肥大细胞类胰蛋白酶重组兔单抗

Rrmab?兔单抗
2026-03-02~2026-04-30,KXJ26032026-03-02~2026-04-30,促销赠品
肥大细胞类胰蛋白酶重组兔单抗
货号:bsm-52533R
产品详情
相关标记
相关产品
相关文献
常见问题

概述

产品编号
bsm-52533R
产品类型
重组兔单抗
英文名称
Mast Cell Tryptase Recombinant Rabbit mAb
中文名称
肥大细胞类胰蛋白酶重组兔单抗
英文别名
TPS1; TPS2; TPSB1; TPSB2; Tryptase-2; MMCP-7; Mcp-7; Mcp7; Mcpt7; rMCP-7; TRYB1_HUMAN; TPSAB1; Tryptase-1; Tryptase I; Tryptase alpha-1; 3.4.21.59; TRYB1_MOUSE; Mast cell protease 7 (mMCP-7); Tryptase alpha/beta-1; TRYB1_RAT; Mast cell protease 7 (rMCP-7); Tryptase, skin; TRYB2_HUMAN; Tryptase II;
抗体来源
Rabbit
免疫原
A synthesized peptide derived from human Tryptase 1: 10-275/275
亚型
IgG
性状
Liquid
纯化方法
affinity purified by Protein A
克隆类型
Recombinant
克隆号
3G3
理论分子量
23 kDa
浓度
1mg/ml
储存液
0.01M TBS (pH7.4) with 1% BSA, 0.02% Proclin300 and 50% Glycerol.
SWISS
Gene ID
保存条件
Shipped at 4℃. Store at -20℃ for one year. Avoid repeated freeze/thaw cycles.
注意事项
This product as supplied is intended for research use only, not for use in human, therapeutic or diagnostic applications.
背景资料
Tryptases comprise a family of trypsin-like serine proteases, the peptidase family S1. Tryptases are enzymatically active only as heparin-stabilized tetramers, and they are resistant to all known endogenous proteinase inhibitors. Several tryptase genes are clustered on chromosome 16p13.3. These genes are characterized by several distinct features. They have a highly conserved 3' UTR and contain tandem repeat sequences at the 5' flank and 3' UTR which are thought to play a role in regulation of the mRNA stability. Although this gene may be an exception, most of the tryptase genes have an intron immediately upstream of the initiator Met codon, which separates the site of transcription initiation from protein coding sequence. This feature is characteristic of tryptases but is unusual in other genes. Tryptases have been implicated as mediators in the pathogenesis of asthma and other allergic and inflammatory disorders. This gene was once considered to be a pseudogene, although it is now believed to be a functional gene that encodes a protein. [provided by RefSeq, Jul 2008]
肥大细胞类胰蛋白酶重组兔单抗肥大细胞类胰蛋白酶重组兔单抗肥大细胞类胰蛋白酶重组兔单抗肥大细胞类胰蛋白酶重组兔单抗肥大细胞类胰蛋白酶重组兔单抗

产品应用

应用已检合格种属预测种属推荐稀释比例
WBHuman, Mouse1:500-5000
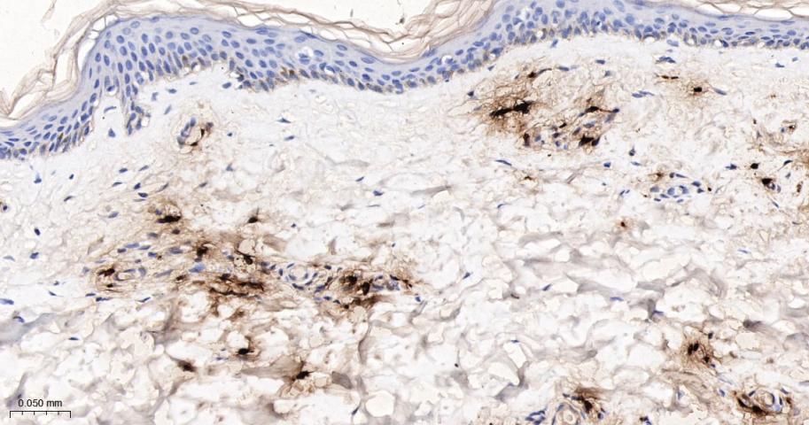
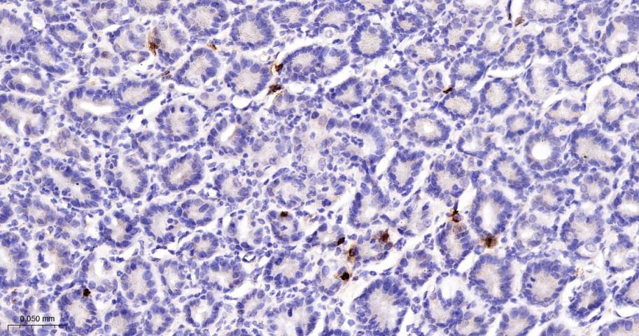
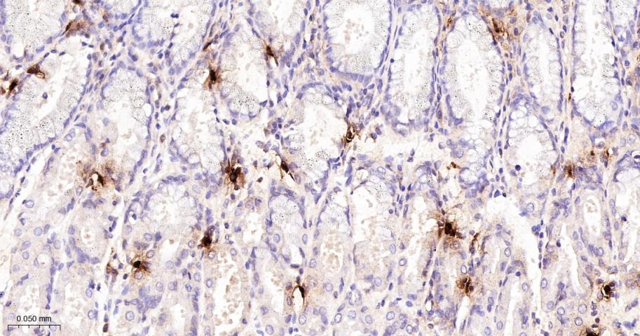
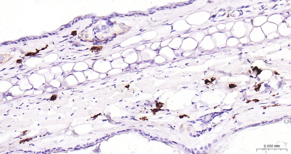
IHC-PHuman, Mouse1:200-1000
IHC-FHuman, Mouse1:200-1000
IFHuman, Mouse1:200-1000

交叉反应

交叉反应: Human, Mouse

相关产品

暂无相关产品

靶标

基因名
TPSAB1
蛋白名
Tryptase alpha/beta-1
亚基
Homotetramer.
亚细胞定位
Secreted. Note=Released from the secretory granules upon mast cell activation.
组织特异性
Expressed in colon, lung, heart and synovial tissue. May be specific to mast cells.
相似性
Belongs to the peptidase S1 family. Tryptase subfamily.
Contains 1 peptidase S1 domain.
功能
Tryptase is the major neutral protease present in mast cells and is secreted upon the coupled activation-degranulation response of this cell type.

标记抗体

暂无标记数据

同靶标产品

暂无同靶标产品

相关文献

提示: 发表研究结果有使用 bsm-52533R 时请让我们知道,以便我们可以引用参考文章。作为回馈,资料提供者将获得我们送上的小礼品。
具体参考文献:bsm-52533R 被引用于4文献中

暂无相关文献

常见问题

暂无常见问题