SLC39A14 Rabbit pAb (一抗) - IHC-P,IHC-F,IF,ICC/IF,ELISA | Bioss

2026-05-01~2026-06-30,AB2605
SLC39A14 Rabbit pAb (一抗) - IHC-P,IHC-F,IF,ICC/IF,ELISA | Bioss
货号:bs-19829R
产品详情
相关标记
相关产品
相关文献
常见问题

概述

产品编号
bs-19829R
英文名称
SLC39A14 Rabbit pAb
中文名称
溶质载体家族蛋白39成员A14抗体
英文别名
CK820_G0013410; HCIN; HMNDYT2; LZT-Hs4; NET34; ZIP14; cig19; FAD-123; ZIP-14; fad123; CR201_G0005121; S39AE_HUMAN; SLC39A14; LIV-1 subfamily of ZIP zinc transporter 4 (LZT-Hs4); Solute carrier family 39 member 14; Zrt- and Irt-like protein 14 (ZIP-14); KIAA0062; S39AE_MOUSE; Factor for adipocyte differentiation 123 (FAD-123); S39AE_PONAB; solute carrier family 39 (metal ion transporter), member 14; solute carrier family 39 (zinc transporter), member 14; zinc transporter 14; ZRT/IRT-like protein 14; Metal cation symporter ZIP14
抗体来源
Rabbit
免疫原
KLH conjugated synthetic peptide derived from human SLC39A14: 51-150/492
亚型
IgG
性状
Liquid
纯化方法
affinity purified by Protein A
克隆类型
Polyclonal
理论分子量
51 kDa
浓度
1mg/ml
储存液
0.01M TBS (pH7.4) with 1% BSA, 0.02% Proclin300 and 50% Glycerol.
SWISS
Gene ID
保存条件
Shipped at 4℃. Store at -20℃ for one year. Avoid repeated freeze/thaw cycles.
注意事项
This product as supplied is intended for research use only, not for use in human, therapeutic or diagnostic applications.
背景资料
Zinc is an essential cofactor for hundreds of enzymes. It is involved in protein, nucleic acid, carbohydrate, and lipid metabolism, as well as in the control of gene transcription, growth, development, and differentiation. SLC39A14 belongs to a subfamily of proteins that show structural characteristics of zinc transporters (Taylor and Nicholson, 2003 [PubMed 12659941]).[supplied by OMIM, Mar 2008]
溶质载体家族蛋白39成员A14抗体-bs-19829R溶质载体家族蛋白39成员A14抗体-bs-19829R溶质载体家族蛋白39成员A14抗体-bs-19829R溶质载体家族蛋白39成员A14抗体-bs-19829R溶质载体家族蛋白39成员A14抗体-bs-19829R溶质载体家族蛋白39成员A14抗体-bs-19829R溶质载体家族蛋白39成员A14抗体-bs-19829R溶质载体家族蛋白39成员A14抗体-bs-19829R溶质载体家族蛋白39成员A14抗体-bs-19829R

产品应用

应用已检合格种属预测种属推荐稀释比例
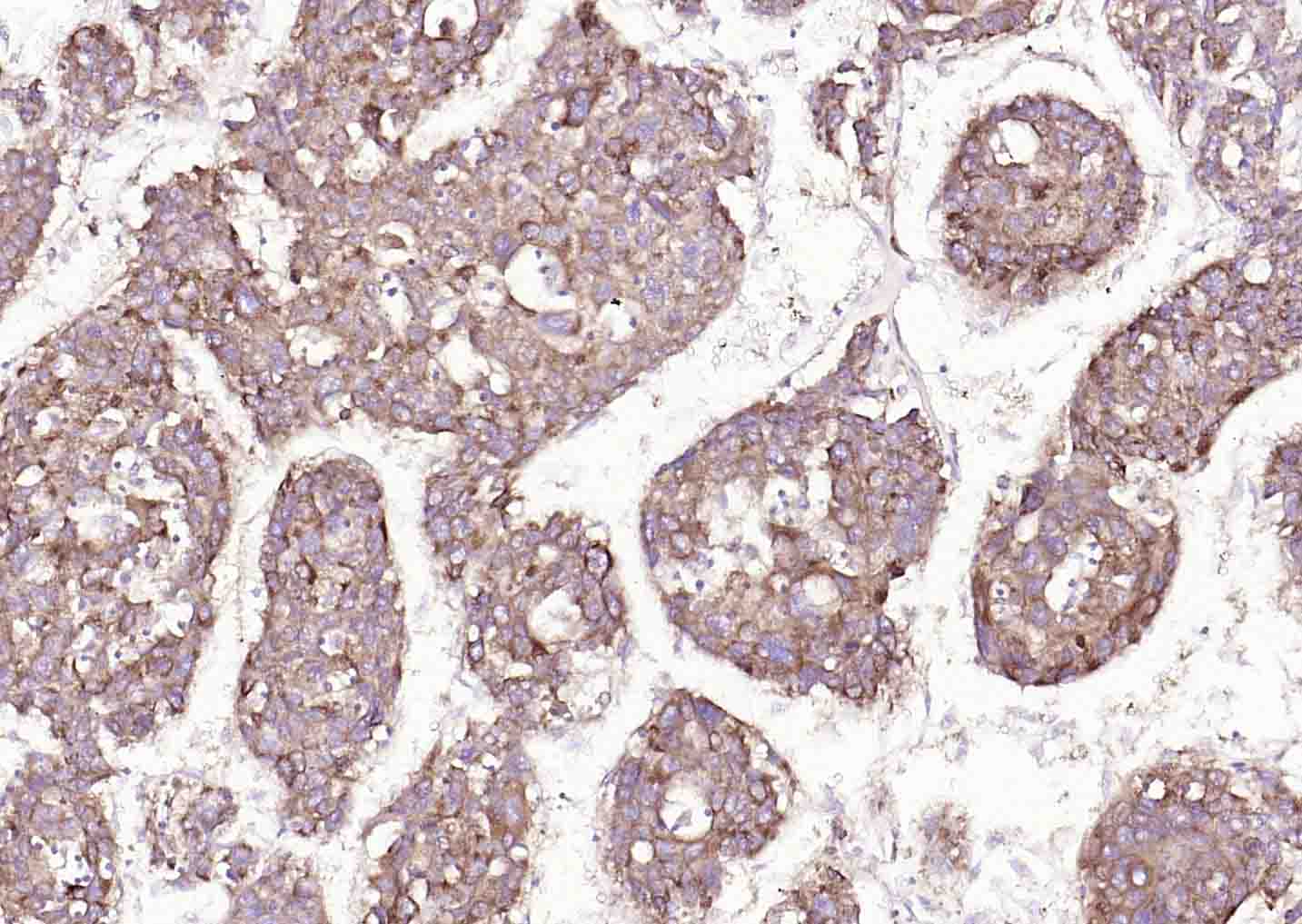
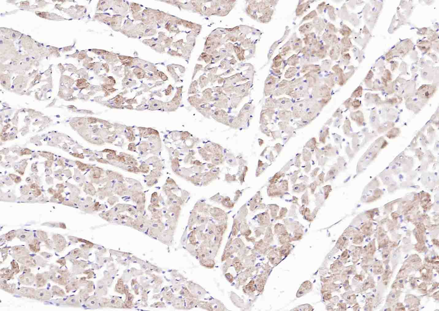
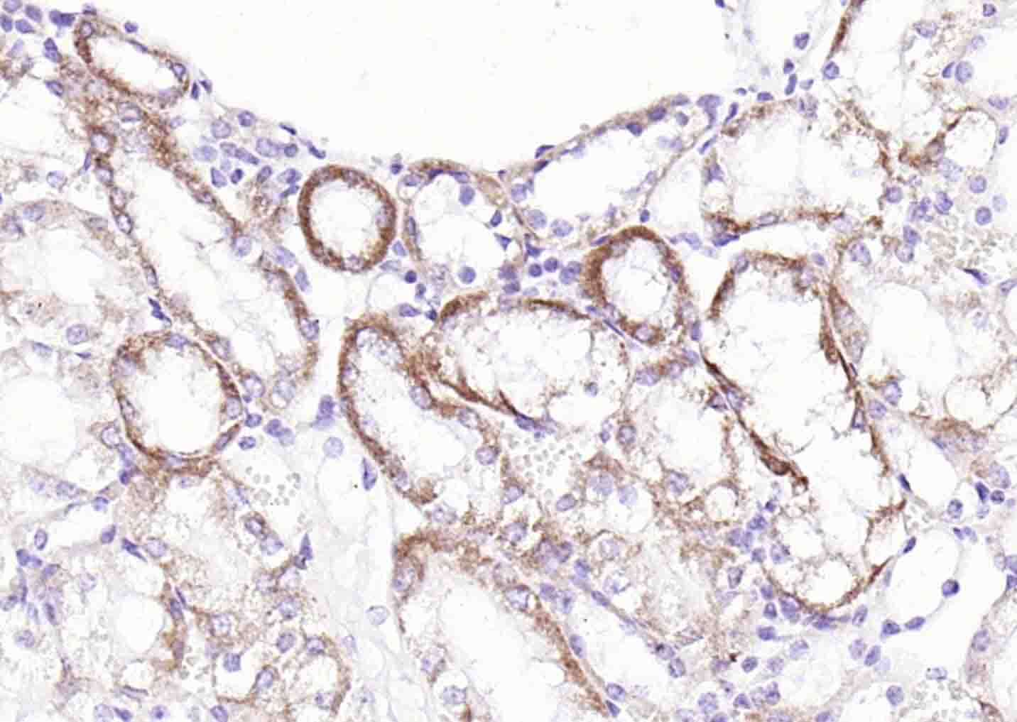
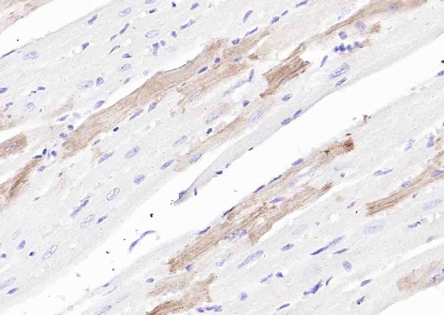
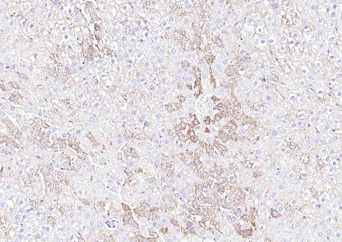
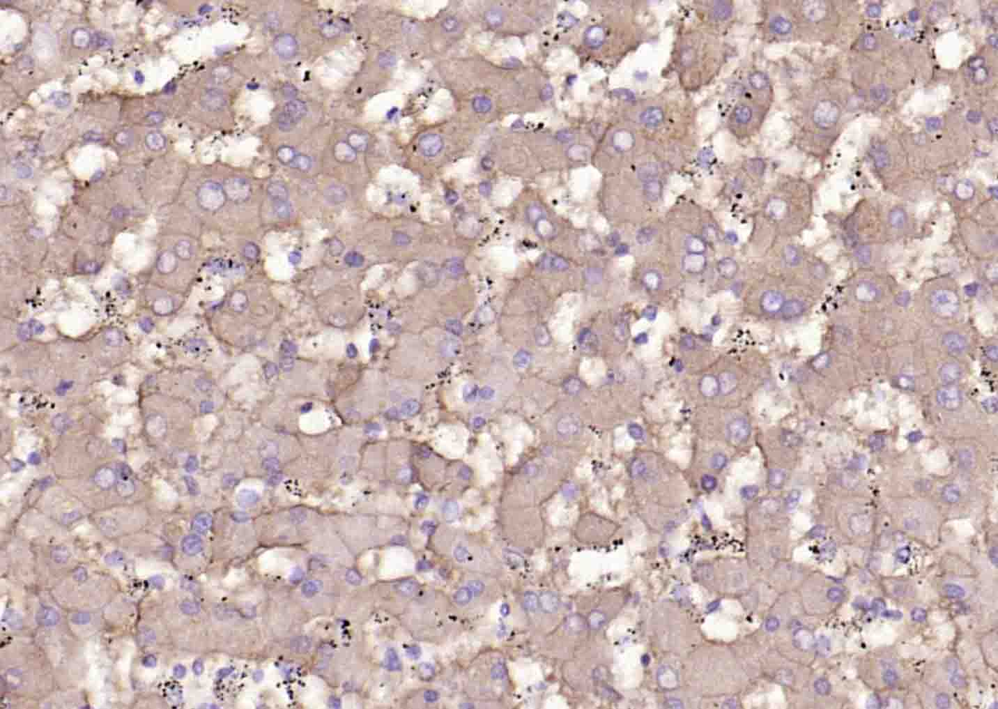
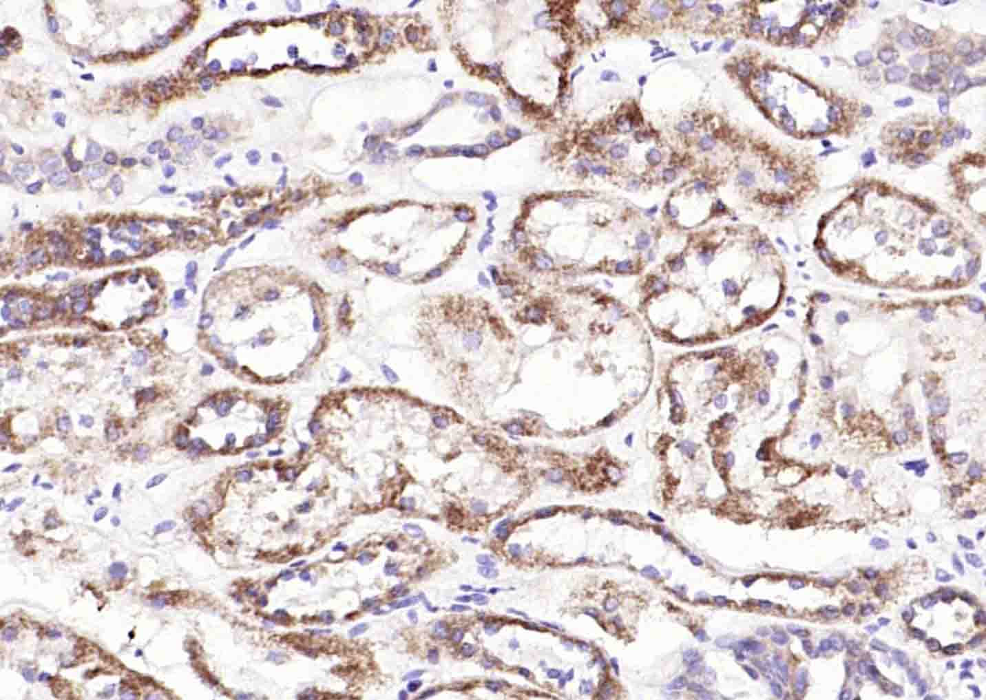
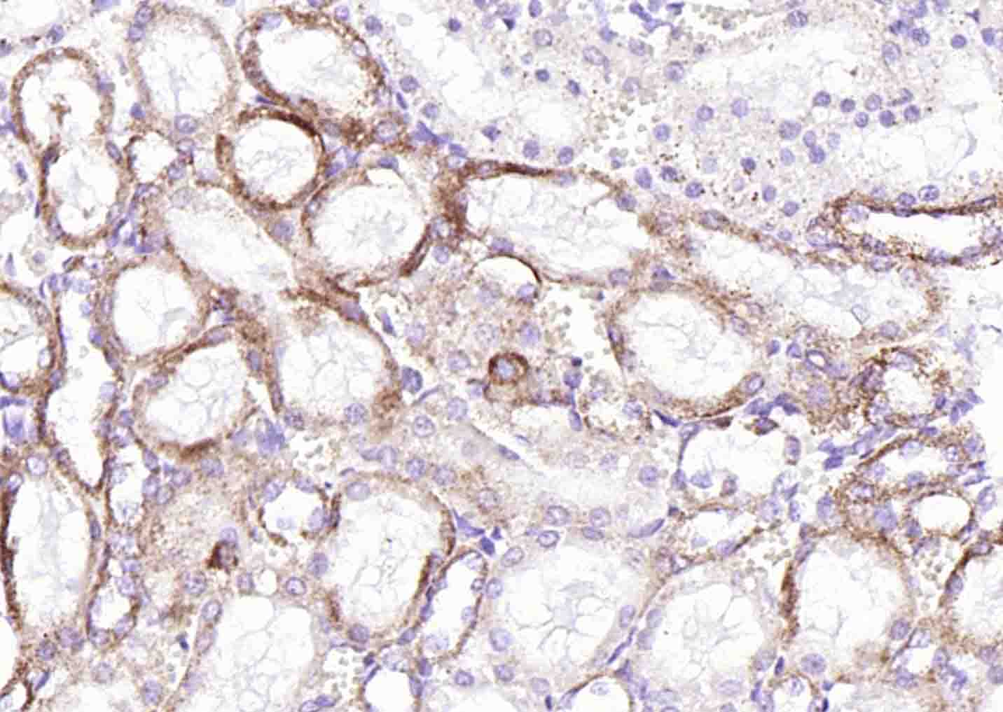
IHC-PHuman, Mouse, Rat1:100-500
IHC-FHuman, Mouse, Rat1:100-500
IFHuman, Mouse, Rat1:100-500
ICC/IFHuman, Mouse, Rat1:50 - 1:200
ELISAHuman, Mouse, Rat1:1000-5000

交叉反应

交叉反应: Human, Mouse, Rat

相关产品

暂无相关产品

靶标

基因名
SLC39A14
蛋白名
Metal cation symporter ZIP14
亚基
Homotrimer.
亚细胞定位
Cell membrane. Cell projection > lamellipodium. Localized to the plasma membrane and also found colocalized with F-actin concentrated on lamellipodiae.
组织特异性
Ubiquitously expressed, with increased expression in liver, pancreas, fetal liver, thyroid gland, left and right ventricle, right atrium and fetal heart. Weakly expressed in spleen, thymus, and peripheral blood leukocytes.
相似性
Belongs to the ZIP transporter (TC 2.A.5) family.
功能
May be able to transport iron (By similarity). Acts as a zinc-influx transporter.

同靶标产品

相关文献

提示: 发表研究结果有使用 bs-19829R 时请让我们知道,以便我们可以引用参考文章。作为回馈,资料提供者将获得我们送上的小礼品。
具体参考文献:bs-19829R 被引用于1文献中

常见问题