Developmental Biology > Organogenesis > Excretory system development > Kidney development
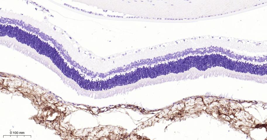
Neuroscience > Sensory System > Visual system
Signal Transduction > Cytoskeleton / ECM > Extracellular Matrix > ECM Proteins > Collagen
Signal Transduction > Cytoskeleton / ECM > Extracellular Matrix > ECM Proteins > Other ECM Proteins
Signal Transduction > Cytoskeleton / ECM > Extracellular Matrix > Structures > Bone
















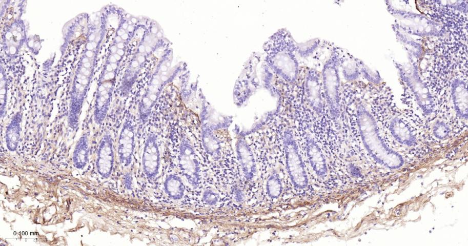
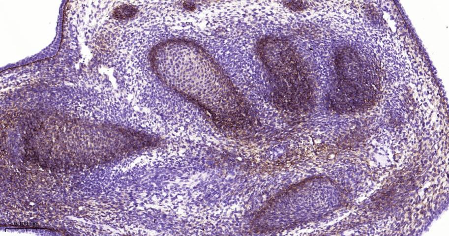
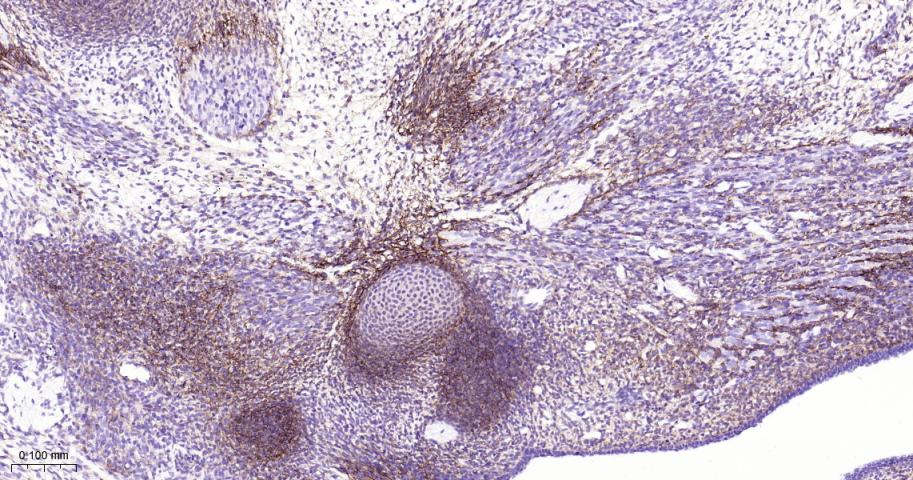
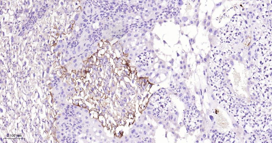
| 应用 | 已检合格种属 | 预测种属 | 推荐稀释比例 |
|---|---|---|---|
| WB | Mouse, Rat | Human | 1:500-2000 |
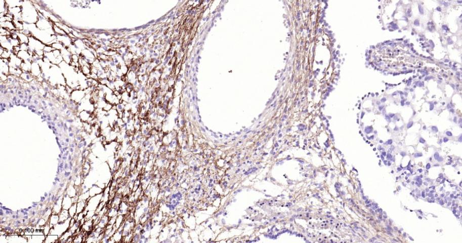
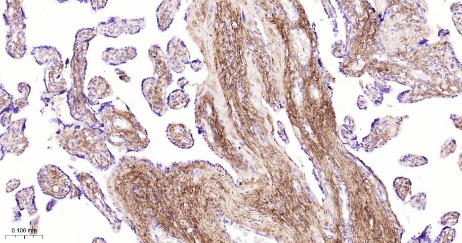
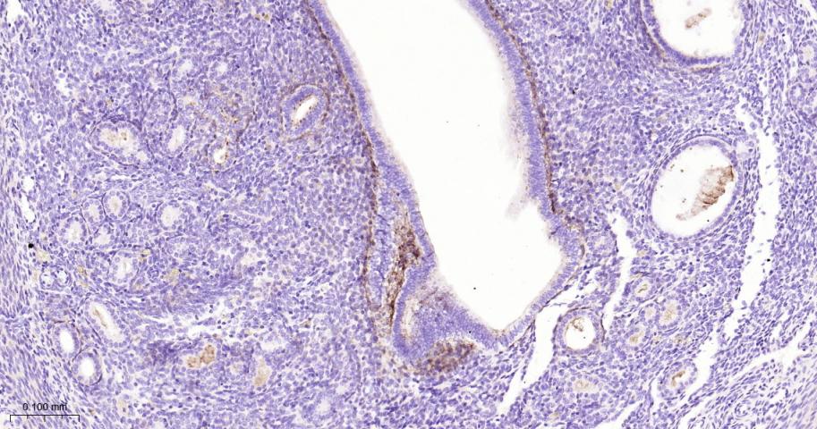
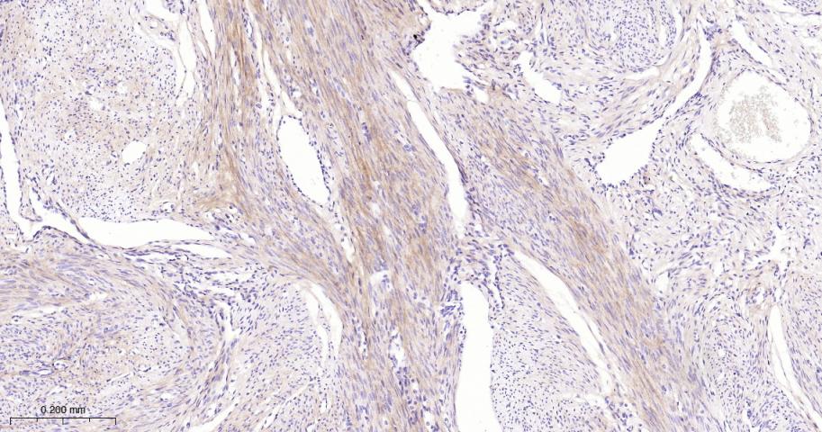
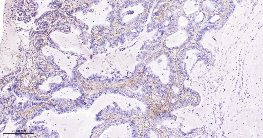
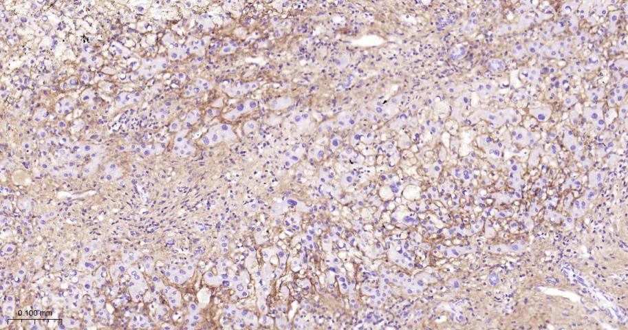
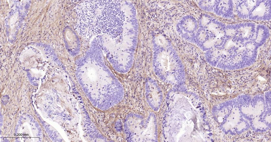
| IHC-P | Human, Mouse, Rat | 1:50-200 | |
| IHC-F | Human, Mouse, Rat | 1:50-200 | |
| IF | Human, Mouse, Rat | 1:50-200 | |
| Flow-Cyt | Human | Mouse, Rat | 1:50-100 |
交叉反应: Human, Mouse, Rat
暂无相关产品
暂无标记数据
暂无同靶标产品
暂无相关文献
暂无常见问题