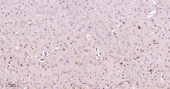
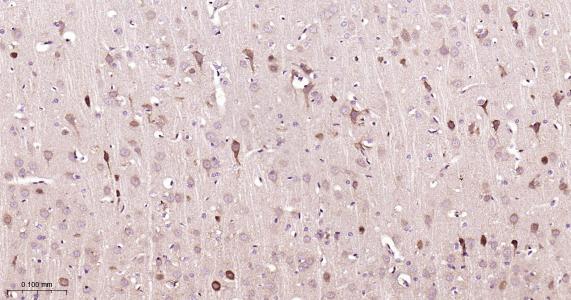
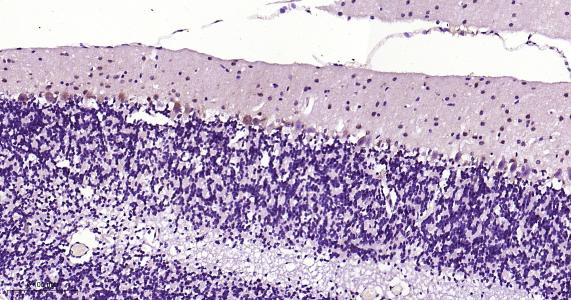
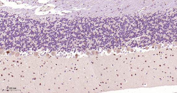
神经生长因子-β(NGF-β)属于一种对神经元的生长、分化、延长存活期有促进作用的神经生长因子家族。此抗体识别分子量为29kDa 的NGF蛋白。
神经生长因子(Nerve Growth Factor,NGF)是最早被发现、兼有神经元营养和促突触生长双重生物学功能的一种细胞调节因子.它对中枢和周围神经元的发育、分化、生长、再生和功能特性的表达均具有重要的调控作用,可促进受损神经再生、免受继发性损害、减少细胞死亡、支持神经元存活等功能.









| 应用 | 已检合格种属 | 预测种属 | 推荐稀释比例 |
|---|---|---|---|
| WB | Mouse, Rat | Human | 1:500-2000 |
| IHC-P | Human, Mouse, Rat | 1:100-500 | |
| IHC-F | Human, Mouse, Rat | 1:100-500 | |
| IF | Human, Mouse, Rat | 1:100-500 | |
| ICC/IF | Human, Mouse, Rat | 1:50-200 |
交叉反应: Human, Mouse, Rat
暂无相关产品
暂无标记数据
暂无同靶标产品
暂无相关文献
暂无常见问题