突触小泡蛋白P38重组兔单抗

Rrmab?兔单抗
2026-03-02~2026-04-30,KXJ26032026-03-02~2026-04-30,促销赠品
突触小泡蛋白P38重组兔单抗
货号:bsm-52379R
产品详情
相关标记
相关产品
相关文献
常见问题

概述

产品编号
bsm-52379R
产品类型
重组兔单抗、病理级抗体、帕金森相关抗体
英文名称
Synaptophysin Recombinant Rabbit mAb
中文名称
突触小泡蛋白P38重组兔单抗
英文别名
MRX96; MRXSYP; XLID96; A230093K24Rik; Syn; p38; Syp1; SYPH_BOVIN; SYP; Major synaptic vesicle protein p38; SYPH_HUMAN; SYPH_MOUSE; BM89 antigen; SYPH_RAT;
抗体来源
Rabbit
免疫原
A synthesized peptide derived from human Synaptophysin: 280-313
亚型
IgG
性状
Liquid
纯化方法
affinity purified by Protein A
克隆类型
Recombinant
克隆号
2B1
理论分子量
34 kDa
浓度
1mg/ml
储存液
0.01M TBS (pH7.4) with 1% BSA, 0.02% Proclin300 and 50% Glycerol.
SWISS
Gene ID
保存条件
Shipped at 4℃. Store at -20℃ for one year. Avoid repeated freeze/thaw cycles.
注意事项
This product as supplied is intended for research use only, not for use in human, therapeutic or diagnostic applications.
背景资料
This gene encodes an integral membrane protein of small synaptic vesicles in brain and endocrine cells. The protein also binds cholesterol and is thought to direct targeting of vesicle-associated membrane protein 2 (synaptobrevin) to intracellular compartments. Mutations in this gene are associated with X-linked mental retardation (XLMR). [provided by RefSeq, Aug 2011]
突触小泡蛋白P38重组兔单抗突触小泡蛋白P38重组兔单抗突触小泡蛋白P38重组兔单抗突触小泡蛋白P38重组兔单抗突触小泡蛋白P38重组兔单抗突触小泡蛋白P38重组兔单抗突触小泡蛋白P38重组兔单抗突触小泡蛋白P38重组兔单抗突触小泡蛋白P38重组兔单抗突触小泡蛋白P38重组兔单抗突触小泡蛋白P38重组兔单抗突触小泡蛋白P38重组兔单抗突触小泡蛋白P38重组兔单抗突触小泡蛋白P38重组兔单抗

产品应用

应用已检合格种属预测种属推荐稀释比例
WBMouse, RatHuman1:2000-10000
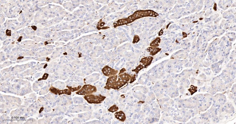
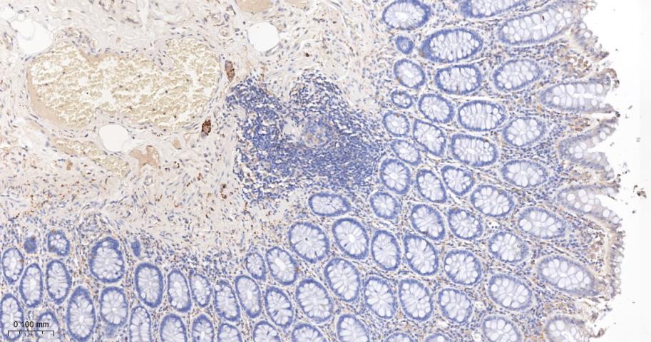
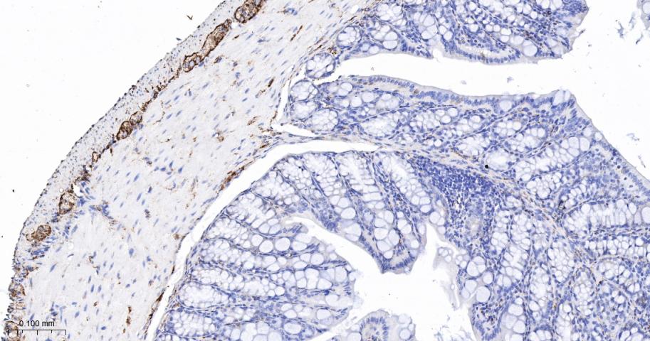
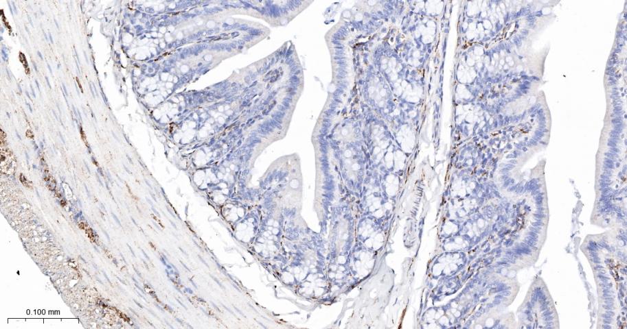
IHC-PHuman, Mouse, Rat1:200-800
IHC-FHuman, Mouse, Rat1:200-800
IFHuman, Mouse, Rat1:200-800
Flow-CytHuman, Mouse, Rat1ug/Test

交叉反应

交叉反应: Human, Mouse, Rat

相关产品

暂无相关产品

靶标

基因名
SYP
蛋白名
Synaptophysin
亚细胞定位
Cytoplasmic vesicle > secretory vesicle > synaptic vesicle membrane. Cell junction > synapse > synaptosome.
组织特异性
Characteristic of a type of small (30-80 nm) neurosecretory vesicles, including presynaptic vesicles, but also vesicles of various neuroendocrine cells of both neuronal and epithelial phenotype.
翻译后修饰
Ubiquitinated; mediated by SIAH1 or SIAH2 and leading to its subsequent proteasomal degradation.
疾病
Defects in SYP are the cause of mental retardation X-linked SYP-related (MRXSYP) [MIM:300802]. Mental retardation is characterized by significantly below average general intellectual functioning associated with impairments in adaptative behavior and manifested during the developmental period.
相似性
Belongs to the synaptophysin/synaptobrevin family. Contains 1 MARVEL domain.
功能
Possibly involved in structural functions as organizing other membrane components or in targeting the vesicles to the plasma membrane. Involved in the regulation of short-term and long-term synaptic plasticity.

标记抗体

暂无标记数据

同靶标产品

暂无同靶标产品

相关文献

提示: 发表研究结果有使用 bsm-52379R 时请让我们知道,以便我们可以引用参考文章。作为回馈,资料提供者将获得我们送上的小礼品。

暂无相关文献

常见问题

暂无常见问题