Cancer > Cell Death > Autophagy > Signal Transduction
Cancer > Oncoproteins/suppressors > Tumor suppressors
Cancer > Signal transduction > Autophagy
Epigenetics and Nuclear Signaling > Transcription > Cancer susceptibility > Tumor Suppressors
Metabolism > Pathways and Processes > Metabolism processes > Autophagy and mitophagy
Microbiology > Interspecies Interaction > Host Immune Response
















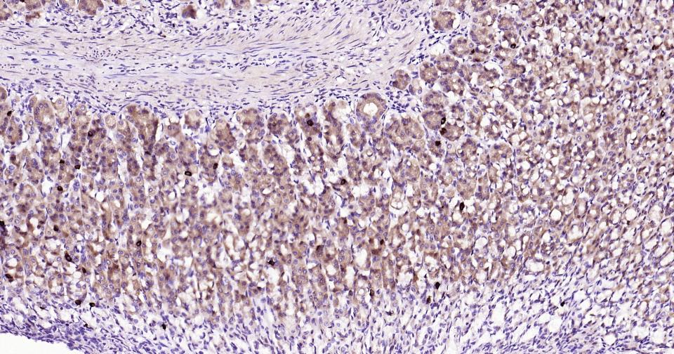
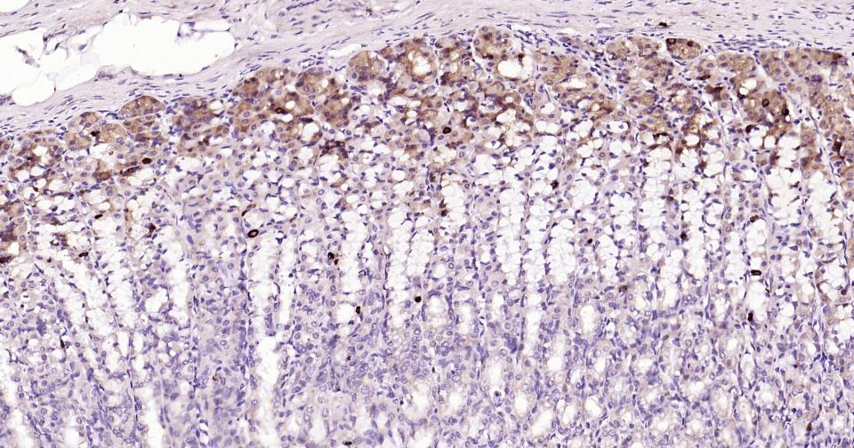
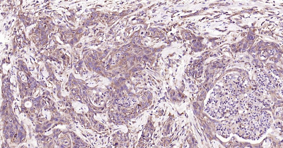
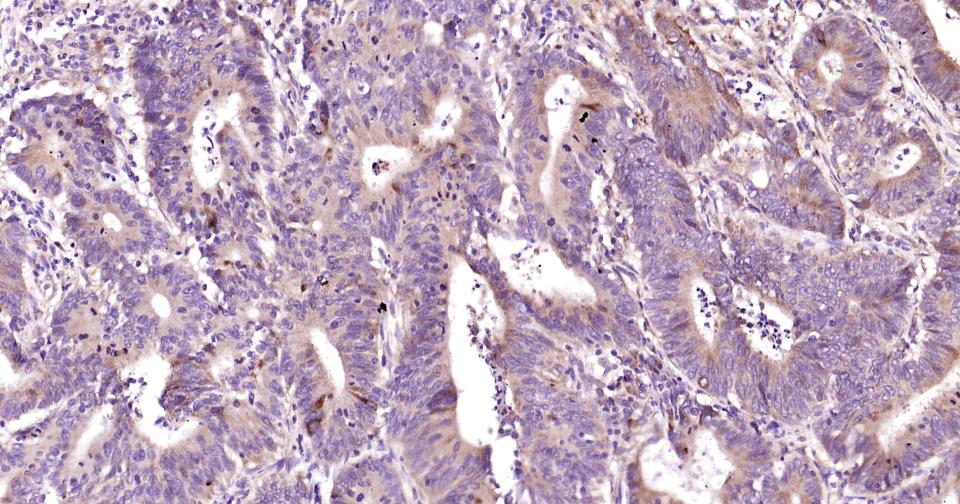
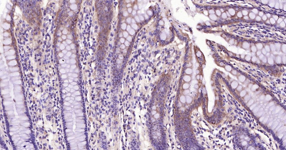
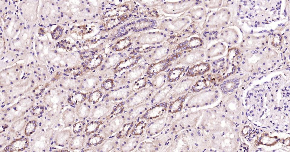
| 应用 | 已检合格种属 | 预测种属 | 推荐稀释比例 |
|---|---|---|---|
| WB | Mouse, Pig | Human, Rat | 1:500-2000 |
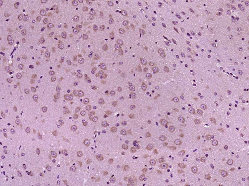
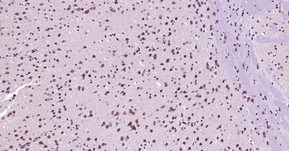
| IHC-P | Human, Mouse, Rat | Pig | 1:200-1000 |
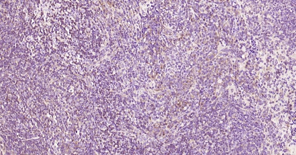
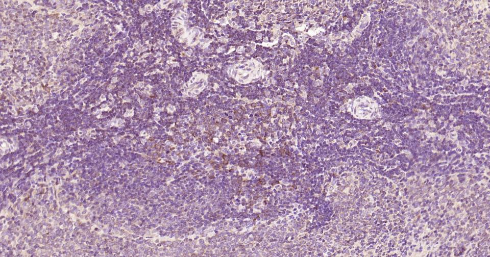
| IHC-F | Human, Mouse, Rat | Pig | 1:200-1000 |
| IF | Rat | Human, Mouse, Pig | 1:200-1000 |
交叉反应: Human, Mouse, Rat, Pig
暂无相关产品