NPHS2 Recombinant Rabbit mAb (一抗) - IHC-P,IHC-F,IF | Bioss

Rrmab?兔单抗
2026-03-02~2026-04-30,KXJ26032026-03-02~2026-04-30,促销赠品
NPHS2 Recombinant Rabbit mAb (一抗) - IHC-P,IHC-F,IF | Bioss
货号:bsm-63061R
产品详情
相关标记
相关产品
相关文献
常见问题

概述

产品编号
bsm-63061R
产品类型
重组兔单抗
英文名称
NPHS2 Recombinant Rabbit mAb
中文名称
肾小球裂孔膜蛋白PDCN重组兔单抗
英文别名
PDCN; SRN1; podocin; PODO_HUMAN; NPHS2; PODO_MOUSE; PODO_RAT;
抗体来源
Rabbit
免疫原
A synthesized peptide derived from human Podocin: 344-383
亚型
IgG
性状
Liquid
纯化方法
affinity purified by Protein A
克隆类型
Recombinant
克隆号
11B19
理论分子量
42 kDa
浓度
1mg/ml
储存液
10mM phosphate buffered saline , pH 7.4, 150mM sodium chloride, 0.05% BSA, 0.02% Proclin300 and 50% glycerol.
SWISS
Gene ID
保存条件
Shipped at 4℃. Store at -20℃ for one year. Avoid repeated freeze/thaw cycles.
注意事项
This product as supplied is intended for research use only, not for use in human, therapeutic or diagnostic applications.
背景资料
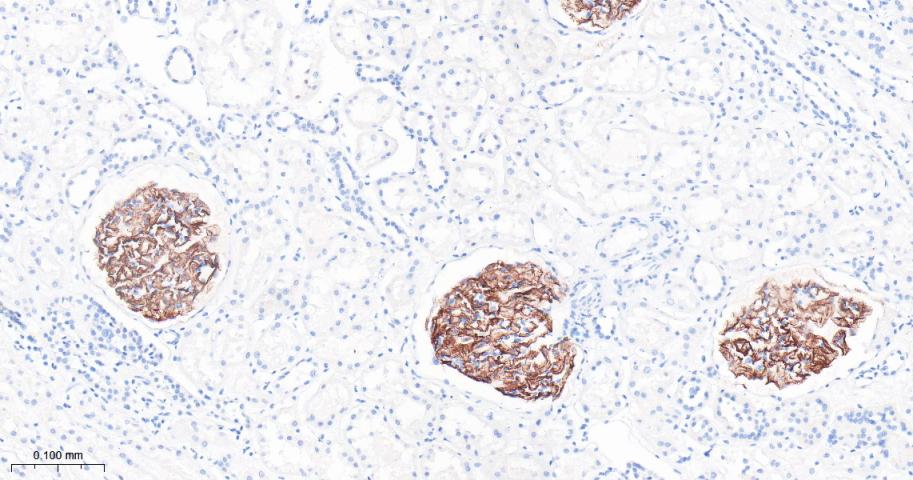
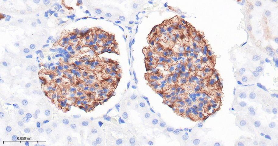
Podocin is an important member of a group of proteins shown to be associated with the slit diaphragm. Podocin belongs to the band 7 stomatin family of lipid raft-associated proteins. It is a hairpin like integral membrane protein with intracellular N and C termini. Podocin is located at the insertion site of the slit membrane, and is thought to act as a scaffold protein required to maintain or regulate the structural integrity of the slit diaphragm. It plays a role in the regulation of glomerular permeability, acting probably as a linker between the plasma membrane and the cytoskeleton.
肾小球裂孔膜蛋白PDCN重组兔单抗-bsm-63061R肾小球裂孔膜蛋白PDCN重组兔单抗-bsm-63061R肾小球裂孔膜蛋白PDCN重组兔单抗-bsm-63061R

产品应用

应用已检合格种属预测种属推荐稀释比例
IHC-PHuman, Rat1:100-500
IHC-FHuman, Rat1:100-500
IFHuman, Rat1:100-500

交叉反应

交叉反应: Human, Rat

相关产品

暂无相关产品

靶标

基因名
NPHS2
蛋白名
Podocin
亚基
Interacts with nephrin/NPHS1 and KIRREL. Interacts directly with CD2AP. Interacts with DDN (By similarity).
亚细胞定位
Cell membrane; Peripheral membrane protein.
组织特异性
Almost exclusively expressed in the podocytes of fetal and mature kidney glomeruli.
疾病
Defects in NPHS2 are the cause of nephrotic syndrome type 2 (NPHS2) [MIM:600995]. It is a renal disorder characterized clinically by childhood onset of proteinuria, hypoalbuminemia, hyperlipidemia, and edema. Kidney biopsies show non-specific histologic changes such as focal segmental glomerulosclerosis and diffuse mesangial proliferation. The disorder is resistant to steroid treatment and progresses to end-stage renal failure in the first or second decades. Some patients show later onset of the disorder.
相似性
Belongs to the band 7/mec-2 family.

同靶标产品

相关文献

提示: 发表研究结果有使用 bsm-63061R 时请让我们知道,以便我们可以引用参考文章。作为回馈,资料提供者将获得我们送上的小礼品。

常见问题