促甲状腺激素α重组兔单抗

Rrmab?兔单抗
2026-03-02~2026-04-30,KXJ26032026-03-02~2026-04-30,促销赠品
促甲状腺激素α重组兔单抗
货号:bsm-60623R
产品详情
相关标记
相关产品
相关文献
常见问题

概述

产品编号
bsm-60623R
产品类型
重组兔单抗
英文名称
CGA Recombinant Rabbit mAb
中文名称
促甲状腺激素α重组兔单抗
英文别名
CG-ALPHA; FSHA; GPA1; GPHA1; GPHa; HCG; LHA; TSHA; GLHA_HUMAN; CGA; Anterior pituitary glycoprotein hormones common subunit alpha; Choriogonadotropin alpha chain; Chorionic gonadotrophin subunit alpha (CG-alpha); Follicle-stimulating hormone alpha chain (FSH-alpha); Follitropin alpha chain; Luteinizing hormone alpha chain (LSH-alpha); Lutropin alpha chain; Thyroid-stimulating hormone alpha chain (TSH-alpha); Thyrotropin alpha chain; GLHA_MOUSE; GPHalpha; aGSU; alpha-GSU; alphaGSU; alphaSU;
抗体来源
Rabbit
亚型
IgG
性状
Liquid
纯化方法
affinity purified by Protein A
克隆类型
Recombinant
克隆号
D4A7
理论分子量
13 kDa
浓度
1mg/ml
储存液
0.01M TBS (pH7.4) with 1% BSA, 0.02% Proclin300 and 50% Glycerol.
保存条件
Shipped at 4℃. Store at -20℃ for one year. Avoid repeated freeze/thaw cycles.
注意事项
This product as supplied is intended for research use only, not for use in human, therapeutic or diagnostic applications.
产品介绍
活性异二聚体糖蛋白激素促甲状腺素/促甲状腺激素/TSH、促黄体激素/促黄体生成素/LH、促卵泡素/促卵泡激素/FSH和绒毛膜促性腺激素/CG的共享α链。这些激素结合靶细胞上的特定受体,进而激活下游信号通路。
背景资料
The four human glycoprotein hormones chorionic gonadotropin (CG), luteinizing hormone (LH), follicle stimulating hormone (FSH), and thyroid stimulating hormone (TSH) are dimers consisting of alpha and beta subunits that are associated noncovalently. The alpha subunits of these hormones are identical, however, their beta chains are unique and confer biological specificity. The protein encoded by this gene is the alpha subunit and belongs to the glycoprotein hormones alpha chain family. Two transcript variants encoding different isoforms have been found for this gene. [provided by RefSeq, Nov 2011]
促甲状腺激素α重组兔单抗促甲状腺激素α重组兔单抗促甲状腺激素α重组兔单抗

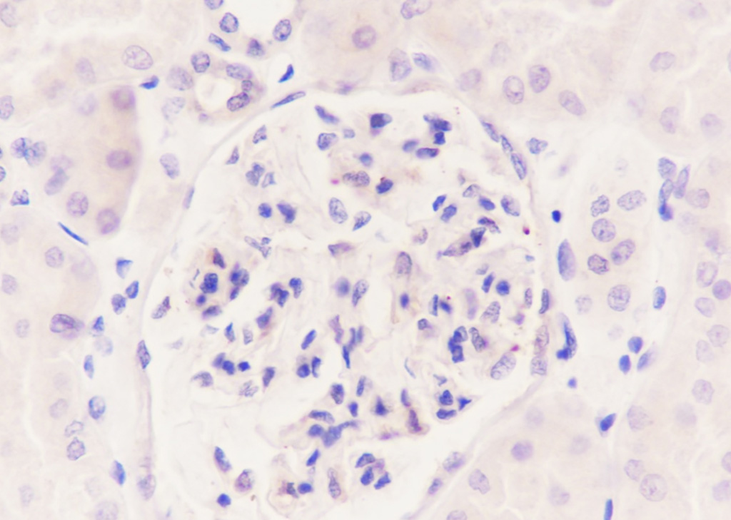
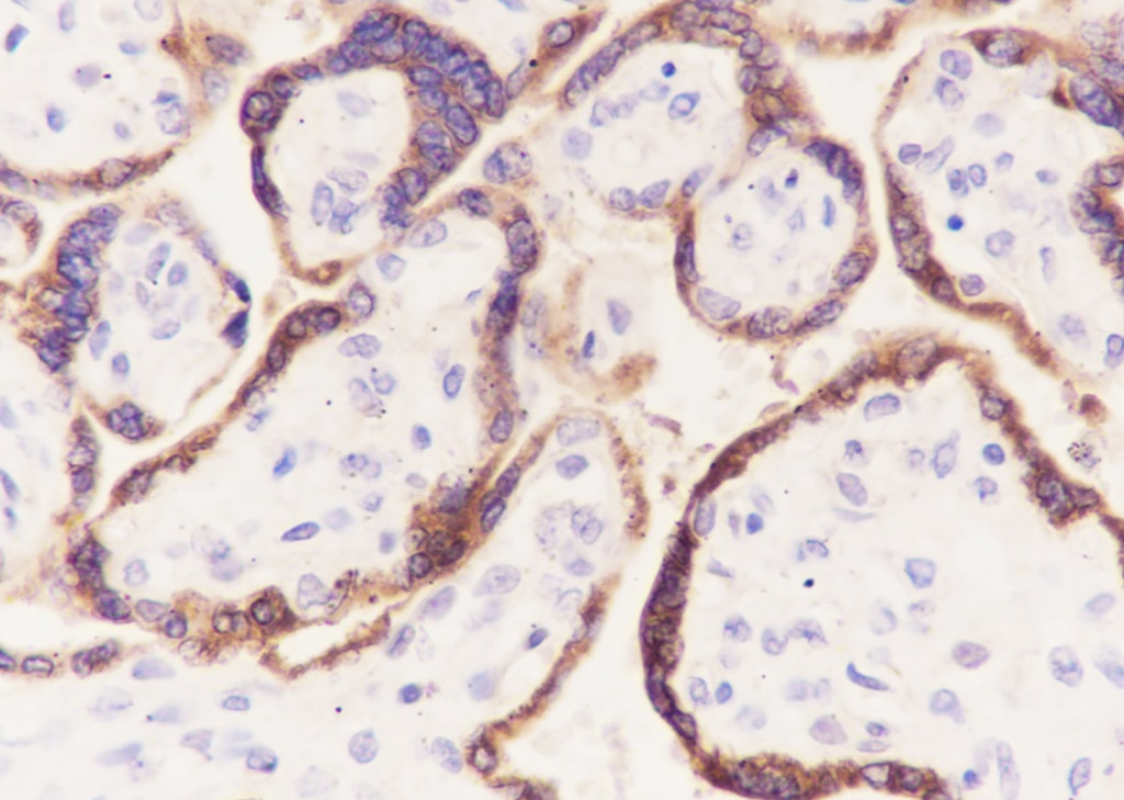
产品应用

应用已检合格种属预测种属推荐稀释比例
WBHuman1:500-2000
IHC-PHuman1:100-500
IHC-FHuman1:100-500
IFHuman1:100-500

交叉反应

交叉反应: Human

相关产品

暂无相关产品

靶标

基因名
CGA
蛋白名
Glycoprotein hormones alpha chain
亚基
Heterodimer of a common alpha chain and a unique beta chain which confers biological specificity to thyrotropin, lutropin, follitropin and gonadotropin.
亚细胞定位
Secreted.
相似性
Belongs to the glycoprotein hormones subunit alpha family.
功能
Stimulates the ovaries to synthesize the steroids that are essential for the maintenance of pregnancy.

标记抗体

暂无标记数据

同靶标产品

暂无同靶标产品

相关文献

提示: 发表研究结果有使用 bsm-60623R 时请让我们知道,以便我们可以引用参考文章。作为回馈,资料提供者将获得我们送上的小礼品。

暂无相关文献

常见问题

暂无常见问题