Cancer > Cell Death > Apoptosis > Apoptosis Markers > Caspases
Cancer > Cell Death > Apoptosis > Metabolism
Cancer > Invasion/microenvironment > Apoptosis > Caspases
Cell Biology > Apoptosis > Intracellular > Caspases etc > Caspases
Metabolism > Pathways and Processes > Metabolism processes > Apoptosis
Neuroscience > Neurology process > Neurodegenerative disease > Alzheimer's disease









| 应用 | 已检合格种属 | 预测种属 | 推荐稀释比例 |
|---|---|---|---|
| WB | Human, Mouse, Rat | 1:1000-2000 | |
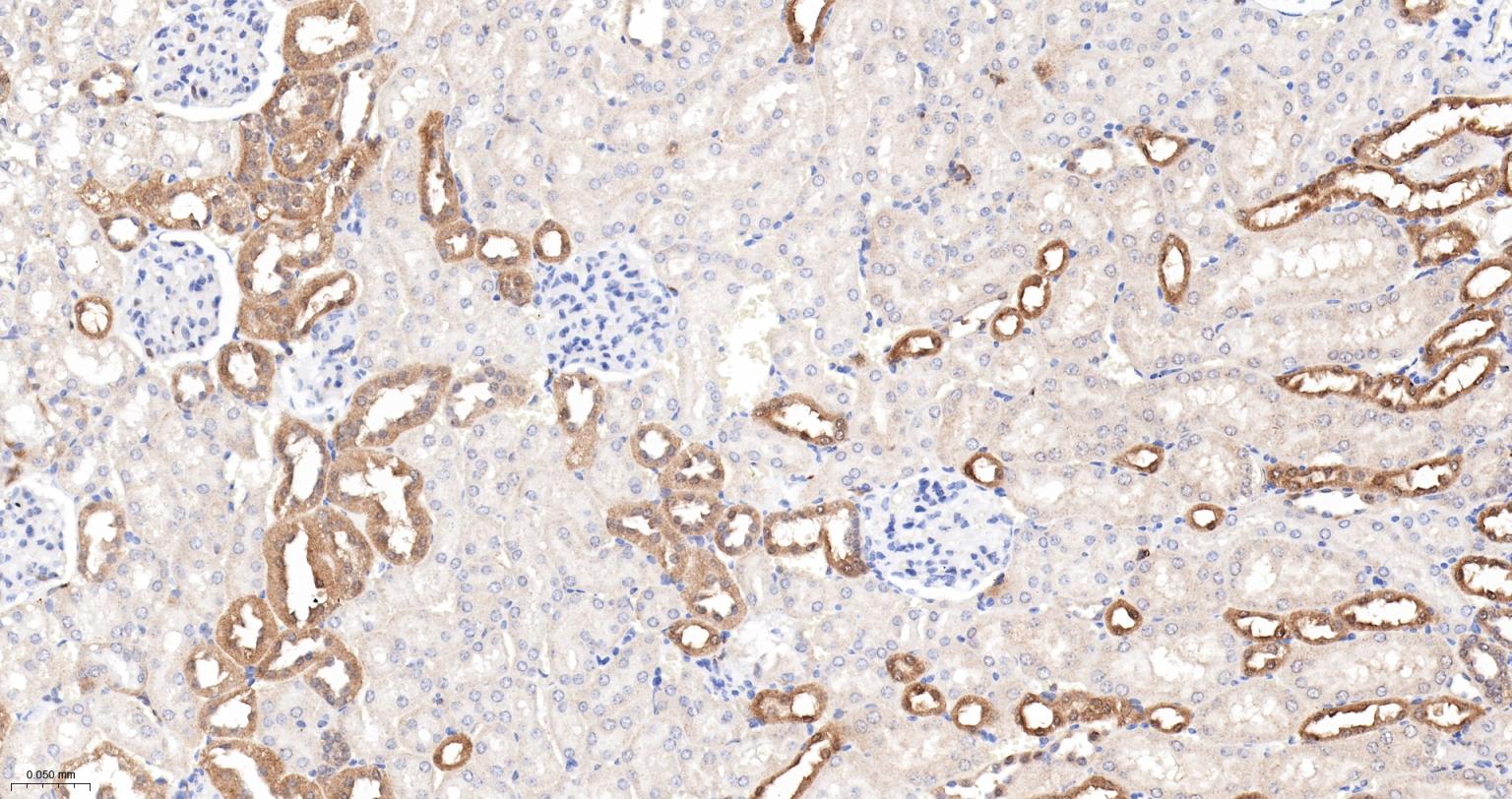
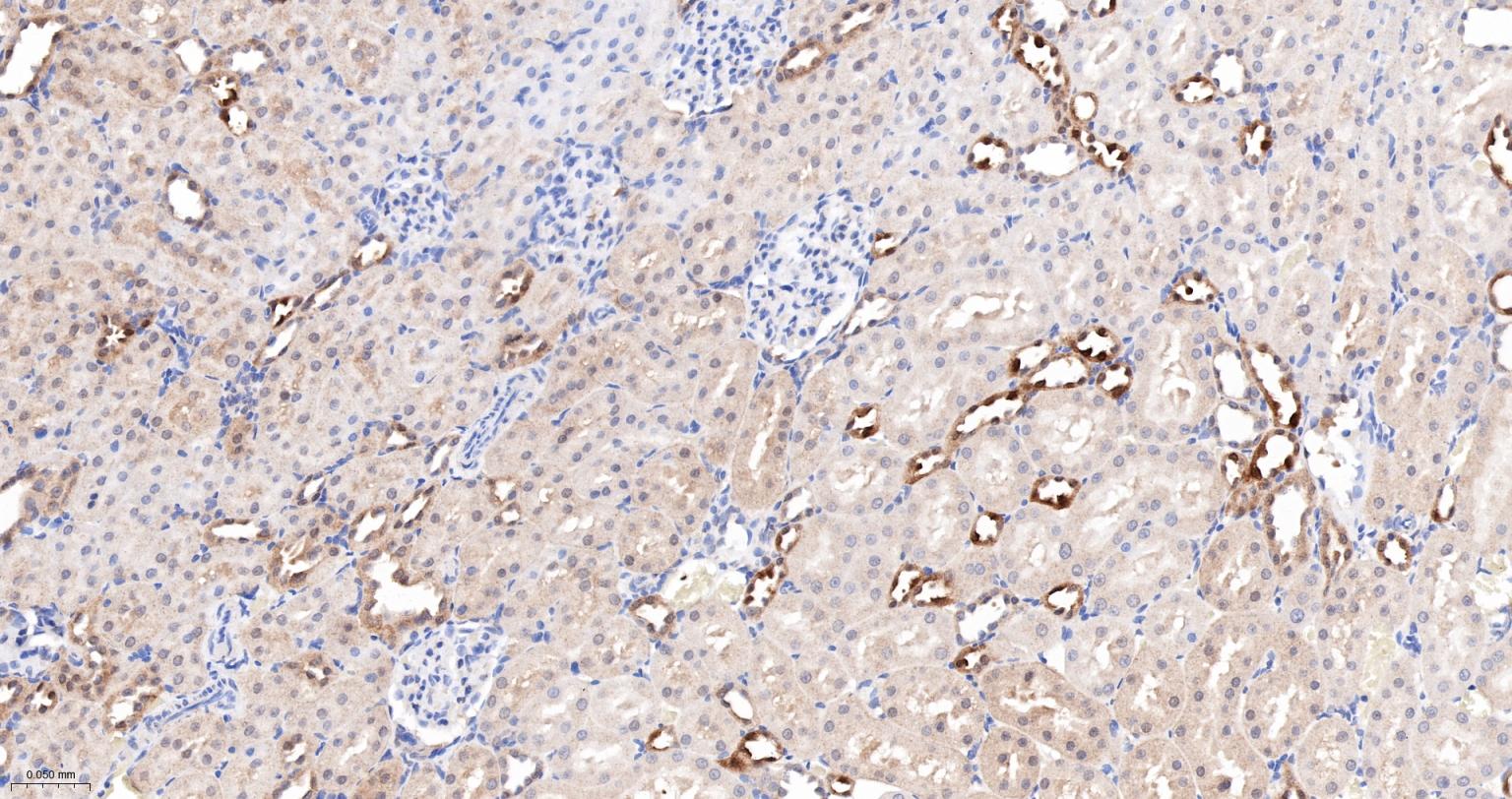
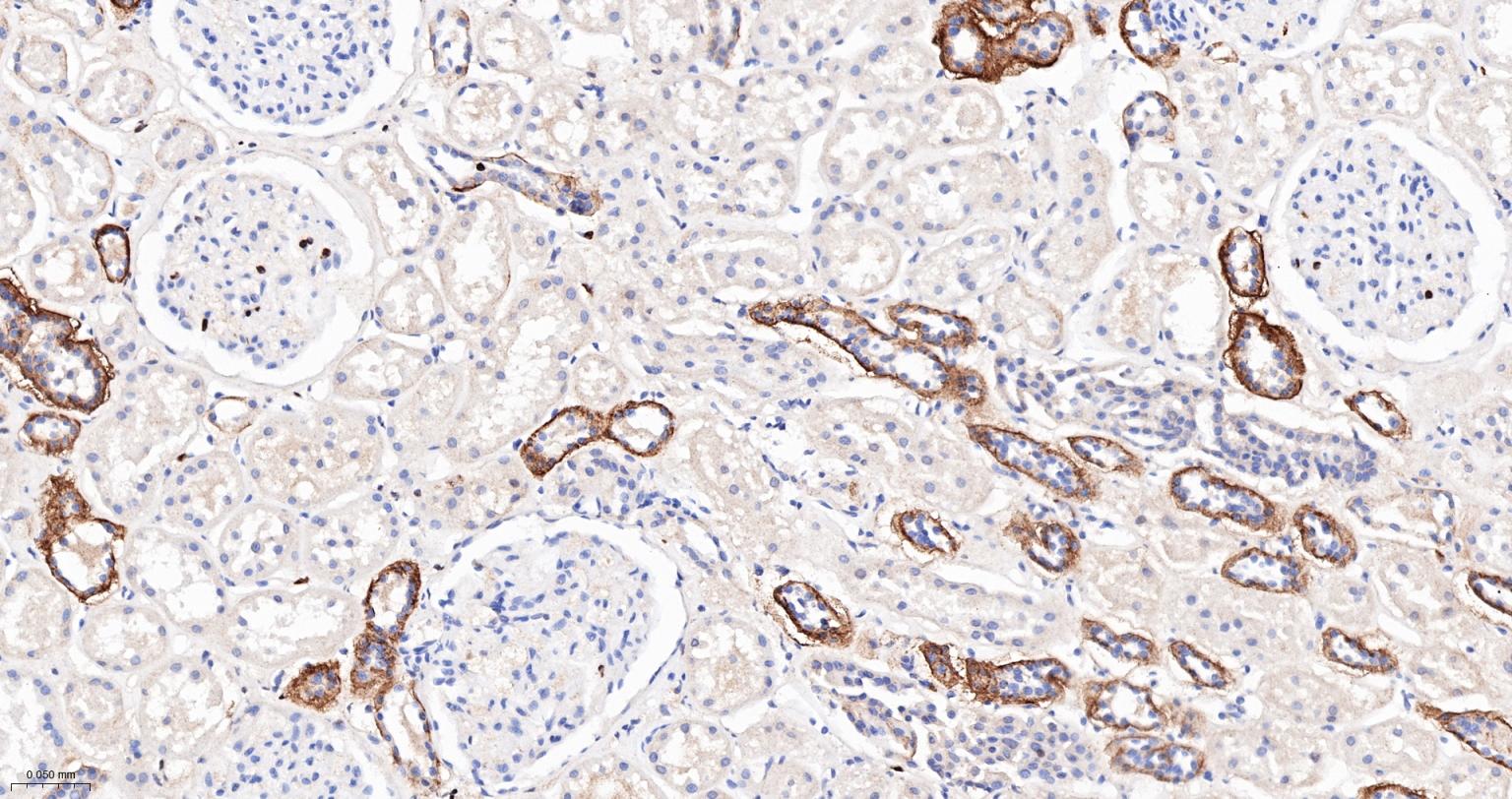
| IHC-P | Human, Mouse, Rat | 1:200-500 | |
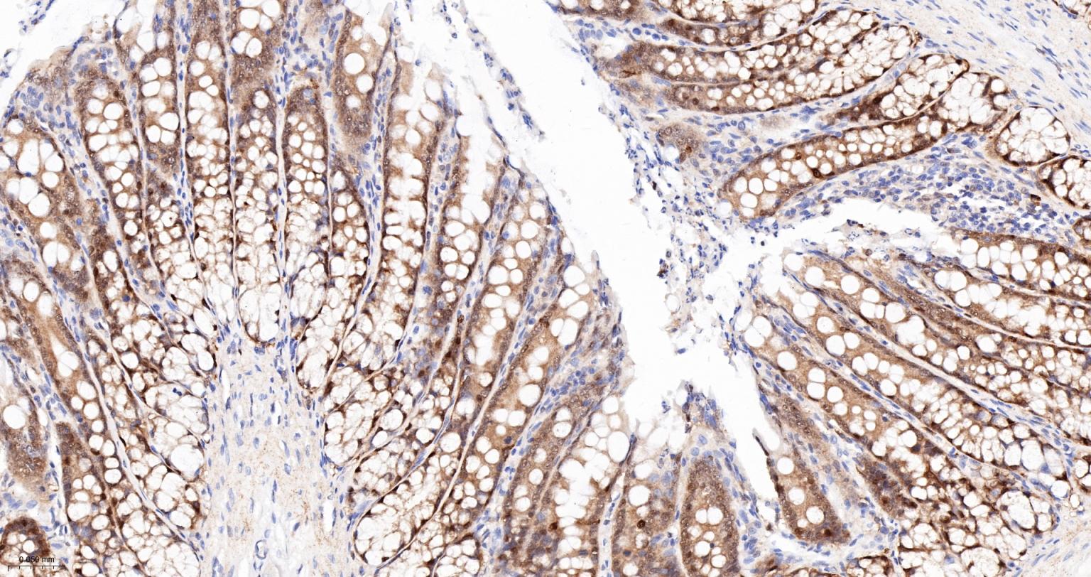
| IHC-F | Human, Mouse, Rat | 1:200-500 | |
| IF | Human, Mouse, Rat | 1:200-500 |
交叉反应: Human, Mouse, Rat
暂无相关产品
暂无标记数据
暂无同靶标产品
暂无相关文献
暂无常见问题