Cancer > Cancer Metabolism > Response to hypoxia
Cardiovascular > Blood > Serum Proteins
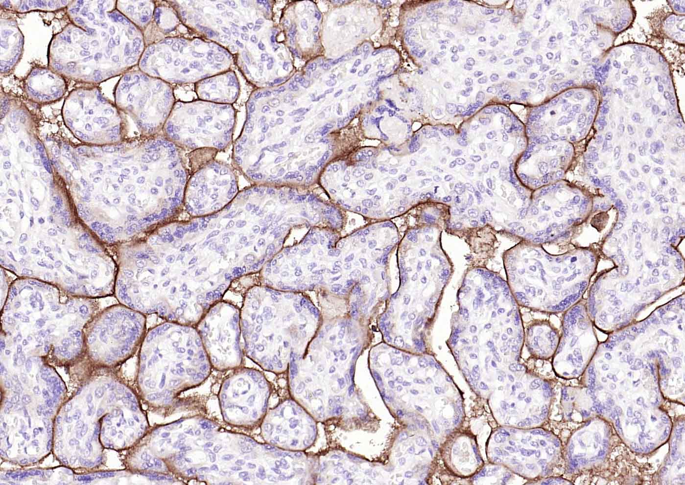
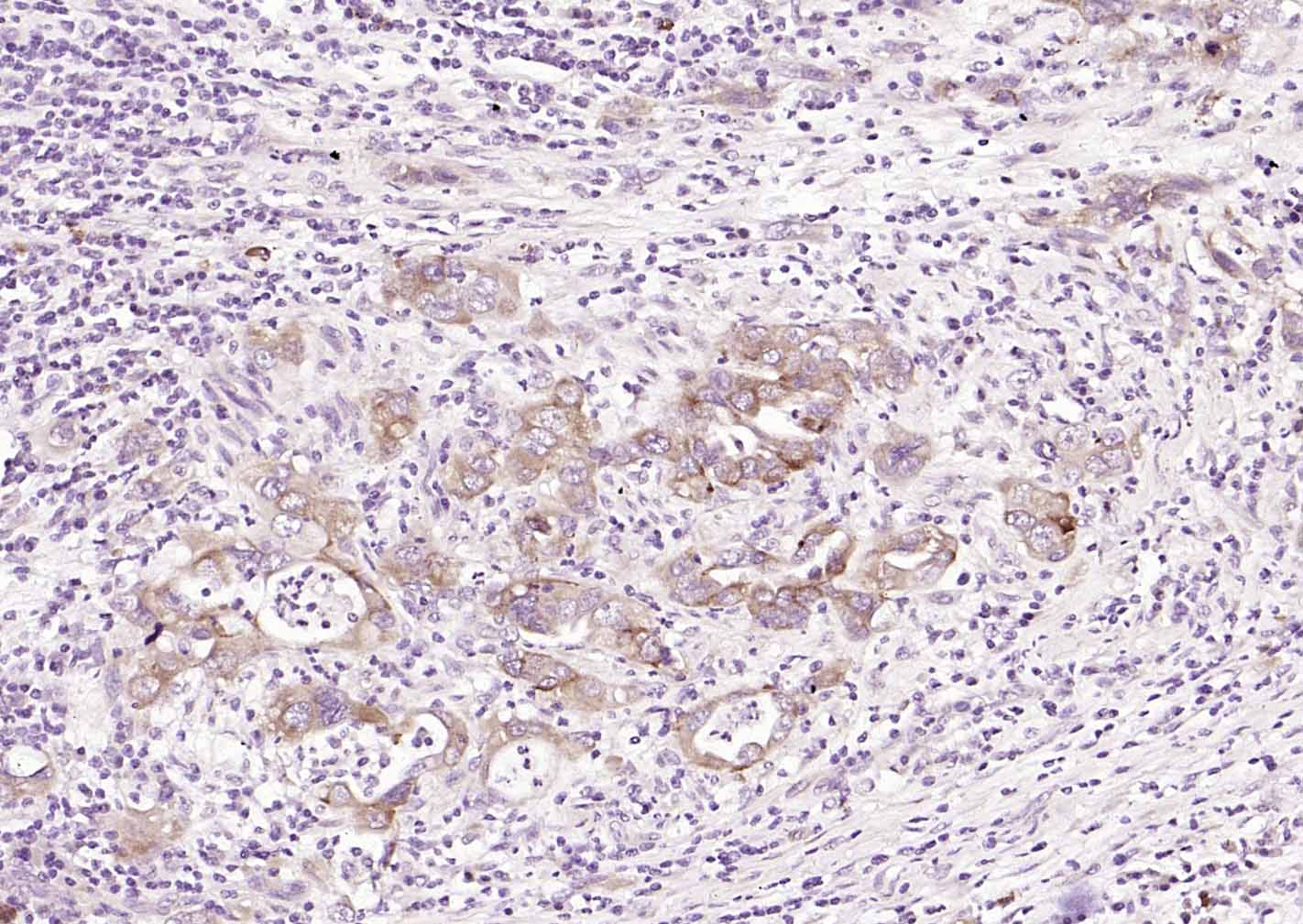
Immunology > Cell Type Markers > CD > Non-lineage
Metabolism > Pathways and Processes > Metabolism processes > Hypoxia
Stem Cells > Hematopoietic Progenitors > Lymphoid > B Lymphocytic Lineage
Stem Cells > Hematopoietic Progenitors > Lymphoid > T Lymphocytic Lineage
Stem Cells > Hematopoietic Progenitors > Myeloid > Erythrocytic Lineage




| 应用 | 已检合格种属 | 预测种属 | 推荐稀释比例 |
|---|---|---|---|
| WB | Human | Mouse | 1:500-2000 |
| IHC-P | Human | Mouse | 1:100-500 |
| IHC-F | Human | Mouse | 1:100-500 |
| IF | Human | Mouse | 1:100-500 |
| Flow-Cyt | Mouse | Human | 1μg /Test |
交叉反应: Human (predicted: Mouse)
暂无相关产品