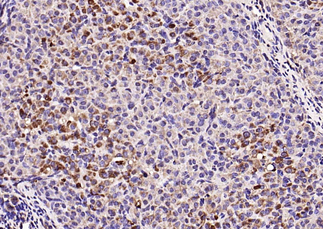
Cancer > Oncoproteins/suppressors > Oncoproteins > Growth factor receptors
Cancer > Signal transduction > Protein phosphorylation > Tyrosine kinases > Receptor tyrosine kinases
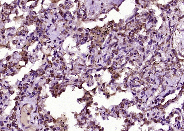
Developmental Biology > Organogenesis > Hematopoietic system development
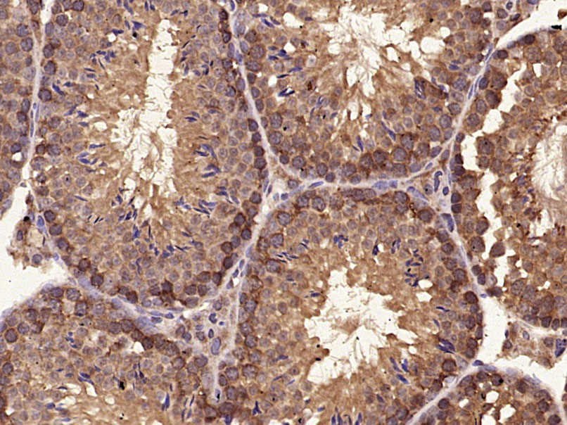
Developmental Biology > Reproduction > Germ cell markers
Immunology > Cell Type Markers > CD > Cytokines
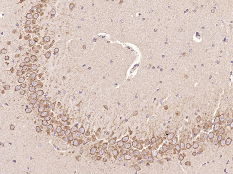
Neuroscience > Neurotransmission > Receptors / Channels > Tyrosine Kinase Receptors
Signal Transduction > Protein Phosphorylation > Tyrosine Kinases > Receptor Tyrosine Kinases
Stem Cells > Germline Stem Cells > Embryonic Germ Cells
Stem Cells > Hematopoietic Progenitors > Hematopoietic Stem Cells > HSC markers
Stem Cells > Hematopoietic Progenitors > Myeloid > Mast Cell Lineage









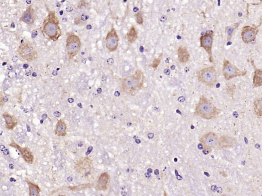
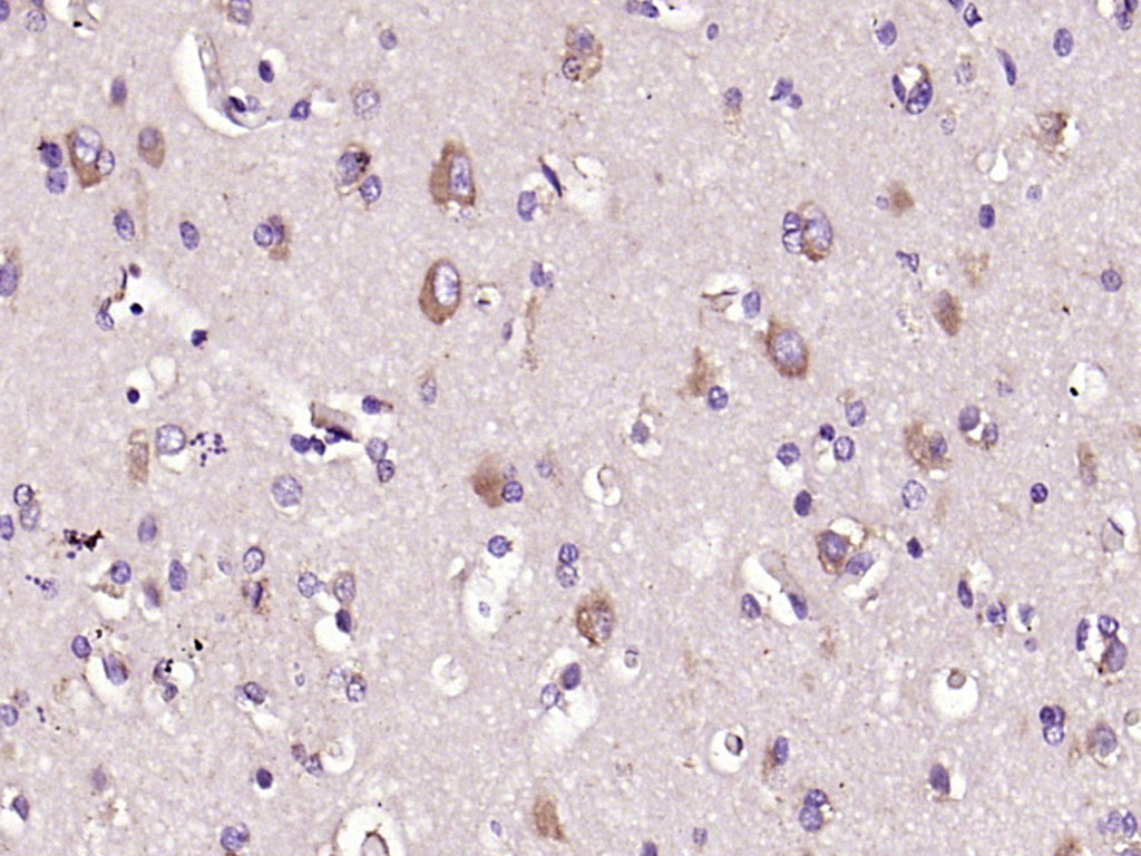
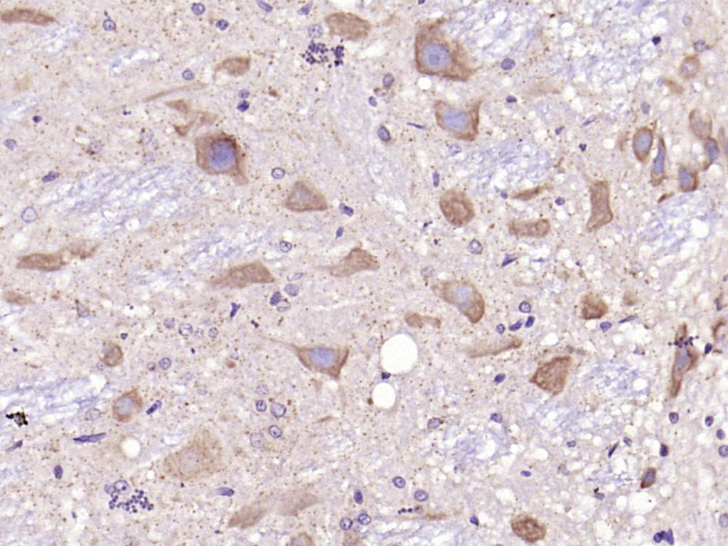
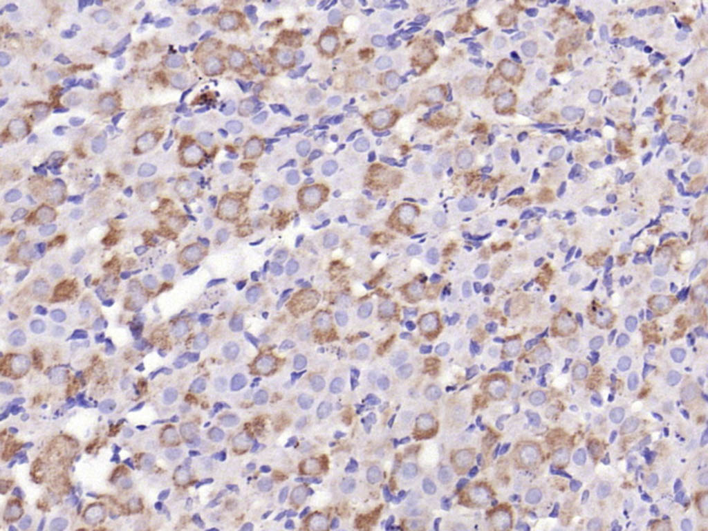
| 应用 | 已检合格种属 | 预测种属 | 推荐稀释比例 |
|---|---|---|---|
| IHC-P | Human, Mouse, Rat | Pig, Sheep, Cow, Horse | 1:100-500 |
| IHC-F | Human, Mouse, Rat | Pig, Sheep, Cow, Horse | 1:100-500 |
| IF | Human, Mouse, Rat | Pig, Sheep, Cow, Horse | 1:100-500 |
| Flow-Cyt | Human | Mouse, Rat, Pig, Sheep, Cow, Horse | 1μg/Test |
交叉反应: Human, Mouse, Rat (predicted: Pig, Sheep, Cow, Horse)
暂无相关产品