Smad1 Recombinant Rabbit mAb (一抗) - WB,IHC-P,IHC-F,IF,ICC/IF | Bioss

Rrmab?兔单抗
2026-05-01~2026-06-30,AB26052026-05-01~2026-06-30,WB精选(促销赠品)
Smad1 Recombinant Rabbit mAb (一抗) - WB,IHC-P,IHC-F,IF,ICC/IF | Bioss
货号:bsm-52222R
产品详情
相关标记
相关产品
相关文献
常见问题

概述

产品编号
bsm-52222R
产品类型
重组兔单抗
英文名称
Smad1 Recombinant Rabbit mAb
中文名称
细胞信号转导分子Smad-1重组兔单抗
英文别名
BSP-1; BSP1; JV4-1; JV41; MADH1; MADR1; Mad1; Mlp1; MusMLP; dwf-A; mMad1; SMAD1_HUMAN; SMAD1; MAD homolog 1; Mothers against DPP homolog 1; Mad-related protein 1; SMAD family member 1 (SMAD 1 | Smad1 | hSMAD1); Transforming growth factor-beta-signaling protein 1 (BSP-1); SMAD1_MOUSE; Dwarfin-A (Dwf-A); Mothers-against-DPP-related 1 (Mad-related protein 1 | mMad1); SMAD family member 1 (SMAD 1 | Smad1); SMAD1_RAT; SMAD family member 1; MAD, mothers against decapentaplegic homolog 1 (Drosophila); SMAD, mothers against DPP homolog 1 (Drosophila)
抗体来源
Rabbit
免疫原
A synthesized peptide derived from human SMAD1: 220-280
亚型
IgG
性状
Liquid
纯化方法
affinity purified by Protein A
克隆类型
Recombinant
克隆号
2D9
理论分子量
52 kDa
检测分子量
60 kDa
浓度
1mg/ml
储存液
0.01M TBS (pH7.4) with 1% BSA, 0.02% Proclin300 and 50% Glycerol.
SWISS
Gene ID
保存条件
Shipped at 4℃. Store at -20℃ for one year. Avoid repeated freeze/thaw cycles.
注意事项
This product as supplied is intended for research use only, not for use in human, therapeutic or diagnostic applications.
产品介绍
Smads最新发现的TGF-β信号转导途径中一个重要的新基因家族.是TGF-β特异的细胞内信号转导分子,SMAD1属于受体激活的SMADs.有学者认为:Smad1在某些肿瘤中发生突变,有可能是一种肿瘤抑制基因。
背景资料
The protein encoded by this gene belongs to the SMAD, a family of proteins similar to the gene products of the Drosophila gene 'mothers against decapentaplegic' (Mad) and the C. elegans gene Sma. SMAD proteins are signal transducers and transcriptional modulators that mediate multiple signaling pathways. This protein mediates the signals of the bone morphogenetic proteins (BMPs), which are involved in a range of biological activities including cell growth, apoptosis, morphogenesis, development and immune responses. In response to BMP ligands, this protein can be phosphorylated and activated by the BMP receptor kinase. The phosphorylated form of this protein forms a complex with SMAD4, which is important for its function in the transcription regulation. This protein is a target for SMAD-specific E3 ubiquitin ligases, such as SMURF1 and SMURF2, and undergoes ubiquitination and proteasome-mediated degradation. Alternatively spliced transcript variants encoding the same protein have been observed. [provided by RefSeq].
细胞信号转导分子Smad-1重组兔单抗-bsm-52222R细胞信号转导分子Smad-1重组兔单抗-bsm-52222R细胞信号转导分子Smad-1重组兔单抗-bsm-52222R细胞信号转导分子Smad-1重组兔单抗-bsm-52222R细胞信号转导分子Smad-1重组兔单抗-bsm-52222R

产品应用

应用已检合格种属预测种属推荐稀释比例
WBHuman1:500-2000
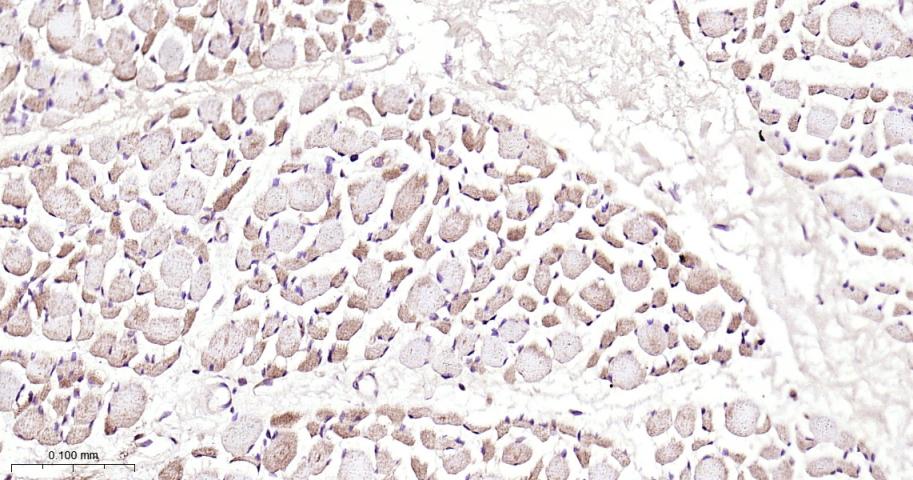
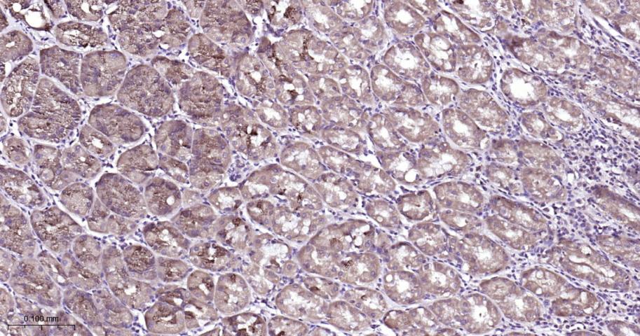
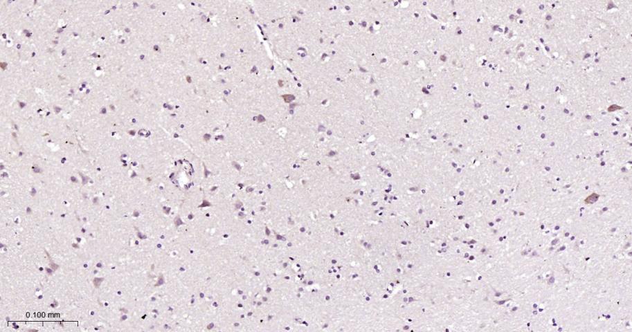
IHC-PHuman1:50-200
IHC-FHuman1:50-200
IFHuman1:50-200
ICC/IFHuman1:50-200

交叉反应

交叉反应: Human

相关产品

暂无相关产品

靶标

基因名
SMAD1
蛋白名
Mothers against decapentaplegic homolog 1
亚基
Interacts with HGS, NANOG and ZCCHC12 (By similarity). May form trimers with another SMAD1 and the co-SMAD SMAD4. Interacts with PEBP2-alpha subunit, CREB-binding protein (CBP), p300, SMURF1, SMURF2 and HOXC8. Associates with ZNF423 or ZNF521 in response to BMP2 leading to activate transcription of BMP target genes. Interacts with SKOR1. Interacts (via MH2 domain) with LEMD3. Binding to LEMD3 results in at least a partial reduction of receptor-mediated phosphorylation. Forms a ternary complex with PSMB4 and OAZ1 before PSMB4 is incorporated into the 20S proteasome.
亚细胞定位
Cytoplasm. Nucleus. Note=Cytoplasmic in the absence of ligand. Migrates to the nucleus when complexed with SMAD4. Co-localizes with LEMD3 at the nucleus inner membrane.
组织特异性
Ubiquitous. Highest expression seen in the heart and skeletal muscle.
翻译后修饰
Phosphorylated on serine by BMP type 1 receptor kinase.
Ubiquitin-mediated proteolysis by SMAD-specific E3 ubiquitin ligase SMURF1.
疾病
Defects in SMAD1 may be a cause of primary pulmonary hypertension (PPH1) [MIM:178600]. A rare disorder characterized by plexiform lesions of proliferating endothelial cells in pulmonary arterioles. The lesions lead to elevated pulmonary arterial pression, right ventricular failure, and death. The disease can occur from infancy throughout life and it has a mean age at onset of 36 years. Penetrance is reduced. Although familial PPH1 is rare, cases secondary to known etiologies are more common and include those associated with the appetite-suppressant drugs.
相似性
Belongs to the dwarfin/SMAD family.
Contains 1 MH1 (MAD homology 1) domain.
Contains 1 MH2 (MAD homology 2) domain.
功能
Transcriptional modulator activated by BMP (bone morphogenetic proteins) type 1 receptor kinase. SMAD1 is a receptor-regulated SMAD (R-SMAD). SMAD1/OAZ1/PSMB4 complex mediates the degradation of the CREBBP/EP300 repressor SNIP1.

同靶标产品

相关文献

提示: 发表研究结果有使用 bsm-52222R 时请让我们知道,以便我们可以引用参考文章。作为回馈,资料提供者将获得我们送上的小礼品。

常见问题