Collagen III Rabbit pAb (一抗) - WB,IHC-P,IHC-F,IF,ICC/IF | Bioss

2026-05-01~2026-06-30,AB2605
Collagen III Rabbit pAb (一抗) - WB,IHC-P,IHC-F,IF,ICC/IF | Bioss
货号:bs-0549R
产品详情
相关标记
相关产品
相关文献
常见问题

概述

产品编号
bs-0549R
产品类型
mIHC精品抗体
英文名称
Collagen III Rabbit pAb
中文名称
Ⅲ型胶原蛋白/胶原蛋白3/3型胶原蛋白/III型胶原抗体
英文别名
EDS4A; EDSVASC; PMGEDSV; Col3a-1; Tsk-2; Tsk2; CO3A1_BOVIN; COL3A1; CO3A1_HUMAN; CO3A1_MOUSE; CO3A1_RAT; collagen type III alpha 1 chain; Ehlers-Danlos syndrome type IV, autosomal dominant; collagen, type III, alpha 1
抗体来源
Rabbit
免疫原
KLH conjugated synthetic peptide derived from human Collagen alpha 1(III) chain: 1301-1400/1466
亚型
IgG
性状
Liquid
纯化方法
affinity purified by Protein A
克隆类型
Polyclonal
理论分子量
117 kDa
检测分子量
150-200 kDa
浓度
1mg/ml
储存液
0.01M TBS (pH7.4) with 1% BSA, 0.02% Proclin300 and 50% Glycerol.
SWISS
Gene ID
保存条件
Shipped at 4℃. Store at -20℃ for one year. Avoid repeated freeze/thaw cycles.
注意事项
This product as supplied is intended for research use only, not for use in human, therapeutic or diagnostic applications.
背景资料
The extensive family of COL gene products (collagens) is composed of several chain types, including fibril-forming interstitial collagens (types I, II, III and V) and basement membrane collagens (type IV), each type containing multiple isoforms. Collagens are fibrous, extracellular matrix proteins with high tensile strength and are the major components of connective tissue, such as tendons and cartilage. All collagens contain a triple helix domain and frequently show lateral self-association in order to form complex connective tissues. Several collagens also play a role in cell adhesion, important for maintaining normal tissue architecture and function.

This gene encodes the pro-alpha1 chains of type III collagen, a fibrillar collagen that is found in extensible connective tissues such as skin, lung, uterus, intestine and the vascular system, frequently in association with type I collagen. Mutations in this gene are associated with Ehlers-Danlos syndrome types IV, and with aortic and arterial aneurysms. Two transcripts, resulting from the use of alternate polyadenylation signals, have been identified for this gene.
Ⅲ型胶原蛋白/胶原蛋白3/3型胶原蛋白/III型胶原抗体-bs-0549RⅢ型胶原蛋白/胶原蛋白3/3型胶原蛋白/III型胶原抗体-bs-0549RⅢ型胶原蛋白/胶原蛋白3/3型胶原蛋白/III型胶原抗体-bs-0549RⅢ型胶原蛋白/胶原蛋白3/3型胶原蛋白/III型胶原抗体-bs-0549RⅢ型胶原蛋白/胶原蛋白3/3型胶原蛋白/III型胶原抗体-bs-0549RⅢ型胶原蛋白/胶原蛋白3/3型胶原蛋白/III型胶原抗体-bs-0549RⅢ型胶原蛋白/胶原蛋白3/3型胶原蛋白/III型胶原抗体-bs-0549RⅢ型胶原蛋白/胶原蛋白3/3型胶原蛋白/III型胶原抗体-bs-0549RⅢ型胶原蛋白/胶原蛋白3/3型胶原蛋白/III型胶原抗体-bs-0549RⅢ型胶原蛋白/胶原蛋白3/3型胶原蛋白/III型胶原抗体-bs-0549RⅢ型胶原蛋白/胶原蛋白3/3型胶原蛋白/III型胶原抗体-bs-0549RⅢ型胶原蛋白/胶原蛋白3/3型胶原蛋白/III型胶原抗体-bs-0549RⅢ型胶原蛋白/胶原蛋白3/3型胶原蛋白/III型胶原抗体-bs-0549RⅢ型胶原蛋白/胶原蛋白3/3型胶原蛋白/III型胶原抗体-bs-0549RⅢ型胶原蛋白/胶原蛋白3/3型胶原蛋白/III型胶原抗体-bs-0549RⅢ型胶原蛋白/胶原蛋白3/3型胶原蛋白/III型胶原抗体-bs-0549RⅢ型胶原蛋白/胶原蛋白3/3型胶原蛋白/III型胶原抗体-bs-0549RⅢ型胶原蛋白/胶原蛋白3/3型胶原蛋白/III型胶原抗体-bs-0549R

产品应用

应用已检合格种属预测种属推荐稀释比例
WBHuman, Mouse, Rat1:500-2000
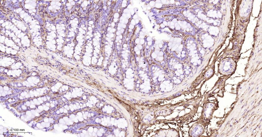
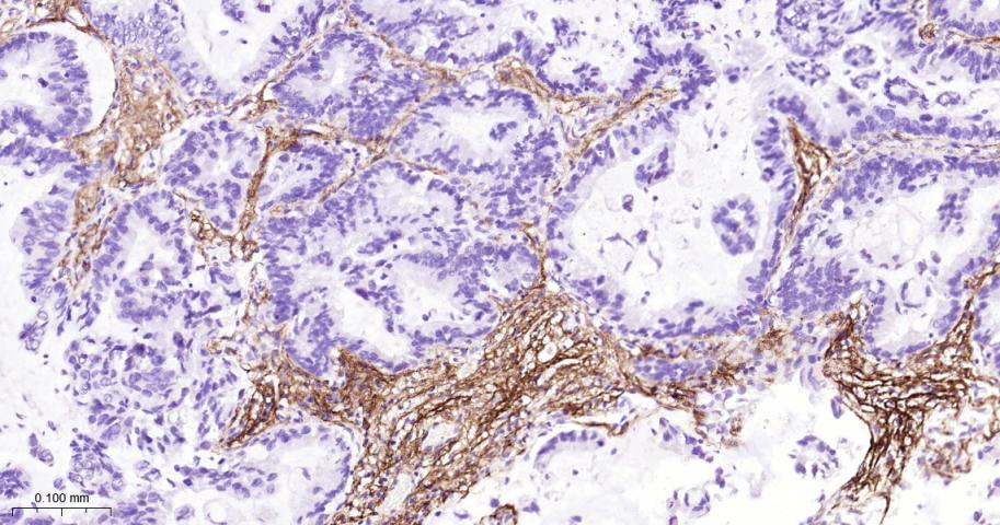
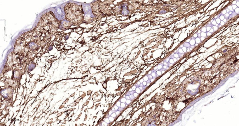
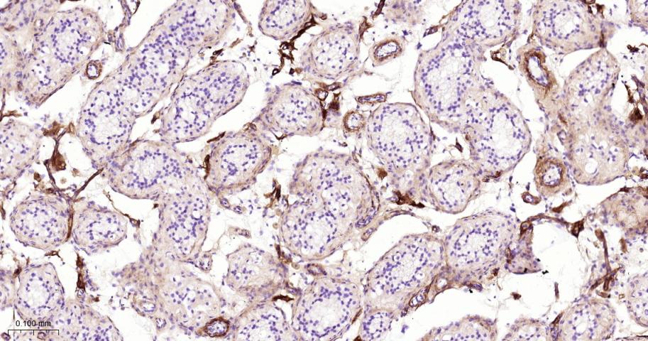
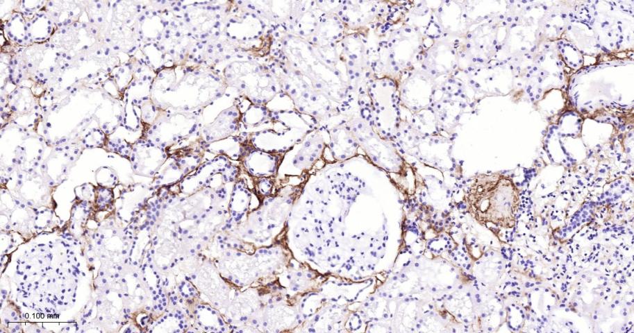
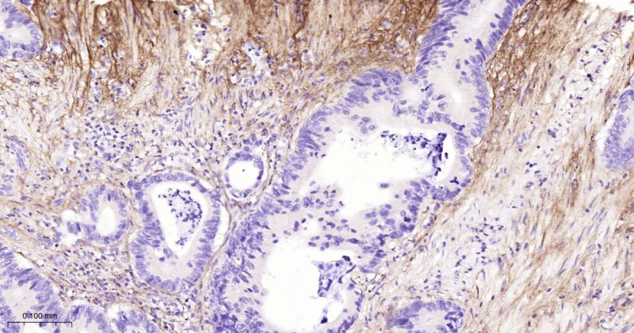
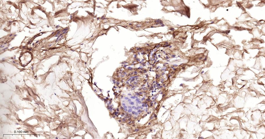
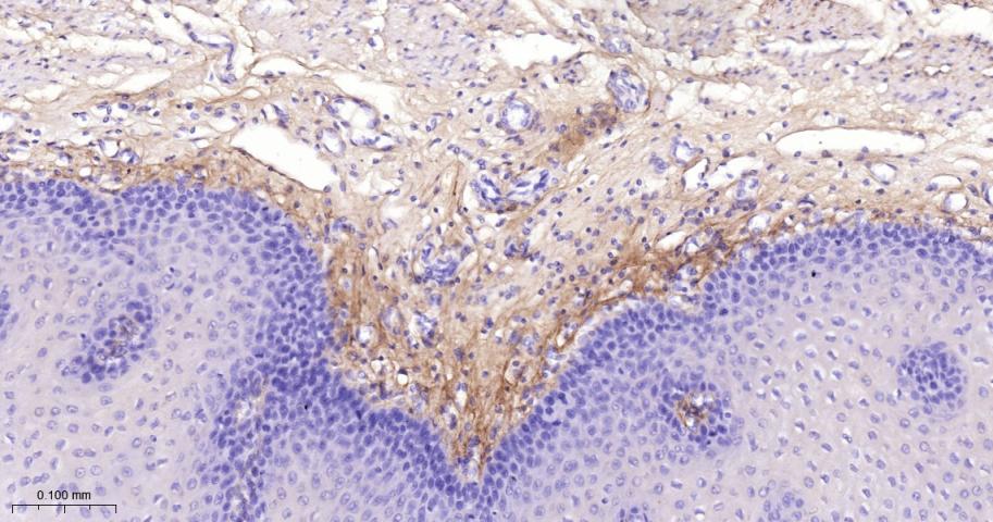
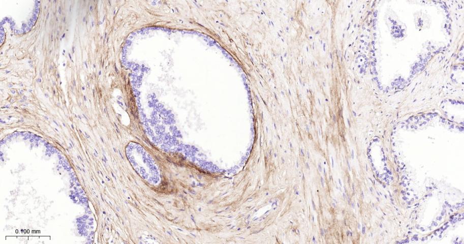
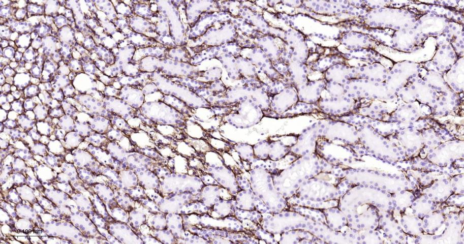
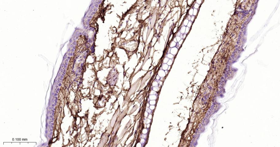
IHC-PHuman, Mouse, Rat1:100-500
IHC-FHuman, Mouse, Rat1:100-500
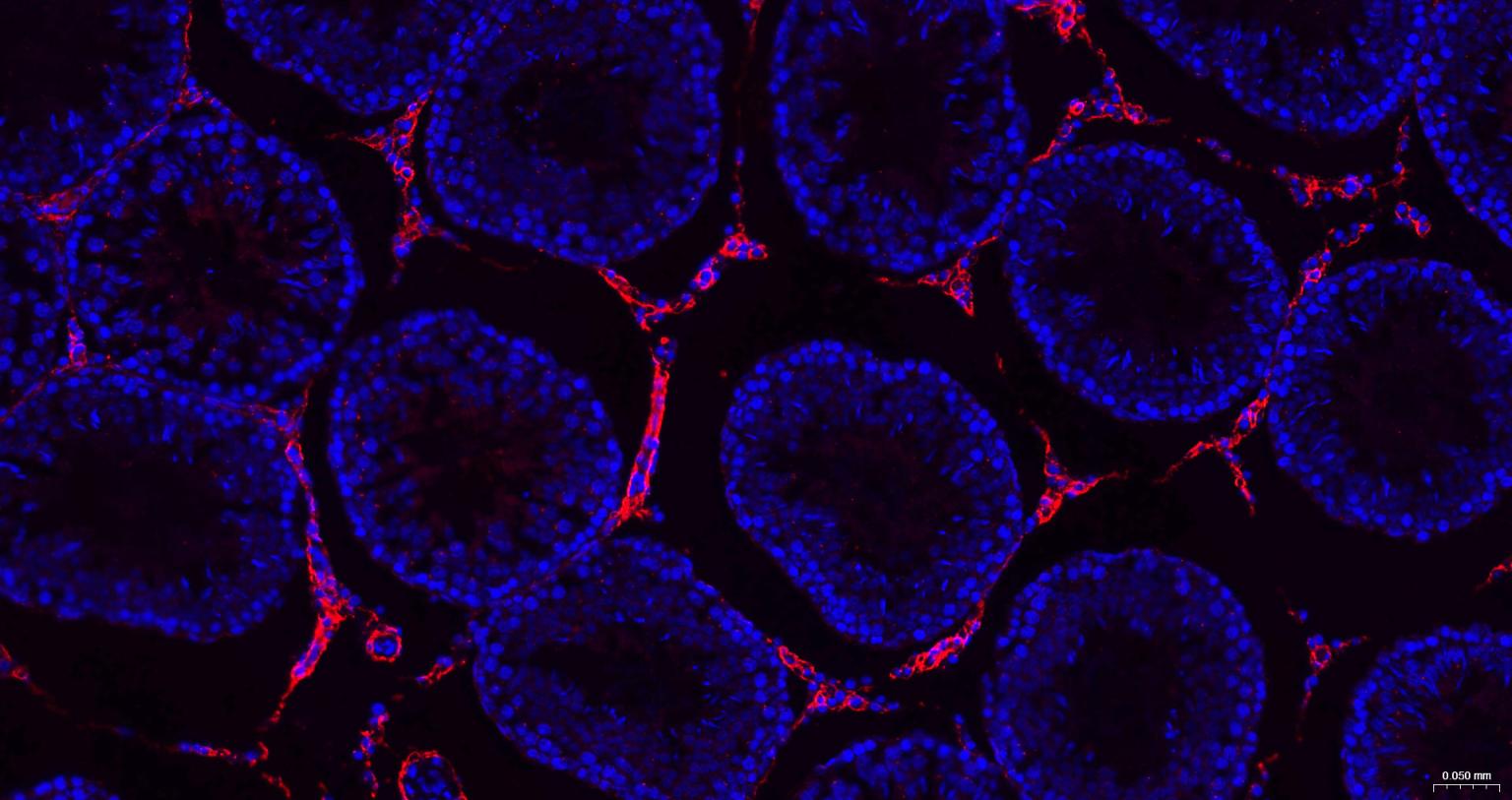
IFHuman, Mouse, Rat1:100-500
ICC/IFHumanMouse, Rat1:50-200

交叉反应

交叉反应: Human, Mouse, Rat

相关产品

暂无相关产品

靶标

基因名
COL3A1
蛋白名
Collagen alpha-1(III) chain
亚基
Trimers of identical alpha 1(III) chains. The chains are linked to each other by interchain disulfide bonds. Trimers are also cross-linked via hydroxylysines.
亚细胞定位
Secreted, extracellular space, extracellular matrix.
翻译后修饰
Proline residues at the third position of the tripeptide repeating unit (G-X-Y) are hydroxylated in some or all of the chains.
O-linked glycan consists of a Glc-Gal disaccharide bound to the oxygen atom of a post-translationally added hydroxyl group.
疾病
Defects in COL3A1 are a cause of Ehlers-Danlos syndrome type 3 (EDS3) [MIM:130020]; also known as benign hypermobility syndrome. EDS is a connective tissue disorder characterized by hyperextensible skin, atrophic cutaneous scars due to tissue fragility and joint hyperlaxity. EDS3 is a form of Ehlers-Danlos syndrome characterized by marked joint hyperextensibility without skeletal deformity.
Defects in COL3A1 are the cause of Ehlers-Danlos syndrome type 4 (EDS4) [MIM:130050]. EDS is a connective tissue disorder characterized by hyperextensible skin, atrophic cutaneous scars due to tissue fragility and joint hyperlaxity. EDS4 is the most severe form of the disease. It is characterized by the joint and dermal manifestations as in other forms of the syndrome, characteristic facial features (acrogeria) in most patients, and by proneness to spontaneous rupture of bowel and large arteries. The vascular complications may affect all anatomical areas.
Defects in COL3A1 are a cause of susceptibility to aortic aneurysm abdominal (AAA) [MIM:100070]. AAA is a common multifactorial disorder characterized by permanent dilation of the abdominal aorta, usually due to degenerative changes in the aortic wall. Histologically, AAA is characterized by signs of chronic inflammation, destructive remodeling of the extracellular matrix, and depletion of vascular smooth muscle cells.
相似性
Belongs to the fibrillar collagen family.
Contains 1 fibrillar collagen NC1 domain.
Contains 1 VWFC domain.
功能
Collagen type III occurs in most soft connective tissues along with type I collagen.

同靶标产品

相关文献

提示: 发表研究结果有使用 bs-0549R 时请让我们知道,以便我们可以引用参考文章。作为回馈,资料提供者将获得我们送上的小礼品。
具体参考文献:bs-0549R 被引用于67文献中

常见问题