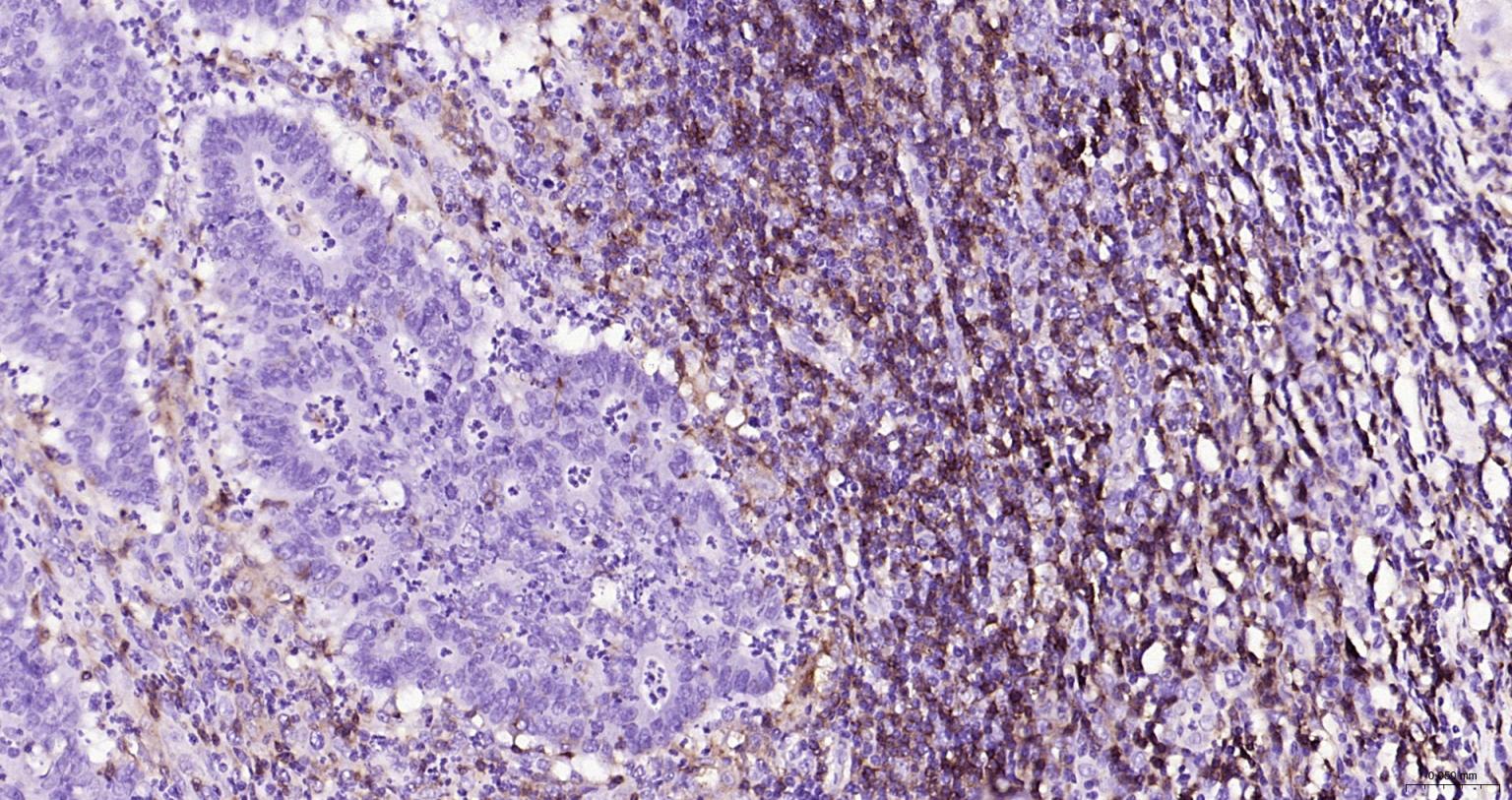
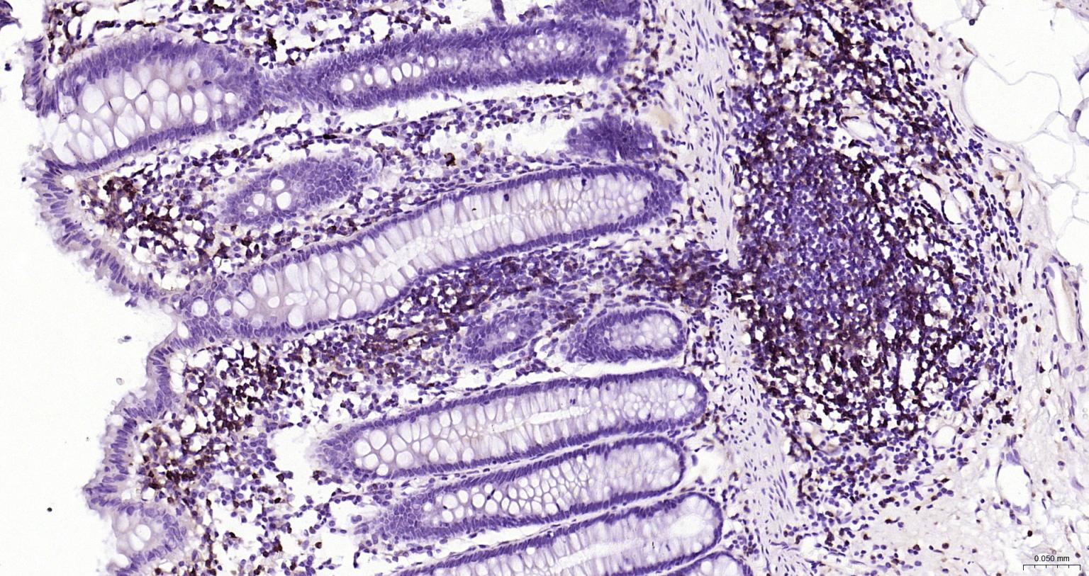
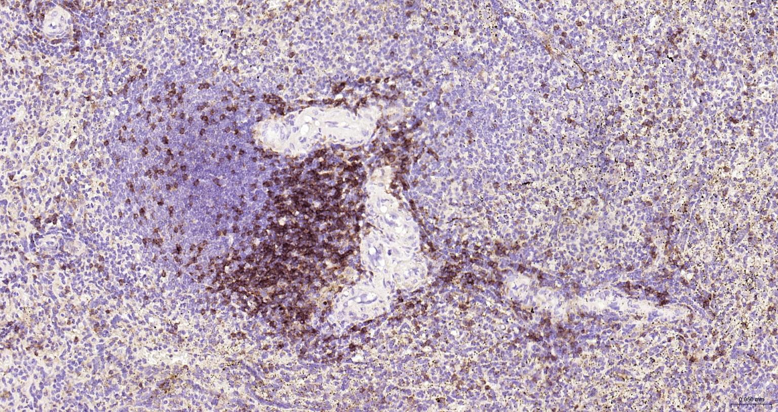
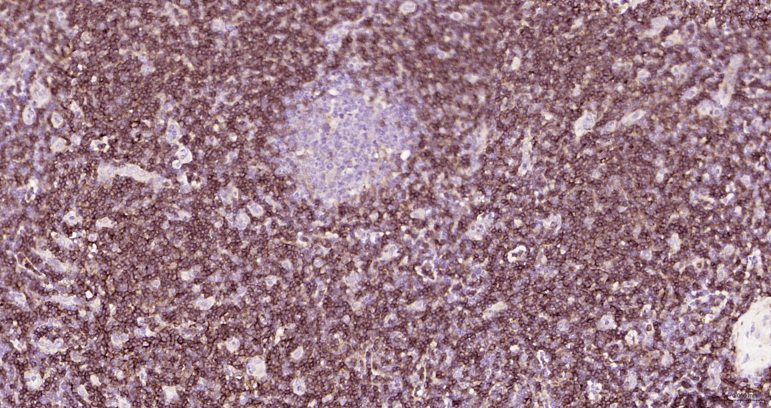
Immunology > Adaptive Immunity > Regulatory T Cells
Immunology > Adaptive Immunity > T Cells > CD
Immunology > Immune System Diseases > Antiviral Signaling > HIV-related
Stem Cells > Hematopoietic Progenitors > Lymphoid > T Lymphocytic Lineage
Stem Cells > Hematopoietic Progenitors > Myeloid > Dendritic Cell Lineage
Stem Cells > Hematopoietic Progenitors > Myeloid > Monocytic Lineage







| 应用 | 已检合格种属 | 预测种属 | 推荐稀释比例 |
|---|---|---|---|
| WB | Human | 1:500-2000 | |
| IHC-P | Human | 1:100-500 | |
| IHC-F | Human | 1:100-500 | |
| IF | Human | 1:100-500 | |
| Flow-Cyt | Human | 1μg/Test |
交叉反应: Human
暂无相关产品