Cancer > Cell cycle > Cell division
Cancer > Tumor biomarkers > Tumor antigens
Cell Biology > Cell Cycle > Markers
Epigenetics and Nuclear Signaling > Chromatin Binding Proteins > DNA / RNA binding
Epigenetics and Nuclear Signaling > DNA / RNA > DNA Synthesis
Epigenetics and Nuclear Signaling > DNA methylation > Methylated DNA Binding

















| 应用 | 已检合格种属 | 预测种属 | 推荐稀释比例 |
|---|---|---|---|
| WB | Human, Mouse, Rat | 1:1000-20000 | |
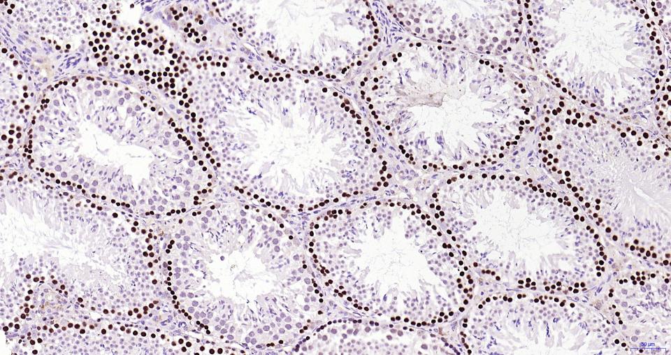
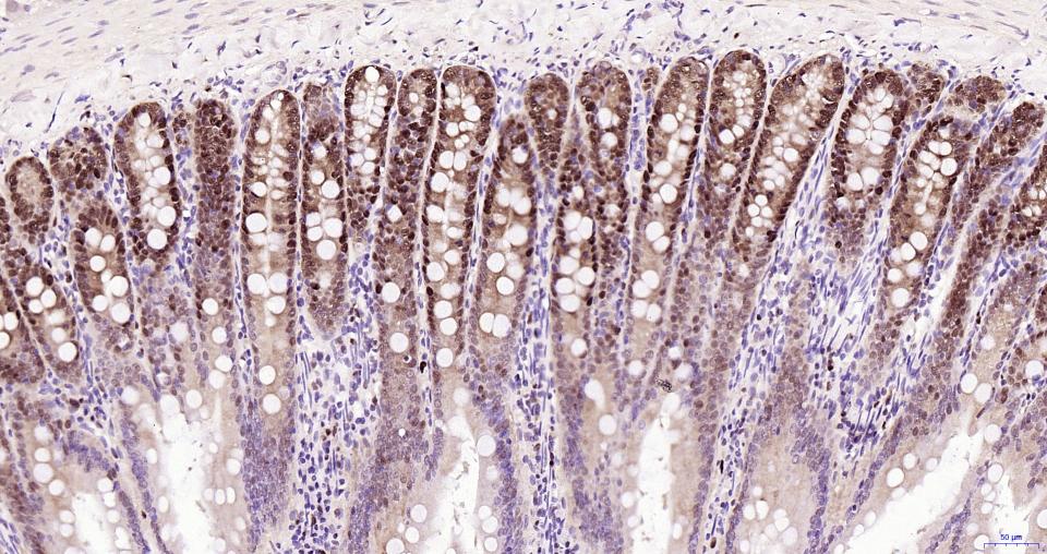
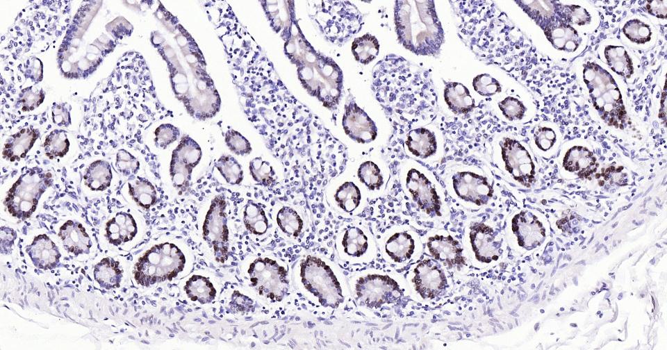
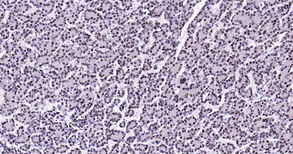
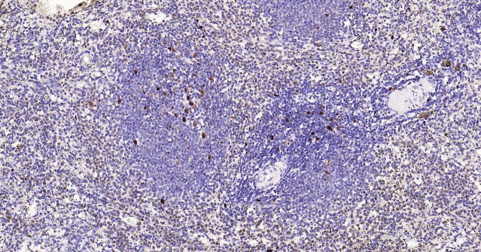
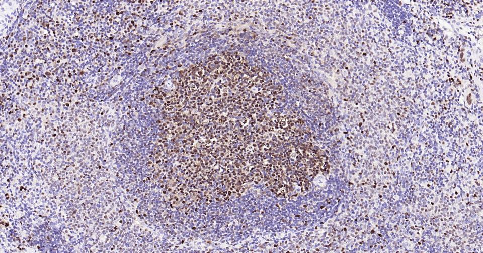
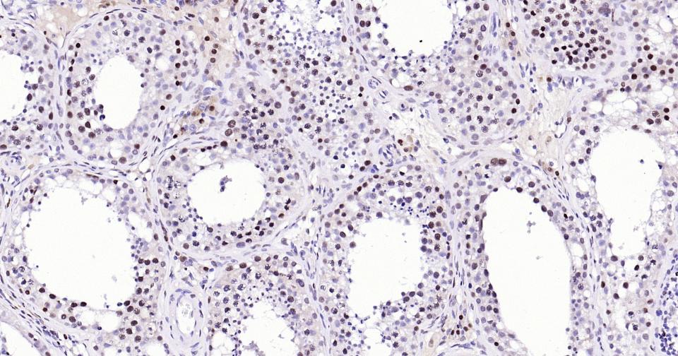
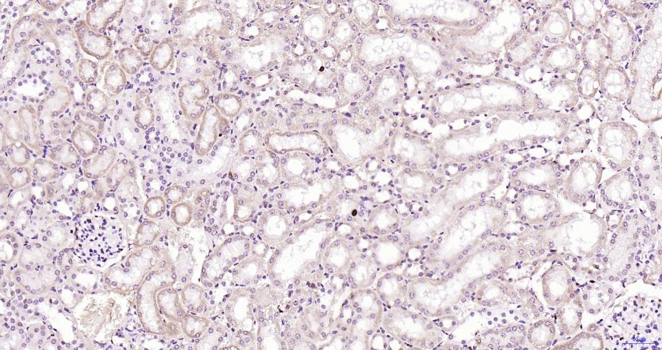
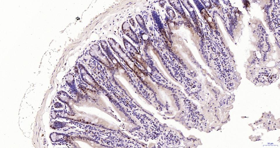
| IHC-P | Human, Mouse, Rat | 1:200-1000 | |
| IHC-F | Human, Mouse, Rat | 1:200-1000 | |
| IF | Human, Mouse, Rat | 1:200-1000 | |
| Flow-Cyt | Human | Mouse, Rat | 1ug/Test |
| ICC/IF | Human, Mouse, Rat | 1:100-500 |
交叉反应: Human, Mouse, Rat
暂无相关产品
Homotrimer (PubMed:24939902).
Interacts with p300/EP300; the interaction occurs on chromatin in UV-irradiated damaged cells (PubMed:24939902).
Interacts with CREBBP (via transactivation domain and C-terminus); the interaction occurs on chromatin in UV-irradiated damaged cells (PubMed:24939902).
Directly interacts with POLD1, POLD3 and POLD4 subunits of the DNA polymerase delta complex, POLD3 being the major interacting partner; the interaction with POLD3 is inhibited by CDKN1A/p21(CIP1) (PubMed:11595739, PubMed:16510448, PubMed:22148433, PubMed:24939902).
Forms a complex with activator 1 heteropentamer in the presence of ATP. Interacts with EXO1, POLH, POLK, DNMT1, ERCC5, FEN1, CDC6 and POLDIP2 (PubMed:9305916, PubMed:9302295, PubMed:9566895, PubMed:11784855, PubMed:12522211, PubMed:15225546, PubMed:15149598, PubMed:24911150, PubMed:15616578).
Interacts with APEX2; this interaction is triggered by reactive oxygen species and increased by misincorporation of uracil in nuclear DNA (PubMed:11376153, PubMed:19443450).
Forms a ternary complex with DNTTIP2 and core histone (PubMed:12786946).
Interacts with KCTD10 and PPP1R15A (By similarity).
Interacts with SMARCA5/SNF2H (PubMed:15543136).
Interacts with BAZ1B/WSTF; the interaction is direct and is required for BAZ1B/WSTF binding to replication foci during S phase (PubMed:15543136).
Interacts with HLTF and SHPRH (PubMed:17130289, PubMed:18316726, PubMed:18719106).
Interacts with NUDT15; this interaction is disrupted in response to UV irradiation and acetylation (PubMed:19419956).
Interacts with CDKN1A/p21(CIP1) and CDT1; interacts via their PIP-box which also recruits the DCX(DTL) complex. The interaction with CDKN1A inhibits POLD3 binding (PubMed:11595739, PubMed:16949367, PubMed:18794347, PubMed:18703516).
Interacts with DDX11 (PubMed:18499658).
Interacts with EGFR; positively regulates PCNA (PubMed:17115032).
Interacts with PARPBP (PubMed:22153967).
Interacts (when ubiquitinated) with SPRTN; leading to enhance RAD18-mediated PCNA ubiquitination (PubMed:22681887, PubMed:27084448).
Interacts (when polyubiquitinated) with ZRANB3 (PubMed:22704558, PubMed:22705370, PubMed:22759634).
Interacts with SMARCAD1 (PubMed:21549307).
Interacts with CDKN1C (PubMed:22634751).
Interacts with PCLAF (via PIP-box) (PubMed:21628590, PubMed:23000965).
Interacts with RTEL1 (via PIP-box); the interaction is direct and essential for the suppression of telomere fragility (PubMed:24115439).
Interacts with FAM111A (via PIP-box); the interaction is direct and required for PCNA loading on chromatin binding (PubMed:24561620).
Interacts with LIG1 (PubMed:24911150).
Interacts with SETMAR (PubMed:20457750).
Interacts with ANKRD17 (PubMed:23711367).
Interacts with FBXO18/FBH1 (via PIP-box); the interaction recruits the DCX(DTL) complex and promotes ubiquitination and degradation of FBXO18/FBH1 (PubMed:23677613).
Interacts with POLN (PubMed:19995904).
Interacts with SDE2 (via PIP-box); the interaction is direct and prevents ultraviolet light induced monoubiquitination (PubMed:27906959).
Component of the replisome complex composed of at least DONSON, MCM2, MCM7, PCNA and TICRR; interaction at least with PCNA occurs during DNA replication (PubMed:28191891).
Interacts with MAPK15; the interaction is chromatin binding dependent and prevents MDM2-mediated PCNA destruction by inhibiting the association of PCNA with MDM2 (PubMed:20733054).
Interacts with PARP10 (via PIP-box) (PubMed:24695737).
Interacts with DDI2 (PubMed:29290612).
Interacts with HMCES (via PIP-box) (PubMed:30554877).
Interacts with TRAIP (via PIP-box) (PubMed:27462463, PubMed:26711499).
Interacts with UHRF2 (PubMed:28951215).
Interacts with ALKBH2; this interaction is enhanced during the S-phase of the cell cycle. Interacts with ATAD5; the interaction promotes USP1-mediated PCNA deubiquitination (PubMed:20147293).By Similarity51 Publications
(Microbial infection) Interacts with herpes virus 8 protein LANA1.
Nucleus. Note=Forms nuclear foci representing sites of ongoing DNA replication and vary in morphology and number during S phase. Together with APEX2, is redistributed in discrete nuclear foci in presence of oxidative DNA damaging agents.
Following DNA damage, can be either monoubiquitinated to stimulate direct bypass of DNA lesions by specialized DNA polymerases or polyubiquitinated to promote recombination-dependent DNA synthesis across DNA lesions by template switching mechanisms. Following induction of replication stress, monoubiquitinated by the UBE2B-RAD18 complex on Lys-164, leading to recruit translesion (TLS) polymerases, which are able to synthesize across DNA lesions in a potentially error-prone manner. An error-free pathway also exists and requires non-canonical polyubiquitination on Lys-164 through 'Lys-63' linkage of ubiquitin moieties by the E2 complex UBE2N-UBE2V2 and the E3 ligases, HLTF, RNF8 and SHPRH. This error-free pathway, also known as template switching, employs recombination mechanisms to synthesize across the lesion, using as a template the undamaged, newly synthesized strand of the sister chromatid. Monoubiquitination at Lys-164 also takes place in undamaged proliferating cells, and is mediated by the DCX(DTL) complex, leading to enhance PCNA-dependent translesion DNA synthesis. Sumoylated during S phase.
Acetylated in response to UV irradiation. Acetylation disrupts interaction with NUDT15 and promotes degradation.
Phosphorylated. Phosphorylation at Tyr-211 by EGFR stabilizes chromatin-associated PCNA.
A neurodegenerative disorder due to defects in DNA excision repair. ATLD2 is characterized by developmental delay, ataxia, sensorineural hearing loss, short stature, cutaneous and ocular telangiectasia, and photosensitivity.
Belongs to the PCNA family.
Auxiliary protein of DNA polymerase delta and epsilon, is involved in the control of eukaryotic DNA replication by increasing the polymerase's processibility during elongation of the leading strand (PubMed:35585232).
Induces a robust stimulatory effect on the 3'-5' exonuclease and 3'-phosphodiesterase, but not apurinic-apyrimidinic (AP) endonuclease, APEX2 activities. Has to be loaded onto DNA in order to be able to stimulate APEX2. Plays a key role in DNA damage response (DDR) by being conveniently positioned at the replication fork to coordinate DNA replication with DNA repair and DNA damage tolerance pathways (PubMed:24939902).
Acts as a loading platform to recruit DDR proteins that allow completion of DNA replication after DNA damage and promote postreplication repair: Monoubiquitinated PCNA leads to recruitment of translesion (TLS) polymerases, while 'Lys-63'-linked polyubiquitination of PCNA is involved in error-free pathway and employs recombination mechanisms to synthesize across the lesion (PubMed:24695737).
暂无标记数据
暂无同靶标产品
暂无相关文献
暂无常见问题