



















| 应用 | 已检合格种属 | 预测种属 | 推荐稀释比例 |
|---|---|---|---|
| WB | Mouse, Rat | Human, Pig | 1:500-2000 |
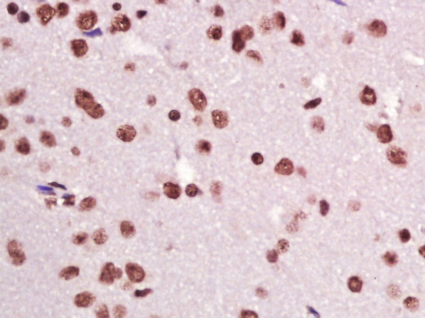
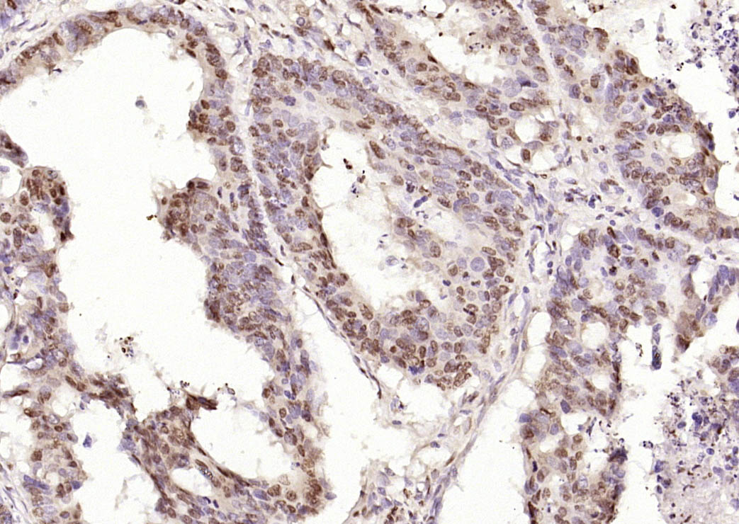
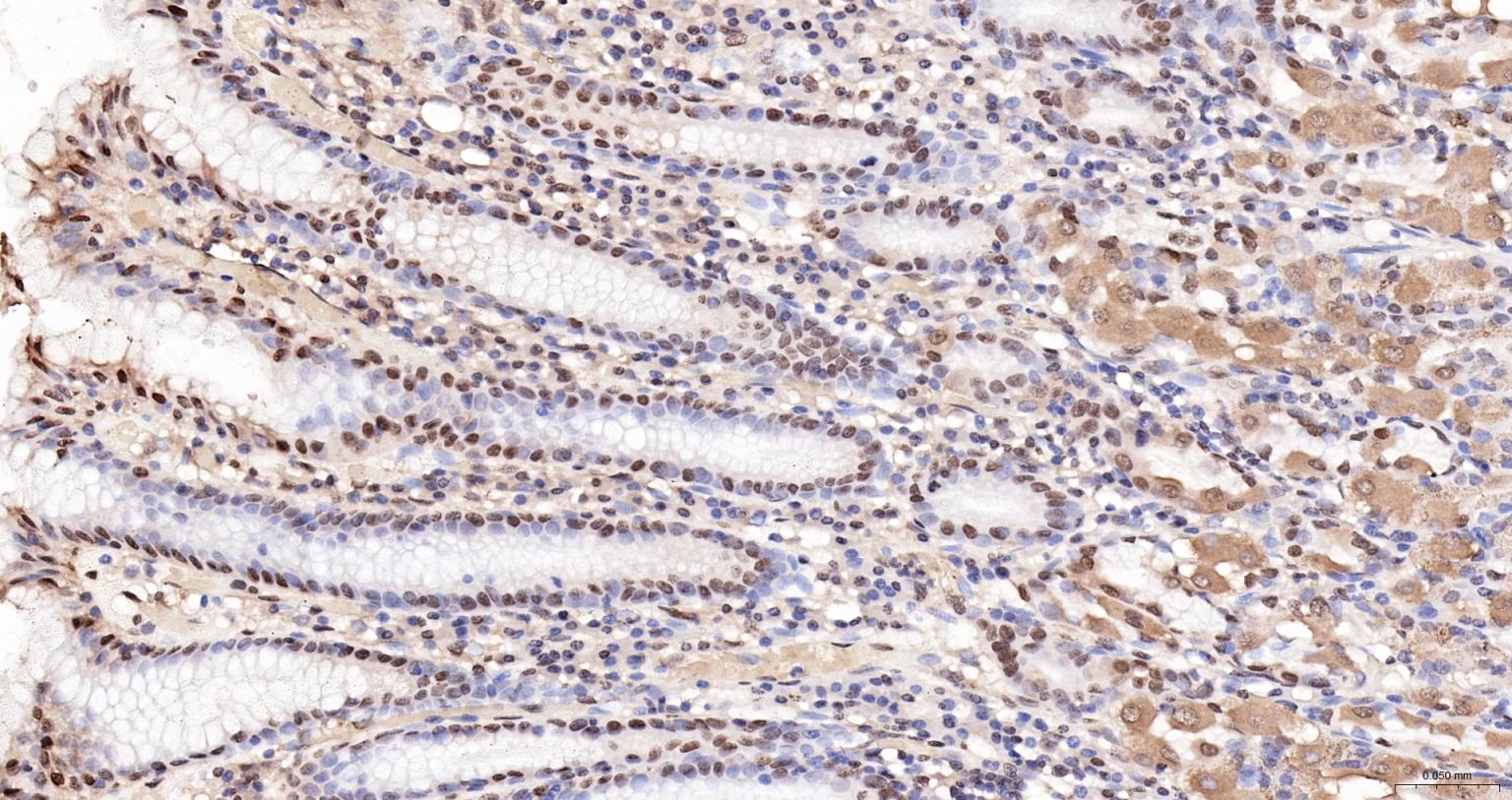
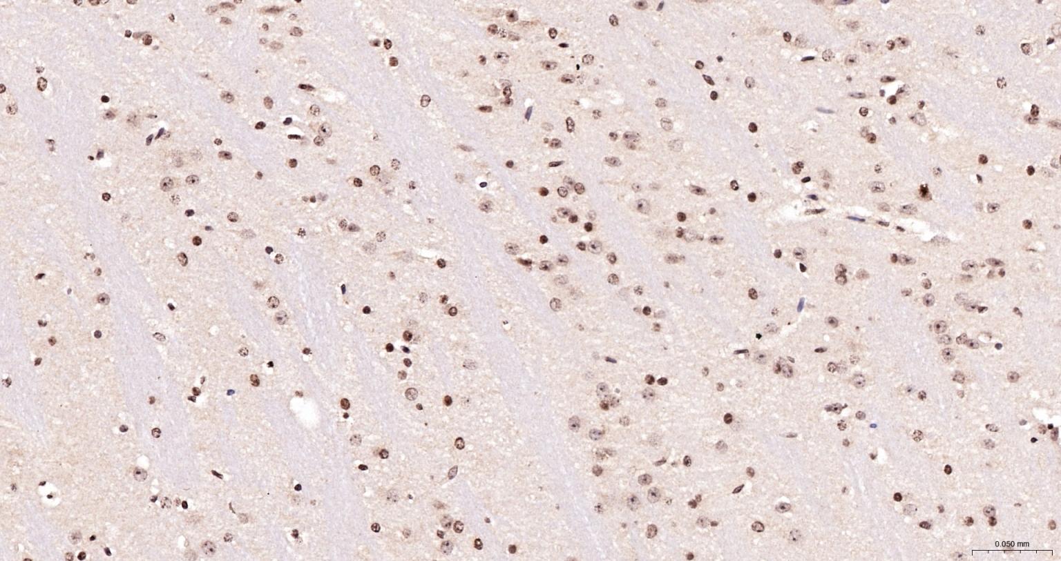
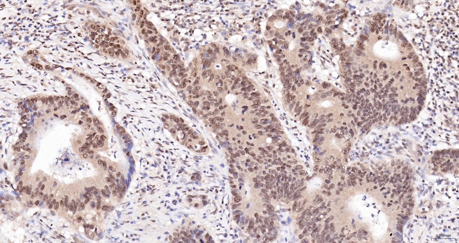
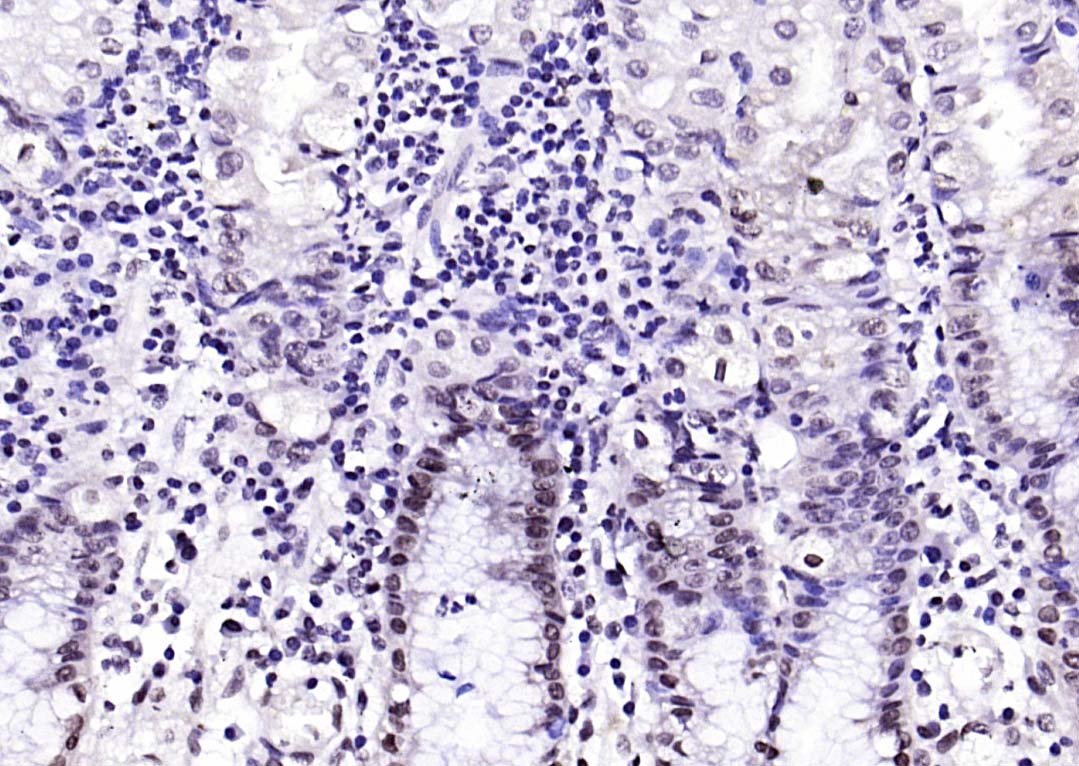
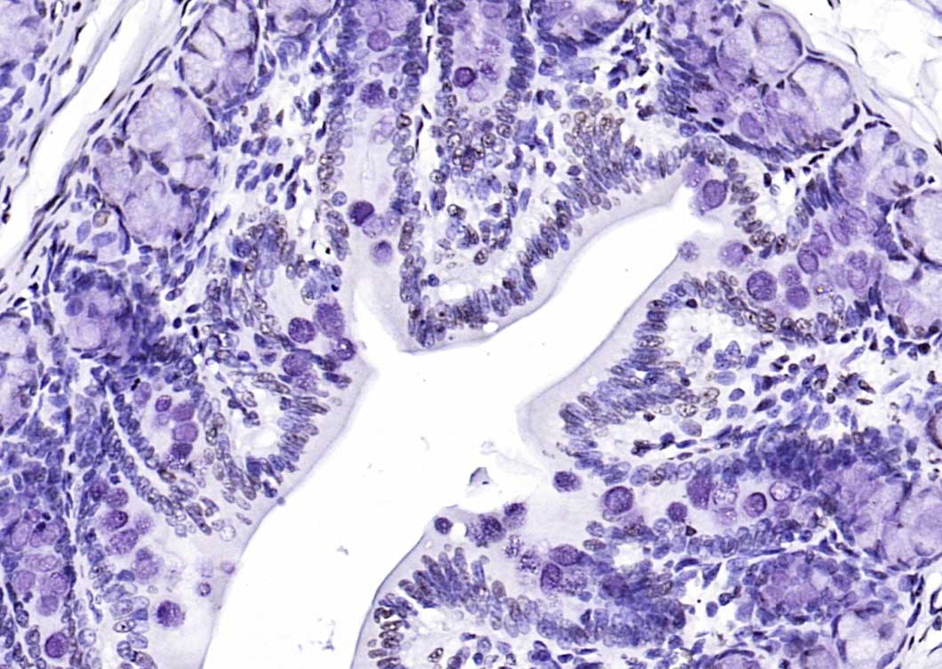
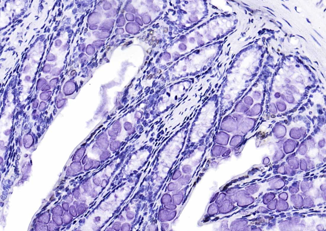
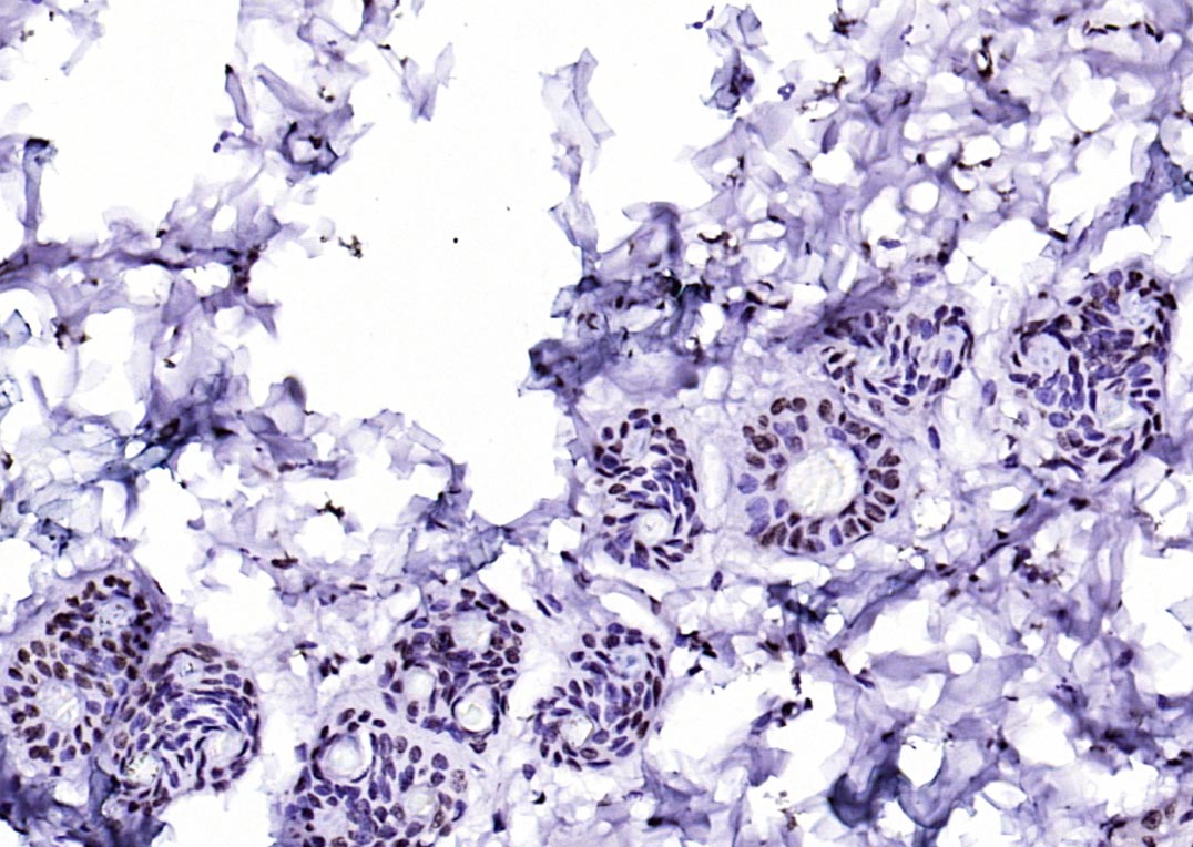
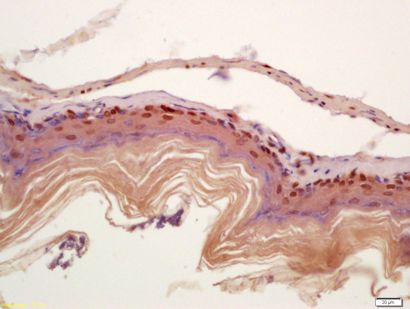
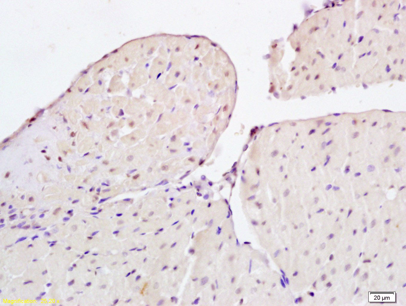
| IHC-P | Human, Mouse, Rat | Pig | 1:100-500 |
| IHC-F | Human, Mouse, Rat | Pig | 1:100-500 |
| IF | Human, Mouse, Rat | Pig | 1:100-500 |
| Flow-Cyt | Human, Mouse | Rat, Pig | 1ug/Test |
| ICC/IF | Human, Mouse, Rat, Pig | 1:50-200 |
交叉反应: Human, Mouse, Rat (predicted: Pig)
暂无相关产品