磷酸化氨基末端激酶1/2/3重组兔单抗

Rrmab?兔单抗
2026-03-02~2026-04-30,KXJ26032026-03-02~2026-04-30,促销赠品
磷酸化氨基末端激酶1/2/3重组兔单抗
货号:bsm-52462R
产品详情
相关标记
相关产品
相关文献
常见问题

概述

产品编号
bsm-52462R
产品类型
磷酸化抗体、重组兔单抗
英文名称
phospho-JNK1/2/3(T183+T183+T221) Recombinant Rabbit mAb
中文名称
磷酸化氨基末端激酶1/2/3重组兔单抗
英文别名
JNK1 & JNK2 & JNK3 (phospho-T183/T183/T221); p-JNK1 & JNK2 & JNK3; phospho-JNK1 & JNK2 & JNK3; JNK1 & JNK2 & JNK3 (phospho-Thr183/Thr183/Thr221); JNK; JNK-46; JNK1; JNK1A2; JNK21B1/2; PRKM8; SAPK1; SAPK1c; MK08_HUMAN; MAPK8; MAP kinase 8; MAPK 8; Stress-activated protein kinase 1c (SAPK1c); Stress-activated protein kinase JNK1; c-Jun N-terminal kinase 1; 2.7.11.24; MK08_MOUSE; MK08_RAT; SAPK gamma; p54 gamma;
抗体来源
Rabbit
免疫原
A synthesized peptide derived from human JNK1 around the phosphorylation site of T183: FMM-pT-PY
亚型
IgG
性状
Liquid
纯化方法
affinity purified by Protein A
克隆类型
Recombinant
克隆号
6C10
理论分子量
42 kDa
浓度
1mg/ml
储存液
0.01M TBS (pH7.4) with 1% BSA, 0.02% Proclin300 and 50% Glycerol.
SWISS
Gene ID
保存条件
Shipped at 4℃. Store at -20℃ for one year. Avoid repeated freeze/thaw cycles.
注意事项
This product as supplied is intended for research use only, not for use in human, therapeutic or diagnostic applications.
产品介绍
磷酸化抗体
背景资料
phosphorylated at the Thr-Pro-Tyr phosphorylation motif instead of the characteristic MAP kinase Thr-Glu-Tyr motif. JNK2 (p54a, SAPK1a), along with JNK1 and JNK3, is thought to play an important role in nuclear signal transduction through its environmental stress activation and subsequent phosphorylation of the nuclear transcription factor p53.
磷酸化氨基末端激酶1/2/3重组兔单抗磷酸化氨基末端激酶1/2/3重组兔单抗磷酸化氨基末端激酶1/2/3重组兔单抗磷酸化氨基末端激酶1/2/3重组兔单抗磷酸化氨基末端激酶1/2/3重组兔单抗磷酸化氨基末端激酶1/2/3重组兔单抗

产品应用

应用已检合格种属预测种属推荐稀释比例
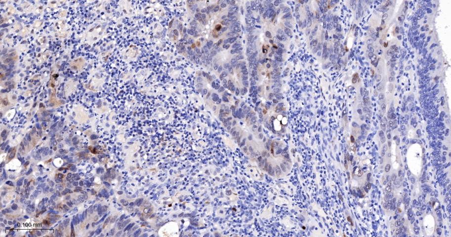
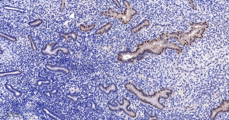
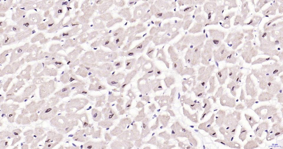
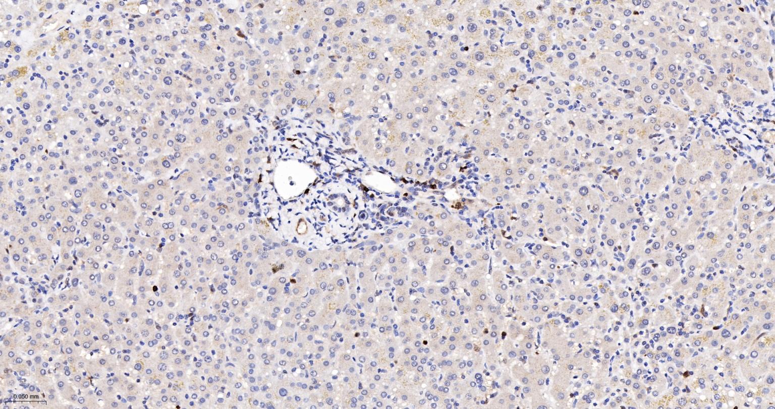
IHC-PHuman1:100-500
IHC-FHuman1:100-500
IFHuman1:100-500
ICC/IFHuman1:50-200

交叉反应

交叉反应: Human

相关产品

暂无相关产品

靶标

基因名
MAPK8
蛋白名
Mitogen-activated protein kinase 8
亚基
Interacts with MECOM and DCLK2. Binds to at least four scaffolding proteins, MAPK8IP1/JIP-1, MAPK8IP2/JIP-2, MAPK8IP3/JIP-3/JSAP1 and SPAG9/MAPK8IP4/JIP-4. These proteins also bind other components of the JNK signaling pathway. Interacts with NFATC4. Interacts with ATF7; the interaction does not phosphorylate ATF7 but acts as a docking site for ATF7-associated partners such as JUN. Interacts with BCL10. Interacts with CTNNB1 and GSK3B.
亚细胞定位
Cytoplasm. Nucleus.
翻译后修饰
Dually phosphorylated on Thr-183 and Tyr-185 by MAP2K7 and MAP2K4, which activates the enzyme. Autophosphorylated in vitro.
相似性
Belongs to the protein kinase superfamily. CMGC Ser/Thr protein kinase family. MAP kinase subfamily.
Contains 1 protein kinase domain.
功能
Serine/threonine-protein kinase involved in various processes such as cell proliferation, differentiation, migration, transformation and programmed cell death. Extracellular stimuli such as proinflammatory cytokines or physical stress stimulate the stress-activated protein kinase/c-Jun N-terminal kinase (SAP/JNK) signaling pathway. In this cascade, two dual specificity kinases MAP2K4/MKK4 and MAP2K7/MKK7 phosphorylate and activate MAPK8/JNK1. In turn, MAPK8/JNK1 phosphorylates a number of transcription factors, primarily components of AP-1 such as JUN, JDP2 and ATF2 and thus regulates AP-1 transcriptional activity. Phosphorylates the replication licensing factor CDT1, inhibiting the interaction between CDT1 and the histone H4 acetylase HBO1 to replication origins. Loss of this interaction abrogates the acetylation required for replication initiation. Promotes stressed cell apoptosis by phosphorylating key regulatory factors including p53/TP53 and Yes-associates protein YAP1. In T-cells, MAPK8 and MAPK9 are required for polarized differentiation of T-helper cells into Th1 cells. Contributes to the survival of erythroid cells by phosphorylating the antagonist of cell death BAD upon EPO stimulation. Mediates starvation-induced BCL2 phosphorylation, BCL2 dissociation from BECN1, and thus activation of autophagy. Phosphorylates STMN2 and hence regulates microtubule dynamics, controlling neurite elongation in cortical neurons. In the developing brain, through its cytoplasmic activity on STMN2, negatively regulates the rate of exit from multipolar stage and of radial migration from the ventricular zone. Phosphorylates several other substrates including heat shock factor protein 4 (HSF4), the deacetylase SIRT1, ELK1, or the E3 ligase ITCH.

标记抗体

暂无标记数据

同靶标产品

暂无同靶标产品

相关文献

提示: 发表研究结果有使用 bsm-52462R 时请让我们知道,以便我们可以引用参考文章。作为回馈,资料提供者将获得我们送上的小礼品。
具体参考文献:bsm-52462R 被引用于10文献中

暂无相关文献

常见问题

暂无常见问题