Cancer > Cancer Metabolism > Response to hypoxia
Immunology > Adaptive Immunity > Regulatory T Cells
Immunology > Immune System Diseases > Antiviral Signaling > HIV-related
Immunology > Innate Immunity > Chemokines > Alpha Chemokine Rec. (CXCR)
Metabolism > Pathways and Processes > Metabolism processes > Hypoxia
Microbiology > Interspecies Interaction > Host Virus Interaction
Microbiology > Organism > Virus > RNA Virus > ssRNA positive strand virus > SARS Coronavirus
Neuroscience > Neurology process > Growth and Development > Axonal Guidance Proteins
Stem Cells > Endothelial Progenitors > Endothelial Markers









| 应用 | 已检合格种属 | 预测种属 | 推荐稀释比例 |
|---|---|---|---|
| WB | Mouse | Human, Rat | 1:500-2000 |
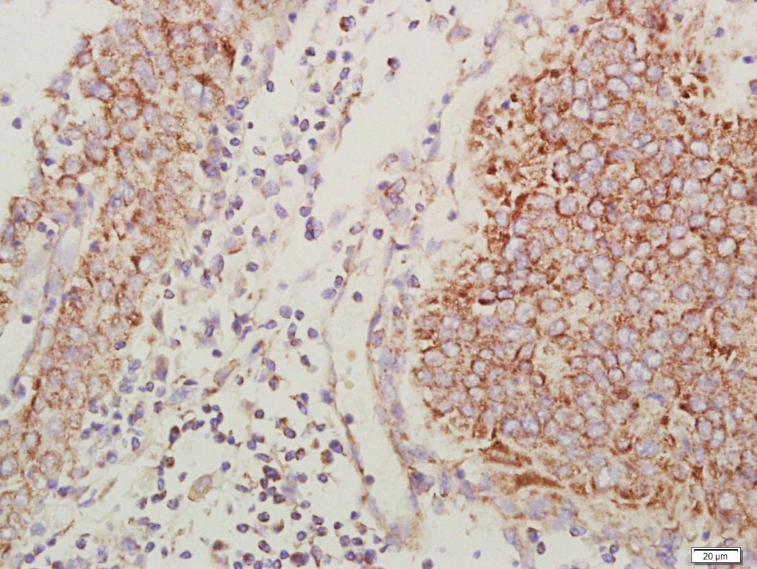
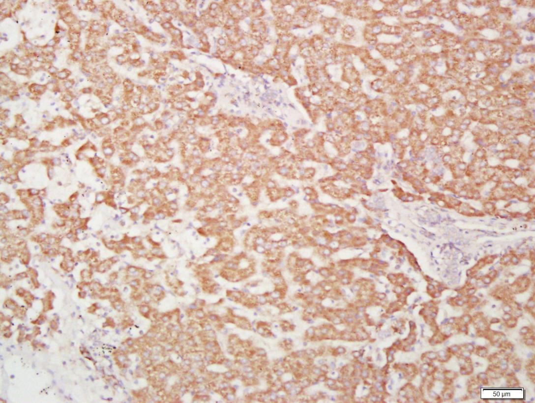
| IHC-P | Human, Mouse, Rat | 1:100-500 | |
| IHC-F | Human, Mouse, Rat | 1:100-500 | |
| IF | Human, Mouse, Rat | 1:100-500 |
交叉反应: Human, Mouse, Rat
暂无相关产品