Sodium Potassium ATPase Ready-To-Use IHC Kit (免疫组化试剂盒) | Bioss

Sodium Potassium ATPase Ready-To-Use IHC Kit (免疫组化试剂盒) | Bioss
货号:IHC0259
产品详情
相关产品
相关文献
常见问题

概述

产品编号
IHC0259
英文名称
Sodium Potassium ATPase Ready-To-Use IHC Kit
中文名称
钠钾ATP酶蛋白a1即用型免疫组化试剂盒
英文别名
ATP1A1; Atpa-1; BC010319; Nkaa1b; alpha 1 Sodium Potassium ATPase; A1A1; AT1A1; AT1A1_HUMAN; ATPase Na+/K+ transporting alpha 1 polypeptide; ATPase Na+/K+ transporting subunit alpha 1; EC 3.6.3.9; MGC3285; MGC38419; MGC51750; Na K ATPase alpha A catalytic polypeptide; Na K ATPase catalytic subunit alpha A protein; Na(+)/K(+) ATPase 1; Na(+)/K(+) ATPase alpha-1 subunit; Na+; K+ ATPase alpha subunit; Na+/K+ ATPase alpha 1 subunit; Na+/K+ ATPase 1; Na;K ATPase alpha 1 subunit; Sodium potassium ATPase alpha 1 polypeptide; Sodium pump 1; Sodium pump subunit alpha-1; sodium-potassium ATPase catalytic subunit alpha-1; Sodium/potassium-transporting ATPase subunit alpha-1
描述
IHC0259 is a ready-to-use IHC kit for staining of Sodium Potassium ATPase. The kit provides all reagents, from antigen retrieval to cover slip mounting, that require little to no diluting or handling prior to use. Simply apply the reagents to your sample slide according to the protocol and you're steps away from obtaining high-quality IHC data.
适用样品基质
FFPE tissue
应用范围
Immunohistochemistry
保存条件
Please store components at the temperatures indicated on the individual tube labels. The kit is stable for 6 months from the date of receipt.
注意事项
This product as supplied is intended for research use only, not for use in human, therapeutic or diagnostic applications.
背景资料
The protein encoded by this gene belongs to the family of P-type cation transport ATPases, and to the subfamily of Na+/K+ -ATPases. Na+/K+ -ATPase is an integral membrane protein responsible for establishing and maintaining the electrochemical gradients of Na and K ions across the plasma membrane. These gradients are essential for osmoregulation, for sodium-coupled transport of a variety of organic and inorganic molecules, and for electrical excitability of nerve and muscle. This enzyme is composed of two subunits, a large catalytic subunit (alpha) and a smaller glycoprotein subunit (beta). The catalytic subunit of Na+/K+ -ATPase is encoded by multiple genes. This gene encodes an alpha 1 subunit. Multiple transcript variants encoding different isoforms have been found for this gene.
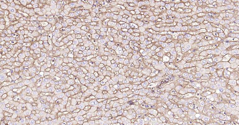
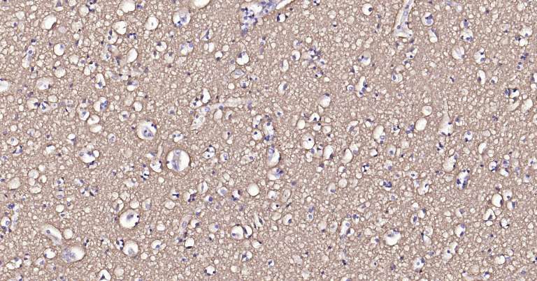
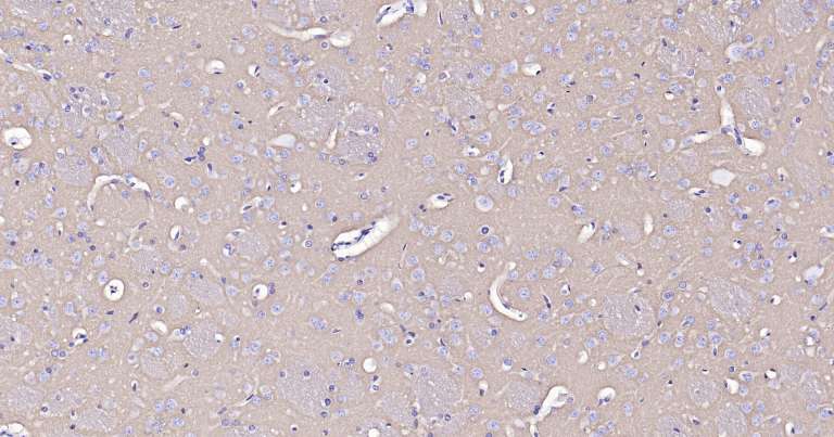
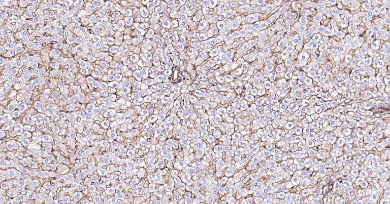
钠钾ATP酶蛋白a1即用型免疫组化试剂盒-IHC0259钠钾ATP酶蛋白a1即用型免疫组化试剂盒-IHC0259钠钾ATP酶蛋白a1即用型免疫组化试剂盒-IHC0259钠钾ATP酶蛋白a1即用型免疫组化试剂盒-IHC0259钠钾ATP酶蛋白a1即用型免疫组化试剂盒-IHC0259钠钾ATP酶蛋白a1即用型免疫组化试剂盒-IHC0259

产品应用

产品应用: IHC-P

交叉反应

交叉反应: Human, Mouse, Rat

相关产品

暂无相关产品

靶标

基因名
ATP1A1
蛋白名
Sodium/potassium-transporting ATPase subunit alpha-1
亚基
The sodium/potassium-transporting ATPase is composed of a catalytic alpha subunit, an auxiliary non-catalytic beta subunit and an additional regulatory subunit. Interacts with regulatory subunit FXYD1 (By similarity). Interacts with regulatory subunit FXYD3 (PubMed:21454534). Interacts with SIK1 (By similarity). Binds the HLA class II histocompatibility antigen DR1 (PubMed:1380674). Interacts with SLC35G1 and STIM1 (PubMed:22084111). Interacts with CLN3; this interaction regulates the sodium/potassium-transporting ATPase complex localization at the plasma membrane (Probable). Interacts with SCN7A; activates ATP1A1 P-type sodium:potassium-exchanging transporter activity which indirectly signals to nearby neurons to regulate sodium homeostasis (By similarity).
亚细胞定位
Cell membrane Cell projection Membrane
翻译后修饰
Phosphorylation on Tyr-10 modulates pumping activity. Phosphorylation of Ser-943 by PKA modulates the response of ATP1A1 to PKC. Dephosphorylation by protein phosphatase 2A (PP2A) following increases in intracellular sodium, leading to increase catalytic activity (By similarity).
疾病
Involvement in disease: Charcot-Marie-Tooth disease, axonal, 2DD (CMT2DD) The disease is caused by variants affecting the gene represented in this entry A dominant axonal form of Charcot-Marie-Tooth disease, a disorder of the peripheral nervous system, characterized by progressive weakness and atrophy, initially of the peroneal muscles and later of the distal muscles of the arms. Charcot-Marie-Tooth disease is classified in two main groups on the basis of electrophysiologic properties and histopathology: primary peripheral demyelinating neuropathies (designated CMT1 when they are dominantly inherited) and primary peripheral axonal neuropathies (CMT2). Neuropathies of the CMT2 group are characterized by signs of axonal degeneration in the absence of obvious myelin alterations, normal or slightly reduced nerve conduction velocities, and progressive distal muscle weakness and atrophy.
相似性
Belongs to the cation transport ATPase (P-type) (TC 3.A.3) family. Type IIC subfamily.
功能
This is the catalytic component of the active enzyme, which catalyzes the hydrolysis of ATP coupled with the exchange of sodium and potassium ions across the plasma membrane. This action creates the electrochemical gradient of sodium and potassium ions, providing the energy for active transport of various nutrients (PubMed:29499166, PubMed:30388404). Could also be part of an osmosensory signaling pathway that senses body-fluid sodium levels and controls salt intake behavior as well as voluntary water intake to regulate sodium homeostasis (By similarity).

同靶标产品

相关文献

常见问题