Cardiovascular > Heart > Cardiac metabolism
Cell Biology > Other Antibodies > Oxidative Stress
Epigenetics and Nuclear Signaling > ChIP assays > ChIP antibodies
Epigenetics and Nuclear Signaling > Transcription > Other factors
Metabolism > Pathways and Processes > Metabolic signaling pathways > Nucleotide metabolism > Molecular processes > Mitochondrial transcription
Metabolism > Pathways and Processes > Mitochondrial Metabolism > Mitochondrial Biogenesis
Metabolism > Pathways and Processes > Redox metabolism > Oxidative stress
















| 应用 | 已检合格种属 | 预测种属 | 推荐稀释比例 |
|---|---|---|---|
| WB | Human, Mouse | Rat | 1:1000-5000 |
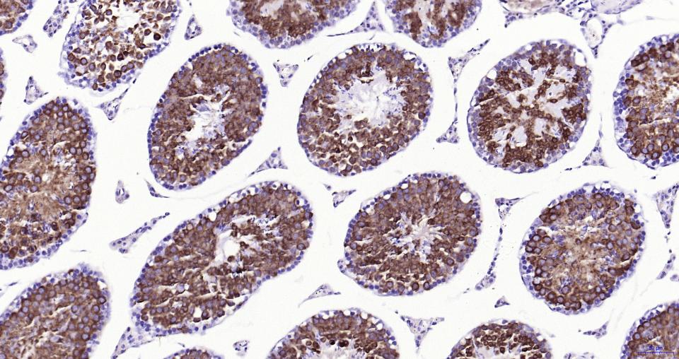
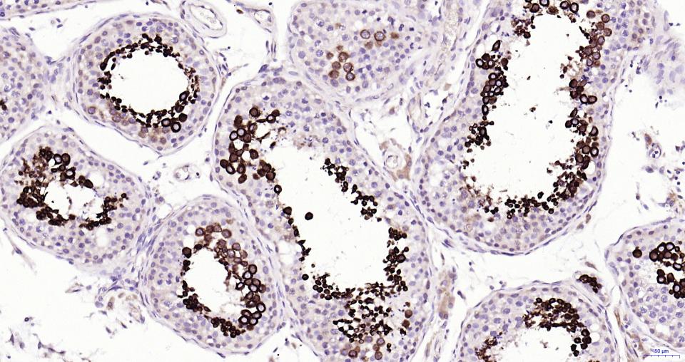
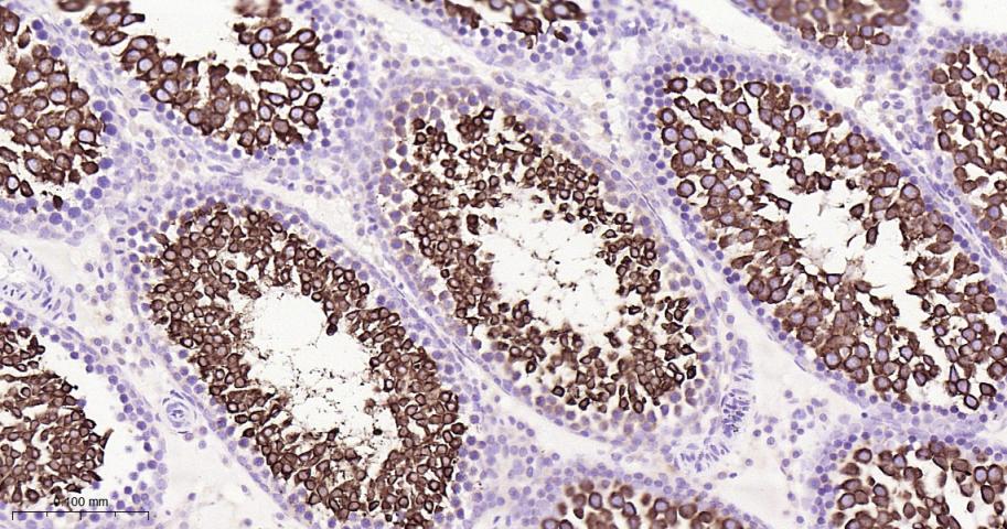
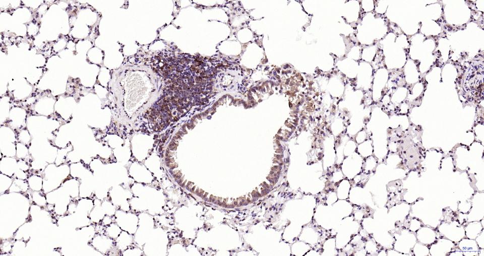
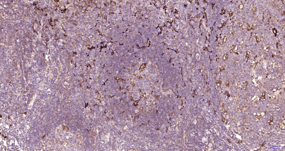
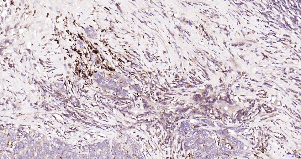
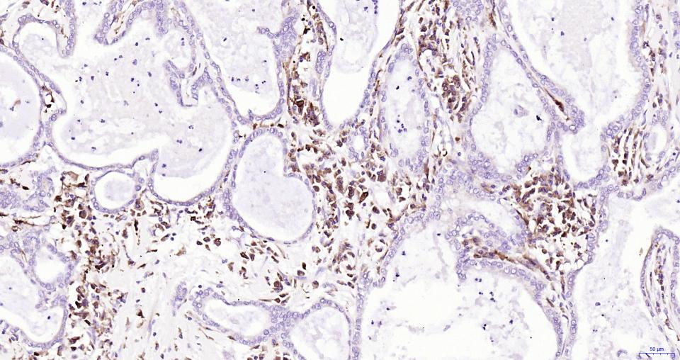
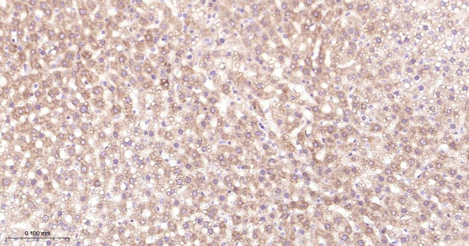
| IHC-P | Human, Mouse, Rat | 1:200-1000 | |
| IHC-F | Human, Mouse, Rat | 1:200-1000 | |
| IF | Human, Mouse, Rat | 1:200-1000 | |
| Flow-Cyt | Human | Mouse, Rat | 1μg/Test |
| ICC/IF | Human | Mouse, Rat | 1:100-500 |
交叉反应: Human, Mouse, Rat
暂无相关产品