VEGFR1 Recombinant Rabbit mAb (一抗) - WB,IHC-P,IHC-F,IF | Bioss

Rrmab?兔单抗
2026-03-02~2026-04-30,KXJ26032026-03-02~2026-04-30,促销赠品
VEGFR1 Recombinant Rabbit mAb (一抗) - WB,IHC-P,IHC-F,IF | Bioss
货号:bsm-52338R
产品详情
相关标记
相关产品
相关文献
常见问题

概述

产品编号
bsm-52338R
产品类型
重组兔单抗
英文名称
VEGFR1 Recombinant Rabbit mAb
中文名称
血管内皮生长因子受体1重组兔单抗
英文别名
FLT; FLT-1; VEGFR-1; VEGFR1; VGFR1_HUMAN; FLT1; Fms-like tyrosine kinase 1 (FLT-1); Tyrosine-protein kinase FRT; Tyrosine-protein kinase receptor FLT (FLT); Vascular permeability factor receptor; 2.7.10.1; FRT;
抗体来源
Rabbit
免疫原
A synthesized peptide derived from human VEGF Receptor 1: 15-50
亚型
IgG
性状
Liquid
纯化方法
affinity purified by Protein A
克隆类型
Recombinant
克隆号
3A6
理论分子量
147 kDa
检测分子量
190 kDa
浓度
1mg/ml
储存液
0.01M TBS (pH7.4) with 1% BSA, 0.02% Proclin300 and 50% Glycerol.
SWISS
Gene ID
保存条件
Shipped at 4℃. Store at -20℃ for one year. Avoid repeated freeze/thaw cycles.
注意事项
This product as supplied is intended for research use only, not for use in human, therapeutic or diagnostic applications.
产品介绍
VEGFR1/Flt1是一种细胞膜受体激酶,对血管内皮生长因子有高度的亲和性,主要功能是参与血管内皮细胞生长和血管生成的调控。用于各种恶性肿瘤的研究。
背景资料
VEGF Receptor 1 (also known as FLT) belongs to the src gene family and shows tyrosine protein kinase activity that is important for the control of cell proliferation and differentiation. The protein acts as a receptor for VEGF, VEGFB and PGF. An alternatively spliced form of the gene produces a soluble protein (sFlt1) which binds vascular endothelial growth factor (VEGF) with high affinity. sFlt1 has a higher affinity for VEGF indicating that it may function as an inhibitor in the VEGF response. VEGF Receptor 1 is specifically expressed in most vascular endothelial cells and peripheral blood monocytes.
血管内皮生长因子受体1重组兔单抗-bsm-52338R血管内皮生长因子受体1重组兔单抗-bsm-52338R血管内皮生长因子受体1重组兔单抗-bsm-52338R血管内皮生长因子受体1重组兔单抗-bsm-52338R血管内皮生长因子受体1重组兔单抗-bsm-52338R血管内皮生长因子受体1重组兔单抗-bsm-52338R血管内皮生长因子受体1重组兔单抗-bsm-52338R血管内皮生长因子受体1重组兔单抗-bsm-52338R血管内皮生长因子受体1重组兔单抗-bsm-52338R血管内皮生长因子受体1重组兔单抗-bsm-52338R血管内皮生长因子受体1重组兔单抗-bsm-52338R血管内皮生长因子受体1重组兔单抗-bsm-52338R血管内皮生长因子受体1重组兔单抗-bsm-52338R血管内皮生长因子受体1重组兔单抗-bsm-52338R血管内皮生长因子受体1重组兔单抗-bsm-52338R血管内皮生长因子受体1重组兔单抗-bsm-52338R

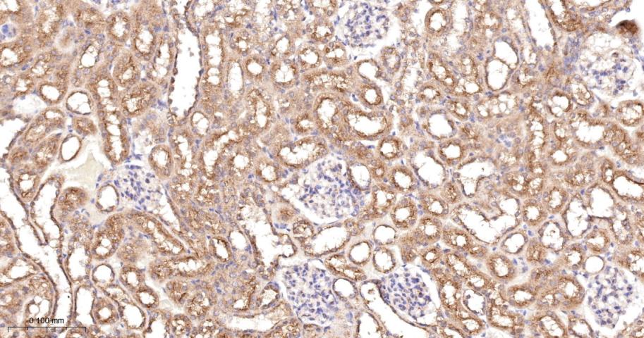
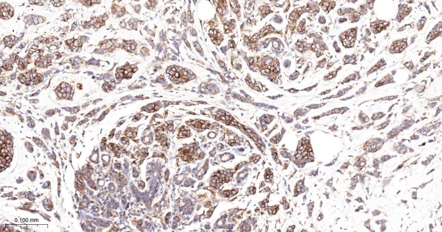
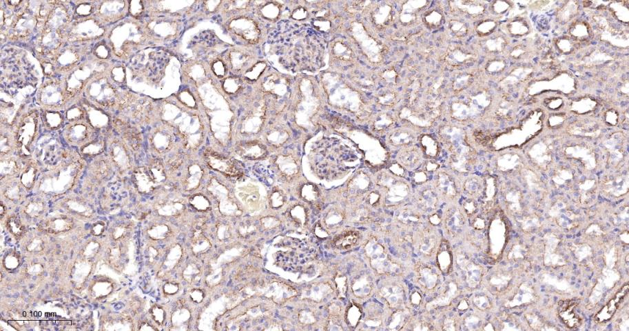
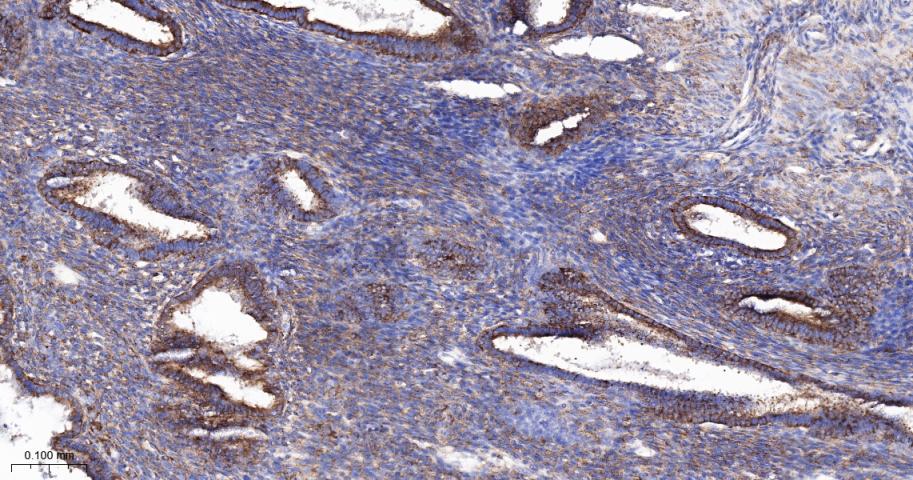
产品应用

应用已检合格种属预测种属推荐稀释比例
WBHuman, Mouse, Rat1:500-2000
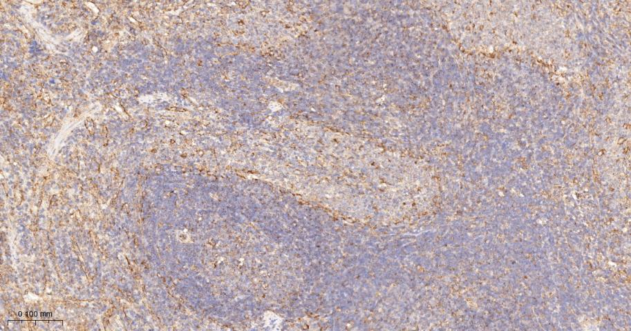
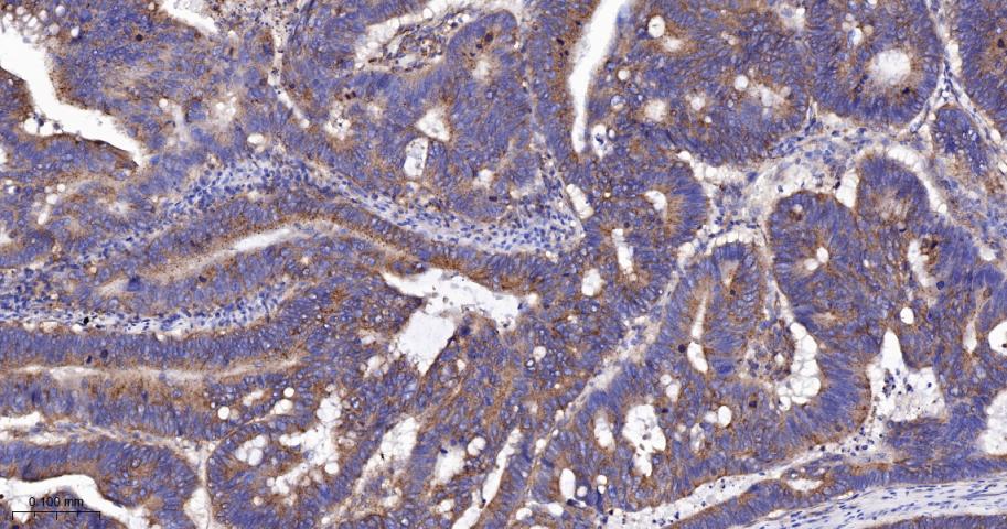
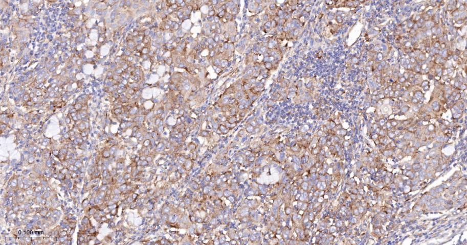
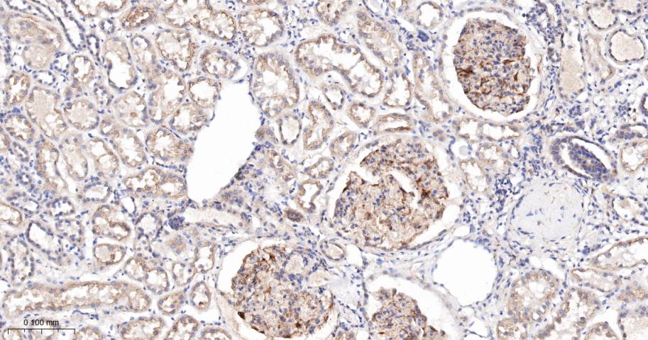
IHC-PHuman, Mouse, Rat1:100-500
IHC-FHuman, Mouse, Rat1:100-500
IFHuman, Mouse, Rat1:100-500

交叉反应

交叉反应: Human, Mouse, Rat

相关产品

暂无相关产品

靶标

基因名
FLT1
蛋白名
Vascular endothelial growth factor receptor 1
亚基
Tyrosine-protein kinase that acts as a cell-surface receptor for VEGFA, VEGFB and PGF, and plays an essential role in the development of embryonic vasculature, the regulation of angiogenesis, cell survival, cell migration, macrophage function, chemotaxis, and cancer cell invasion. May play an essential role as a negative regulator of embryonic angiogenesis by inhibiting excessive proliferation of endothelial cells. Can promote endothelial cell proliferation, survival and angiogenesis in adulthood. Its function in promoting cell proliferation seems to be cell-type specific. Promotes PGF-mediated proliferation of endothelial cells, and proliferation of some types of cancer cells, but does not promote proliferation of normal fibroblasts. Has very high affinity for VEGFA and relatively low protein kinase activity; may function as a negative regulator of VEGFA signaling by limiting the amount of free VEGFA and preventing its binding to KDR. Modulates KDR signaling by forming heterodimers with KDR. Ligand binding leads to the activation of several signaling cascades. Activation of PLCG1 leads to the production of the cellular signaling molecules diacylglycerol and inositol 1,4,5-trisphosphate and the activation of protein kinase C. Mediates phosphorylation of PIK3R1, the regulatory subunit of phosphatidylinositol 3-kinase, leading to the activation of phosphatidylinositol kinase and the downstream signaling pathway. Mediates activation of MAPK1/ERK2, Interacts with VEGFA, VEGFB and PGF. Monomer in the absence of bound VEGFA, VEGFB or PGF. Homodimer in the presence of bound VEGFA, VEGFB and PGF. Can also form a heterodimer with KDR.Interacts (when tyrosine phosphorylated) with CBL, CRK, GRB2, NCK1,PIK3R1, PLCG1 and PTPN11. Interacts with GNB2L1/RACK1. Identified in a complex with CBL and CD2AP.
亚细胞定位
Isoform 1: Cell membrane; Single-pass type I membrane protein. Endosome. Note=Autophosphorylation promotes ubiquitination and endocytosis;Isoform 2: Secreted;Isoform 3: Secreted;Isoform 4: Secreted;Isoform 5: Cytoplasm (Potential);Isoform 6: Cytoplasm (Potential);Isoform 7: Cytoplasm (Potential).
组织特异性
Detected in normal lung, but also in placenta,liver, kidney, heart and brain tissues. Specifically expressed in most of the vascular endothelial cells, and also expressed in peripheral blood monocytes. Isoform 2 is strongly expressed in placenta. Isoform 3 is expressed in corneal epithelial cells (at protein level). Isoform 3 is expressed in vascular smooth muscle cells (VSMC).
翻译后修饰
N-glycosylated.
Ubiquitinated after VEGFA-mediated autophosphorylation, leading to proteolytic degradation.
Autophosphorylated on tyrosine residues upon ligand binding. Autophosphorylation occurs in trans, i.e. one subunit of the dimeric receptor phosphorylates tyrosine residues on the other subunit. Phosphorylation at Tyr-1169 is important for interaction with PLCG1. Phosphorylation at Tyr-1213 is important for interaction with PIK3R1, PTPN11, GRB2, and PLCG1. Phosphorylation at Tyr-1331 is important for endocytosis and for interaction with CBL, NCK1 and CRK.
相似性
Belongs to the protein kinase superfamily. Tyr protein kinase family. CSF-1/PDGF receptor subfamily.Contains 7 Ig-like C2-type (immunoglobulin-like)domains.Contains 1 protein kinase domain.
功能
Following activation by double-stranded RNA in the presence of ATP, the kinase becomes autophosphorylated and can catalyze the phosphorylation of the translation initiation factor EIF2S1, which leads to an inhibition of the initiation of protein synthesis. Double-stranded RNA is generated during the course of a viral infection.

同靶标产品

相关文献

提示: 发表研究结果有使用 bsm-52338R 时请让我们知道,以便我们可以引用参考文章。作为回馈,资料提供者将获得我们送上的小礼品。
具体参考文献:bsm-52338R 被引用于3文献中

常见问题