Cancer > Cancer Metabolism > Response to hypoxia
Cancer > Growth factors > VEGF
Cancer > Invasion/microenvironment > Angiogenesis > Angiogenic growth factors
Cancer > Oncoproteins/suppressors > Oncoproteins > Growth factor receptors
Cardiovascular > Angiogenesis > Endothelial Cell Markers
Cardiovascular > Angiogenesis > Growth Factors > VEGF > VEGF Receptors
Cardiovascular > Cardiovascular Markers > Cell Markers > Endothelial Cells
Metabolism > Pathways and Processes > Metabolism processes > Hypoxia
Microbiology > Interspecies Interaction > Host Virus Interaction
Signal Transduction > Growth Factors/Hormones > VEGF
Signal Transduction > Protein Phosphorylation > Tyrosine Kinases > Receptor Tyrosine Kinases
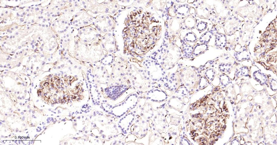
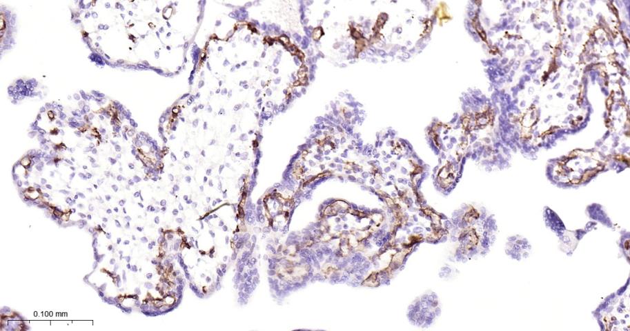
Vascular endothelial growth factor (VEGF) is a major growth factor for endothelial cells. This gene encodes one of the two receptors of the VEGF. This receptor, known as kinase insert domain receptor, is a type III receptor tyrosine kinase. It functions as the main mediator of VEGF-induced endothelial proliferation, survival, migration, tubular morphogenesis and sprouting. The signalling and trafficking of this receptor are regulated by multiple factors, including Rab GTPase, P2Y purine nucleotide receptor, integrin alphaVbeta3, T-cell protein tyrosine phosphatase, etc.. Mutations of this gene are implicated in infantile capillary hemangiomas. [provided by RefSeq, May 2009].



| 应用 | 已检合格种属 | 预测种属 | 推荐稀释比例 |
|---|---|---|---|
| IHC-P | Human | 1:100-500 | |
| IHC-F | Human | 1:100-500 | |
| IF | Human | 1:100-500 |
交叉反应: Human
暂无相关产品