


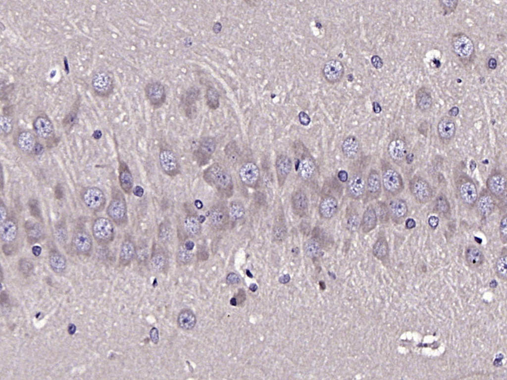
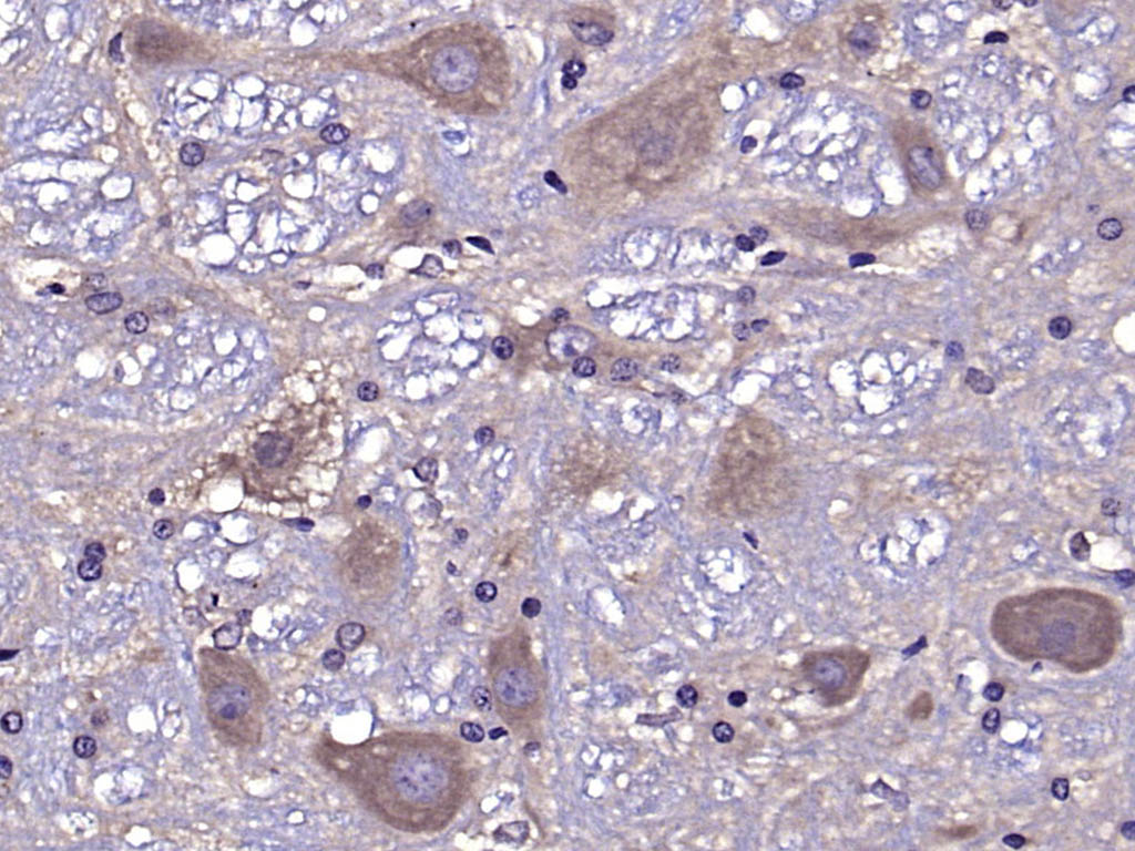
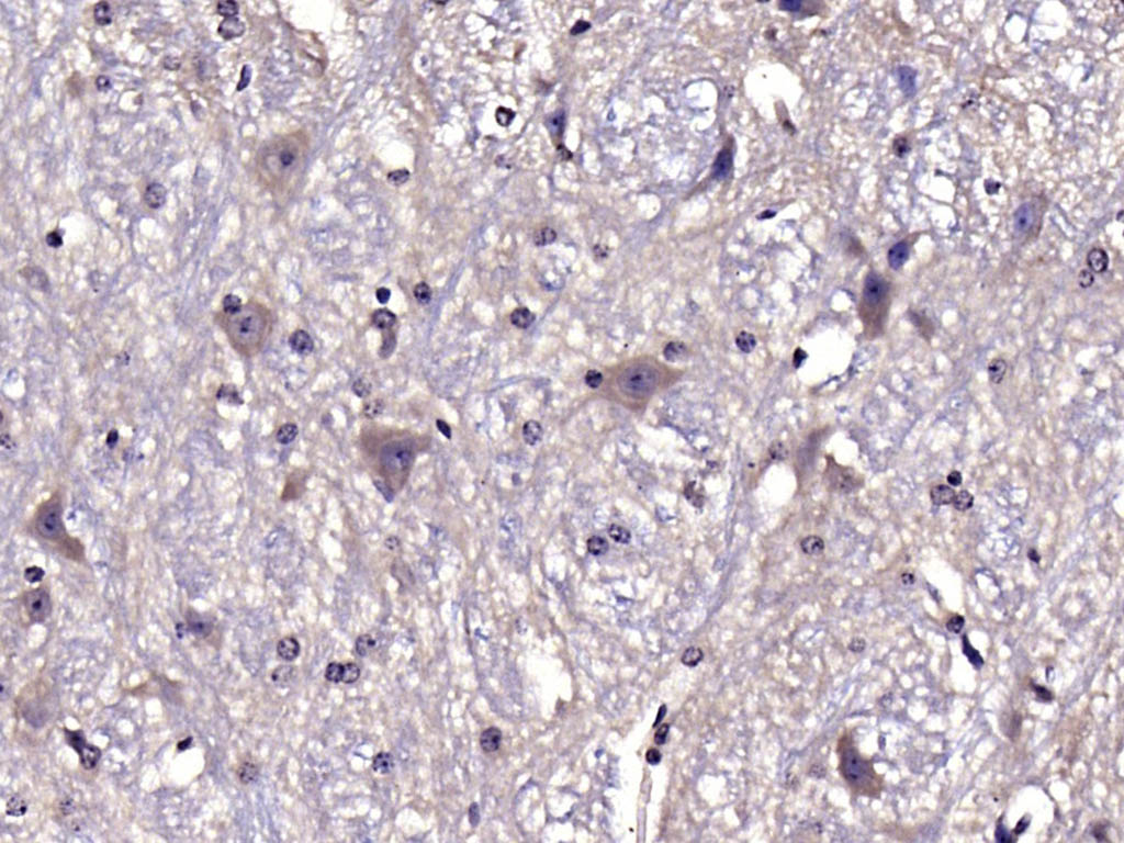
| 应用 | 已检合格种属 | 预测种属 | 推荐稀释比例 |
|---|---|---|---|
| IHC-P | Mouse, Rat | Human, Rabbit, Pig, Sheep, Chicken, Dog | 1:400-800 |
| IHC-F | Mouse, Rat | Human, Rabbit, Pig, Sheep, Chicken, Dog | 1:400-800 |
| IF | Mouse, Rat | Human, Rabbit, Pig, Sheep, Chicken, Dog | 1:100-500 |
交叉反应: Mouse, Rat (predicted: Human, Rabbit, Pig, Sheep, Chicken, Dog)
暂无相关产品