磷脂酰肌醇激酶p85β重组兔单抗

Rrmab?兔单抗
2026-03-02~2026-04-30,KXJ26032026-03-02~2026-04-30,促销赠品
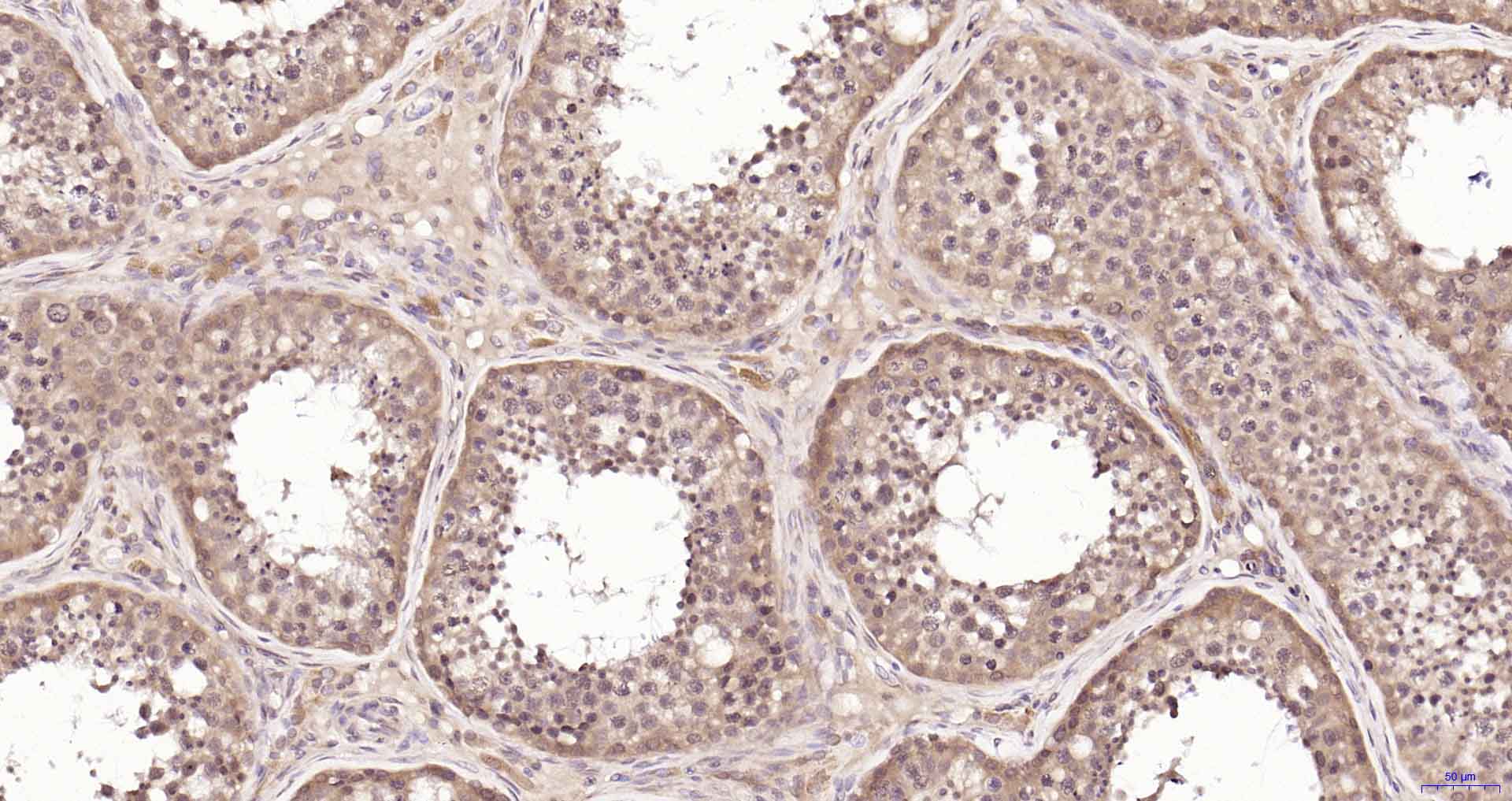
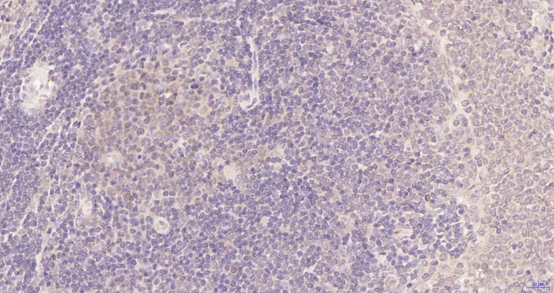
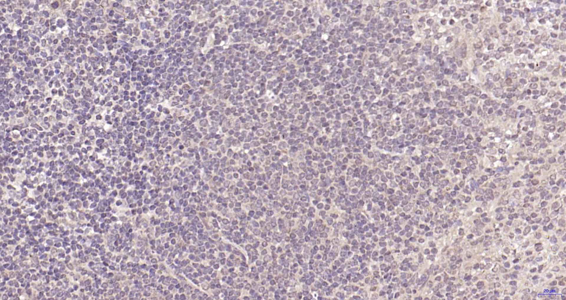
磷脂酰肌醇激酶p85β重组兔单抗
货号:bsm-52217R
产品详情
相关标记
相关产品
相关文献
常见问题

概述

产品编号
bsm-52217R
产品类型
重组兔单抗
英文名称
PIK3R2 Recombinant Rabbit mAb
中文名称
磷脂酰肌醇激酶p85β重组兔单抗
英文别名
MPPH; MPPH1; P85B; p85; p85-BETA; p85beta; P85B_HUMAN; PIK3R2; PI3-kinase regulatory subunit beta; PI3K regulatory subunit beta; PtdIns-3-kinase regulatory subunit beta; Phosphatidylinositol 3-kinase 85 kDa regulatory subunit beta (PI3-kinase subunit p85-beta | PtdIns-3-kinase regulatory subunit p85-beta); P85B_MOUSE; P85B_RAT;
抗体来源
Rabbit
免疫原
A synthesized peptide derived from human PI3 kinase p85 beta: 140-164
亚型
IgG
性状
Liquid
纯化方法
affinity purified by Protein A
克隆类型
Recombinant
克隆号
18A11
理论分子量
82 kDa
浓度
1mg/ml
储存液
0.01M TBS (pH7.4) with 1% BSA, 0.02% Proclin300 and 50% Glycerol.
SWISS
Gene ID
保存条件
Shipped at 4℃. Store at -20℃ for one year. Avoid repeated freeze/thaw cycles.
注意事项
This product as supplied is intended for research use only, not for use in human, therapeutic or diagnostic applications.
产品介绍
磷脂酰肌醇-3-激酶(PI3K)的调节亚单位,一种磷酸化PtdIns(4,5)P2(磷脂酰肌醇4,5-二磷酸)生成磷脂酰肌醇3,4,5-三磷酸(PIP3)的激酶。PIP3通过将含有PH结构域的蛋白(包括AKT1和PDPK1)招募到细胞膜上,激活参与细胞生长、存活、增殖、运动和形态的信号级联,发挥关键作用。通过其SH2结构域与活化(磷酸化)蛋白酪氨酸激酶结合,并充当转接器,介导p110催化单元与质膜的结合。间接调节自噬(出版:23604317). 在肝脏代谢超负荷期间,以内质网应激和/或胰岛素依赖的方式促进XBP1亚型2的核易位,因此在葡萄糖耐量改善中发挥作用。
背景资料
Phosphatidylinositol 3-kinase (PI3K) is a lipid kinase that phosphorylates phosphatidylinositol and similar compounds, creating second messengers important in growth signaling pathways. PI3K functions as a heterodimer of a regulatory and a catalytic subunit. The protein encoded by this gene is a regulatory component of PI3K. Two transcript variants, one protein coding and the other non-protein coding, have been found for this gene. [provided by RefSeq, Dec 2012]
磷脂酰肌醇激酶p85β重组兔单抗磷脂酰肌醇激酶p85β重组兔单抗磷脂酰肌醇激酶p85β重组兔单抗磷脂酰肌醇激酶p85β重组兔单抗磷脂酰肌醇激酶p85β重组兔单抗

产品应用

应用已检合格种属预测种属推荐稀释比例
IHC-PHuman, Mouse, Rat1:100-500
IHC-FHuman, Mouse, Rat1:50-200
IFHuman, Mouse, Rat1:50-200

交叉反应

交叉反应: Human, Mouse, Rat

相关产品

暂无相关产品

靶标

基因名
PIK3R2
蛋白名
Phosphatidylinositol 3-kinase regulatory subunit beta
亚基
Heterodimer of a regulatory subunit PIK3R2 and a p110 catalytic subunit (PIK3CA, PIK3CB or PIK3CD). Interacts with AXL. Interacts with FLT1 (tyrosine-phosphorylated) and FLT4 (tyrosine-phosphorylated). Interacts with NYAP1, NYAP2 and MYO16.
翻译后修饰
Phosphorylated in response to signaling from activated receptor-type protein kinases. Dephosphorylated by PTPRJ.
相似性
Belongs to the PI3K p85 subunit family.
Contains 1 Rho-GAP domain.
Contains 2 SH2 domains.
Contains 1 SH3 domain.
功能
Binds to activated (phosphorylated) protein-tyrosine kinases, through its SH2 domain, and acts as an adapter, mediating the association of the p110 catalytic unit to the plasma membrane.

标记抗体

暂无标记数据

同靶标产品

暂无同靶标产品

相关文献

提示: 发表研究结果有使用 bsm-52217R 时请让我们知道,以便我们可以引用参考文章。作为回馈,资料提供者将获得我们送上的小礼品。

暂无相关文献

常见问题

暂无常见问题