磷脂酰肌醇激酶(PI3Kβ)重组兔单抗

Rrmab?兔单抗
2026-03-02~2026-04-30,KXJ26032026-03-02~2026-04-30,促销赠品
磷脂酰肌醇激酶(PI3Kβ)重组兔单抗
货号:bsm-52218R
产品详情
相关标记
相关产品
相关文献
常见问题

概述

产品编号
bsm-52218R
产品类型
重组兔单抗
英文名称
PI3-kinase p110 subunit beta Recombinant Rabbit mAb
中文名称
磷脂酰肌醇激酶(PI3Kβ)重组兔单抗
英文别名
P110BETA; PI3K; PI3KBETA; PIK3C1; 1110001J02Rik; PK3CB_HUMAN; PIK3CB; PI3-kinase subunit beta; PI3K-beta; PtdIns-3-kinase subunit beta; Phosphatidylinositol 4,5-bisphosphate 3-kinase 110 kDa catalytic subunit beta (PtdIns-3-kinase subunit p110-beta | p110beta); Serine/threonine protein kinase PIK3CB; 2.7.1.153; Q24JU2_HUMAN; Q3U4Q1_MOUSE; PK3CB_MOUSE; PK3CB_RAT;
抗体来源
Rabbit
免疫原
A synthesized peptide derived from human PI3 kinase p110 beta: 401-450
亚型
IgG
性状
Liquid
纯化方法
affinity purified by Protein A
克隆类型
Recombinant
克隆号
34F12
理论分子量
123 kDa
浓度
1mg/ml
储存液
0.01M TBS (pH7.4) with 1% BSA, 0.02% Proclin300 and 50% Glycerol.
SWISS
Gene ID
保存条件
Shipped at 4℃. Store at -20℃ for one year. Avoid repeated freeze/thaw cycles.
注意事项
This product as supplied is intended for research use only, not for use in human, therapeutic or diagnostic applications.
背景资料
This gene encodes an isoform of the catalytic subunit of phosphoinositide 3-kinase (PI3K). These kinases are important in signaling pathways involving receptors on the outer membrane of eukaryotic cells and are named for their catalytic subunit. The encoded protein is the catalytic subunit for PI3Kbeta (PI3KB). PI3KB has been shown to be part of the activation pathway in neutrophils which have bound immune complexes at sites of injury or infection. Alternative splicing results in multiple transcript variants. [provided by RefSeq, Dec 2011].
磷脂酰肌醇激酶(PI3Kβ)重组兔单抗磷脂酰肌醇激酶(PI3Kβ)重组兔单抗磷脂酰肌醇激酶(PI3Kβ)重组兔单抗磷脂酰肌醇激酶(PI3Kβ)重组兔单抗磷脂酰肌醇激酶(PI3Kβ)重组兔单抗磷脂酰肌醇激酶(PI3Kβ)重组兔单抗磷脂酰肌醇激酶(PI3Kβ)重组兔单抗磷脂酰肌醇激酶(PI3Kβ)重组兔单抗磷脂酰肌醇激酶(PI3Kβ)重组兔单抗磷脂酰肌醇激酶(PI3Kβ)重组兔单抗磷脂酰肌醇激酶(PI3Kβ)重组兔单抗磷脂酰肌醇激酶(PI3Kβ)重组兔单抗

产品应用

应用已检合格种属预测种属推荐稀释比例
WBHumanMouse, Rat1:500-2000
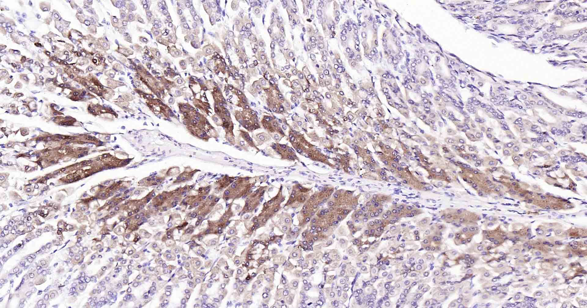
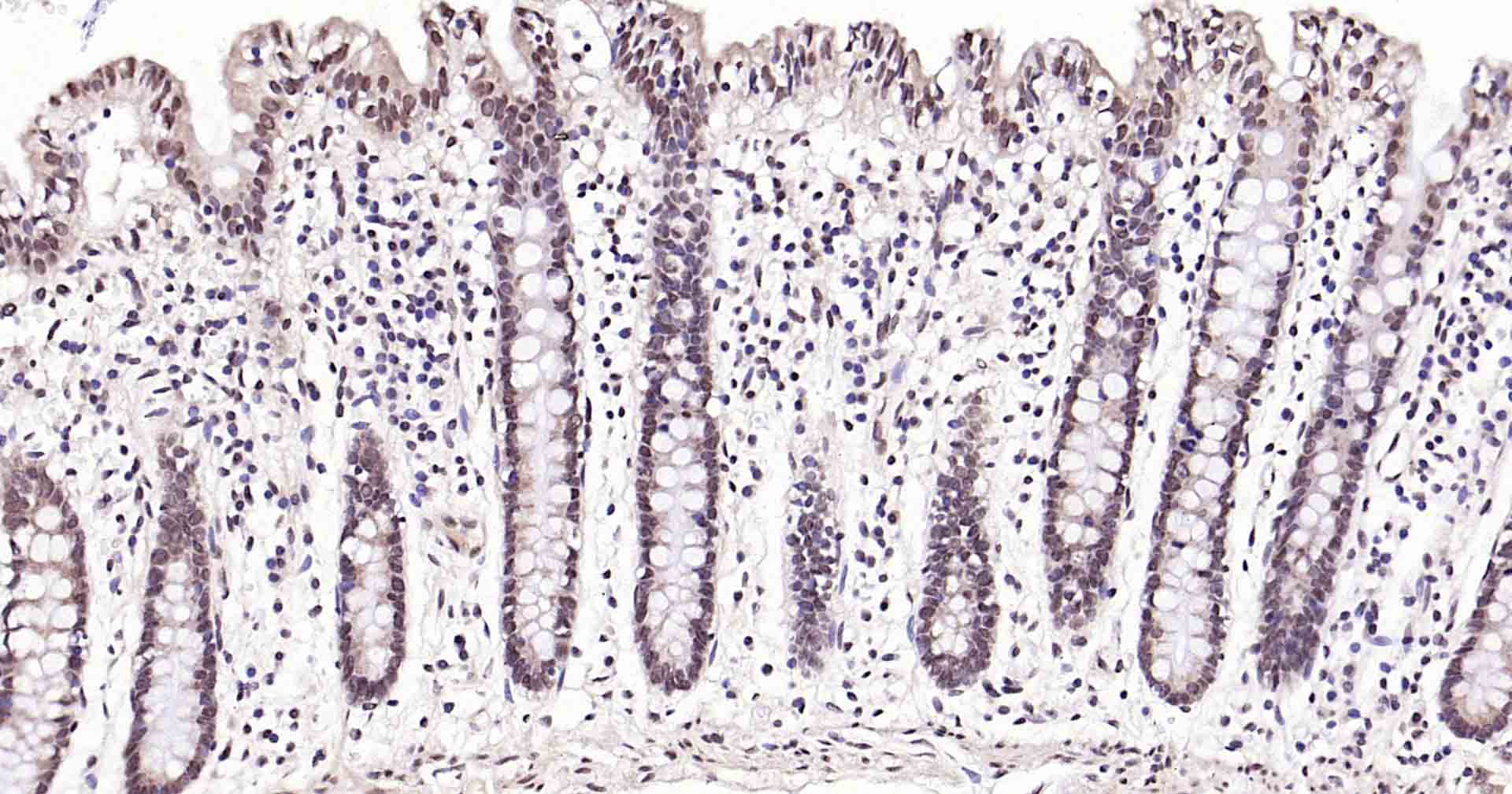
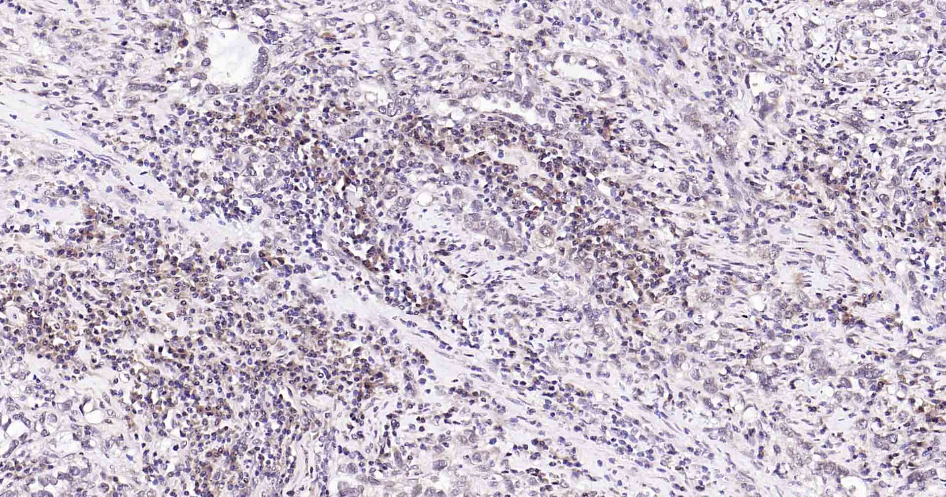
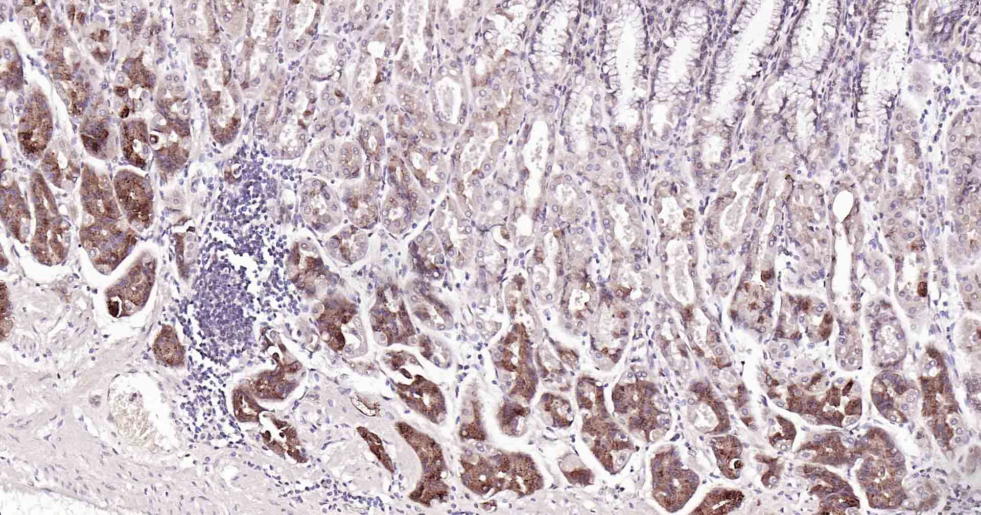
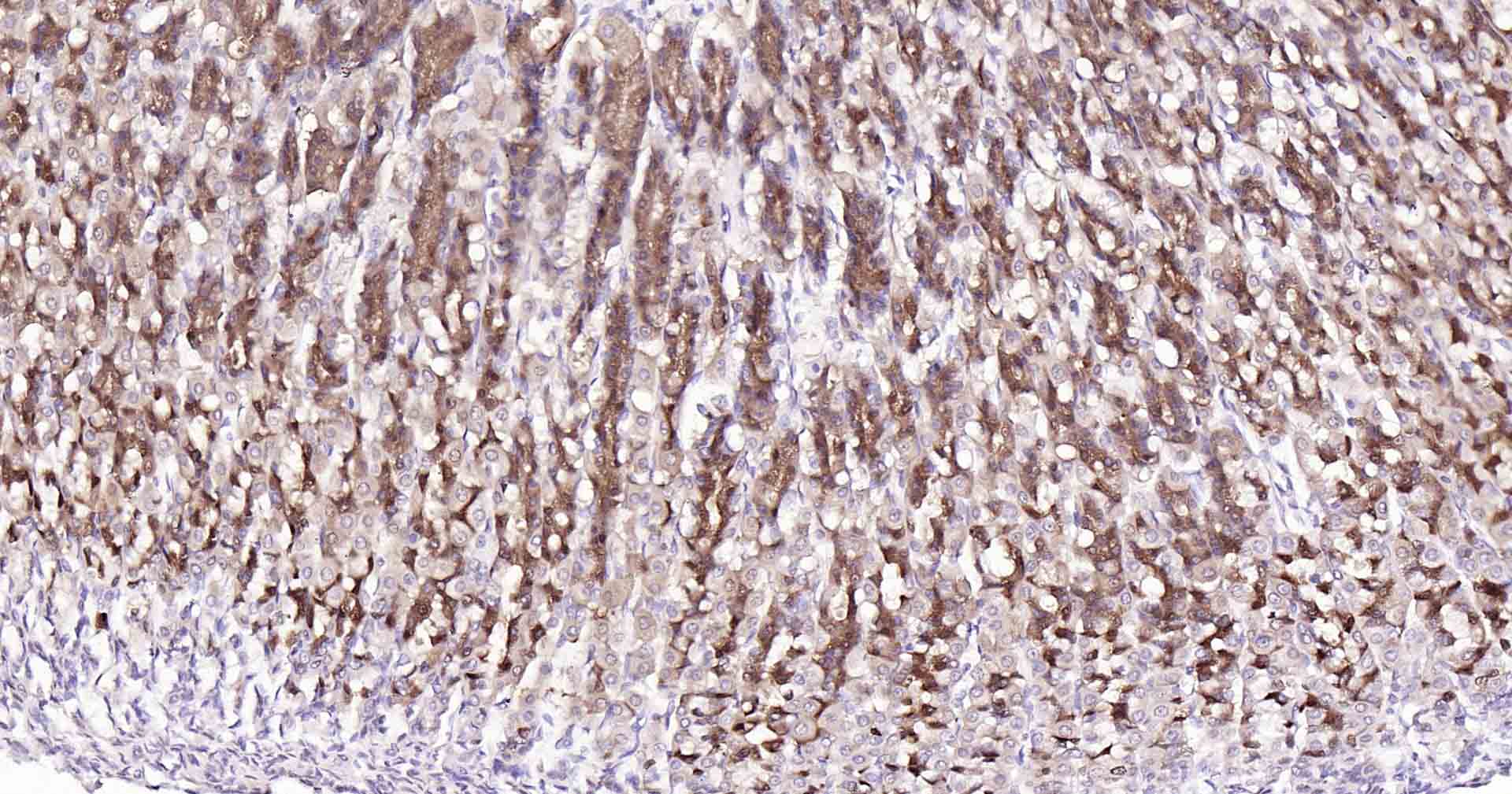
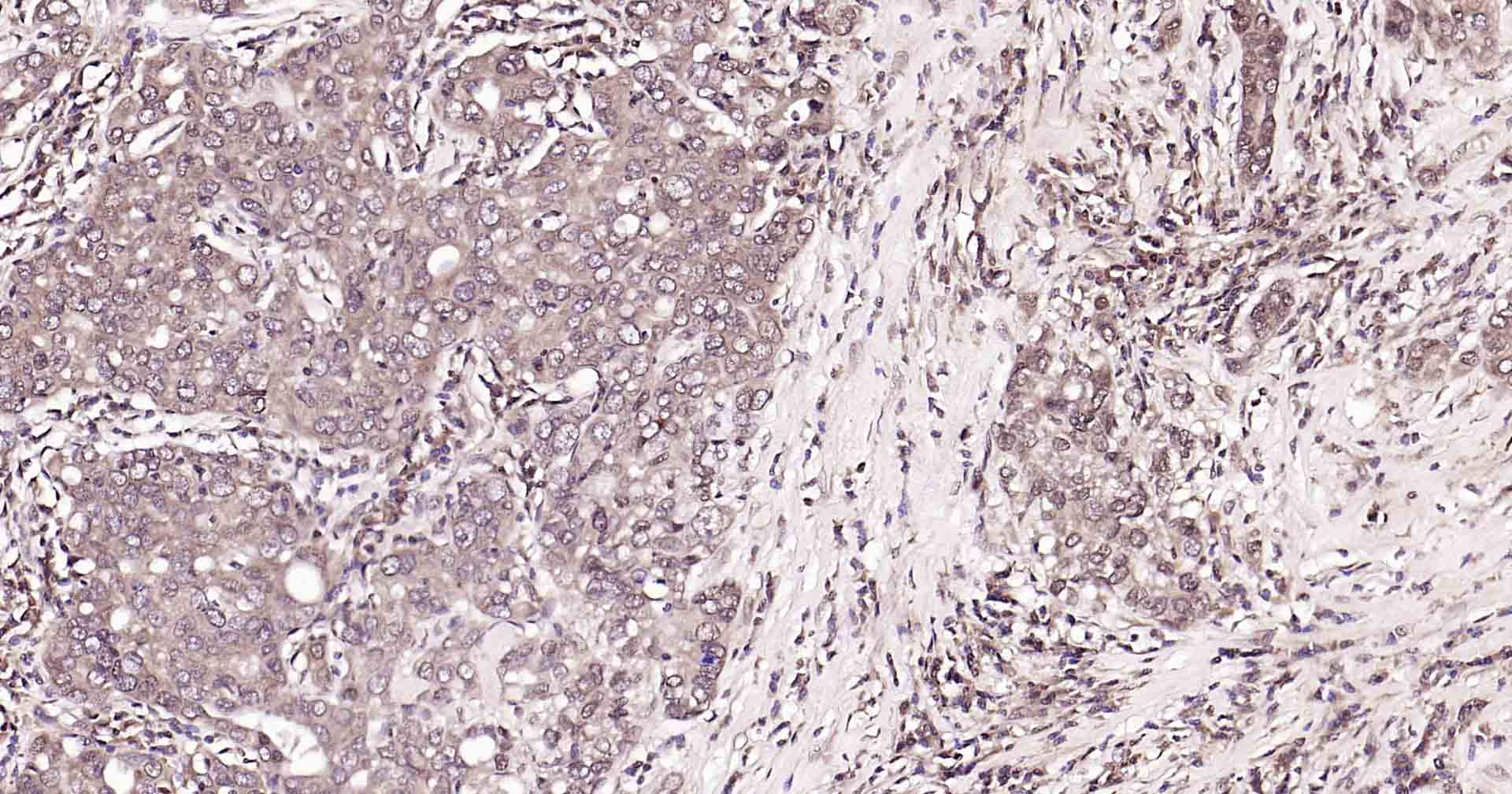
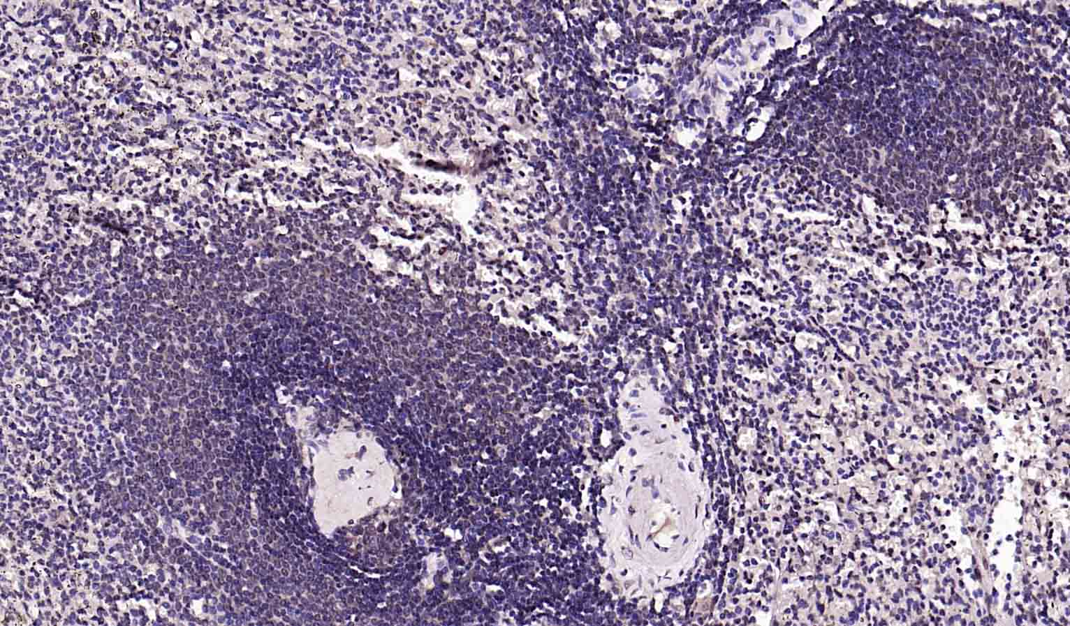
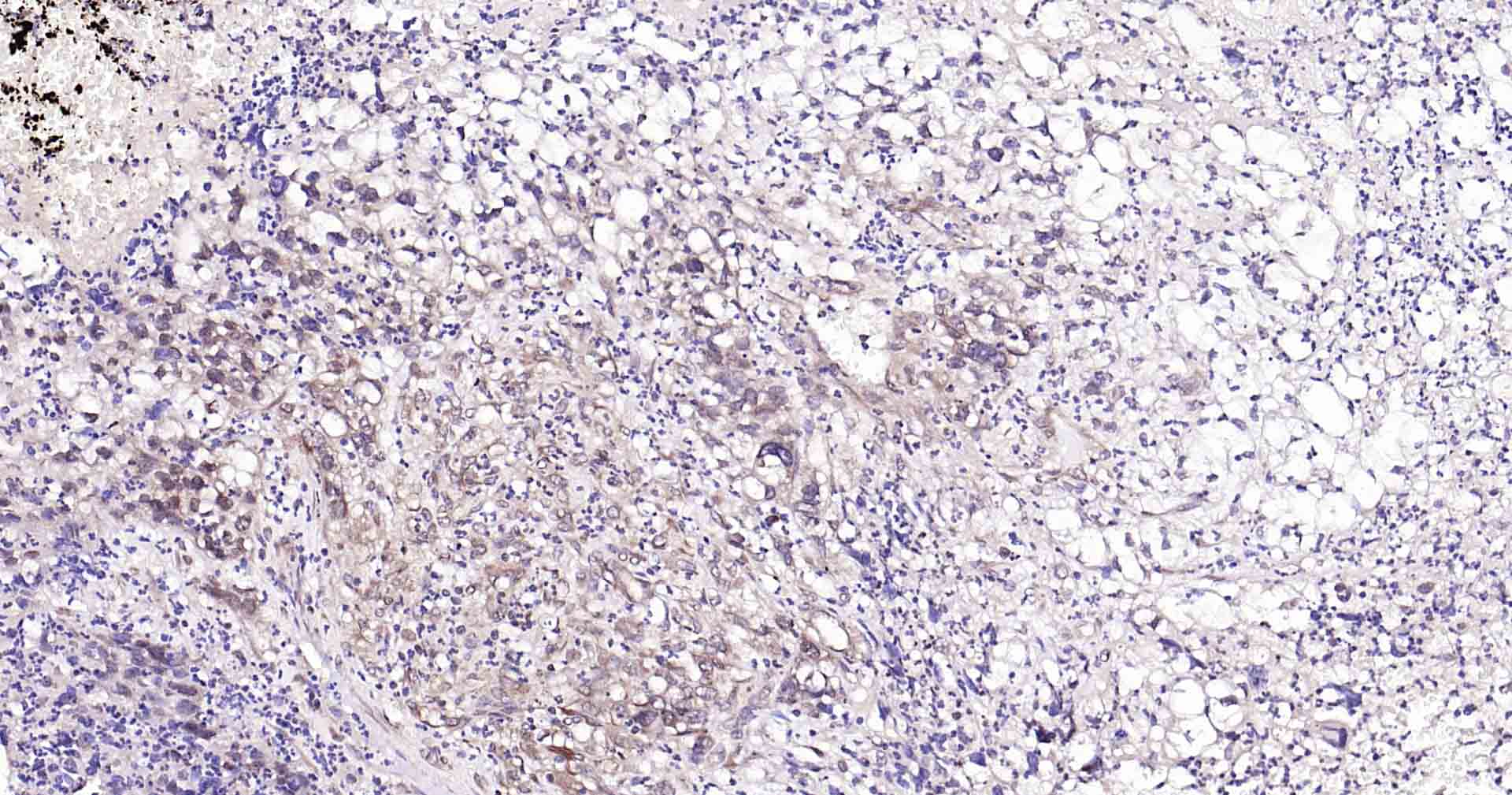
IHC-PHuman, Mouse, Rat1:100-500
IHC-FHuman, Mouse, Rat1:100-500
IFHuman, Mouse, Rat1:100-500
ICC/IFHumanMouse, Rat1:50-200

交叉反应

交叉反应: Human, Mouse, Rat

相关产品

暂无相关产品

靶标

基因名
PIK3CB
蛋白名
Phosphatidylinositol 4, 5-bisphosphate 3-kinase catalytic subunit beta isoform
亚基
PIK3R2 or PIK3R3). Interaction with PIK3R2 is required for nuclear localization and nuclear export. Part of a complex with PIK3R1 and PTEN. Binding to PTEN may antagonize the lipid kinase activity under normal growth conditions. Part of a complex involved in autophagosome formation composed of PIK3C3 and PIK3R4. Interacts with BECN1, ATG14 and RAB5A.
亚细胞定位
Cytoplasm. Nucleus. Note=Interaction with PIK3R2 is required for nuclear localization and export.
组织特异性
Expressed ubiquitously.
翻译后修饰
Phosphorylation at Ser-1070 down-regulates lipid kinase activity.
相似性
Belongs to the PI3/PI4-kinase family.
Contains 1 C2 PI3K-type domain.
Contains 1 PI3K-ABD domain.
Contains 1 PI3K-RBD domain.
Contains 1 PI3K/PI4K domain.
Contains 1 PIK helical domain.
功能
Phosphoinositide-3-kinase (PI3K) that phosphorylates PtdIns (Phosphatidylinositol), PtdIns4P (Phosphatidylinositol 4-phosphate) and PtdIns(4,5)P2 (Phosphatidylinositol 4,5-bisphosphate) to generate phosphatidylinositol 3,4,5-trisphosphate (PIP3). PIP3 plays a key role by recruiting PH domain-containing proteins to the membrane, including AKT1 and PDPK1, activating signaling cascades involved in cell growth, survival, proliferation, motility and morphology. Involved in the activation of AKT1 upon stimulation by G-protein coupled receptors (GPCRs) ligands such as CXCL12, sphingosine 1-phosphate, and lysophosphatidic acid. May also act downstream receptor tyrosine kinases. Required in different signaling pathways for stable platelet adhesion and aggregation. Plays a role in platelet activation signaling triggered by GPCRs, alpha-IIb/beta-3 integrins (ITGA2B/ ITGB3) and ITAM (immunoreceptor tyrosine-based activation motif)-bearing receptors such as GP6. Regulates the strength of adhesion of ITGA2B/ ITGB3 activated receptors necessary for the cellular transmission of contractile forces. Required for platelet aggregation induced by F2 (thrombin) and thromboxane A2 (TXA2). Has a role in cell survival. May have a role in cell migration. Involved in the early stage of autophagosome formation. Modulates the intracellular level of PtdIns3P (Phosphatidylinositol 3-phosphate) and activates PIK3C3 kinase activity. May act as a scaffold, independently of its lipid kinase activity to positively regulate autophagy. May have a role in insulin signaling as scaffolding protein in which the lipid kinase activity is not required. May have a kinase-independent function in regulating cell proliferation and in clathrin-mediated endocytosis. Mediator of oncogenic signal in cell lines lacking PTEN. The lipid kinase activity is necessary for its role in oncogenic transformation. Required for the growth of ERBB2 and RAS driven tumors.

标记抗体

暂无标记数据

同靶标产品

暂无同靶标产品

相关文献

提示: 发表研究结果有使用 bsm-52218R 时请让我们知道,以便我们可以引用参考文章。作为回馈,资料提供者将获得我们送上的小礼品。

暂无相关文献

常见问题

暂无常见问题