钙连蛋白重组兔单抗

Rrmab?兔单抗
2026-03-02~2026-04-30,KXJ26032026-03-02~2026-04-30,促销赠品
钙连蛋白重组兔单抗
货号:bsm-52639R
产品详情
相关标记
相关产品
相关文献
常见问题

概述

产品编号
bsm-52639R
产品类型
重组兔单抗
英文名称
Calnexin Recombinant Rabbit mAb
中文名称
钙连蛋白重组兔单抗
英文别名
CNX; IP90; P90; 1110069N15Rik; D11Ertd153e; PP90; CALX_CANLF; CANX; CALX_HUMAN; Major histocompatibility complex class I antigen-binding protein p88; CALX_MOUSE; CALX_RAT;
抗体来源
Rabbit
免疫原
KLH conjugated synthetic peptide derived from human Calnexin
亚型
IgG
性状
Liquid
纯化方法
affinity purified by Protein A
克隆类型
Recombinant
克隆号
24G6
理论分子量
65 kDa
浓度
1mg/ml
储存液
0.01M TBS (pH7.4) with 1% BSA, 0.02% Proclin300 and 50% Glycerol.
SWISS
Gene ID
保存条件
Shipped at 4℃. Store at -20℃ for one year. Avoid repeated freeze/thaw cycles.
注意事项
This product as supplied is intended for research use only, not for use in human, therapeutic or diagnostic applications.
产品介绍
内质网膜蛋白标志物(ER membrane marker) 钙连蛋白 calnexin 存在于内质网中,是内质网膜标志物,属于Ca2+的凝集素样分子伴侣蛋白,可结合蛋白质的寡糖链 ,防止蛋白质彼此聚集和泛素化,避免折叠不完全的蛋白质离开内质网。
背景资料
This gene encodes a member of the calnexin family of molecular chaperones. The encoded protein is a calcium-binding, endoplasmic reticulum (ER)-associated protein that interacts transiently with newly synthesized N-linked glycoproteins, facilitating protein folding and assembly. It may also play a central role in the quality control of protein folding by retaining incorrectly folded protein subunits within the ER for degradation. Alternatively spliced transcript variants encoding the same protein have been described. [provided by RefSeq]
钙连蛋白重组兔单抗钙连蛋白重组兔单抗钙连蛋白重组兔单抗钙连蛋白重组兔单抗

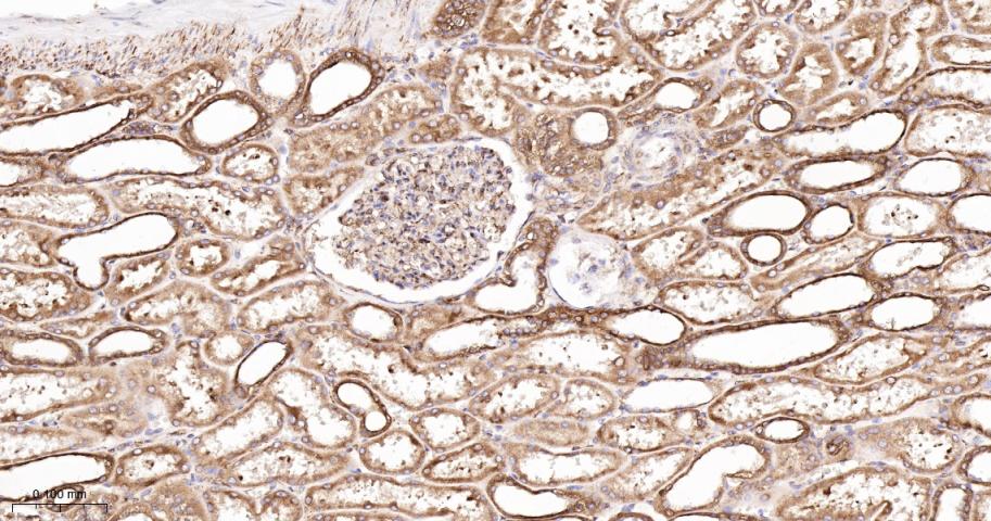
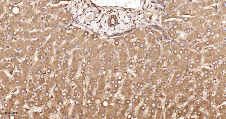
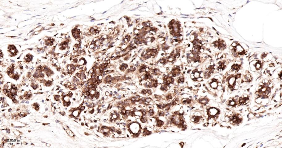
产品应用

应用已检合格种属预测种属推荐稀释比例
WBHuman1:500-2000
IHC-PHuman1:100-500
IHC-FHuman1:100-500
IFHuman1:100-500

交叉反应

交叉反应: Human

相关产品

暂无相关产品

靶标

基因名
CANX
蛋白名
Calnexin
亚基
Interacts with MAPK3/ERK1. Interacts with KCNH2. Associates with ribosomes. Interacts with SGIP1; involved in negative regulation of endocytosis (By similarity). The palmitoylated form interacts with the ribosome-translocon complex component SSR1, promoting efficient folding of glycoproteins.
亚细胞定位
Endoplasmic reticulum membrane. Melanosome. Identified by mass spectrometry in melanosome fractions from stage I to stage IV.
翻译后修饰
Phosphorylated at Ser-564 by MAPK3/ERK1. phosphorylation by MAPK3/ERK1 increases its association with ribosomes (By similarity). br>Palmitoylation by DHHC6 leads to the preferential localization to the perinuclear rough ER. It mediates the association of calnexin with the ribosome-translocon complex (RTC) which is required for efficient folding of glycosylated proteins.
相似性
Belongs to the calreticulin family.
功能
Calcium-binding protein that interacts with newly synthesized glycoproteins in the endoplasmic reticulum. It may act in assisting protein assembly and/or in the retention within the ER of unassembled protein subunits. It seems to play a major role in the quality control apparatus of the ER by the retention of incorrectly folded proteins.

标记抗体

暂无标记数据

同靶标产品

暂无同靶标产品

相关文献

提示: 发表研究结果有使用 bsm-52639R 时请让我们知道,以便我们可以引用参考文章。作为回馈,资料提供者将获得我们送上的小礼品。
具体参考文献:bsm-52639R 被引用于7文献中

暂无相关文献

常见问题

暂无常见问题