Cancer > Cell Death > Apoptosis > Apoptosis Markers > Caspases
Cancer > Cell Death > Apoptosis > Metabolism
Cancer > Invasion/microenvironment > Apoptosis > Caspases
Cell Biology > Apoptosis > Intracellular > Caspases etc > Caspases
Cell Biology > Proteolysis / Ubiquitin > Proteolytic enzymes > Other proteases
Metabolism > Pathways and Processes > Metabolism processes > Apoptosis





| 应用 | 已检合格种属 | 预测种属 | 推荐稀释比例 |
|---|---|---|---|
| WB | Human | 1:2000-10000 | |
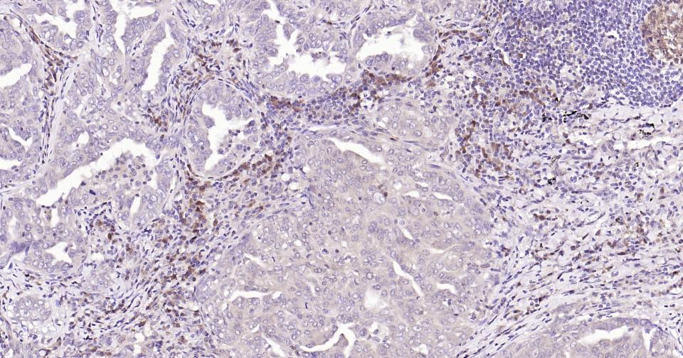
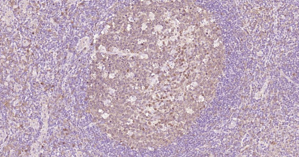
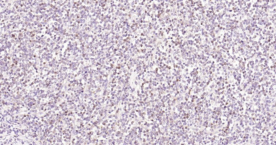
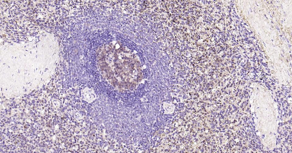
| IHC-P | Human | 1:200-800 | |
| IHC-F | Human | 1:200-800 | |
| IF | Human | 1:200-800 |
交叉反应: Human
暂无相关产品
暂无标记数据
暂无同靶标产品
暂无相关文献
暂无常见问题