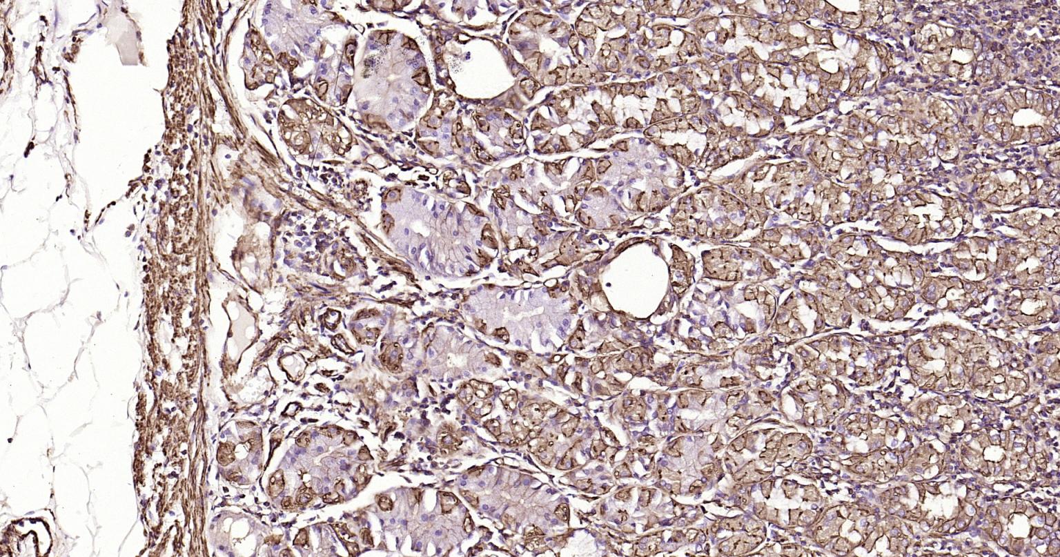
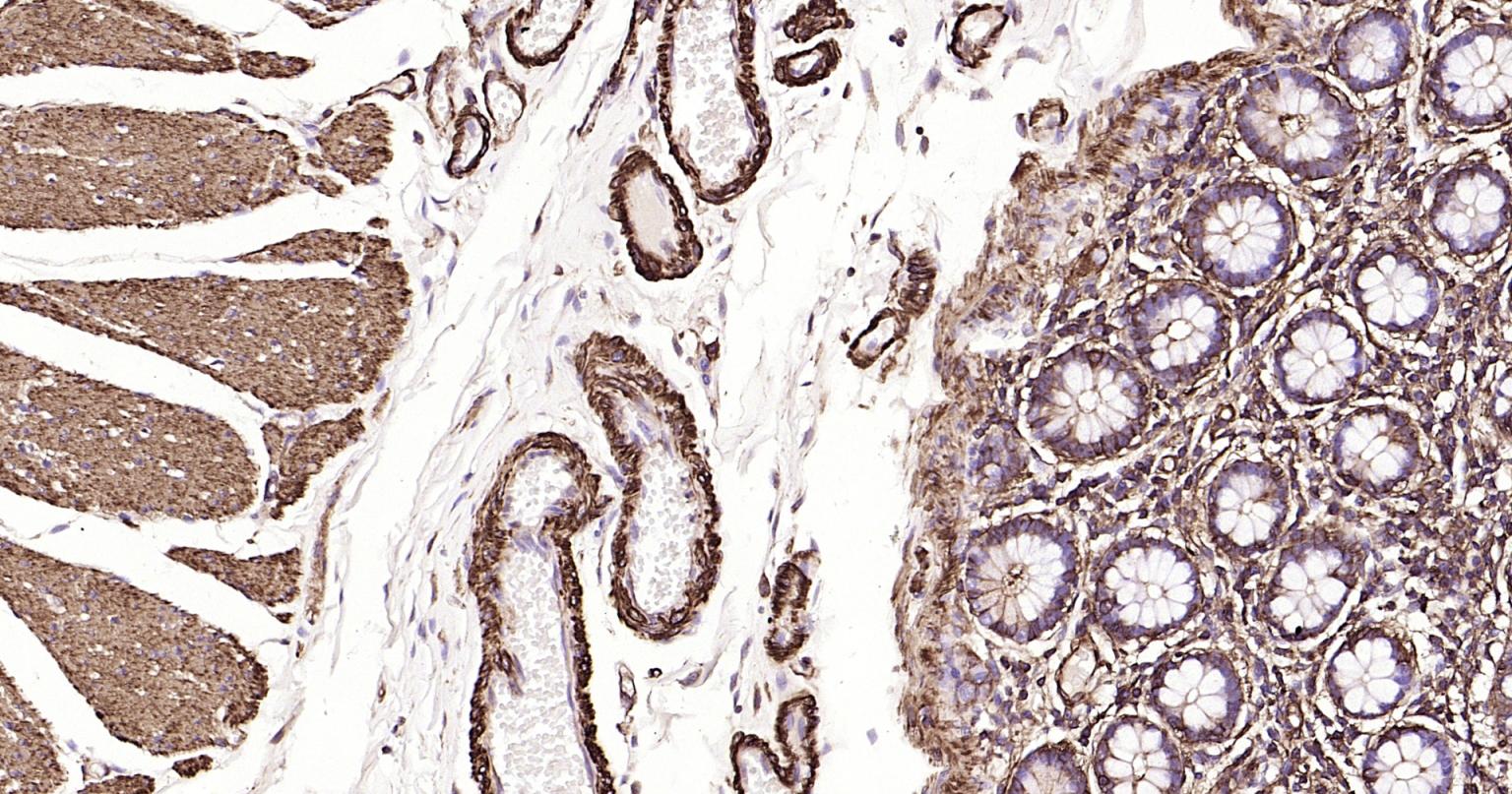
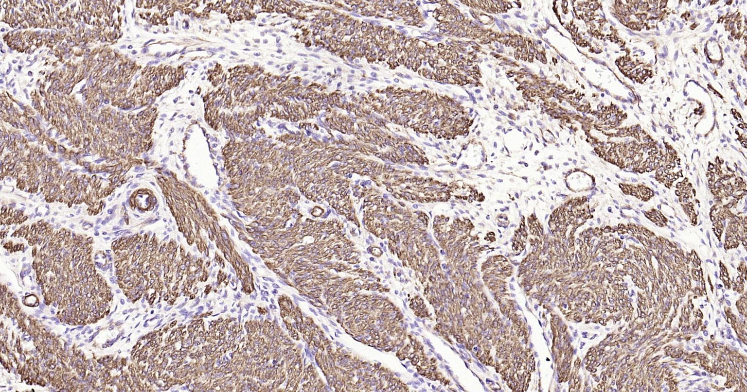
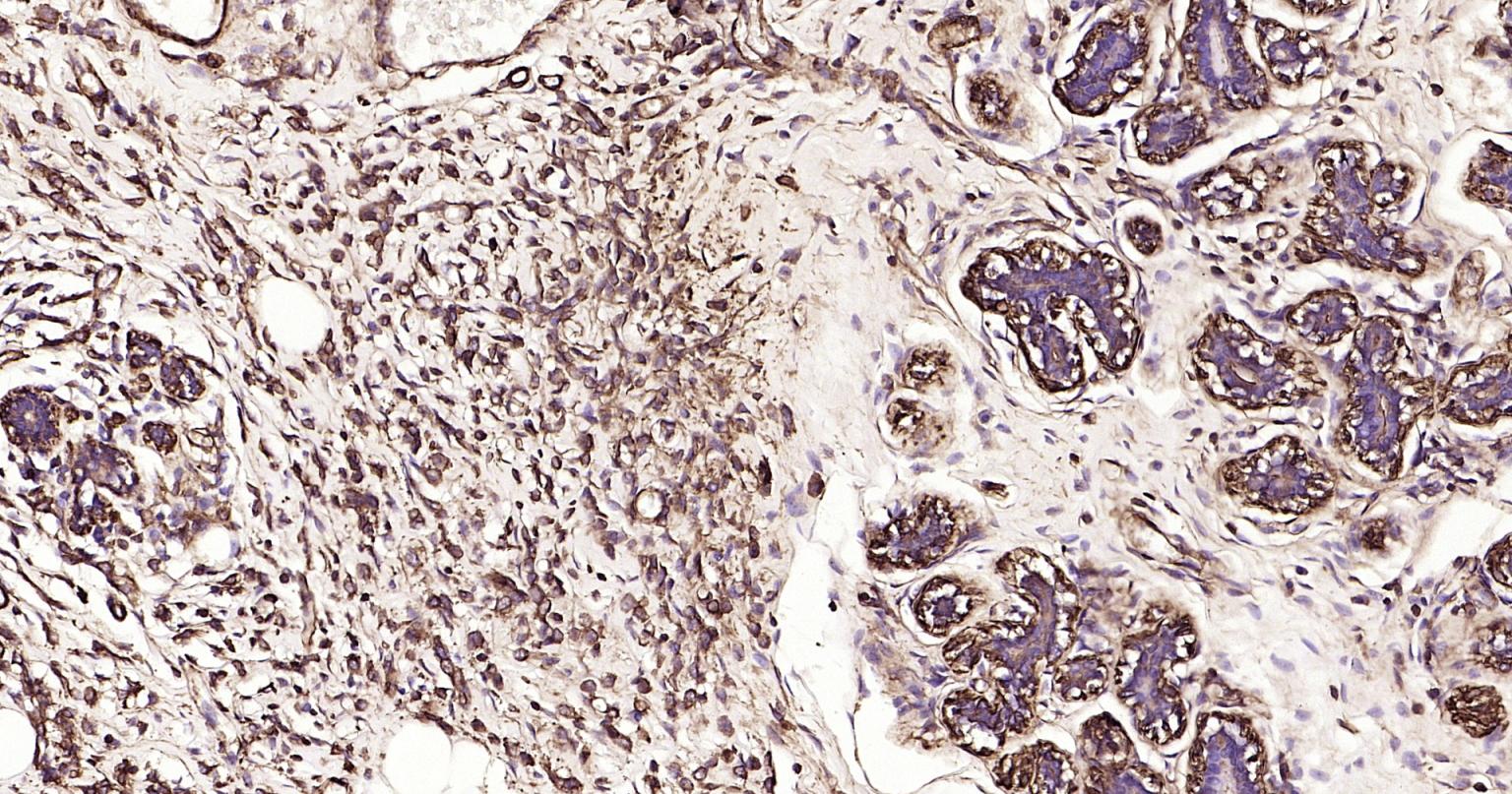
Cardiovascular > Cardiovascular Markers > Cell Markers > Smooth Muscle Cells
Cardiovascular > Heart > Contractility > Contractile Proteins > Actins
Cardiovascular > Vasculature > Smooth muscle cell (SMC) > Cytoskeleton
Cardiovascular > Vasculature > Vasculature Markers > Arterial
Developmental Biology > Lineage specification > Mesoderm
Signal Transduction > Antibodies > alpha smooth muscle Actin
Signal Transduction > Cytoskeleton / ECM > Cytoskeleton > Microfilaments > Actin etc > Actin













| 应用 | 已检合格种属 | 预测种属 | 推荐稀释比例 |
|---|---|---|---|
| WB | Mouse, Rat | Human, Zebrafish | 1:1000-5000 |
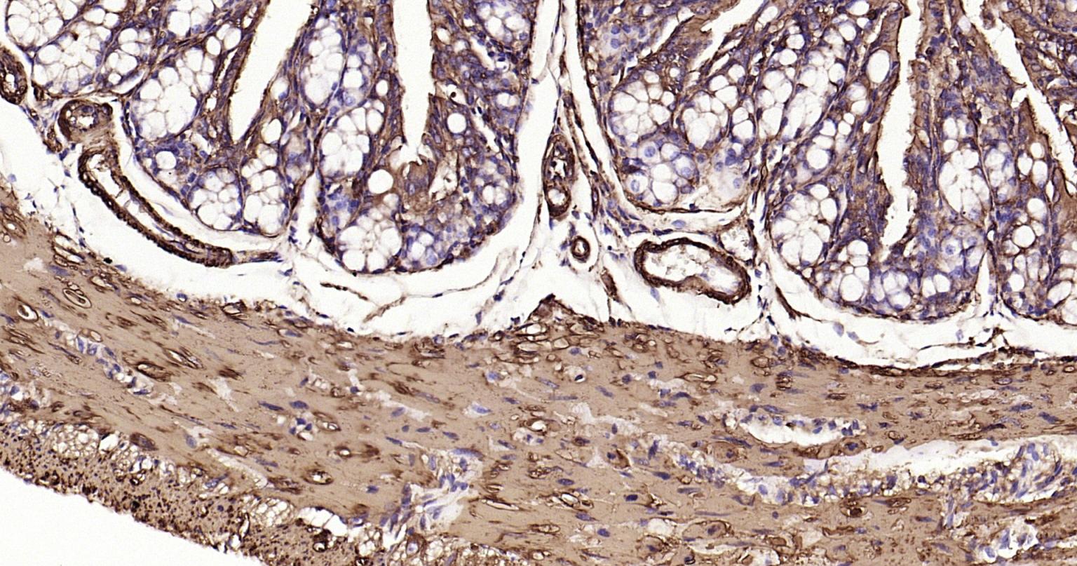
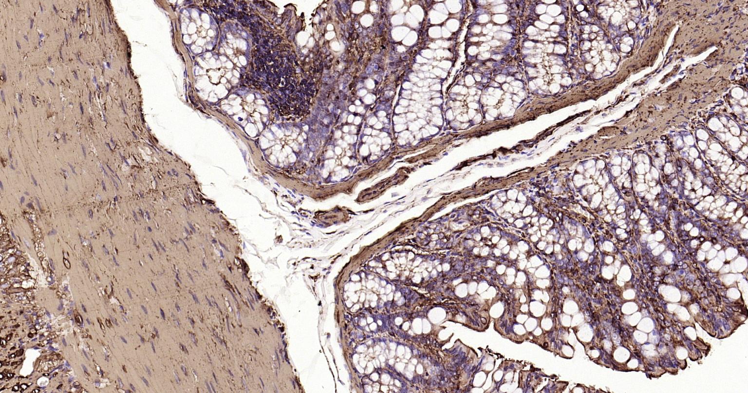
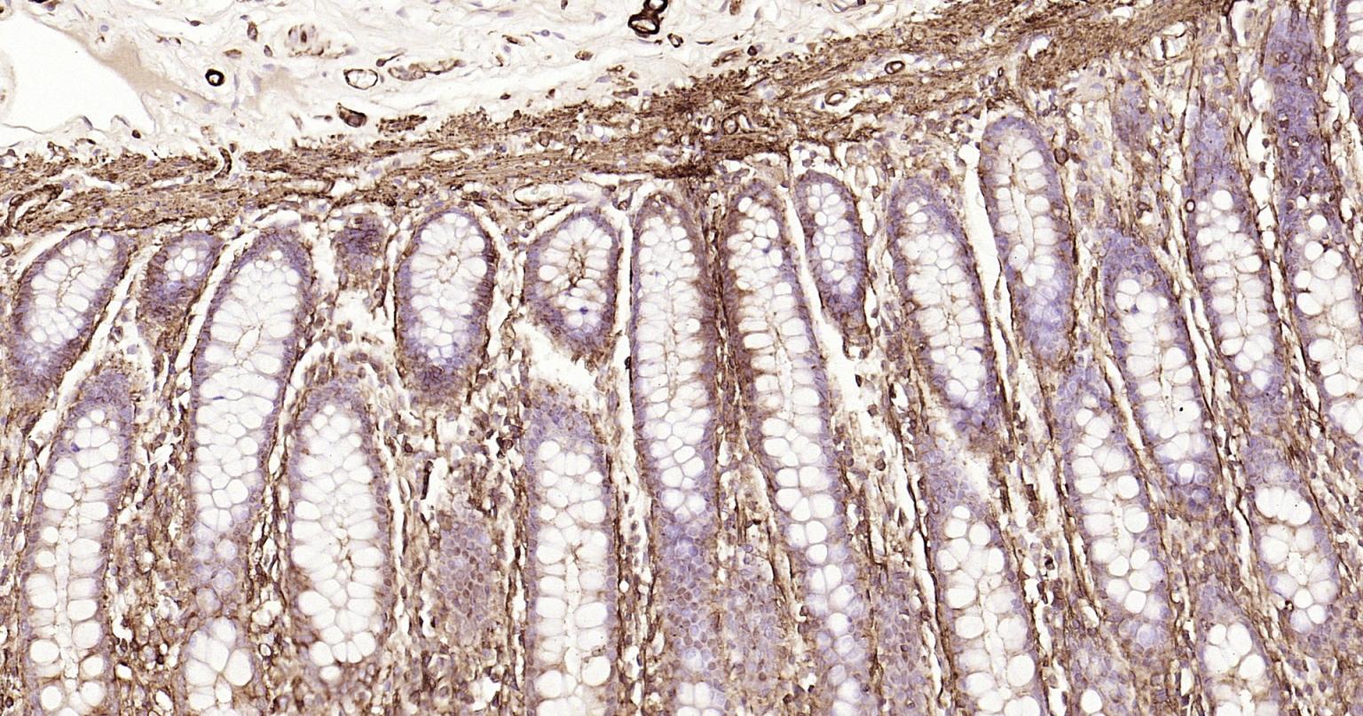
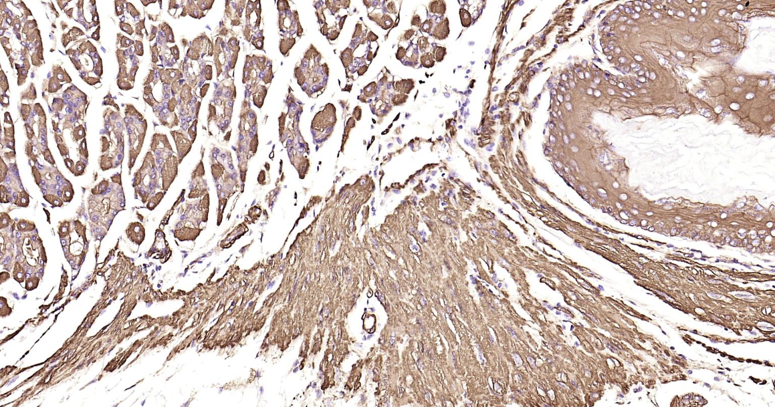
| IHC-P | Human, Mouse, Rat | Zebrafish | 1:100-500 |
| IHC-F | Human, Mouse, Rat | Zebrafish | 1:100-500 |
| IF | Human, Mouse, Rat | Zebrafish | 1:100-500 |
| Flow-Cyt | Human, Mouse, Rat, Zebrafish | 1ug/Test | |
| ICC/IF | Human, Mouse, Rat, Zebrafish | 1:100-500 |
交叉反应: Human, Mouse, Rat (predicted: Zebrafish)
暂无相关产品
暂无标记数据
暂无同靶标产品
暂无相关文献
暂无常见问题