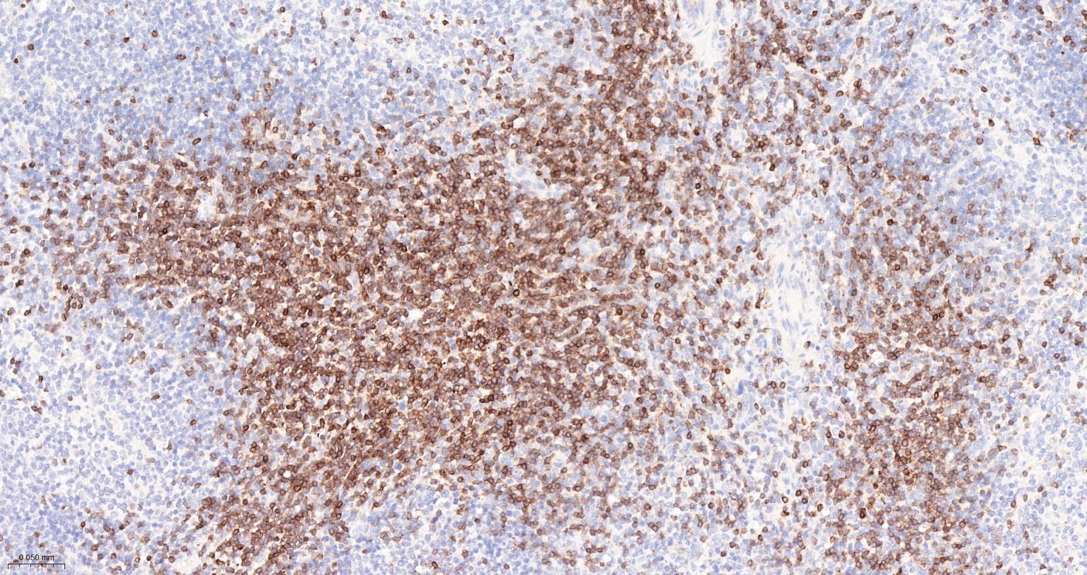
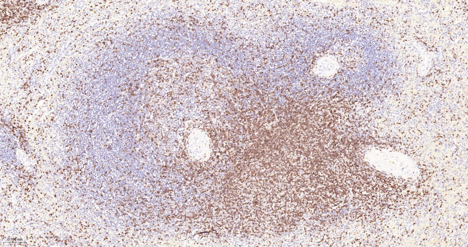
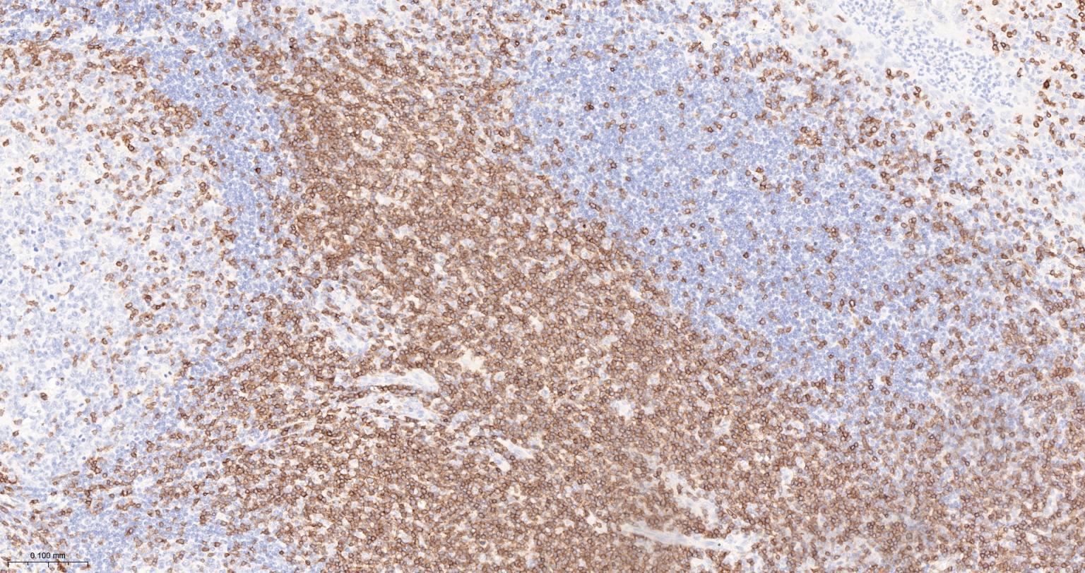
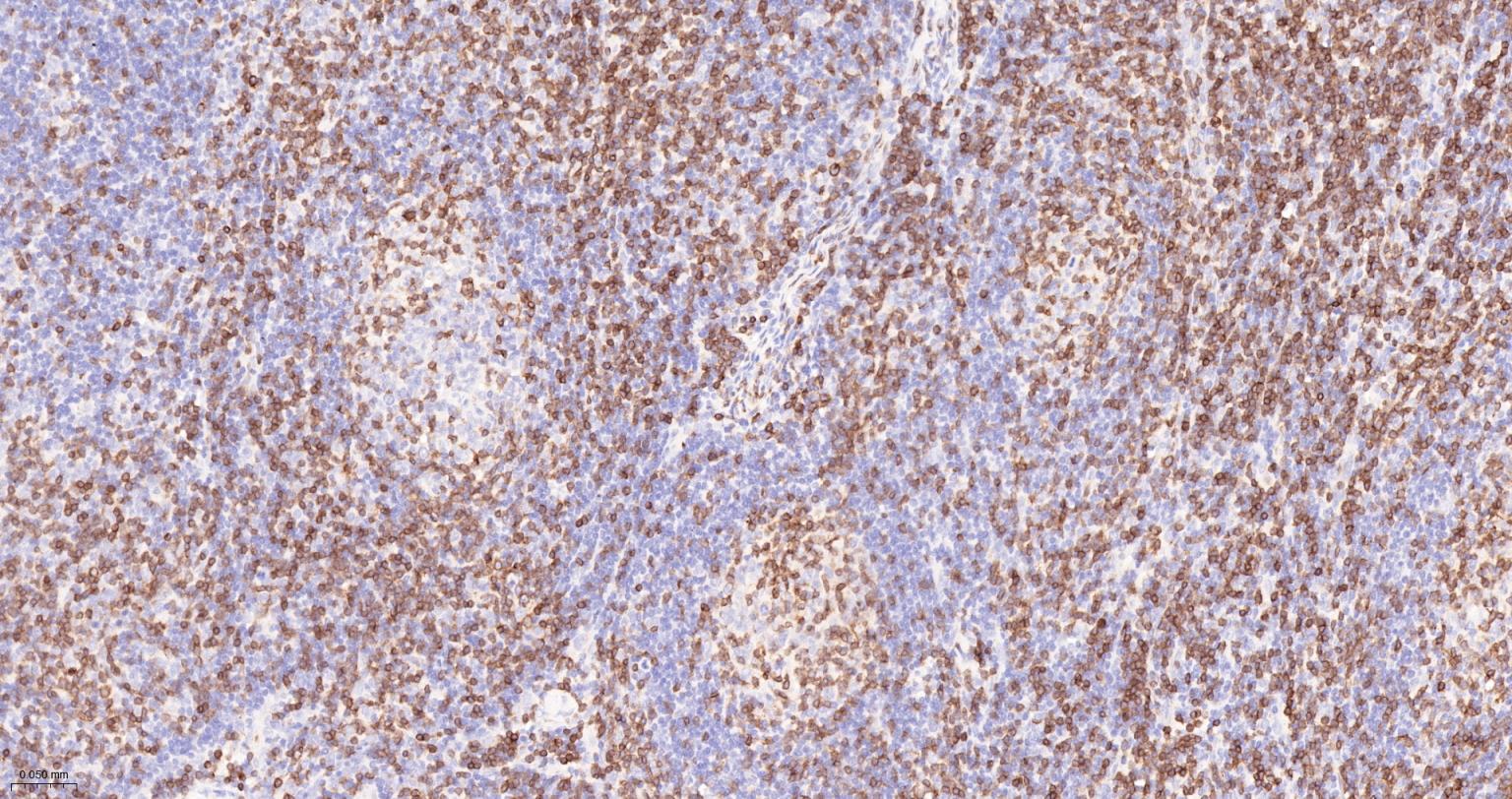
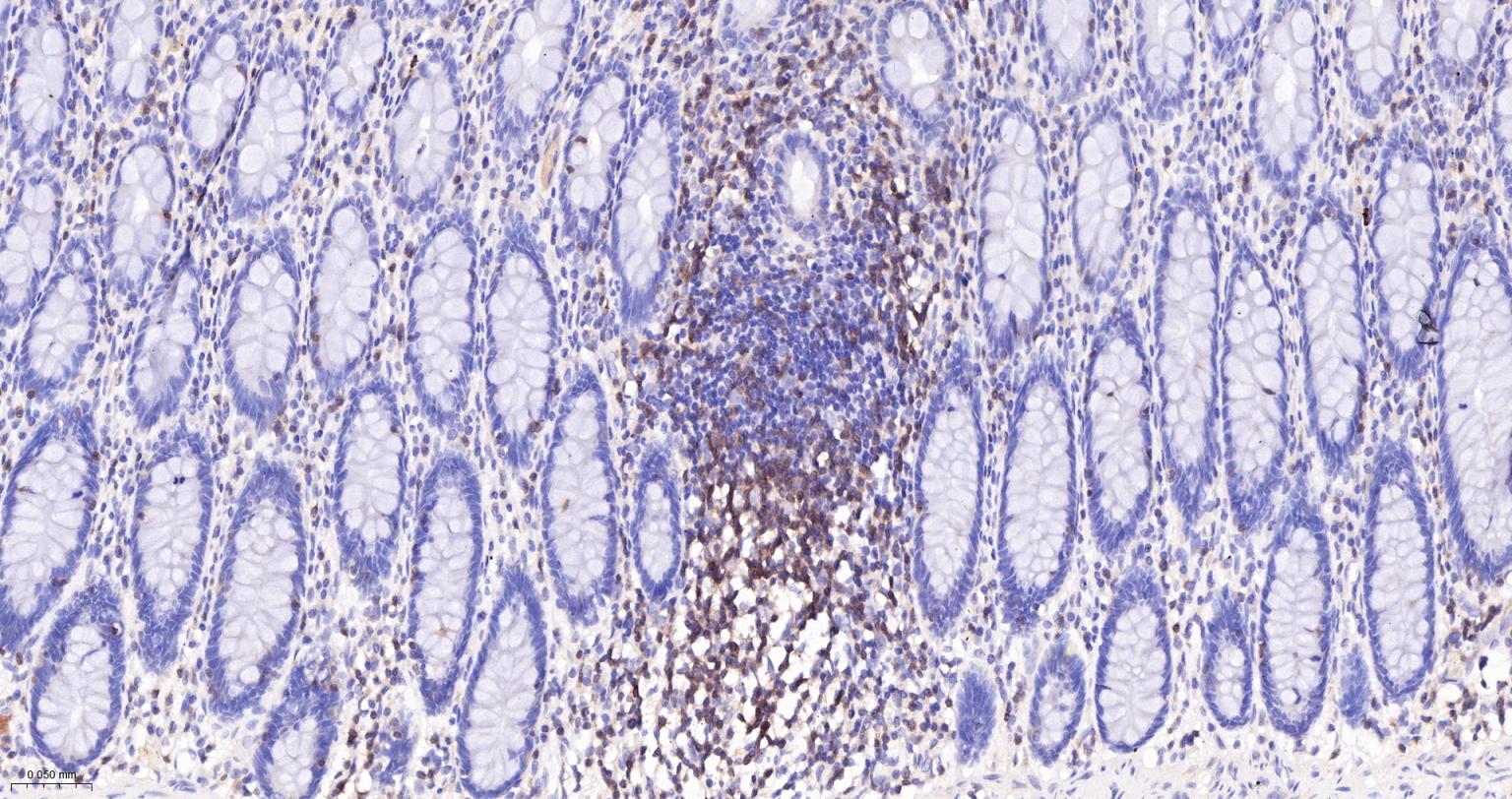
Immunology > Adaptive Immunity > T Cells > CD







| 应用 | 已检合格种属 | 预测种属 | 推荐稀释比例 |
|---|---|---|---|
| WB | Human | Mouse | 1:500-2000 |
| IHC-P | Human, Mouse | 1:100-500 | |
| IHC-F | Human, Mouse | 1:50-200 | |
| IF | Human, Mouse | 1:100-500 | |
| Flow-Cyt | Human, Mouse | 1:50-200 | |
| ICC/IF | Human, Mouse | 1:50-200 |
交叉反应: Human, Mouse
暂无相关产品