磷酸化信号转导和转录激活因子5a重组兔单抗

Rrmab?兔单抗
2026-03-02~2026-04-30,KXJ26032026-03-02~2026-04-30,促销赠品
磷酸化信号转导和转录激活因子5a重组兔单抗
货号:bsm-54554R
产品详情
相关标记
相关产品
相关文献
常见问题

概述

产品编号
bsm-54554R
产品类型
磷酸化抗体、重组兔单抗
英文名称
phospho-STAT5A (Y694) Recombinant Rabbit mAb
中文名称
磷酸化信号转导和转录激活因子5a重组兔单抗
英文别名
STAT5A (phospho-Y694); p-STAT5A; phospho-STAT5A; STAT5A (phospho-Tyr694); MGF; STAT5; STA5A_HUMAN; STAT5A; STA5A_MOUSE; Mammary gland factor; Mpf; STA5A_RAT;
抗体来源
Rabbit
免疫原
A synthesized peptide derived from human p-STAT5A (Y694): DG-pY-VK
亚型
IgG
性状
Liquid
纯化方法
affinity purified by Protein A
克隆类型
Recombinant
克隆号
13A16
理论分子量
91 kDa
浓度
1mg/ml
储存液
0.01M TBS (pH7.4) with 1% BSA, 0.02% Proclin300 and 50% Glycerol.
SWISS
Gene ID
保存条件
Shipped at 4℃. Store at -20℃ for one year. Avoid repeated freeze/thaw cycles.
注意事项
This product as supplied is intended for research use only, not for use in human, therapeutic or diagnostic applications.
产品介绍
转录调节因子(Transcriptin Regulators)
STAT-信号转导和转录激活因子蛋白家族是近年来发现的一类转录因子.通过JAK-STAT途径介导许多由细胞因子诱导的反应,参与细胞的信号转导和转录。
背景资料
The protein encoded by this gene is a member of the STAT family of transcription factors. In response to cytokines and growth factors, STAT family members are phosphorylated by the receptor associated kinases, and then form homo- or heterodimers that translocate to the cell nucleus where they act as transcription activators. This protein is activated by, and mediates the responses of many cell ligands, such as IL2, IL3, IL7 GM-CSF, erythropoietin, thrombopoietin, and different growth hormones. Activation of this protein in myeloma and lymphoma associated with a TEL/JAK2 gene fusion is independent of cell stimulus and has been shown to be essential for the tumorigenesis. The mouse counterpart of this gene is found to induce the expression of BCL2L1/BCL-X(L), which suggests the antiapoptotic function of this gene in cells. [provided by RefSeq, Jul 2008]
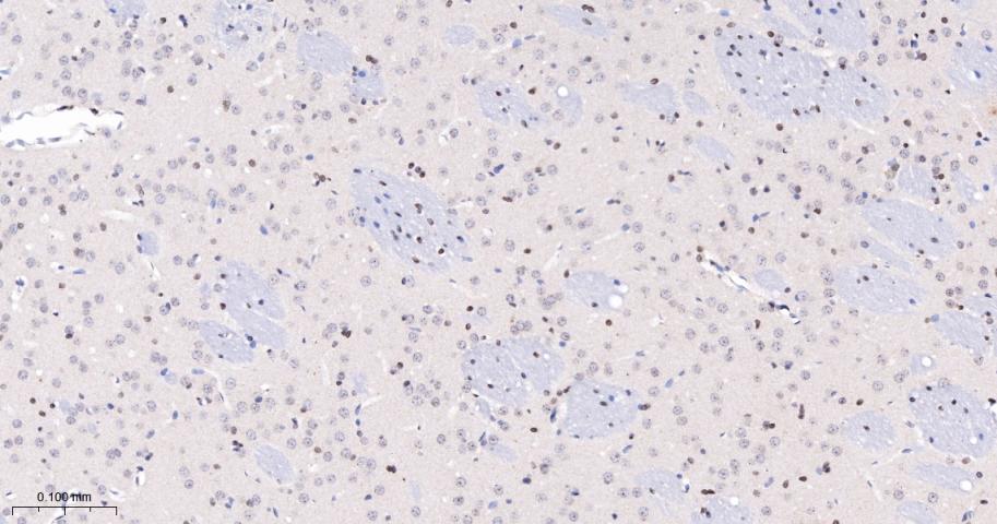
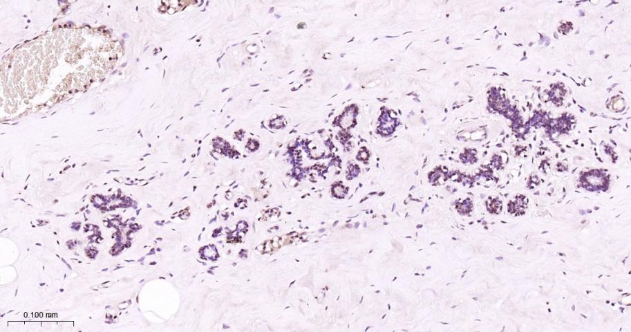
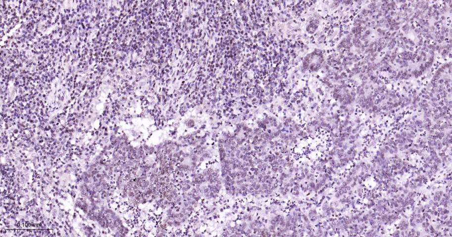
磷酸化信号转导和转录激活因子5a重组兔单抗磷酸化信号转导和转录激活因子5a重组兔单抗磷酸化信号转导和转录激活因子5a重组兔单抗磷酸化信号转导和转录激活因子5a重组兔单抗磷酸化信号转导和转录激活因子5a重组兔单抗磷酸化信号转导和转录激活因子5a重组兔单抗磷酸化信号转导和转录激活因子5a重组兔单抗

产品应用

应用已检合格种属预测种属推荐稀释比例
WBHumanMouse, Rat1:500-2000
IHC-PHuman, Mouse, Rat1:100-500
IHC-FHuman, Mouse, Rat1:100-500
IFHuman, Mouse, Rat1:100-500

交叉反应

交叉反应: Human, Mouse, Rat

相关产品

暂无相关产品

靶标

基因名
STAT5A
蛋白名
Signal transducer and activator of transcription 5A
亚基
Forms a homodimer or a heterodimer with a related family member. Binds NR3C1. Interacts with NCOA1 and SOCS7. Interacts with ERBB4.
亚细胞定位
Cytoplasm. Nucleus. Note=Mostly cytoplasmic during pregnancy, whereas it becomes predominantly nuclear during early lactation. It is translocated into the nucleus in response to phosphorylation.
组织特异性
Expressed in heart, lung, and weakly in muscle.
翻译后修饰
Tyrosine phosphorylated in response to IL2, IL3, IL7, IL15, KITLG/SCF, CSF2/GMCSF, GH1, PRL, EPO and THPO. Tyrosine phosphorylated in response to signaling via activated FLT3 and KIT, resulting in translocation to the nucleus. Tyrosine phosphorylated in response to constitutively activated FGFR1, FGFR2, FGFR3 and FGFR4. Alternatively, can be phosphorylated by JAK2 at Tyr-694. Tyrosine phosphorylation is required for DNA-binding activity and dimerization. Serine phosphorylation is also required for maximal transcriptional activity (By similarity).
相似性
Belongs to the transcription factor STAT family.
Contains 1 SH2 domain.
功能
Carries out a dual function: signal transduction and activation of transcription. Mediates cellular responses to the cytokine KITLG/SCF and other growth factors. May mediate cellular responses to activated FGFR1, FGFR2, FGFR3 and FGFR4. Binds to the GAS element and activates PRL-induced transcription. Regulates the expression of milk proteins during lactation.

标记抗体

暂无标记数据

同靶标产品

暂无同靶标产品

相关文献

提示: 发表研究结果有使用 bsm-54554R 时请让我们知道,以便我们可以引用参考文章。作为回馈,资料提供者将获得我们送上的小礼品。

暂无相关文献

常见问题

暂无常见问题