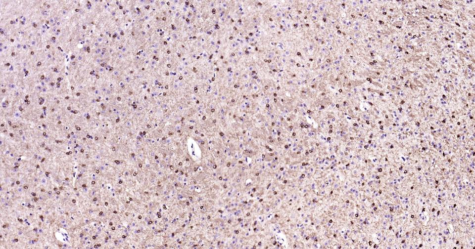
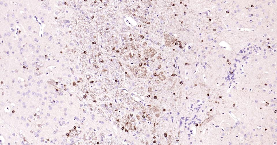
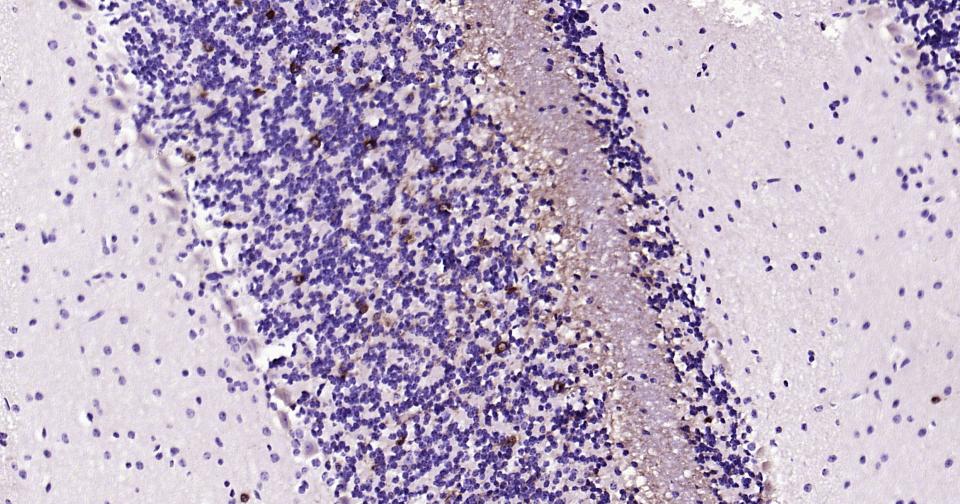
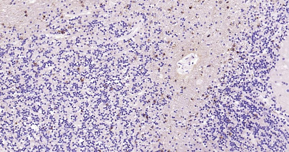
神经细胞标志物
(NMDAR1)N-甲基-D-天门冬氨酸受体(NMDAR)是兴奋性氨基酸受体亚型之一,是由NMDAR1与不同的NMDAR2亚基组成的异聚体。
近年实验研究发现,许多NMDAR拮抗药均具有镇痛活性,表明NMDAR在痛觉传递中具有重要作用,这为新型镇痛药的研究开发提供了新的作用靶点。
The protein encoded by this gene is a critical subunit of N-methyl-D-aspartate receptors, members of the glutamate receptor channel superfamily which are heteromeric protein complexes with multiple subunits arranged to form a ligand-gated ion channel. These subunits play a key role in the plasticity of synapses, which is believed to underlie memory and learning. Cell-specific factors are thought to control expression of different isoforms, possibly contributing to the functional diversity of the subunits. Alternatively spliced transcript variants have been described. [provided by RefSeq, Jul 2008]









| 应用 | 已检合格种属 | 预测种属 | 推荐稀释比例 |
|---|---|---|---|
| WB | Rat | Human, Mouse | 1:500-2000 |
| IHC-P | Human, Mouse, Rat | 1:100-500 | |
| IHC-F | Human, Mouse, Rat | 1:100-500 | |
| IF | Human, Mouse, Rat | 1:100-500 |
交叉反应: Human, Mouse, Rat
暂无相关产品