Cancer > Cell cycle > Cell cycle inhibitors > Ink4
Cancer > Oncoproteins/suppressors > Tumor suppressors > p53 pathway
Cell Biology > Cell Cycle > Cell Cycle Inhibitors > Ink4
Epigenetics and Nuclear Signaling > Cell cycle > Cell Cycle Inhibitors > Ink4
Epigenetics and Nuclear Signaling > Transcription > Cancer susceptibility > Tumor Suppressors






| 应用 | 已检合格种属 | 预测种属 | 推荐稀释比例 |
|---|---|---|---|
| WB | Human | 1:500-2000 | |
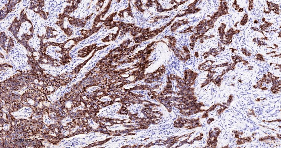
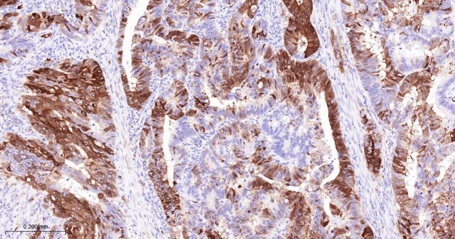
| IHC-P | Human | 1:100-500 | |
| IHC-F | Human | 1:100-500 | |
| IF | Human | 1:100-500 | |
| ICC/IF | Human | 1:50-200 |
交叉反应: Human
暂无相关产品
暂无标记数据
暂无同靶标产品
暂无相关文献
暂无常见问题