Cancer > Cancer Metabolism > Response to hypoxia
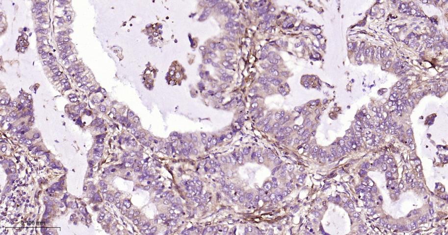
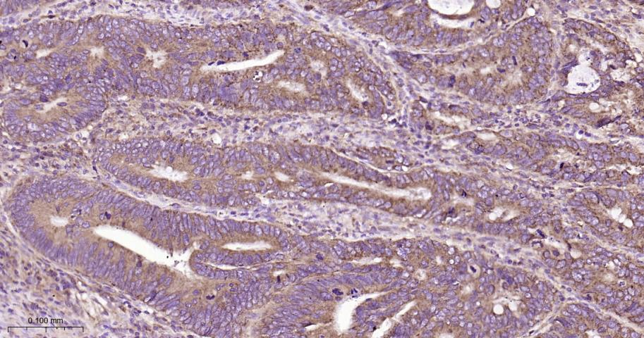
Cancer > Invasion/microenvironment > Angiogenesis > ECM enzymes > MMPs
Cancer > Invasion/microenvironment > ECM > Extracellular matrix > MMPs
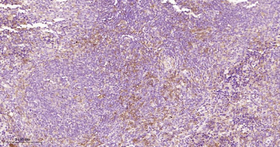
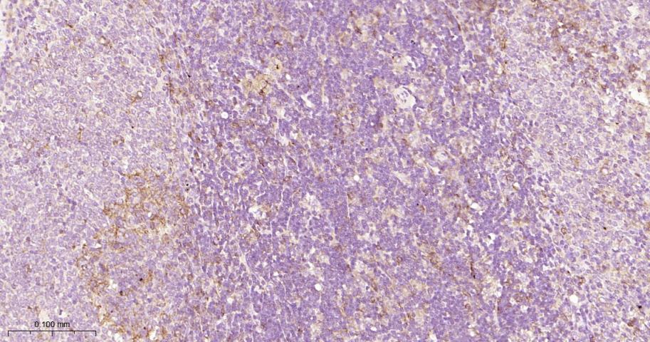
Cancer > Tumor biomarkers > Enzymes > MMPs
Cardiovascular > Angiogenesis > Adhesion / ECM > Matrix Metalloproteinases > MMP
Cell Biology > Proteolysis / Ubiquitin > Proteolytic enzymes > Metalloprotease > MMPs
Metabolism > Pathways and Processes > Metabolism processes > Hypoxia
Metabolism > Types of disease > Cancer
Signal Transduction > Cytoskeleton / ECM > Extracellular Matrix > ECM Enzymes > MMP







| 应用 | 已检合格种属 | 预测种属 | 推荐稀释比例 |
|---|---|---|---|
| WB | Human | Mouse, Rat | 1:500-2000 |
| IHC-P | Human, Mouse, Rat | 1:100-500 | |
| IHC-F | Human, Mouse, Rat | 1:100-500 | |
| IF | Human, Mouse, Rat | 1:100-500 | |
| Flow-Cyt | Human, Mouse, Rat | 1:50-100 | |
| ICC/IF | Human, Mouse, Rat | 1:50-200 | |
| IP | Human, Mouse, Rat | 1:20-50 |
交叉反应: Human, Mouse, Rat
暂无相关产品
暂无标记数据
暂无同靶标产品
暂无相关文献
暂无常见问题