CD3E重组兔单抗

Rrmab?兔单抗
2026-03-02~2026-04-30,KXJ26032026-03-02~2026-04-30,促销赠品
CD3E重组兔单抗
货号:bsm-60635R
产品详情
相关标记
相关产品
相关文献
常见问题

概述

产品编号
bsm-60635R
产品类型
重组兔单抗、mIHC精品抗体
英文名称
CD3E Recombinant Rabbit mAb
中文名称
CD3E重组兔单抗
英文别名
CD3epsilon; IMD18; T3E; TCRE; CD3; CD3E_HUMAN; CD3E; T-cell surface antigen T3/Leu-4 epsilon chain; CD3E_MOUSE;
抗体来源
Rabbit
免疫原
A synthesized peptide derived from human CD3 epsilon: 150-200
亚型
IgG
性状
Liquid
纯化方法
affinity purified by Protein A
克隆类型
Recombinant
克隆号
12A3
理论分子量
20 kDa
浓度
1mg/ml
储存液
0.01M TBS (pH7.4) with 1% BSA, 0.02% Proclin300 and 50% Glycerol.
SWISS
Gene ID
保存条件
Shipped at 4℃. Store at -20℃ for one year. Avoid repeated freeze/thaw cycles.
注意事项
This product as supplied is intended for research use only, not for use in human, therapeutic or diagnostic applications.
产品介绍
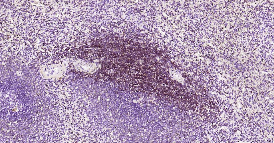
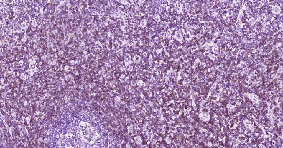
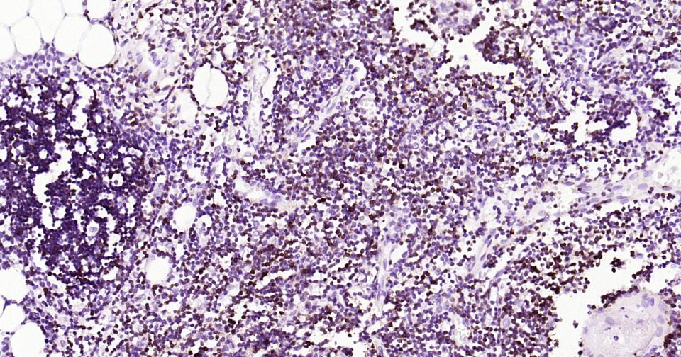
CD3 epsilon 参与T淋巴细胞介导,主要用于免疫排斥方面的研究.
背景资料
CD3e molecule, epsilon is also known as CD3E, is a T-cell surface single-pass type I membrane glycoprotein. CD3E contains 1 Ig-like (immunoglobulin-like) domain and 1 ITAM domain. CD3E, together with CD3-gamma, CD3-delta and CD3-zeta, and the T-cell receptor alpha/beta and gamma/delta heterodimers, forms the T cell receptor-CD3 complex. This complex plays an important role in coupling antigen recognition to several intracellular signal-transduction pathways. The genes encoding the epsilon, gamma and delta polypeptides are located in the same cluster on chromosome 11. The epsilon polypeptide plays an essential role in T-cell development. CD3E plays an essential role in T-cell development, and defects in CD3E gene cause severe immunodeficiency. CD3E gene has also been linked to a susceptibility to type I diabetes in women. CD3E has been shown to interact with TOP2B, CD3EAP and NCK2.
CD3E重组兔单抗CD3E重组兔单抗CD3E重组兔单抗

产品应用

应用已检合格种属预测种属推荐稀释比例
IHC-PHuman1:100-500
IHC-FHuman1:100-500
IFHuman1:100-500

交叉反应

交叉反应: Human

相关产品

暂无相关产品

靶标

基因名
CD3E
蛋白名
T-cell surface glycoprotein CD3 epsilon chain
亚基
he TCR/CD3 complex of T-lymphocytes consists of either a TCR alpha/beta or TCR gamma/delta heterodimer coexpressed at the cell surface with the invariant subunits of CD3 labeled gamma, delta, epsilon, zeta, and eta.
亚细胞定位
Membrane; Single-pass type I membrane protein.
相似性
Contains 1 Ig-like (immunoglobulin-like) domain.
Contains 1 ITAM domain.
功能
The CD3 complex mediates signal transduction.

标记抗体

暂无标记数据

同靶标产品

暂无同靶标产品

相关文献

提示: 发表研究结果有使用 bsm-60635R 时请让我们知道,以便我们可以引用参考文章。作为回馈,资料提供者将获得我们送上的小礼品。

暂无相关文献

常见问题

暂无常见问题