Smad5 Recombinant Rabbit mAb (一抗) - IHC-P,IHC-F,IF | Bioss

Rrmab?兔单抗
2026-05-01~2026-06-30,AB2605
Smad5 Recombinant Rabbit mAb (一抗) - IHC-P,IHC-F,IF | Bioss
货号:bsm-52226R
产品详情
相关标记
相关产品
相关文献
常见问题

概述

产品编号
bsm-52226R
产品类型
重组兔单抗
英文名称
Smad5 Recombinant Rabbit mAb
中文名称
细胞信号转导分子SMAD5 重组兔单抗
英文别名
DWFC; JV5-1; MADH5; 1110051M15Rik; Dwf-C; MusMLP; SMAD5_HUMAN; SMAD5; MAD homolog 5; Mothers against DPP homolog 5; SMAD family member 5 (SMAD 5 | Smad5 | hSmad5); SMAD5_MOUSE; Dwarfin-C (Dwf-C); SMAD family member 5 (SMAD 5 | Smad5 | mSmad5); Msmad5; SMAD5_RAT; SMAD family member 5 (SMAD 5 | Smad5); SMAD family member 5; MAD, mothers against decapentaplegic homolog 5 (Drosophila); SMAD, mothers against DPP homolog 5 (Drosophila)
抗体来源
Rabbit
免疫原
A synthesized peptide derived from human SMAD5: 220-284
亚型
IgG
性状
Liquid
纯化方法
affinity purified by Protein A
克隆类型
Recombinant
克隆号
7A1
理论分子量
51 kDa
浓度
1mg/ml
储存液
0.01M TBS (pH7.4) with 1% BSA, 0.02% Proclin300 and 50% Glycerol.
SWISS
Gene ID
保存条件
Shipped at 4℃. Store at -20℃ for one year. Avoid repeated freeze/thaw cycles.
注意事项
This product as supplied is intended for research use only, not for use in human, therapeutic or diagnostic applications.
背景资料
The protein encoded by this gene is involved in the transforming growth factor beta signaling pathway that results in an inhibition of the proliferation of hematopoietic progenitor cells. The encoded protein is activated by bone morphogenetic proteins type 1 receptor kinase, and may be involved in cancer. Alternative splicing results in multiple transcript variants. [provided by RefSeq, Feb 2014]
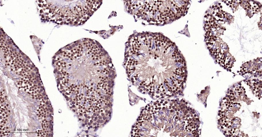
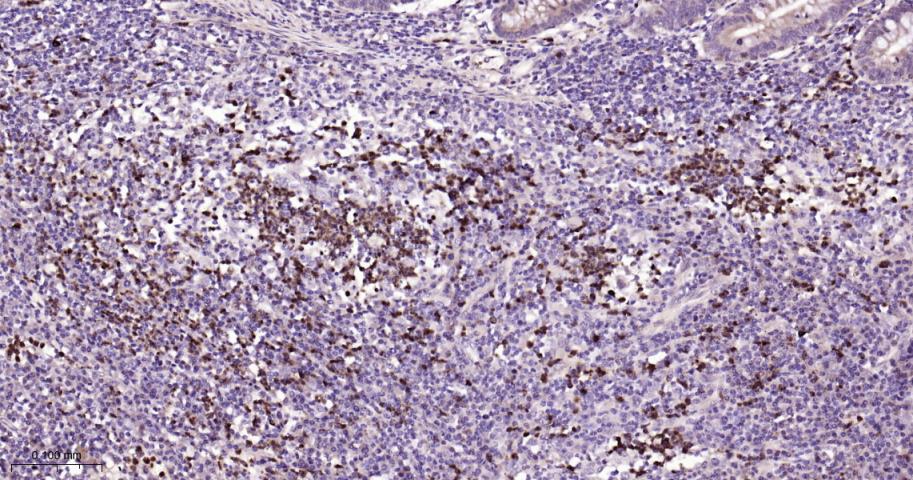
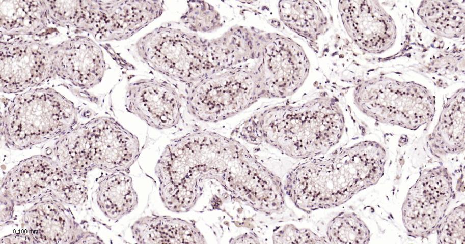
细胞信号转导分子SMAD5 重组兔单抗-bsm-52226R细胞信号转导分子SMAD5 重组兔单抗-bsm-52226R细胞信号转导分子SMAD5 重组兔单抗-bsm-52226R细胞信号转导分子SMAD5 重组兔单抗-bsm-52226R

产品应用

应用已检合格种属预测种属推荐稀释比例
IHC-PHuman, MouseRat1:50-200
IHC-FHuman, MouseRat1:50-200
IFHuman, MouseRat1:50-200

交叉反应

交叉反应: Human, Mouse (predicted: Rat)

相关产品

暂无相关产品

靶标

基因名
SMAD5
蛋白名
Mothers against decapentaplegic homolog 5
亚基
May form trimers with the co-SMAD SMAD4. Interacts with PEBP2-alpha subunit and SMURF1. Interacts with SUV39H1 and SUV39H2. Interacts (via MH2 domain) with LEMD3. Interacts with WWP1.
亚细胞定位
Cytoplasm. Nucleus. Cytoplasmic in the absence of ligand. Migrates to the nucleus when complexed with SMAD4.
组织特异性
Ubiquitous.
翻译后修饰
Phosphorylated on serine by BMP (bone morphogenetic proteins) type 1 receptor kinase.
Ubiquitin-mediated proteolysis by SMAD-specific E3 ubiquitin ligase SMURF1.
相似性
Belongs to the dwarfin/SMAD family.
Contains 1 MH1 (MAD homology 1) domain.
Contains 1 MH2 (MAD homology 2) domain.
功能
Transcriptional modulator activated by BMP (bone morphogenetic proteins) type 1 receptor kinase. SMAD5 is a receptor-regulated SMAD (R-SMAD).

同靶标产品

相关文献

提示: 发表研究结果有使用 bsm-52226R 时请让我们知道,以便我们可以引用参考文章。作为回馈,资料提供者将获得我们送上的小礼品。

常见问题