Ferritin Recombinant Rabbit mAb (一抗) - WB,IHC-P,IHC-F,IF | Bioss

Rrmab?兔单抗
2026-05-01~2026-06-30,AB2605
Ferritin Recombinant Rabbit mAb (一抗) - WB,IHC-P,IHC-F,IF | Bioss
货号:bsm-63085R
产品详情
相关标记
相关产品
相关文献
常见问题

概述

产品编号
bsm-63085R
产品类型
重组兔单抗
英文名称
Ferritin Recombinant Rabbit mAb
中文名称
铁蛋白重组兔单抗
英文别名
FTH; FTH1; FHC; FTHL6; HFE5; NBIA9; PIG15; PLIF; HFt; MFH; FRIH_FELCA; Ferritin H subunit; 1.16.3.1; FRIH_CANLF; FRIH_HUMAN; Cell proliferation-inducing gene 15 protein; FRIH_MOUSE;
抗体来源
Rabbit
免疫原
A synthesized peptide derived from human Ferritin: 65-100
亚型
IgG
性状
Liquid
纯化方法
affinity purified by Protein A
克隆类型
Recombinant
克隆号
11C10
理论分子量
20 kDa
检测分子量
20 kDa
浓度
1mg/ml
储存液
10mM phosphate buffered saline , pH 7.4, 150mM sodium chloride, 0.05% BSA, 0.02% Proclin300 and 50% glycerol.
SWISS
Gene ID
保存条件
Shipped at 4℃. Store at -20℃ for one year. Avoid repeated freeze/thaw cycles.
注意事项
This product as supplied is intended for research use only, not for use in human, therapeutic or diagnostic applications.
背景资料
Mammalian ferritins consist of 24 subunits made up of two types of poly-peptide chains, ferritin heavy chain and ferritin light chain, which each have unique functions. Ferritin heavy chains catalyze the first step in iron storage, the oxidation of FeII, whereas ferritin light chains promote the nucleation of ferrihydrite, enabling storage of FeIII. The most prominent role of mamma-lian ferritins is to provide iron-buffering capacity to cells. In addition to iron buffering, heavy chain ferritin is also involved in the regulation of thymidine biosynthesis via increased expression of cytoplasmic serine hydroxymethyltransferase, which is a limiting factor in thymidylate synthesis in MCF-7 cells. Light chain ferritin is involved in cataracts by at least two mechanisms: hereditary hyperferritinemia cataract syndrome, in which light chain ferritin is overexpressed; and oxidative stress, an important factor in the development of aging-related cataracts.
铁蛋白重组兔单抗-bsm-63085R铁蛋白重组兔单抗-bsm-63085R铁蛋白重组兔单抗-bsm-63085R铁蛋白重组兔单抗-bsm-63085R铁蛋白重组兔单抗-bsm-63085R铁蛋白重组兔单抗-bsm-63085R铁蛋白重组兔单抗-bsm-63085R铁蛋白重组兔单抗-bsm-63085R铁蛋白重组兔单抗-bsm-63085R铁蛋白重组兔单抗-bsm-63085R铁蛋白重组兔单抗-bsm-63085R铁蛋白重组兔单抗-bsm-63085R铁蛋白重组兔单抗-bsm-63085R铁蛋白重组兔单抗-bsm-63085R

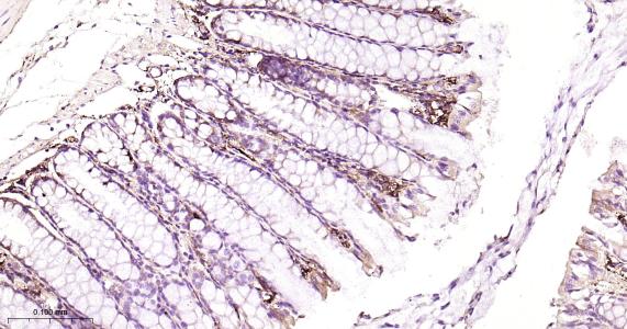
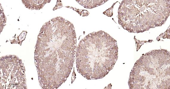
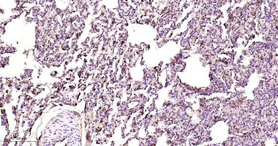
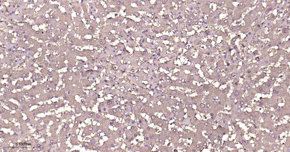
产品应用

应用已检合格种属预测种属推荐稀释比例
WBHuman, Mouse, Rat1:500-2000
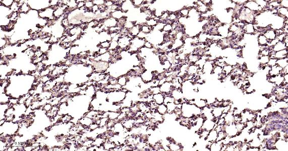
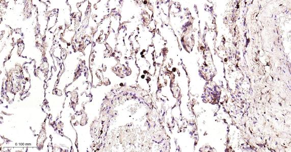
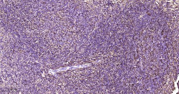
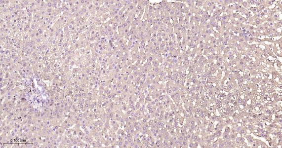
IHC-PHuman, Mouse, Rat1:100-500
IHC-FHuman, Mouse, Rat1:100-500
IFHuman, Mouse, Rat1:100-500

交叉反应

交叉反应: Human, Mouse, Rat

相关产品

暂无相关产品

靶标

基因名
FTH1
蛋白名
Ferritin heavy chain
亚基
Oligomer of 24 subunits. There are two types of subunits: L (light) chain and H (heavy) chain. The major chain can be light or heavy, depending on the species and tissue type. The functional molecule forms a roughly spherical shell with a diameter of 12 nm and contains a central cavity into which the insoluble mineral iron core is deposited.
亚细胞定位
Cytoplasmic.
组织特异性
In human liver the heavy chain is the major chain.
相似性
Belongs to the ferritin family.
Contains 1 ferritin-like diiron domain.
功能
Stores iron in a soluble, non-toxic, readily available form. Important for iron homeostasis. Has ferroxidase activity. Iron is taken up in the ferrous form and deposited as ferric hydroxides after oxidation. Also plays a role in delivery of iron to cells. Mediates iron uptake in capsule cells of the developing kidney.

同靶标产品

相关文献

提示: 发表研究结果有使用 bsm-63085R 时请让我们知道,以便我们可以引用参考文章。作为回馈,资料提供者将获得我们送上的小礼品。
具体参考文献:bsm-63085R 被引用于1文献中

常见问题