DNA结合抑制因子1重组兔单抗

Rrmab?兔单抗
2026-03-02~2026-04-30,KXJ26032026-03-02~2026-04-30,促销赠品
DNA结合抑制因子1重组兔单抗
货号:bsm-54101R
产品详情
相关标记
相关产品
相关文献
常见问题

概述

产品编号
bsm-54101R
产品类型
重组兔单抗
英文名称
ID1 Recombinant Rabbit mAb
中文名称
DNA结合抑制因子1重组兔单抗
英文别名
ID; bHLHb24; D2Wsu140e; Idb1; ID125A; ID1_HUMAN; ID1; Class B basic helix-loop-helix protein 24 (bHLHb24); Inhibitor of DNA binding 1; Inhibitor of differentiation 1; ID1_MOUSE; Id-1; ID1_RAT;
抗体来源
Rabbit
免疫原
Recombinant human ID1 protein
亚型
IgG
性状
Liquid
纯化方法
affinity purified by Protein A
克隆类型
Recombinant
克隆号
5F1
理论分子量
16 kDa
浓度
1mg/ml
储存液
0.01M TBS (pH7.4) with 1% BSA, 0.02% Proclin300 and 50% Glycerol.
SWISS
Gene ID
保存条件
Store at -20℃ for one year. Avoid repeated freeze/thaw cycles. The lyophilized antibody is stable at room temperature for at least one month and for greater than a year when kept at -20°C. When reconstituted in sterile pH 7.4 0.01M PBS or diluent of antibody the antibody is stable for at least two weeks at 2-4℃.
注意事项
This product as supplied is intended for research use only, not for use in human, therapeutic or diagnostic applications.
背景资料
ID proteins contain a helix-loop-helix (HLH) motif and regulate tissue-specific transcription within several cell lineages. They do not bind DNA directly, but inhibit lineage commitment by binding basic helix-loop-helix (bHLH) transcription factors through their HLH motif. ID proteins contribute to cell growth, senescence, differentiation and angiogenesis. Id1 mRNA is highly expressed in heart, lung and kidney and has lower expression in brain and liver. Two transcript variants encoding different isoforms have been found for this gene.
DNA结合抑制因子1重组兔单抗DNA结合抑制因子1重组兔单抗DNA结合抑制因子1重组兔单抗DNA结合抑制因子1重组兔单抗DNA结合抑制因子1重组兔单抗

产品应用

应用已检合格种属预测种属推荐稀释比例
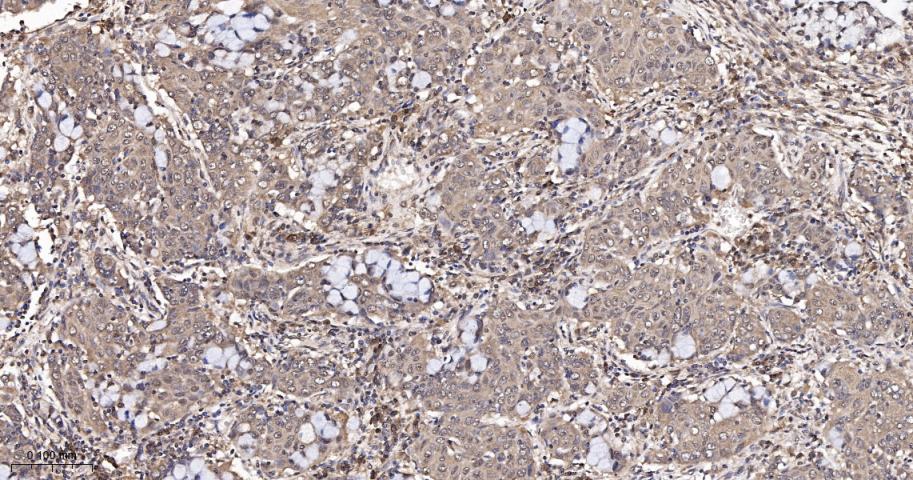
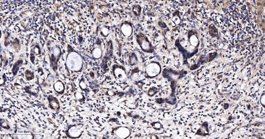
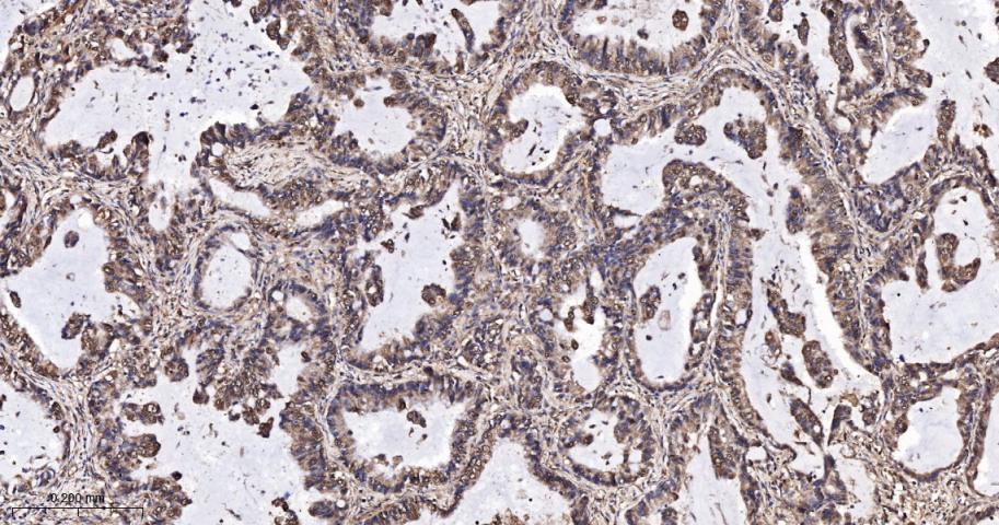
IHC-PHuman1:50-200
IHC-FHuman1:50-200
IFHuman1:50-200
Flow-CytHuman1:50-100
ICC/IFHuman1:50-200

交叉反应

交叉反应: Human

相关产品

暂无相关产品

靶标

基因名
ID1
蛋白名
DNA-binding protein inhibitor ID-1
亚基
Heterodimer with other HLH proteins. Interacts with COPS5.
亚细胞定位
Cytoplasm. Nucleus.
相似性
Contains 1 bHLH (basic helix-loop-helix) domain.
功能
ID (inhibitor of DNA binding) HLH proteins lack a basic DNA-binding domain but are able to form heterodimers with other HLH proteins, thereby inhibiting DNA binding.

标记抗体

暂无标记数据

同靶标产品

暂无同靶标产品

相关文献

提示: 发表研究结果有使用 bsm-54101R 时请让我们知道,以便我们可以引用参考文章。作为回馈,资料提供者将获得我们送上的小礼品。

暂无相关文献

常见问题

暂无常见问题