肿瘤坏死因子受体2重组兔单抗

Rrmab?兔单抗
2026-03-02~2026-04-30,KXJ26032026-03-02~2026-04-30,促销赠品
肿瘤坏死因子受体2重组兔单抗
货号:bsm-52938R
产品详情
相关标记
相关产品
相关文献
常见问题

概述

产品编号
bsm-52938R
产品类型
重组兔单抗
英文名称
TNFR2 Recombinant Rabbit mAb
中文名称
肿瘤坏死因子受体2重组兔单抗
英文别名
CD120b; TBPII; TNF-R-II; TNF-R75; TNFBR; TNFR1B; TNFR2; TNFR80; p75; p75TNFR; TNF-R2; TNF-alphaR2; TNFRII; TNFalpha-R2; Tnfr-1; TNR1B_HUMAN; TNFRSF1B; Tumor necrosis factor receptor 2 (TNF-R2); Tumor necrosis factor receptor type II (TNF-RII | TNFR-II); p80 TNF-alpha receptor; TNR1B_MOUSE; Tnfr-2; TNR1B_RAT;
抗体来源
Rabbit
免疫原
A synthesized peptide derived from human TNFRSF1B: 415-461/461
亚型
IgG
性状
Liquid
纯化方法
affinity purified by Protein A
克隆类型
Recombinant
克隆号
7D3
理论分子量
46 kDa
浓度
1mg/ml
储存液
0.01M TBS (pH7.4) with 1% BSA, 0.02% Proclin300 and 50% Glycerol.
SWISS
Gene ID
保存条件
Shipped at 4℃. Store at -20℃ for one year. Avoid repeated freeze/thaw cycles.
注意事项
This product as supplied is intended for research use only, not for use in human, therapeutic or diagnostic applications.
背景资料
The protein encoded by this gene is a member of the TNF-receptor superfamily. This protein and TNF-receptor 1 form a heterocomplex that mediates the recruitment of two anti-apoptotic proteins, c-IAP1 and c-IAP2, which possess E3 ubiquitin ligase activity. The function of IAPs in TNF-receptor signalling is unknown, however, c-IAP1 is thought to potentiate TNF-induced apoptosis by the ubiquitination and degradation of TNF-receptor-associated factor 2, which mediates anti-apoptotic signals. Knockout studies in mice also suggest a role of this protein in protecting neurons from apoptosis by stimulating antioxidative pathways. [provided by RefSeq, Jul 2008]
肿瘤坏死因子受体2重组兔单抗肿瘤坏死因子受体2重组兔单抗肿瘤坏死因子受体2重组兔单抗

产品应用

应用已检合格种属预测种属推荐稀释比例
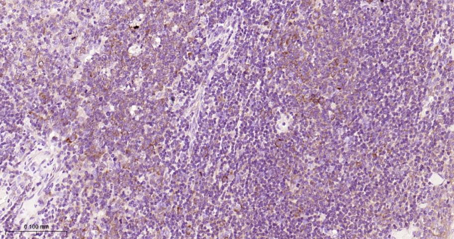
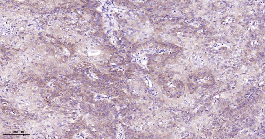
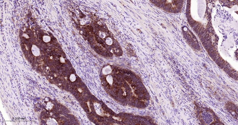
IHC-PHumanMouse, Rat1:50-200
IHC-FHumanMouse, Rat1:50-200
IFHumanMouse, Rat1:50-200

交叉反应

交叉反应: Human (predicted: Mouse, Rat)

相关产品

暂无相关产品

靶标

基因名
TNFRSF1B
蛋白名
Tumor necrosis factor receptor superfamily member 1B
亚细胞定位
Secreted and Cell membrane.
翻译后修饰
Phosphorylated; mainly on serine residues and with a very low level on threonine residues.
A soluble form (tumor necrosis factor binding protein 2) is produced from the membrane form by proteolytic processing.
相似性
Contains 4 TNFR-Cys repeats.
功能
Receptor with high affinity for TNFSF2/TNF-alpha and approximately 5-fold lower affinity for homotrimeric TNFSF1/lymphotoxin-alpha. The TRAF1/TRAF2 complex recruits the apoptotic suppressors BIRC2 and BIRC3 to TNFRSF1B/TNFR2. This receptor mediates most of the metabolic effects of TNF-alpha. Isoform 2 blocks TNF-alpha-induced apoptosis, which suggests that it regulates TNF-alpha function by antagonizing its biological activity.

标记抗体

暂无标记数据

同靶标产品

暂无同靶标产品

相关文献

提示: 发表研究结果有使用 bsm-52938R 时请让我们知道,以便我们可以引用参考文章。作为回馈,资料提供者将获得我们送上的小礼品。
具体参考文献:bsm-52938R 被引用于1文献中

暂无相关文献

常见问题

暂无常见问题