predicted: Mouse)
暂无相关产品
暂无标记数据
暂无同靶标产品
暂无相关文献
暂无常见问题