Cancer > Invasion/microenvironment > Angiogenesis > ECM enzymes > MMPs
Cancer > Invasion/microenvironment > ECM > Extracellular matrix > MMPs
Cancer > Tumor biomarkers > Enzymes > MMPs
Cardiovascular > Angiogenesis > Adhesion / ECM > Matrix Metalloproteinases > MMP
Cardiovascular > Atherosclerosis > Thrombosis
Cell Biology > Proteolysis / Ubiquitin > Proteolytic enzymes > Metalloprotease > MMPs
Kits/ Lysates/ Other > Kits > Cell Metabolism Kits > Other Metabolism Assay
Kits/ Lysates/ Other > Kits > ELISA Kits > ELISA Kits > Atherosclerotic proteins ELISA kits
Kits/ Lysates/ Other > Kits > ELISA Kits > ELISA Kits > Cancer proteins ELISA kits
Kits/ Lysates/ Other > Kits > ELISA Kits > ELISA Kits > Developmental proteins ELISA kits
Kits/ Lysates/ Other > Kits > ELISA Kits > ELISA Kits > Protease inhibitors ELISA kits
Signal Transduction > Cytoskeleton / ECM > Extracellular Matrix > ECM Enzymes > MMP








| 应用 | 已检合格种属 | 预测种属 | 推荐稀释比例 |
|---|---|---|---|
| WB | Mouse, Rat | Human | 1:500-2000 |
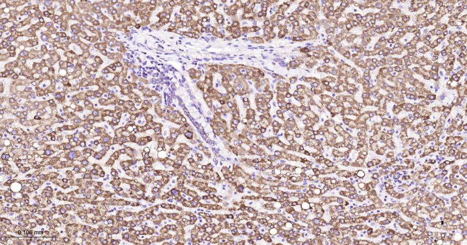
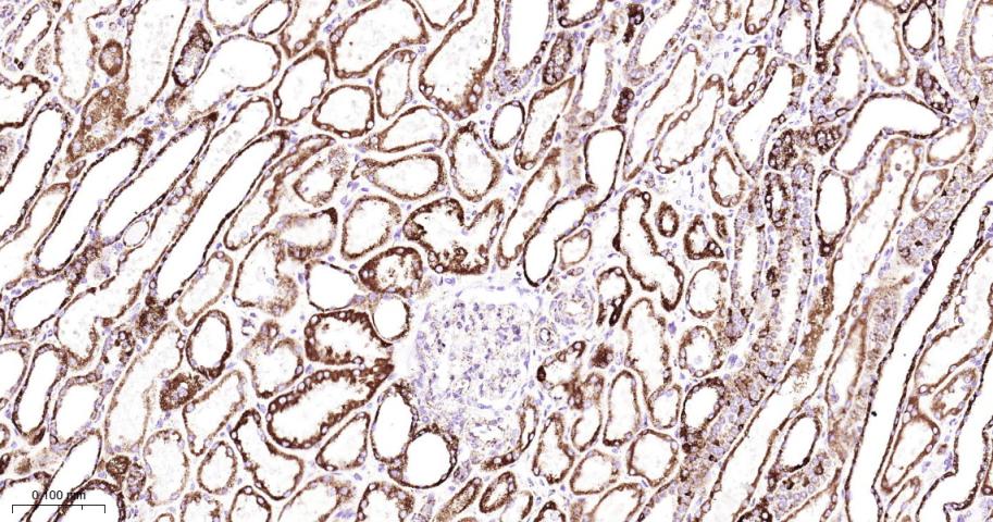
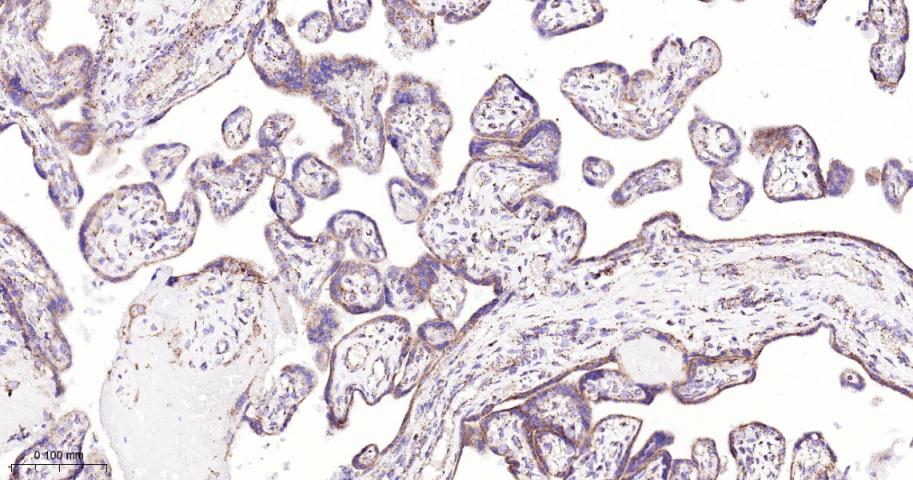
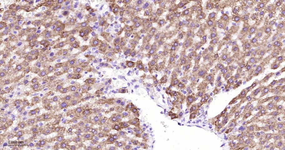
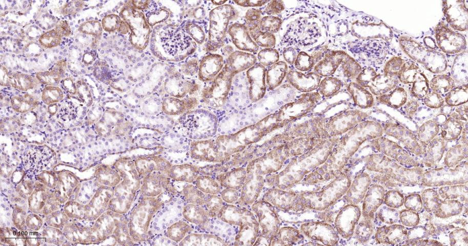
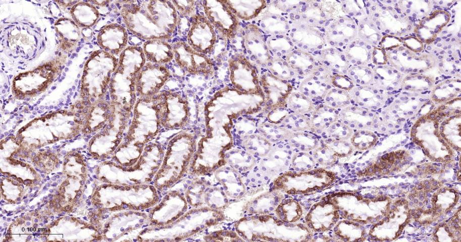
| IHC-P | Human, Mouse, Rat | 1:100-500 | |
| IHC-F | Human, Mouse, Rat | 1:100-500 | |
| IF | Human, Mouse, Rat | 1:100-500 |
交叉反应: Human, Mouse, Rat
暂无相关产品
暂无标记数据
暂无同靶标产品
暂无相关文献
暂无常见问题