连环蛋白delta-1重组兔单抗

Rrmab?兔单抗
2026-03-02~2026-04-30,KXJ26032026-03-02~2026-04-30,促销赠品
连环蛋白delta-1重组兔单抗
货号:bsm-60229R
产品详情
相关标记
相关产品
相关文献
常见问题

概述

产品编号
bsm-60229R
产品类型
重组兔单抗、mIHC精品抗体
英文名称
CTNND1 Recombinant Rabbit mAb
中文名称
连环蛋白delta-1重组兔单抗
英文别名
BCDS2; CAS; CTNND; P120CAS; P120CTN; p120; p120(CAS); p120(CTN); Catns; mKIAA0384; CTND1_HUMAN; CTNND1; Cadherin-associated Src substrate (CAS); p120 catenin (p120(ctn)); KIAA0384; CTND1_MOUSE;
抗体来源
Rabbit
免疫原
A synthesized peptide derived from human delta Catenin: 900-968
亚型
IgG
性状
Liquid
纯化方法
affinity purified by Protein A
克隆类型
Recombinant
克隆号
G11E8
理论分子量
106 kDa
浓度
1mg/ml
储存液
0.01M TBS (pH7.4) with 1% BSA, 0.02% Proclin300 and 50% Glycerol.
保存条件
Shipped at 4℃. Store at -20℃ for one year. Avoid repeated freeze/thaw cycles.
注意事项
This product as supplied is intended for research use only, not for use in human, therapeutic or diagnostic applications.
产品介绍
p120-连环素也可能参与细胞侵入力调节.
背景资料
Binds to and inhibits the transcriptional repressor ZBTB33, which may lead to activation of target genes of the Wnt signaling pathway (By similarity). May associate with and regulate the cell adhesion properties of both C- and E-cadherins. Implicated both in cell transformation by SRC and in ligand-induced receptor signaling through the EGF, PDGF, CSF-1 and ERBB2 receptors. Promotes GLIS2 C-terminal cleavage.
连环蛋白delta-1重组兔单抗连环蛋白delta-1重组兔单抗连环蛋白delta-1重组兔单抗连环蛋白delta-1重组兔单抗连环蛋白delta-1重组兔单抗连环蛋白delta-1重组兔单抗连环蛋白delta-1重组兔单抗连环蛋白delta-1重组兔单抗连环蛋白delta-1重组兔单抗连环蛋白delta-1重组兔单抗连环蛋白delta-1重组兔单抗连环蛋白delta-1重组兔单抗连环蛋白delta-1重组兔单抗连环蛋白delta-1重组兔单抗连环蛋白delta-1重组兔单抗连环蛋白delta-1重组兔单抗连环蛋白delta-1重组兔单抗连环蛋白delta-1重组兔单抗

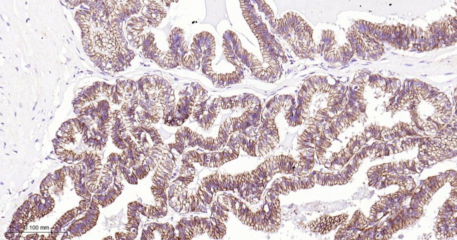
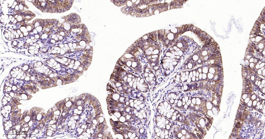
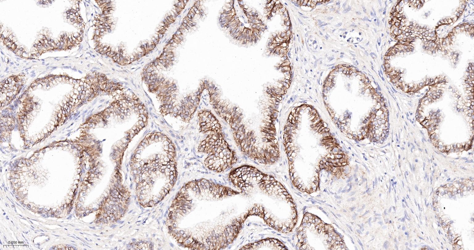
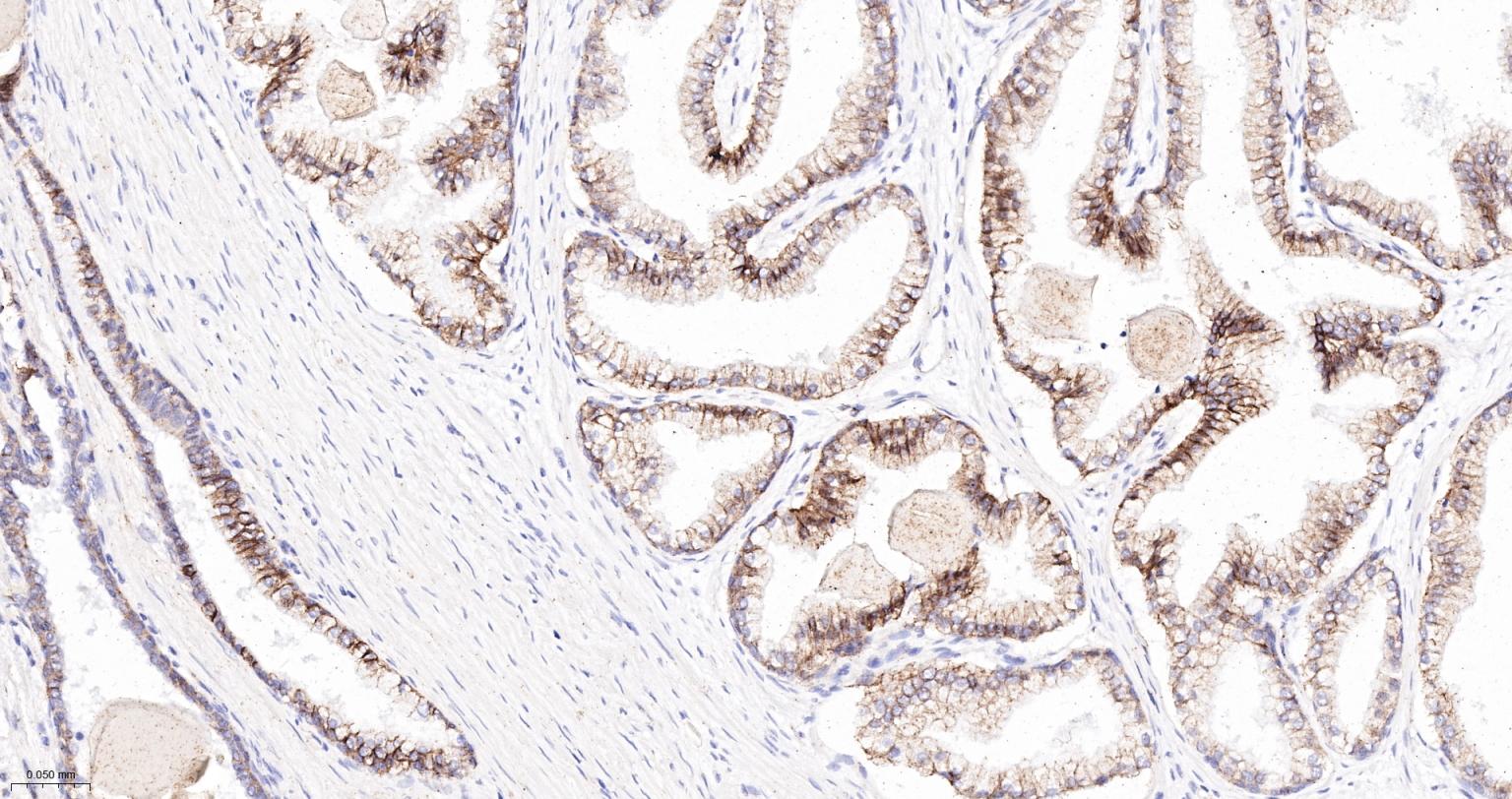
产品应用

应用已检合格种属预测种属推荐稀释比例
WBHumanMouse, Rat1:1000-2000
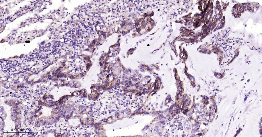
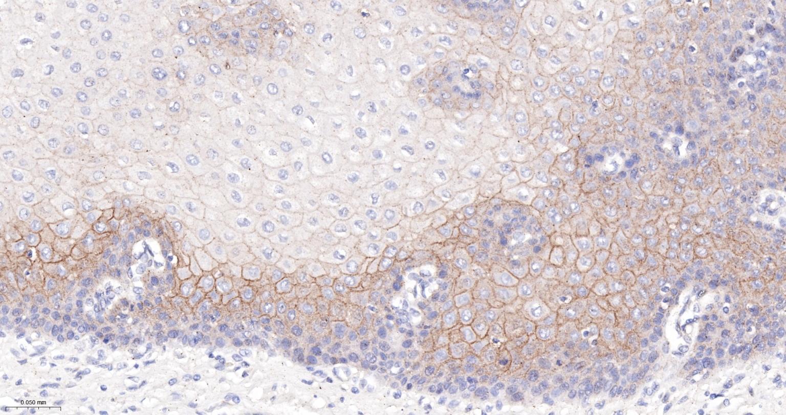
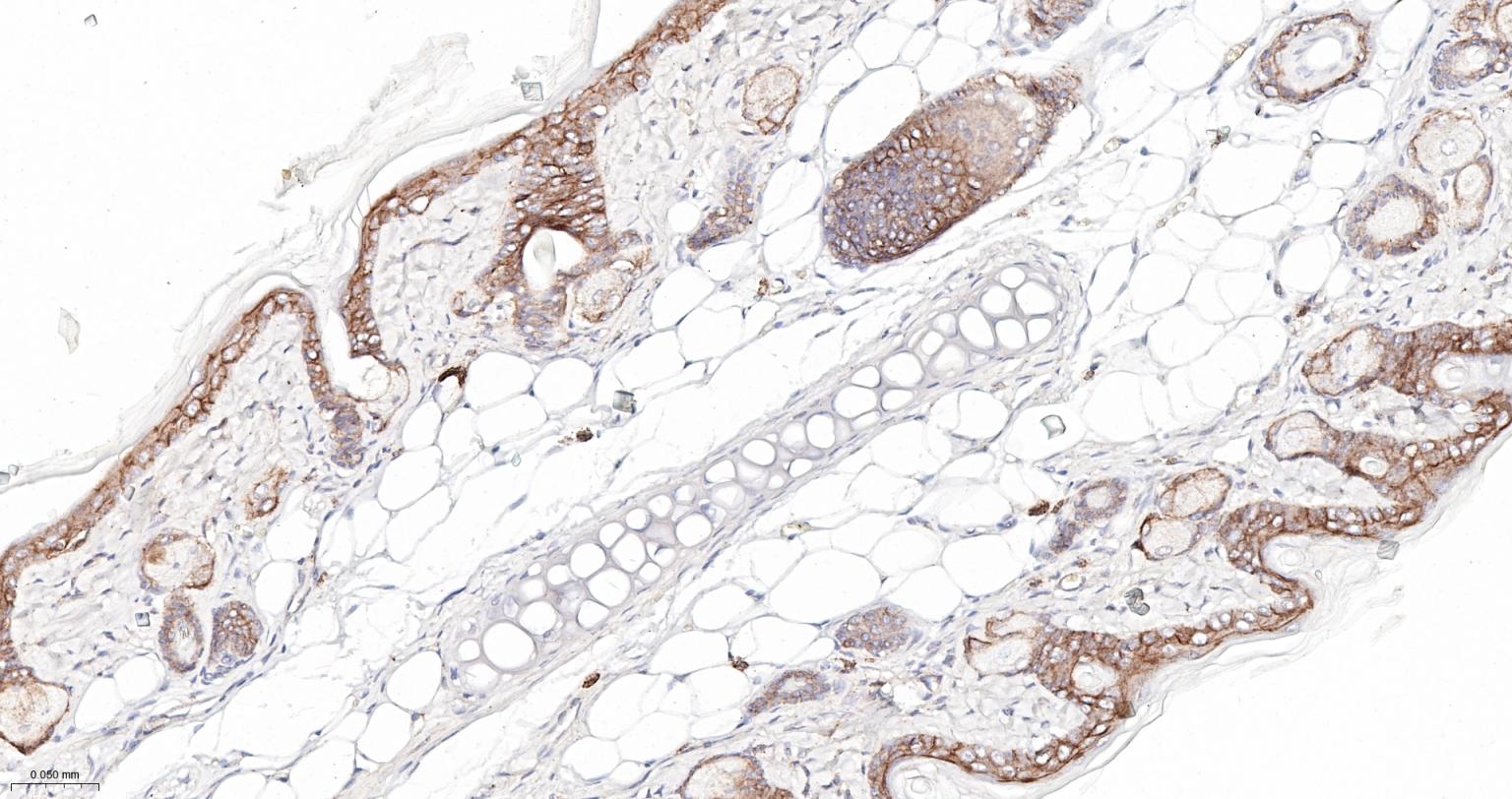
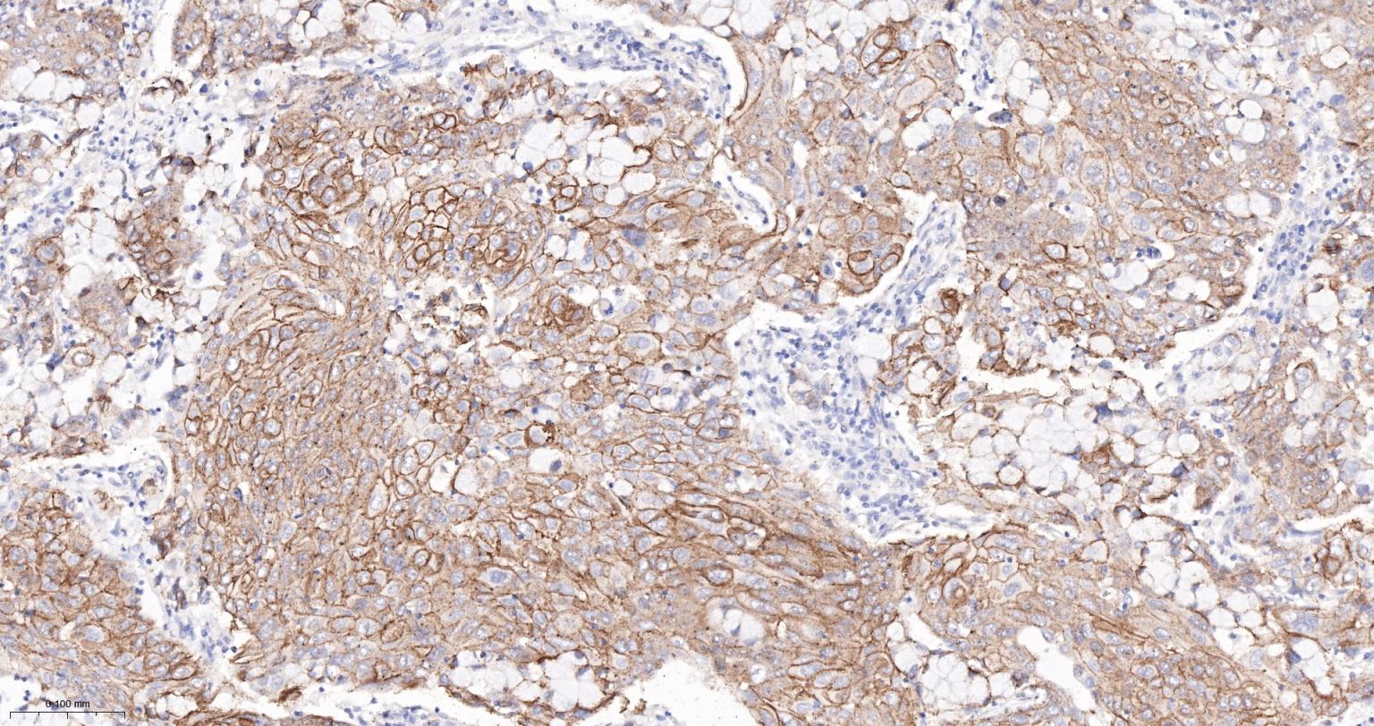
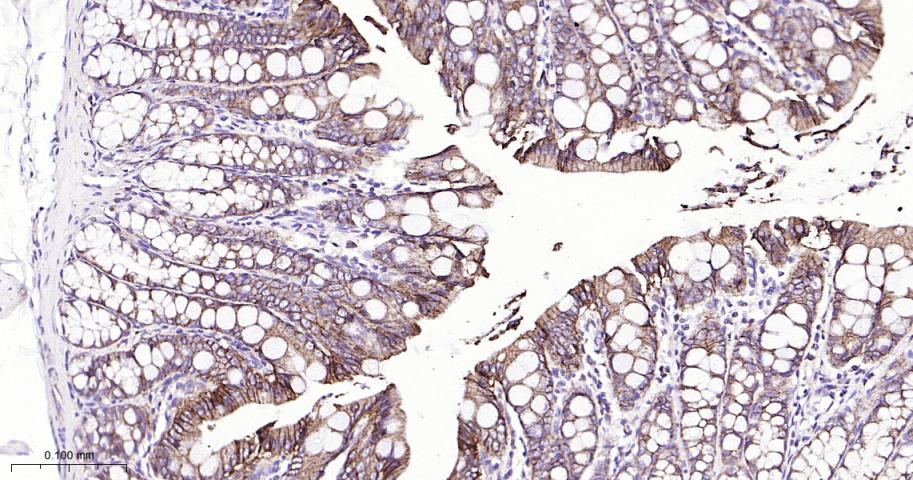
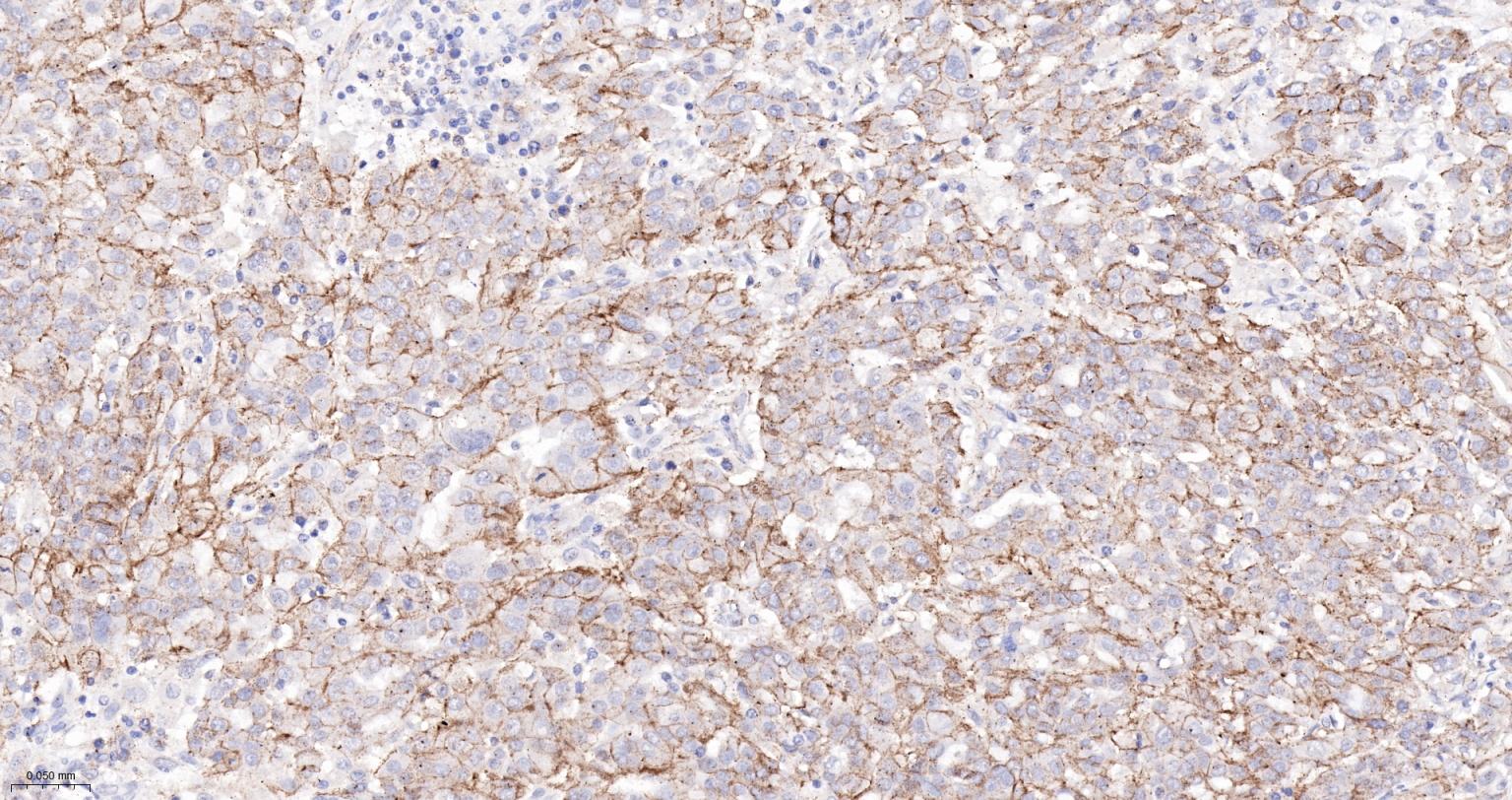
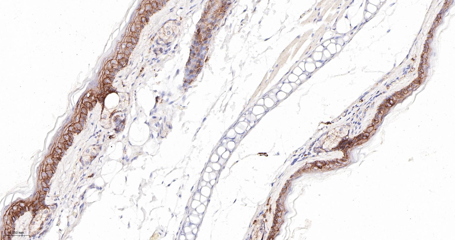
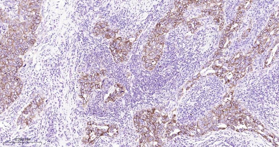
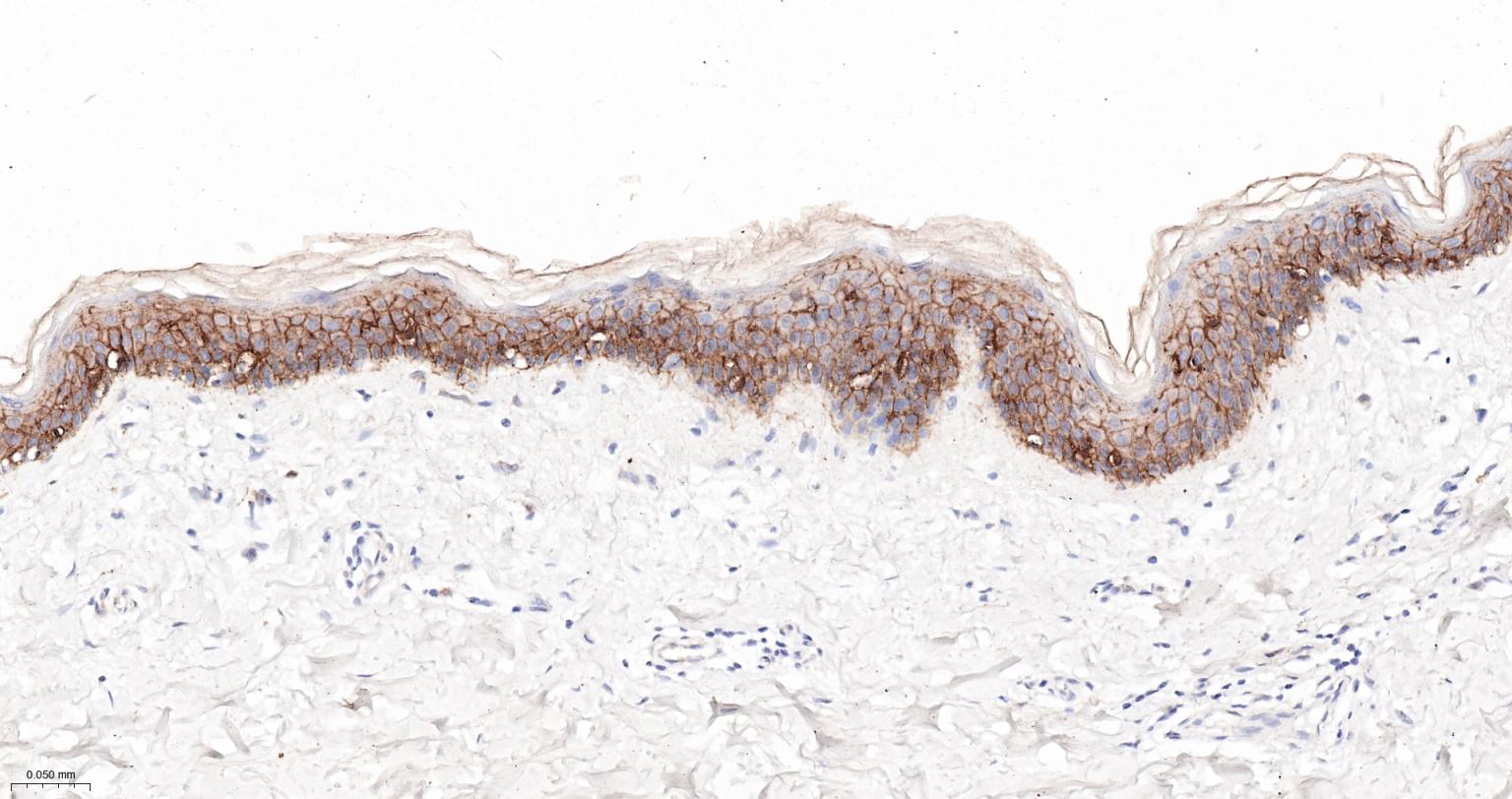
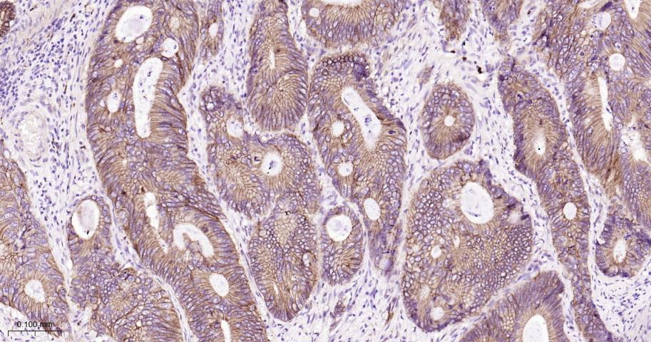
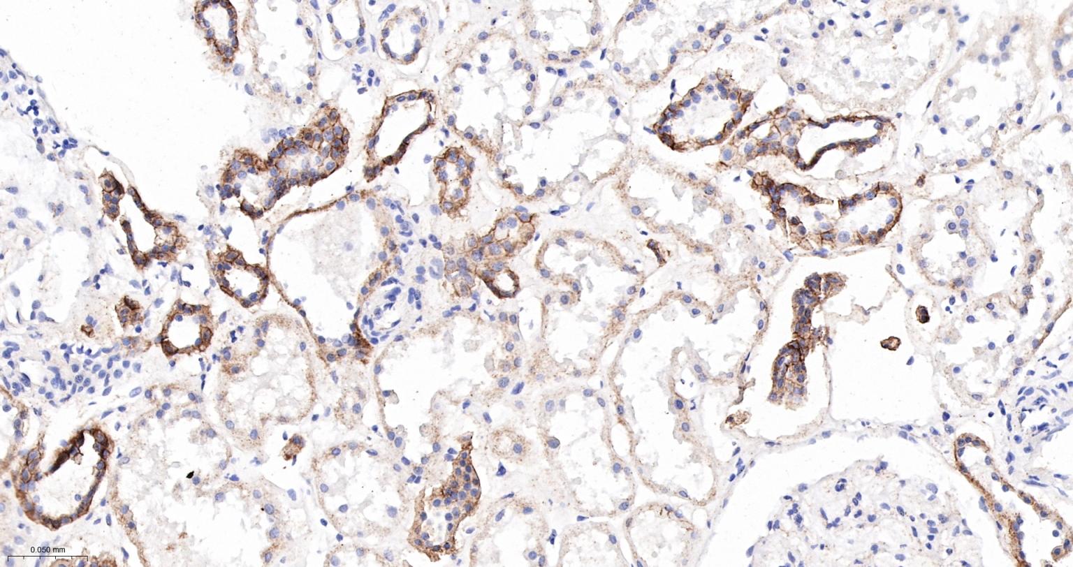
IHC-PHuman, Mouse, Rat1:100-500
IHC-FHuman, Mouse, Rat1:100-500
IFHuman, Mouse, Rat1:100-500
Flow-CytHumanMouse, Rat1:50-100

交叉反应

交叉反应: Human, Mouse, Rat

相关产品

暂无相关产品

靶标

基因名
CTNND1
蛋白名
Catenin delta-1
亚基
Cytoplasm. Nucleus. Cell membrane. Note=Interaction with GLIS2 promotes nuclear translocation. Detected at cell-cell contacts. NANOS1 induces its translocation from sites of cell-cell contact to the cytoplasm.
亚细胞定位
Cytoplasm. Nucleus. Cell membrane. Interaction with GLIS2 promotes nuclear translocation (By similarity). NANOS1 induces its translocation from sites of cell-cell contact to the cytoplasm.
组织特异性
Expressed in vascular endothelium.
翻译后修饰
Phosphorylated by FER and other protein-tyrosine kinases. Phosphorylated at Ser-288 by PAK7/PAK5. Dephosphorylated by PTPRJ.
相似性
Belongs to the beta-catenin family.
Contains 10 ARM repeats.
功能
Binds to and inhibits the transcriptional repressor ZBTB33, which may lead to activation of target genes of the Wnt signaling pathway (By similarity). May associate with and regulate the cell adhesion properties of both C- and E-cadherins. Implicated both in cell transformation by SRC and in ligand-induced receptor signaling through the EGF, PDGF, CSF-1 and ERBB2 receptors. Promotes GLIS2 C-terminal cleavage.

标记抗体

暂无标记数据

同靶标产品

暂无同靶标产品

相关文献

提示: 发表研究结果有使用 bsm-60229R 时请让我们知道,以便我们可以引用参考文章。作为回馈,资料提供者将获得我们送上的小礼品。

暂无相关文献

常见问题

暂无常见问题