DNA连接酶4重组兔单抗

Rrmab?兔单抗
2026-03-02~2026-04-30,KXJ26032026-03-02~2026-04-30,促销赠品
DNA连接酶4重组兔单抗
货号:bsm-54131R
产品详情
相关标记
相关产品
相关文献
常见问题

概述

产品编号
bsm-54131R
产品类型
重组兔单抗
英文名称
DNA Ligase IV Recombinant Rabbit mAb
中文名称
DNA连接酶4重组兔单抗
英文别名
LIG4S; 5830471N16Rik; tiny; CR201_G0004203; DNL4; DNLI4_HUMAN; LIG4; DNA ligase IV; Polydeoxyribonucleotide synthase [ATP] 4; 6.5.1.1; DNLI4_MOUSE; DNLI4_PONAB;
抗体来源
Rabbit
免疫原
Recombinant human DNA Ligase IV
亚型
IgG
性状
Liquid
纯化方法
affinity purified by Protein A
克隆类型
Recombinant
克隆号
2D9
理论分子量
104 kDa
浓度
1mg/ml
储存液
0.01M TBS (pH7.4) with 1% BSA, 0.02% Proclin300 and 50% Glycerol.
SWISS
Gene ID
保存条件
Shipped at 4℃. Store at -20℃ for one year. Avoid repeated freeze/thaw cycles.
注意事项
This product as supplied is intended for research use only, not for use in human, therapeutic or diagnostic applications.
背景资料
The X-ray repair cross-complementing protein XRCC4 and DNA Ligase IV are essential for repairing double-strand breaks in DNA. These proteins form a critical complex consisting of two molecules of each protein that preferentially bind DNA with nicks or broken ends. As an obligate accessory molecule, XRCC4 binds to DNA Ligase IV and enhances its joining activity. The XRCC4/ DNA Ligase IV complex is also involved in V(D)J recombination. V(D)J recombination occurs in normal development of the adaptive immune system and involves the formation of a double-strand break intermediate. Deletions of either DNA Ligase IV or XRCC4 inhibit the completion of V(D)J recombination, resulting in a high incidence of apoptosis in the developing nervous system and a block in B and T cell maturation.
DNA连接酶4重组兔单抗DNA连接酶4重组兔单抗DNA连接酶4重组兔单抗DNA连接酶4重组兔单抗

产品应用

应用已检合格种属预测种属推荐稀释比例
WBHuman1:500-2000
IHC-PHuman1:50-200
IHC-FHuman1:50-200
IFHuman1:50-200

交叉反应

交叉反应: Human

相关产品

暂无相关产品

靶标

基因名
LIG4
蛋白名
DNA ligase 4
亚细胞定位
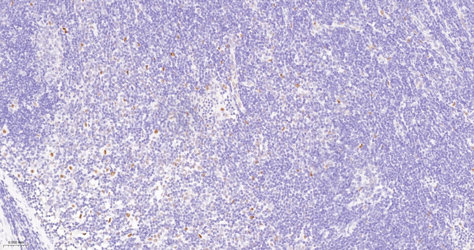
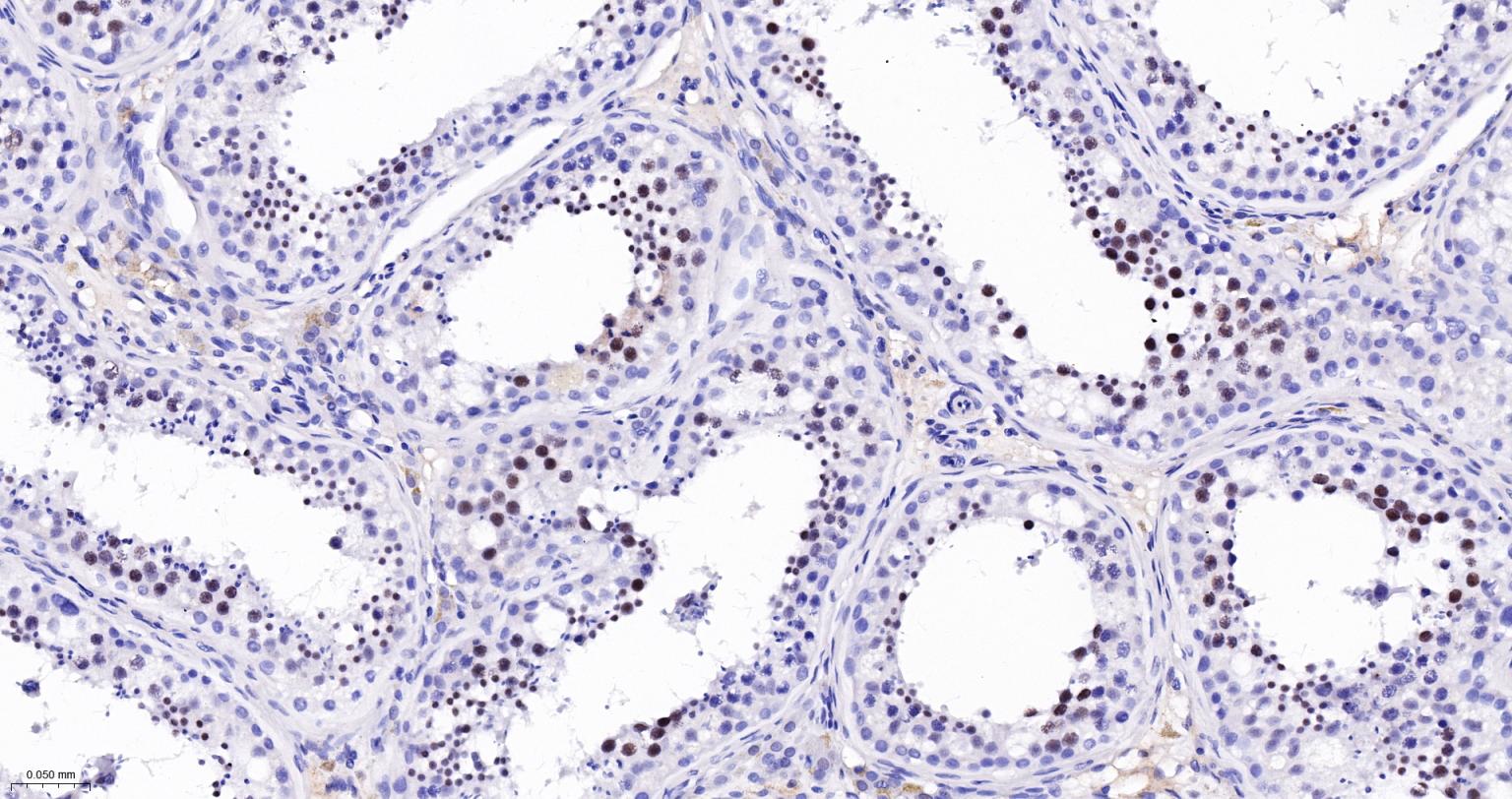
Testis, thymus, prostate and heart.
组织特异性
Testis, thymus, prostate and heart.
疾病
Defects in LIG4 are the cause of LIG4 syndrome (LIG4S) [MIM:606593]. This disease is characterized by immunodeficiency and developmental and growth delay. Patients display unusual facial features, microcephaly, growth and/or developmental delay, pancytopenia, and various skin abnormalities.
Defects in LIG4 are a cause of severe combined immunodeficiency autosomal recessive T-cell-negative/B-cell-negative/NK-cell-positive with sensitivity to ionizing radiation (RSSCID) [MIM:602450]. SCID refers to a genetically and clinically heterogeneous group of rare congenital disorders characterized by impairment of both humoral and cell-mediated immunity, leukopenia, and low or absent antibody levels. Patients with SCID present in infancy with recurrent, persistent infections by opportunistic organisms. The common characteristic of all types of SCID is absence of T-cell-mediated cellular immunity due to a defect in T-cell development. Individuals affected by RS-SCID show defects in the DNA repair machinery necessary for coding joint formation and the completion of V(D)J recombination. A subset of cells from such patients show increased radiosensitivity.
相似性
Belongs to the ATP-dependent DNA ligase family.
Contains 2 BRCT domains.
功能
Efficiently joins single-strand breaks in a double-stranded polydeoxynucleotide in an ATP-dependent reaction. Involved in DNA non-homologous end joining (NHEJ) required for double-strand break repair and V(D)J recombination. The LIG4-XRCC4 complex is responsible for the NHEJ ligation step, and XRCC4 enhances the joining activity of LIG4. Binding of the LIG4-XRCC4 complex to DNA ends is dependent on the assembly of the DNA-dependent protein kinase complex DNA-PK to these DNA ends.

标记抗体

暂无标记数据

同靶标产品

暂无同靶标产品

相关文献

提示: 发表研究结果有使用 bsm-54131R 时请让我们知道,以便我们可以引用参考文章。作为回馈,资料提供者将获得我们送上的小礼品。

暂无相关文献

常见问题

暂无常见问题